Melakukan de-identifikasi data DICOM menggunakan DicomConfig

Halaman ini menjelaskan cara menggunakan konfigurasi v1 DicomConfig untuk melakukan de-identifikasi data sensitif dalam instance DICOM di tingkat berikut:

Halaman ini juga menjelaskan cara menerapkan filter saat melakukan de-identifikasi data di tingkat penyimpanan DICOM.

Ringkasan de-identifikasi

De-identifikasi tingkat set data

Untuk melakukan de-identifikasi data DICOM di tingkat set data, panggil operasi datasets.deidentify. Panggilan API de-identifikasi memiliki komponen berikut:

  • Set data sumber: Set data yang berisi penyimpanan DICOM dengan satu atau beberapa instance yang memiliki data sensitif. Saat Anda memanggil operasi deidentify, semua instance di semua penyimpanan DICOM dalam set data akan di-de-identifikasi.
  • Set data tujuan: De-identifikasi tidak memengaruhi set data asli atau datanya. Sebagai gantinya, salinan data asli yang dianonimkan ditulis ke set data baru, yang disebut set data tujuan.
  • Hal yang harus dilakukan untuk de-identifikasi: Parameter konfigurasi yang menentukan cara memproses set data. Anda dapat mengonfigurasi de-identifikasi DICOM untuk melakukan de-identifikasi metadata instance DICOM (menggunakan kata kunci tag) atau teks sisipan dalam gambar DICOM dengan menentukan parameter ini dalam objek DeidentifyConfig dan melakukan hal berikut:
    • Menetapkan kolom config isi permintaan
    • Menyimpannya di Cloud Storage dalam format JSON dan menentukan lokasi file di bucket menggunakan kolom gcsConfigUri dari isi permintaan

Sebagian besar contoh dalam panduan ini menunjukkan cara melakukan de-identifikasi data DICOM di tingkat set data.

De-identifikasi tingkat penyimpanan DICOM

Melakukan de-identifikasi data DICOM di tingkat penyimpanan DICOM memungkinkan Anda memiliki kontrol lebih besar atas data yang akan di-de-identifikasi. Misalnya, jika Anda memiliki set data dengan beberapa penyimpanan DICOM, Anda dapat melakukan de-identifikasi setiap penyimpanan DICOM sesuai dengan jenis data yang ada di penyimpanan.

Untuk melakukan de-identifikasi data DICOM di penyimpanan DICOM, panggil metode dicomStores.deidentify. Panggilan API de-identifikasi memiliki komponen berikut:

  • Penyimpanan DICOM sumber: Penyimpanan DICOM yang berisi satu atau beberapa instance yang memiliki data sensitif. Saat Anda memanggil operasi deidentify, semua instance di penyimpanan DICOM akan di-de-identifikasi.
  • Penyimpanan DICOM tujuan: De-identifikasi tidak memengaruhi penyimpanan DICOM asli atau datanya. Sebagai gantinya, salinan data asli yang telah di-deidentifikasi ditulis ke penyimpanan DICOM tujuan. Tujuan penyimpanan DICOM harus sudah ada.
  • Hal yang harus dilakukan untuk de-identifikasi: Parameter konfigurasi yang menentukan cara memproses penyimpanan DICOM. Anda dapat mengonfigurasi de-identifikasi DICOM untuk melakukan de-identifikasi metadata instance DICOM (menggunakan kata kunci tag) atau teks sisipan dalam gambar DICOM dengan menentukan parameter ini dalam objek DeidentifyConfig dan meneruskannya dengan melakukan salah satu hal berikut:
    • Menetapkan kolom config isi permintaan
    • Menyimpannya di Cloud Storage dalam format JSON dan menentukan lokasi file di bucket menggunakan kolom gcsConfigUri dari isi permintaan

Untuk contoh cara melakukan de-identifikasi data DICOM di tingkat penyimpanan DICOM, lihat Melakukan de-identifikasi data di tingkat penyimpanan DICOM.

Filter

Anda dapat melakukan de-identifikasi subset data di penyimpanan DICOM dengan mengonfigurasi file filter dan menentukan file dalam permintaan dicomStores.deidentify. Sebagai contoh, lihat Melakukan de-identifikasi pada subset penyimpanan DICOM.

Ringkasan sampel

Contoh dalam panduan ini menggunakan satu instance DICOM, tetapi Anda juga dapat menghilangkan identitas beberapa instance.

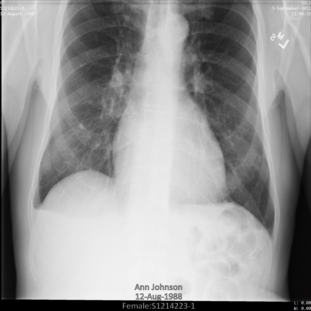
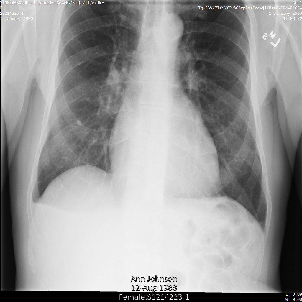
Setiap bagian berikut memberikan contoh cara melakukan de-identifikasi data DICOM menggunakan berbagai metode. Output gambar yang tidak diidentifikasi disediakan dengan setiap sampel. Setiap sampel menggunakan gambar asli berikut sebagai input:

xray_original

Anda dapat membandingkan gambar output dari setiap operasi penghapusan identitas dengan gambar asli ini untuk melihat efek operasi.

Melakukan de-identifikasi tag DICOM

Anda dapat melakukan de-identifikasi instance DICOM berdasarkan kata kunci tag dalam metadata DICOM. Metode pemfilteran tag berikut tersedia di objek DicomConfig:

  • keepList: Daftar tag yang perlu disimpan. Hapus semua tag lainnya.
  • removeList: Daftar tag yang akan dihapus. Simpan semua tag lainnya.
  • filterProfile: Profil pemfilteran tag yang digunakan untuk menentukan tag mana yang harus disimpan atau dihapus.

Untuk setiap sampel di bagian ini, output metadata instance DICOM yang diubah akan diberikan. Berikut adalah metadata asli instance yang digunakan sebagai input untuk setiap sampel:

[
  {
    "00020002":{"vr":"UI","Value":["1.2.840.10008.5.1.4.1.1.7"]},
     "00020003":{"vr":"UI","Value":["1.2.276.0.7230010.3.1.4.8323329.78.1539083058.523695"]},
     "00020010":{"vr":"UI","Value":["1.2.840.10008.1.2.4.50"]},
     "00020012":{"vr":"UI","Value":["1.2.276.0.7230010.3.0.3.6.1"]},
     "00020013":{"vr":"SH","Value":["OFFIS_DCMTK_361"]},
     "00080005":{"vr":"CS","Value":["ISO_IR 100"]},
     "00080016":{"vr":"UI","Value":["1.2.840.10008.5.1.4.1.1.7"]},
     "00080018":{"vr":"UI","Value":["1.2.276.0.7230010.3.1.4.8323329.78.1539083058.523695"]},
     "00080020":{"vr":"DA","Value":["20110909"]},
     "00080030":{"vr":"TM","Value":["110032"]},
     "00080050":{"vr":"SH"},
     "00080064":{"vr":"CS","Value":["WSD"]},
     "00080070":{"vr":"LO","Value":["Manufacturer"]},
     "00080090":{"vr":"PN","Value":[{"Alphabetic":"John Doe"}]},
     "00081090":{"vr":"LO","Value":["ABC1"]},
     "00100010":{"vr":"PN","Value":[{"Alphabetic":"Ann Johnson"}]},
     "00100020":{"vr":"LO","Value":["S1214223-1"]},
     "00100030":{"vr":"DA","Value":["19880812"]},
     "00100040":{"vr":"CS","Value":["F"]},
     "0020000D":{"vr":"UI","Value":["2.25.70541616638819138568043293671559322355"]},
     "0020000E":{"vr":"UI","Value":["1.2.276.0.7230010.3.1.3.8323329.78.1531234558.523694"]},
     "00200010":{"vr":"SH"},
     "00200011":{"vr":"IS"},
     "00200013":{"vr":"IS"},
     "00200020":{"vr":"CS"},
     "00280002":{"vr":"US","Value":[3]},
     "00280004":{"vr":"CS","Value":["YBR_FULL_422"]},
     "00280006":{"vr":"US","Value":[0]},
     "00280010":{"vr":"US","Value":[1024]},
     "00280011":{"vr":"US","Value":[1024]},
     "00280100":{"vr":"US","Value":[8]},
     "00280101":{"vr":"US","Value":[8]},
     "00280102":{"vr":"US","Value":[7]},
     "00280103":{"vr":"US","Value":[0]},
     "00282110":{"vr":"CS","Value":["01"]},
     "00282114":{"vr":"CS","Value":["ISO_10918_1"]}
  }
]

De-identifikasi menggunakan tag keeplist

Saat Anda menentukan tag daftar tetap dalam objek DicomConfig, tag berikut akan ditambahkan secara default:

  • StudyInstanceUID
  • SeriesInstanceUID
  • SOPInstanceUID
  • TransferSyntaxUID
  • MediaStorageSOPInstanceUID
  • MediaStorageSOPClassUID
  • PixelData
  • Rows
  • Columns
  • SamplesPerPixel
  • BitsAllocated
  • BitsStored
  • Highbit
  • PhotometricInterpretation
  • PixelRepresentation
  • NumberOfFrames
  • PlanarConfiguration
  • PixelAspectRatio
  • SmallestImagePixelValue
  • LargestImagePixelValue
  • RedPaletteColorLookupTableDescriptor
  • GreenPaletteColorLookupTableDescriptor
  • BluePaletteColorLookupTableDescriptor
  • RedPaletteColorLookupTableData
  • GreenPaletteColorLookupTableData
  • BluePaletteColorLookupTableData
  • ICCProfile
  • ColorSpace
  • WindowCenter
  • WindowWidth
  • VOILUTFunction

Operasi deidentify tidak menyamarkan tag sebelumnya. Namun, nilai untuk beberapa tag dibuat ulang, yang berarti nilai tersebut diganti dengan nilai yang berbeda melalui transformasi deterministik. Untuk mengetahui informasi selengkapnya, lihat Opsi Mempertahankan UID dalam standar DICOM. Untuk mempertahankan nilai asli tag sebelumnya, gunakan opsi SkipIdRedaction.

Jika tidak ada tag keeplist yang disediakan, tidak ada tag DICOM dalam set data yang disamarkan.

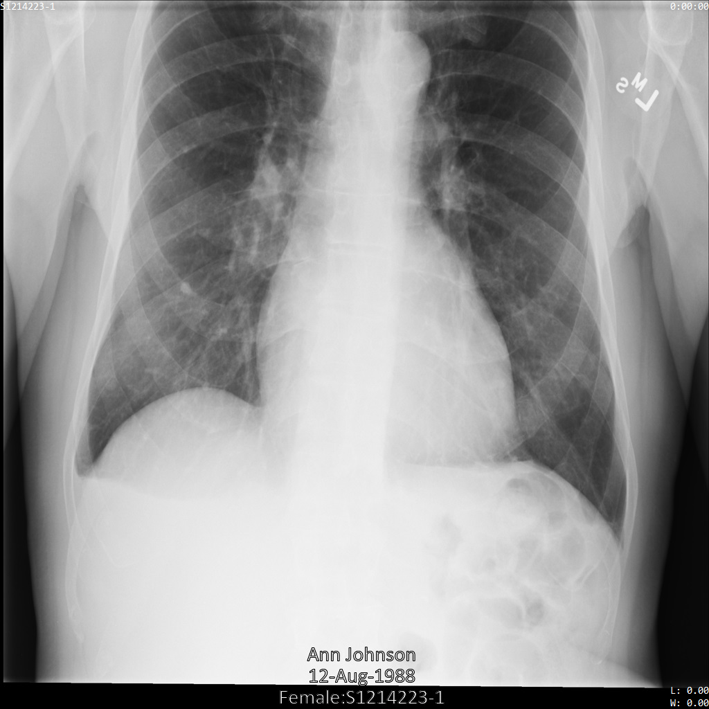
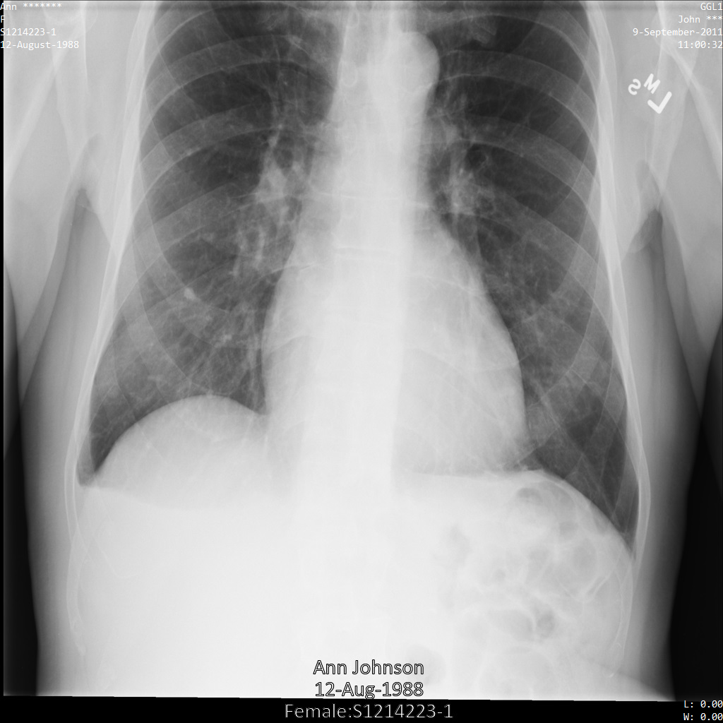
Contoh berikut menunjukkan cara melakukan de-identifikasi set data yang berisi penyimpanan DICOM dan data DICOM sambil membiarkan beberapa tag tidak berubah.

Setelah mengirimkan gambar ke Cloud Healthcare API, gambar akan muncul seperti berikut. Meskipun metadata yang ditampilkan di sudut atas gambar telah disamarkan, informasi kesehatan terlindungi (PHI) yang tercetak di bagian bawah gambar tetap ada. Untuk juga menghapus teks sisipan, lihat Menyamarkan teks sisipan dari gambar.

dicom_keeplist

REST

  1. Lakukan de-identifikasi set data.

    Sebelum menggunakan salah satu data permintaan, lakukan penggantian berikut:

    • PROJECT_ID: ID Google Cloud project Anda
    • LOCATION: lokasi set data
    • SOURCE_DATASET_ID: ID set data yang berisi data yang akan dianonimkan
    • DESTINATION_DATASET_ID: ID set data tujuan tempat data yang tidak diidentifikasi ditulis

    Meminta isi JSON:

    {
      "destinationDataset": "projects/PROJECT_ID/locations/LOCATION/datasets/DESTINATION_DATASET_ID",
      "config": {
        "dicom": {
          "keepList": {
            "tags": [
              "PatientID"
            ]
          }
        }
      }
    }
    

    Untuk mengirim permintaan Anda, pilih salah satu opsi berikut:

    curl

    Simpan isi permintaan dalam file bernama request.json. Jalankan perintah berikut di terminal untuk membuat atau menimpa file ini di direktori saat ini:

    cat > request.json << 'EOF'
    {
      "destinationDataset": "projects/PROJECT_ID/locations/LOCATION/datasets/DESTINATION_DATASET_ID",
      "config": {
        "dicom": {
          "keepList": {
            "tags": [
              "PatientID"
            ]
          }
        }
      }
    }
    EOF

    Kemudian, jalankan perintah berikut untuk mengirim permintaan REST Anda:

    curl -X POST \
    -H "Authorization: Bearer $(gcloud auth print-access-token)" \
    -H "Content-Type: application/json; charset=utf-8" \
    -d @request.json \
    "https://healthcare.googleapis.com/v1/projects/PROJECT_ID/locations/LOCATION/datasets/SOURCE_DATASET_ID:deidentify"

    PowerShell

    Simpan isi permintaan dalam file bernama request.json. Jalankan perintah berikut di terminal untuk membuat atau menimpa file ini di direktori saat ini:

    @'
    {
      "destinationDataset": "projects/PROJECT_ID/locations/LOCATION/datasets/DESTINATION_DATASET_ID",
      "config": {
        "dicom": {
          "keepList": {
            "tags": [
              "PatientID"
            ]
          }
        }
      }
    }
    '@  | Out-File -FilePath request.json -Encoding utf8

    Kemudian jalankan perintah berikut untuk mengirim permintaan REST Anda:

    $cred = gcloud auth print-access-token
    $headers = @{ "Authorization" = "Bearer $cred" }

    Invoke-WebRequest `
    -Method POST `
    -Headers $headers `
    -ContentType: "application/json; charset=utf-8" `
    -InFile request.json `
    -Uri "https://healthcare.googleapis.com/v1/projects/PROJECT_ID/locations/LOCATION/datasets/SOURCE_DATASET_ID:deidentify" | Select-Object -Expand Content
    Output-nya adalah sebagai berikut. Respons berisi ID untuk operasi yang berjalan lama. Operasi yang berjalan lama ditampilkan saat panggilan metode mungkin memerlukan waktu yang cukup lama untuk diselesaikan. Catat nilai OPERATION_ID. Anda memerlukan nilai ini pada langkah berikutnya.

  2. Gunakan metode projects.locations.datasets.operations.get untuk mendapatkan status operasi yang berjalan lama.

    Sebelum menggunakan salah satu data permintaan, lakukan penggantian berikut:

    • PROJECT_ID: ID Google Cloud project Anda
    • DATASET_ID: ID set data
    • LOCATION: lokasi set data
    • OPERATION_ID: ID yang ditampilkan dari operasi yang berjalan lama

    Untuk mengirim permintaan Anda, pilih salah satu opsi berikut:

    curl

    Jalankan perintah berikut:

    curl -X GET \
    -H "Authorization: Bearer $(gcloud auth print-access-token)" \
    "https://healthcare.googleapis.com/v1/projects/PROJECT_ID/locations/LOCATION/datasets/DATASET_ID/operations/OPERATION_ID"

    PowerShell

    Jalankan perintah berikut:

    $cred = gcloud auth print-access-token
    $headers = @{ "Authorization" = "Bearer $cred" }

    Invoke-WebRequest `
    -Method GET `
    -Headers $headers `
    -Uri "https://healthcare.googleapis.com/v1/projects/PROJECT_ID/locations/LOCATION/datasets/DATASET_ID/operations/OPERATION_ID" | Select-Object -Expand Content

    APIs Explorer

    Buka halaman referensi metode. Panel APIs Explorer terbuka di sisi kanan halaman. Anda bisa berinteraksi dengan alat ini untuk mengirim permintaan. Lengkapi kolom yang wajib diisi, lalu klik Jalankan.

    Output-nya adalah sebagai berikut. Jika respons berisi "done": true, berarti operasi yang berjalan lama telah selesai.
  3. Setelah proses penghapusan identitas berhasil, Anda dapat mengambil metadata untuk instance yang identitasnya dihapus untuk melihat perubahannya. Instance yang di-de-identifikasi memiliki UID studi, UID rangkaian, dan UID instance baru, jadi Anda harus menelusuri set data baru untuk menemukan instance yang di-de-identifikasi terlebih dahulu.

    Sebelum menggunakan salah satu data permintaan, lakukan penggantian berikut:

    • PROJECT_ID: ID Google Cloud project Anda
    • SOURCE_DATASET_LOCATION: lokasi set data sumber
    • DESTINATION_DATASET_ID: ID set data tujuan tempat data yang tidak diidentifikasi ditulis
    • DESTINATION_DICOM_STORE_ID: ID penyimpanan DICOM di set data tujuan. Ini sama dengan ID penyimpanan DICOM dalam set data sumber.

    Untuk mengirim permintaan Anda, pilih salah satu opsi berikut:

    curl

    Jalankan perintah berikut:

    curl -X GET \
    -H "Authorization: Bearer $(gcloud auth print-access-token)" \
    "https://healthcare.googleapis.com/v1/projects/PROJECT_ID/locations/SOURCE_DATASET_LOCATION/datasets/DESTINATION_DATASET_ID/dicomStores/DESTINATION_DICOM_STORE_ID/dicomWeb/instances"

    PowerShell

    Jalankan perintah berikut:

    $cred = gcloud auth print-access-token
    $headers = @{ "Authorization" = "Bearer $cred" }

    Invoke-WebRequest `
    -Method GET `
    -Headers $headers `
    -Uri "https://healthcare.googleapis.com/v1/projects/PROJECT_ID/locations/SOURCE_DATASET_LOCATION/datasets/DESTINATION_DATASET_ID/dicomStores/DESTINATION_DICOM_STORE_ID/dicomWeb/instances" | Select-Object -Expand Content

    APIs Explorer

    Buka halaman referensi metode. Panel APIs Explorer terbuka di sisi kanan halaman. Anda bisa berinteraksi dengan alat ini untuk mengirim permintaan. Lengkapi kolom yang wajib diisi, lalu klik Jalankan.

    Anda akan melihat respons JSON seperti berikut:

    Tabel berikut menunjukkan perubahan UID studi, UID deret, dan UID instance:
      Metadata instance asli Metadata instance yang dide-identifikasi
    UID Studi (0020000D) 2.25.70541616638819138568043293671559322355 1.3.6.1.4.1.11129.5.1.201854290391432893460946240745559593763
    UID Seri (0020000E) 1.2.276.0.7230010.3.1.3.8323329.78.1531234558.523694 1.3.6.1.4.1.11129.5.1.303327499491957026103380014864616068710
    UID Instance (00080018) 1.2.276.0.7230010.3.1.4.8323329.78.1539083058.523695 1.3.6.1.4.1.11129.5.1.97415866390999888717168863957686758029
  4. Dengan menggunakan nilai baru, ambil metadata untuk instance.

    Sebelum menggunakan salah satu data permintaan, lakukan penggantian berikut:

    • PROJECT_ID: ID Google Cloud project Anda
    • LOCATION: lokasi set data
    • DESTINATION_DATASET_ID: ID set data tujuan tempat data yang tidak diidentifikasi ditulis
    • DESTINATION_DICOM_STORE_ID: ID penyimpanan DICOM di set data tujuan. Ini sama dengan ID penyimpanan DICOM dalam set data sumber.

    Untuk mengirim permintaan Anda, pilih salah satu opsi berikut:

    curl

    Jalankan perintah berikut:

    curl -X GET \
    -H "Authorization: Bearer $(gcloud auth print-access-token)" \
    "https://healthcare.googleapis.com/v1/projects/PROJECT_ID/locations/LOCATION/datasets/DESTINATION_DATASET_ID/dicomStores/DESTINATION_DICOM_STORE_ID/dicomWeb/studies/1.3.6.1.4.1.11129.5.1.201854290391432893460946240745559593763/series/1.3.6.1.4.1.11129.5.1.303327499491957026103380014864616068710/instances/1.3.6.1.4.1.11129.5.1.97415866390999888717168863957686758029/metadata"

    PowerShell

    Jalankan perintah berikut:

    $cred = gcloud auth print-access-token
    $headers = @{ "Authorization" = "Bearer $cred" }

    Invoke-WebRequest `
    -Method GET `
    -Headers $headers `
    -Uri "https://healthcare.googleapis.com/v1/projects/PROJECT_ID/locations/LOCATION/datasets/DESTINATION_DATASET_ID/dicomStores/DESTINATION_DICOM_STORE_ID/dicomWeb/studies/1.3.6.1.4.1.11129.5.1.201854290391432893460946240745559593763/series/1.3.6.1.4.1.11129.5.1.303327499491957026103380014864616068710/instances/1.3.6.1.4.1.11129.5.1.97415866390999888717168863957686758029/metadata" | Select-Object -Expand Content

    APIs Explorer

    Buka halaman referensi metode. Panel APIs Explorer terbuka di sisi kanan halaman. Anda bisa berinteraksi dengan alat ini untuk mengirim permintaan. Lengkapi kolom yang wajib diisi, lalu klik Jalankan.

    Output-nya berisi metadata baru. Anda dapat membandingkan metadata baru dengan metadata asli untuk melihat efek transformasi.

Go

import (
	"context"
	"fmt"
	"io"
	"time"

	healthcare "google.golang.org/api/healthcare/v1"
)

// deidentifyDataset creates a new dataset containing de-identified data from the source dataset.
func deidentifyDataset(w io.Writer, projectID, location, sourceDatasetID, destinationDatasetID string) error {
	ctx := context.Background()

	healthcareService, err := healthcare.NewService(ctx)
	if err != nil {
		return fmt.Errorf("healthcare.NewService: %w", err)
	}

	datasetsService := healthcareService.Projects.Locations.Datasets

	parent := fmt.Sprintf("projects/%s/locations/%s", projectID, location)

	req := &healthcare.DeidentifyDatasetRequest{
		DestinationDataset: fmt.Sprintf("%s/datasets/%s", parent, destinationDatasetID),
		Config: &healthcare.DeidentifyConfig{
			Dicom: &healthcare.DicomConfig{
				KeepList: &healthcare.TagFilterList{
					Tags: []string{
						"PatientID",
					},
				},
			},
		},
	}

	sourceName := fmt.Sprintf("%s/datasets/%s", parent, sourceDatasetID)
	resp, err := datasetsService.Deidentify(sourceName, req).Do()
	if err != nil {
		return fmt.Errorf("Deidentify: %w", err)
	}

	// Wait for the deidentification operation to finish.
	operationService := healthcareService.Projects.Locations.Datasets.Operations
	for {
		op, err := operationService.Get(resp.Name).Do()
		if err != nil {
			return fmt.Errorf("operationService.Get: %w", err)
		}
		if !op.Done {
			time.Sleep(1 * time.Second)
			continue
		}
		if op.Error != nil {
			return fmt.Errorf("deidentify operation error: %v", *op.Error)
		}
		fmt.Fprintf(w, "Created de-identified dataset %s from %s\n", resp.Name, sourceName)
		return nil
	}
}

Java

import com.google.api.client.http.HttpRequestInitializer;
import com.google.api.client.http.javanet.NetHttpTransport;
import com.google.api.client.json.JsonFactory;
import com.google.api.client.json.gson.GsonFactory;
import com.google.api.services.healthcare.v1.CloudHealthcare;
import com.google.api.services.healthcare.v1.CloudHealthcare.Projects.Locations.Datasets;
import com.google.api.services.healthcare.v1.CloudHealthcareScopes;
import com.google.api.services.healthcare.v1.model.DeidentifyConfig;
import com.google.api.services.healthcare.v1.model.DeidentifyDatasetRequest;
import com.google.api.services.healthcare.v1.model.DicomConfig;
import com.google.api.services.healthcare.v1.model.Operation;
import com.google.api.services.healthcare.v1.model.TagFilterList;
import com.google.auth.http.HttpCredentialsAdapter;
import com.google.auth.oauth2.GoogleCredentials;
import java.io.IOException;
import java.util.Arrays;
import java.util.Collections;

public class DatasetDeIdentify {
  private static final String DATASET_NAME = "projects/%s/locations/%s/datasets/%s";
  private static final JsonFactory JSON_FACTORY = new GsonFactory();
  private static final NetHttpTransport HTTP_TRANSPORT = new NetHttpTransport();

  public static void datasetDeIdentify(String srcDatasetName, String destDatasetName)
      throws IOException {
    // String srcDatasetName =
    //     String.format(DATASET_NAME, "your-project-id", "your-region-id", "your-src-dataset-id");
    // String destDatasetName =
    //    String.format(DATASET_NAME, "your-project-id", "your-region-id", "your-dest-dataset-id");

    // Initialize the client, which will be used to interact with the service.
    CloudHealthcare client = createClient();

    // Configure what information needs to be De-Identified.
    // For more information on de-identifying using tags, please see the following:
    // https://cloud.google.com/healthcare/docs/how-tos/dicom-deidentify#de-identification_using_tags
    TagFilterList tags = new TagFilterList().setTags(Arrays.asList("PatientID"));
    DicomConfig dicomConfig = new DicomConfig().setKeepList(tags);
    DeidentifyConfig config = new DeidentifyConfig().setDicom(dicomConfig);

    // Create the de-identify request and configure any parameters.
    DeidentifyDatasetRequest deidentifyRequest =
        new DeidentifyDatasetRequest().setDestinationDataset(destDatasetName).setConfig(config);
    Datasets.Deidentify request =
        client.projects().locations().datasets().deidentify(srcDatasetName, deidentifyRequest);

    // Execute the request, wait for the operation to complete, and process the results.
    try {
      Operation operation = request.execute();
      while (operation.getDone() == null || !operation.getDone()) {
        // Update the status of the operation with another request.
        Thread.sleep(500); // Pause for 500ms between requests.
        operation =
            client
                .projects()
                .locations()
                .datasets()
                .operations()
                .get(operation.getName())
                .execute();
      }
      System.out.println(
          "De-identified Dataset created. Response content: " + operation.getResponse());
    } catch (Exception ex) {
      System.out.printf("Error during request execution: %s", ex.toString());
      ex.printStackTrace(System.out);
    }
  }

  private static CloudHealthcare createClient() throws IOException {
    // Use Application Default Credentials (ADC) to authenticate the requests
    // For more information see https://cloud.google.com/docs/authentication/production
    GoogleCredentials credential =
        GoogleCredentials.getApplicationDefault()
            .createScoped(Collections.singleton(CloudHealthcareScopes.CLOUD_PLATFORM));

    // Create a HttpRequestInitializer, which will provide a baseline configuration to all requests.
    HttpRequestInitializer requestInitializer =
        request -> {
          new HttpCredentialsAdapter(credential).initialize(request);
          request.setConnectTimeout(60000); // 1 minute connect timeout
          request.setReadTimeout(60000); // 1 minute read timeout
        };

    // Build the client for interacting with the service.
    return new CloudHealthcare.Builder(HTTP_TRANSPORT, JSON_FACTORY, requestInitializer)
        .setApplicationName("your-application-name")
        .build();
  }
}

Node.js

const google = require('@googleapis/healthcare');
const healthcare = google.healthcare({
  version: 'v1',
  auth: new google.auth.GoogleAuth({
    scopes: ['https://www.googleapis.com/auth/cloud-platform'],
  }),
});

const deidentifyDataset = async () => {
  // TODO(developer): uncomment these lines before running the sample
  // const cloudRegion = 'us-central1';
  // const projectId = 'adjective-noun-123';
  // const sourceDatasetId = 'my-source-dataset';
  // const destinationDatasetId = 'my-destination-dataset';
  // const keeplistTags = 'PatientID'
  const sourceDataset = `projects/${projectId}/locations/${cloudRegion}/datasets/${sourceDatasetId}`;
  const destinationDataset = `projects/${projectId}/locations/${cloudRegion}/datasets/${destinationDatasetId}`;
  const request = {
    sourceDataset: sourceDataset,
    destinationDataset: destinationDataset,
    resource: {
      config: {
        dicom: {
          keepList: {
            tags: [keeplistTags],
          },
        },
      },
    },
  };

  await healthcare.projects.locations.datasets.deidentify(request);
  console.log(
    `De-identified data written from dataset ${sourceDatasetId} to dataset ${destinationDatasetId}`
  );
};

deidentifyDataset();

Python

# Imports the Dict type for runtime type hints.
from typing import Dict


def deidentify_dataset(
    project_id: str,
    location: str,
    dataset_id: str,
    destination_dataset_id: str,
) -> Dict[str, str]:
    """Uses a DICOM tag keeplist to create a new dataset containing de-identified DICOM data from the source dataset.

    See
    https://github.com/GoogleCloudPlatform/python-docs-samples/tree/main/healthcare/api-client/v1/datasets
    before running the sample.
    See https://googleapis.github.io/google-api-python-client/docs/dyn/healthcare_v1.projects.locations.datasets.html#deidentify
    for the Python API reference.

    Args:
      project_id: The project ID or project number of the Google Cloud project you want
          to use.
      location: The name of the dataset's location.
      dataset_id: The ID of the source dataset containing the DICOM store to de-identify.
      destination_dataset_id: The ID of the dataset where de-identified DICOM data
        is written.

    Returns:
      A dictionary representing a long-running operation that results from
      calling the 'DeidentifyDataset' method. Use the
      'google.longrunning.Operation'
      API to poll the operation status.
    """
    # Imports the Python built-in time module.
    import time

    # Imports the Google API Discovery Service.
    from googleapiclient import discovery

    # Imports HttpError from the Google Python API client errors module.
    from googleapiclient.errors import HttpError

    api_version = "v1"
    service_name = "healthcare"
    # Returns an authorized API client by discovering the Healthcare API
    # and using GOOGLE_APPLICATION_CREDENTIALS environment variable.
    client = discovery.build(service_name, api_version)

    # TODO(developer): Uncomment these lines and replace with your values.
    # project_id = 'my-project'
    # location = 'us-central1'
    # dataset_id = 'my-source-dataset'
    # destination_dataset_id = 'my-destination-dataset'
    source_dataset = "projects/{}/locations/{}/datasets/{}".format(
        project_id, location, dataset_id
    )
    destination_dataset = "projects/{}/locations/{}/datasets/{}".format(
        project_id, location, destination_dataset_id
    )

    body = {
        "destinationDataset": destination_dataset,
        "config": {
            "dicom": {
                "keepList": {
                    "tags": [
                        "Columns",
                        "NumberOfFrames",
                        "PixelRepresentation",
                        "MediaStorageSOPClassUID",
                        "MediaStorageSOPInstanceUID",
                        "Rows",
                        "SamplesPerPixel",
                        "BitsAllocated",
                        "HighBit",
                        "PhotometricInterpretation",
                        "BitsStored",
                        "PatientID",
                        "TransferSyntaxUID",
                        "SOPInstanceUID",
                        "StudyInstanceUID",
                        "SeriesInstanceUID",
                        "PixelData",
                    ]
                }
            }
        },
    }

    request = (
        client.projects()
        .locations()
        .datasets()
        .deidentify(sourceDataset=source_dataset, body=body)
    )

    # Set a start time for operation completion.
    start_time = time.time()
    # TODO(developer): Increase the max_time if de-identifying many resources.
    max_time = 600

    try:
        operation = request.execute()
        while not operation.get("done", False):
            # Poll until the operation finishes.
            print("Waiting for operation to finish...")
            if time.time() - start_time > max_time:
                raise RuntimeError("Timed out waiting for operation to finish.")
            operation = (
                client.projects()
                .locations()
                .datasets()
                .operations()
                .get(name=operation["name"])
                .execute()
            )
            # Wait 5 seconds between each poll to the operation.
            time.sleep(5)

        if operation.get("error"):
            raise TimeoutError(f"De-identify operation failed: {operation['error']}")
        else:
            print(f"De-identified data to dataset: {destination_dataset_id}")
            print(
                f"Resources succeeded: {operation.get('metadata').get('counter').get('success')}"
            )
            print(
                f"Resources failed: {operation.get('metadata').get('counter').get('failure')}"
            )
            return operation

    except HttpError as err:
        # A common error is when the destination dataset already exists.
        if err.resp.status == 409:
            raise RuntimeError(
                f"Destination dataset with ID {destination_dataset_id} already exists."
            )
        else:
            raise err

De-identifikasi menggunakan tag removelist

Anda dapat menentukan removelist dalam objek DicomConfig. Operasi deidentify hanya akan menyamarkan tag yang ditentukan dalam daftar. Jika tidak ada tag removelist yang diberikan, operasi de-identifikasi akan berlangsung seperti biasa, tetapi tidak ada tag DICOM dalam set data tujuan yang disamarkan.

Saat Anda menentukan removelist, tag OverlayData akan ditambahkan secara default karena data overlay mungkin berisi PHI.

Tag yang secara default ditambahkan ke daftar tetap tidak dapat ditambahkan ke daftar hapus.

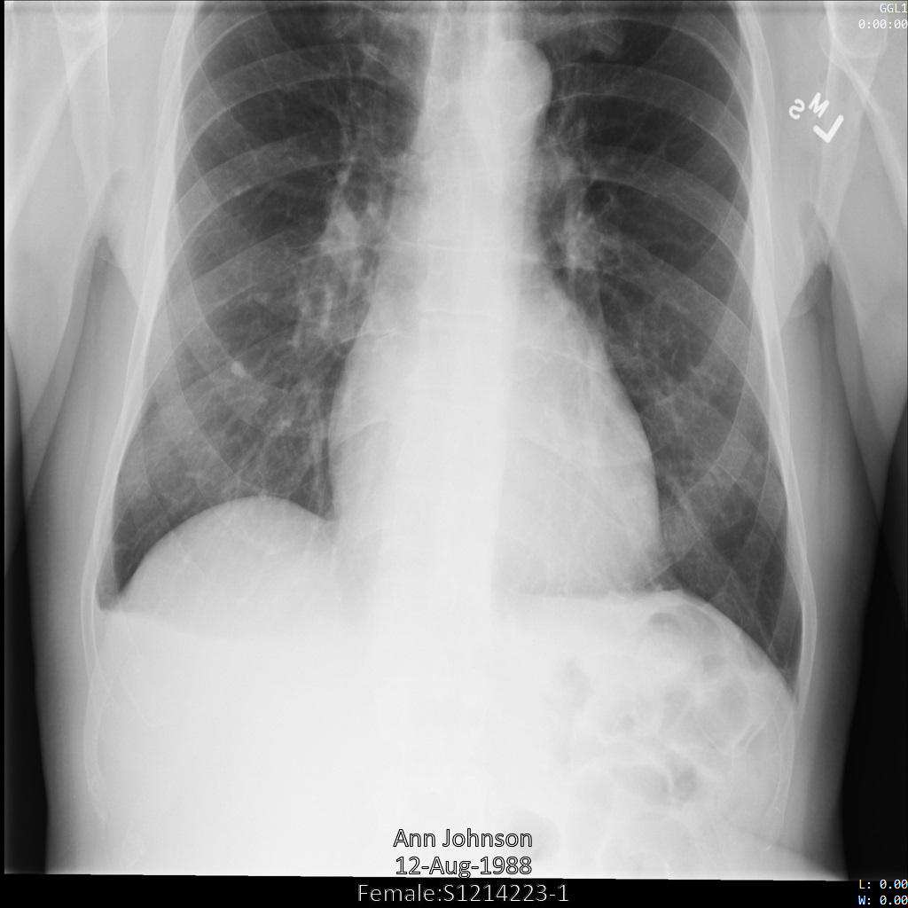
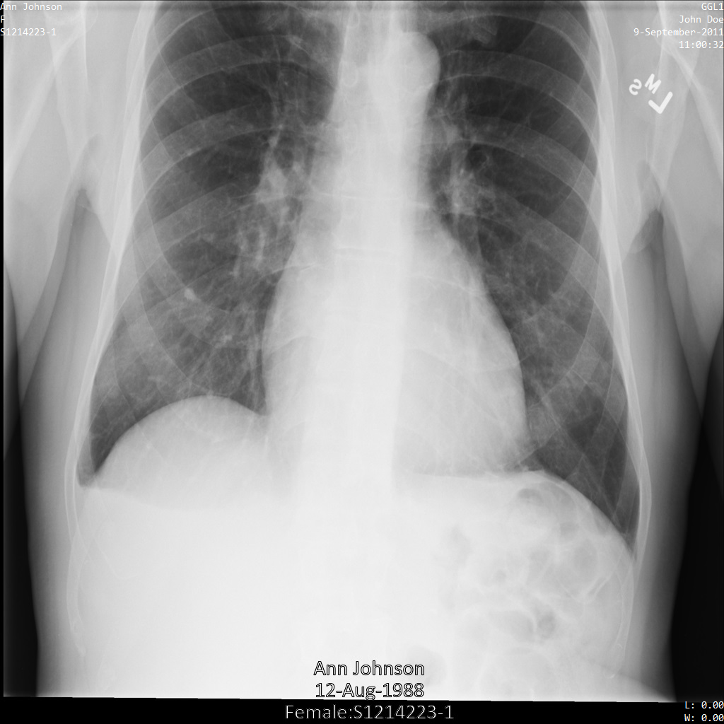
Contoh berikut menunjukkan cara melakukan de-identifikasi set data yang berisi penyimpanan DICOM dan data DICOM dengan menghapus semua tag dalam removelist. Tag yang tidak ada dalam removelist tidak berubah.

Setelah mengirimkan gambar ke Cloud Healthcare API, gambar akan muncul seperti berikut. Dari tag yang diberikan dalam removelist, hanya PatientBirthDate yang dihapus dalam gambar, karena hanya tag tersebut dari removelist yang sesuai dengan metadata yang terlihat dalam gambar.

Meskipun PatientBirthDate di sudut atas gambar telah disamarkan sesuai dengan konfigurasi dalam removelist, PHI yang tercetak di bagian bawah gambar tetap ada. Untuk juga menghapus teks sisipan, lihat Menyamarkan teks sisipan dari gambar.

dicom_removelist

REST

  1. Lakukan de-identifikasi set data.

    Sebelum menggunakan salah satu data permintaan, lakukan penggantian berikut:

    • PROJECT_ID: ID Google Cloud project Anda
    • LOCATION: lokasi set data
    • SOURCE_DATASET_ID: ID set data yang berisi data yang akan dianonimkan
    • DESTINATION_DATASET_ID: ID set data tujuan tempat data yang tidak diidentifikasi ditulis

    Meminta isi JSON:

    {
      "destinationDataset": "projects/PROJECT_ID/locations/LOCATION/datasets/DESTINATION_DATASET_ID",
      "config": {
        "dicom": {
          "removeList": {
            "tags": [
              "PatientBirthName",
              "PatientBirthDate",
              "PatientAge",
              "PatientSize",
              "PatientWeight",
              "PatientAddress",
              "PatientMotherBirthName"
            ]
          }
        }
      }
    }
    

    Untuk mengirim permintaan Anda, pilih salah satu opsi berikut:

    curl

    Simpan isi permintaan dalam file bernama request.json. Jalankan perintah berikut di terminal untuk membuat atau menimpa file ini di direktori saat ini:

    cat > request.json << 'EOF'
    {
      "destinationDataset": "projects/PROJECT_ID/locations/LOCATION/datasets/DESTINATION_DATASET_ID",
      "config": {
        "dicom": {
          "removeList": {
            "tags": [
              "PatientBirthName",
              "PatientBirthDate",
              "PatientAge",
              "PatientSize",
              "PatientWeight",
              "PatientAddress",
              "PatientMotherBirthName"
            ]
          }
        }
      }
    }
    EOF

    Kemudian, jalankan perintah berikut untuk mengirim permintaan REST Anda:

    curl -X POST \
    -H "Authorization: Bearer $(gcloud auth print-access-token)" \
    -H "Content-Type: application/json; charset=utf-8" \
    -d @request.json \
    "https://healthcare.googleapis.com/v1/projects/PROJECT_ID/locations/LOCATION/datasets/SOURCE_DATASET_ID:deidentify"

    PowerShell

    Simpan isi permintaan dalam file bernama request.json. Jalankan perintah berikut di terminal untuk membuat atau menimpa file ini di direktori saat ini:

    @'
    {
      "destinationDataset": "projects/PROJECT_ID/locations/LOCATION/datasets/DESTINATION_DATASET_ID",
      "config": {
        "dicom": {
          "removeList": {
            "tags": [
              "PatientBirthName",
              "PatientBirthDate",
              "PatientAge",
              "PatientSize",
              "PatientWeight",
              "PatientAddress",
              "PatientMotherBirthName"
            ]
          }
        }
      }
    }
    '@  | Out-File -FilePath request.json -Encoding utf8

    Kemudian jalankan perintah berikut untuk mengirim permintaan REST Anda:

    $cred = gcloud auth print-access-token
    $headers = @{ "Authorization" = "Bearer $cred" }

    Invoke-WebRequest `
    -Method POST `
    -Headers $headers `
    -ContentType: "application/json; charset=utf-8" `
    -InFile request.json `
    -Uri "https://healthcare.googleapis.com/v1/projects/PROJECT_ID/locations/LOCATION/datasets/SOURCE_DATASET_ID:deidentify" | Select-Object -Expand Content
    Output-nya adalah sebagai berikut. Respons berisi ID untuk operasi yang berjalan lama. Operasi yang berjalan lama ditampilkan saat panggilan metode mungkin memerlukan waktu yang cukup lama untuk diselesaikan. Catat nilai OPERATION_ID. Anda memerlukan nilai ini pada langkah berikutnya.

  2. Gunakan metode projects.locations.datasets.operations.get untuk mendapatkan status operasi yang berjalan lama.

    Sebelum menggunakan salah satu data permintaan, lakukan penggantian berikut:

    • PROJECT_ID: ID Google Cloud project Anda
    • DATASET_ID: ID set data
    • LOCATION: lokasi set data
    • OPERATION_ID: ID yang ditampilkan dari operasi yang berjalan lama

    Untuk mengirim permintaan Anda, pilih salah satu opsi berikut:

    curl

    Jalankan perintah berikut:

    curl -X GET \
    -H "Authorization: Bearer $(gcloud auth print-access-token)" \
    "https://healthcare.googleapis.com/v1/projects/PROJECT_ID/locations/LOCATION/datasets/DATASET_ID/operations/OPERATION_ID"

    PowerShell

    Jalankan perintah berikut:

    $cred = gcloud auth print-access-token
    $headers = @{ "Authorization" = "Bearer $cred" }

    Invoke-WebRequest `
    -Method GET `
    -Headers $headers `
    -Uri "https://healthcare.googleapis.com/v1/projects/PROJECT_ID/locations/LOCATION/datasets/DATASET_ID/operations/OPERATION_ID" | Select-Object -Expand Content

    APIs Explorer

    Buka halaman referensi metode. Panel APIs Explorer terbuka di sisi kanan halaman. Anda bisa berinteraksi dengan alat ini untuk mengirim permintaan. Lengkapi kolom yang wajib diisi, lalu klik Jalankan.

    Output-nya adalah sebagai berikut. Jika respons berisi "done": true, berarti operasi yang berjalan lama telah selesai.
  3. Setelah proses penghapusan identitas berhasil, Anda dapat mengambil metadata untuk instance yang identitasnya dihapus untuk melihat perubahannya. Instance yang di-de-identifikasi memiliki UID studi, UID rangkaian, dan UID instance baru, jadi Anda harus menelusuri set data baru untuk menemukan instance yang di-de-identifikasi terlebih dahulu.

    Sebelum menggunakan salah satu data permintaan, lakukan penggantian berikut:

    • PROJECT_ID: ID Google Cloud project Anda
    • SOURCE_DATASET_LOCATION: lokasi set data sumber
    • DESTINATION_DATASET_ID: ID set data tujuan tempat data yang tidak diidentifikasi ditulis
    • DESTINATION_DICOM_STORE_ID: ID penyimpanan DICOM di set data tujuan. Ini sama dengan ID penyimpanan DICOM dalam set data sumber.

    Untuk mengirim permintaan Anda, pilih salah satu opsi berikut:

    curl

    Jalankan perintah berikut:

    curl -X GET \
    -H "Authorization: Bearer $(gcloud auth print-access-token)" \
    "https://healthcare.googleapis.com/v1/projects/PROJECT_ID/locations/SOURCE_DATASET_LOCATION/datasets/DESTINATION_DATASET_ID/dicomStores/DESTINATION_DICOM_STORE_ID/dicomWeb/instances"

    PowerShell

    Jalankan perintah berikut:

    $cred = gcloud auth print-access-token
    $headers = @{ "Authorization" = "Bearer $cred" }

    Invoke-WebRequest `
    -Method GET `
    -Headers $headers `
    -Uri "https://healthcare.googleapis.com/v1/projects/PROJECT_ID/locations/SOURCE_DATASET_LOCATION/datasets/DESTINATION_DATASET_ID/dicomStores/DESTINATION_DICOM_STORE_ID/dicomWeb/instances" | Select-Object -Expand Content

    APIs Explorer

    Buka halaman referensi metode. Panel APIs Explorer terbuka di sisi kanan halaman. Anda bisa berinteraksi dengan alat ini untuk mengirim permintaan. Lengkapi kolom yang wajib diisi, lalu klik Jalankan.

    Anda akan melihat respons JSON seperti berikut:

    Tabel berikut menunjukkan perubahan UID studi, UID deret, dan UID instance:
      Metadata instance asli Metadata instance yang dide-identifikasi
    UID Studi (0020000D) 2.25.70541616638819138568043293671559322355 1.3.6.1.4.1.11129.5.1.201854290391432893460946240745559593763
    UID Seri (0020000E) 1.2.276.0.7230010.3.1.3.8323329.78.1531234558.523694 1.3.6.1.4.1.11129.5.1.303327499491957026103380014864616068710
    UID Instance (00080018) 1.2.276.0.7230010.3.1.4.8323329.78.1539083058.523695 1.3.6.1.4.1.11129.5.1.97415866390999888717168863957686758029
  4. Dengan menggunakan nilai baru, ambil metadata untuk instance.

    Sebelum menggunakan salah satu data permintaan, lakukan penggantian berikut:

    • PROJECT_ID: ID Google Cloud project Anda
    • LOCATION: lokasi set data
    • DESTINATION_DATASET_ID: ID set data tujuan tempat data yang tidak diidentifikasi ditulis
    • DESTINATION_DICOM_STORE_ID: ID penyimpanan DICOM di set data tujuan. Ini sama dengan ID penyimpanan DICOM dalam set data sumber.

    Untuk mengirim permintaan Anda, pilih salah satu opsi berikut:

    curl

    Jalankan perintah berikut:

    curl -X GET \
    -H "Authorization: Bearer $(gcloud auth print-access-token)" \
    "https://healthcare.googleapis.com/v1/projects/PROJECT_ID/locations/LOCATION/datasets/DESTINATION_DATASET_ID/dicomStores/DESTINATION_DICOM_STORE_ID/dicomWeb/studies/1.3.6.1.4.1.11129.5.1.201854290391432893460946240745559593763/series/1.3.6.1.4.1.11129.5.1.303327499491957026103380014864616068710/instances/1.3.6.1.4.1.11129.5.1.97415866390999888717168863957686758029/metadata"

    PowerShell

    Jalankan perintah berikut:

    $cred = gcloud auth print-access-token
    $headers = @{ "Authorization" = "Bearer $cred" }

    Invoke-WebRequest `
    -Method GET `
    -Headers $headers `
    -Uri "https://healthcare.googleapis.com/v1/projects/PROJECT_ID/locations/LOCATION/datasets/DESTINATION_DATASET_ID/dicomStores/DESTINATION_DICOM_STORE_ID/dicomWeb/studies/1.3.6.1.4.1.11129.5.1.201854290391432893460946240745559593763/series/1.3.6.1.4.1.11129.5.1.303327499491957026103380014864616068710/instances/1.3.6.1.4.1.11129.5.1.97415866390999888717168863957686758029/metadata" | Select-Object -Expand Content

    APIs Explorer

    Buka halaman referensi metode. Panel APIs Explorer terbuka di sisi kanan halaman. Anda bisa berinteraksi dengan alat ini untuk mengirim permintaan. Lengkapi kolom yang wajib diisi, lalu klik Jalankan.

    Output-nya berisi metadata baru. Anda dapat membandingkan metadata baru dengan metadata asli untuk melihat efek transformasi.

De-identifikasi menggunakan profil filter tag

Daripada menentukan tag yang akan disimpan atau dihapus, Anda dapat mengonfigurasi TagFilterProfile dalam objek DicomConfig. Profil filter tag adalah profil yang telah ditentukan sebelumnya yang menentukan tag mana yang akan disimpan, dihapus, atau diubah. Lihat dokumentasi TagFilterProfile untuk mengetahui profil yang tersedia.

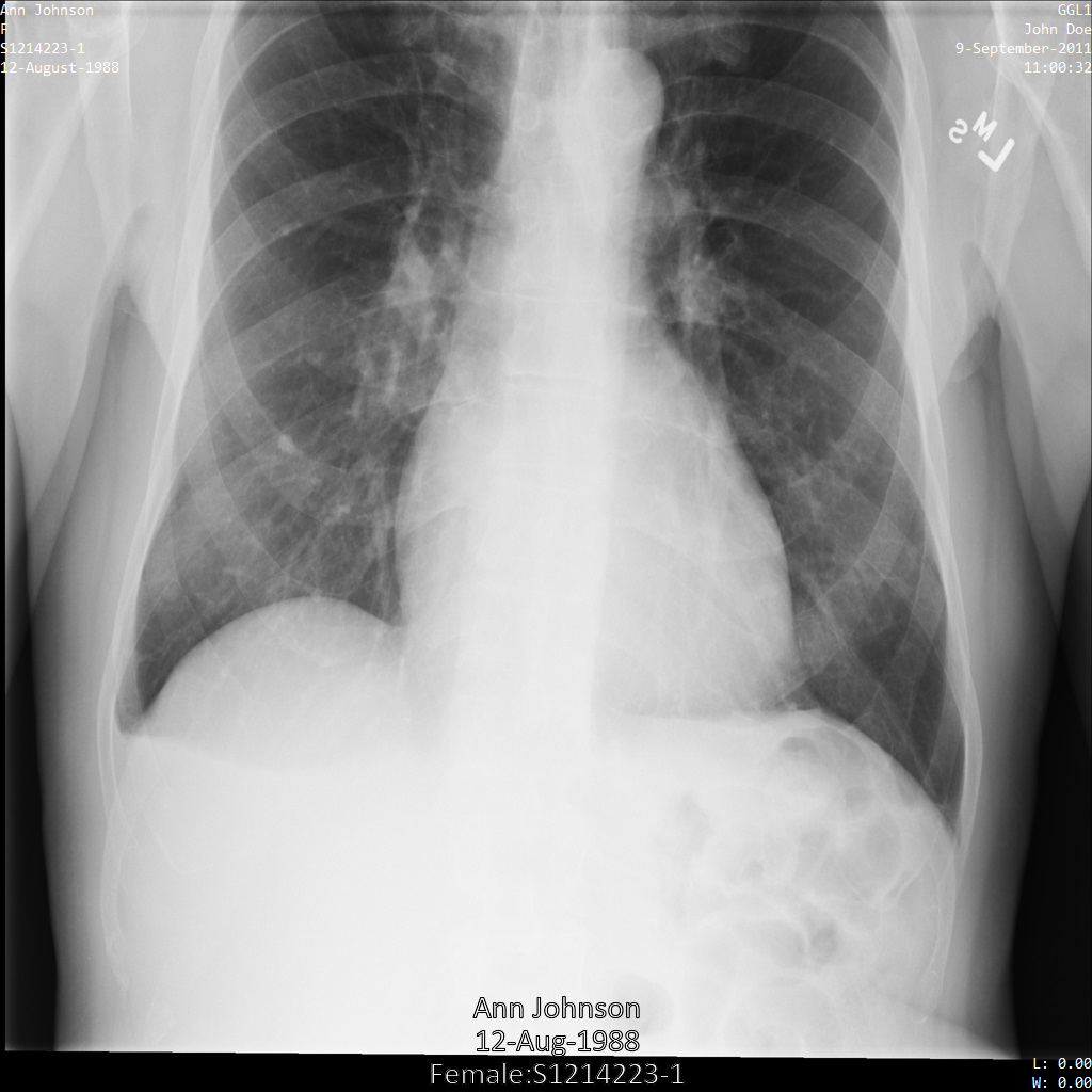
Contoh berikut menunjukkan cara melakukan de-identifikasi set data yang berisi penyimpanan DICOM dan data DICOM menggunakan profil filter tag ATTRIBUTE_CONFIDENTIALITY_BASIC_PROFILE. Profil filter tag ini menghapus tag berdasarkan Profil Dasar Kerahasiaan Atribut Standar DICOM. Cloud Healthcare API tidak sepenuhnya sesuai dengan Profil Dasar Kerahasiaan Atribut. Misalnya, Cloud Healthcare API tidak memeriksa batasan Information Object Definition (IOD) saat memilih tindakan untuk tag.

Setelah mengirimkan gambar ke Cloud Healthcare API menggunakan profil filter tag ATTRIBUTE_CONFIDENTIALITY_BASIC_PROFILE, gambar akan muncul seperti berikut. Meskipun metadata yang ditampilkan di sudut atas gambar telah disamarkan, PHI yang tercetak di bagian bawah gambar tetap ada. Untuk menghapus teks sisipan juga, lihat Menyamarkan teks sisipan dari gambar.

dicom_attribute_confidentiality_basic_profile

REST

  1. Lakukan de-identifikasi set data.

    Sebelum menggunakan salah satu data permintaan, lakukan penggantian berikut:

    • PROJECT_ID: ID Google Cloud project Anda
    • LOCATION: lokasi set data
    • SOURCE_DATASET_ID: ID set data yang berisi data yang akan dianonimkan
    • DESTINATION_DATASET_ID: ID set data tujuan tempat data yang tidak diidentifikasi ditulis

    Meminta isi JSON:

    {
      "destinationDataset": "projects/PROJECT_ID/locations/LOCATION/datasets/DESTINATION_DATASET_ID",
      "config": {
        "dicom": {
          "filterProfile": "ATTRIBUTE_CONFIDENTIALITY_BASIC_PROFILE"
        }
      }
    }
    

    Untuk mengirim permintaan Anda, pilih salah satu opsi berikut:

    curl

    Simpan isi permintaan dalam file bernama request.json. Jalankan perintah berikut di terminal untuk membuat atau menimpa file ini di direktori saat ini:

    cat > request.json << 'EOF'
    {
      "destinationDataset": "projects/PROJECT_ID/locations/LOCATION/datasets/DESTINATION_DATASET_ID",
      "config": {
        "dicom": {
          "filterProfile": "ATTRIBUTE_CONFIDENTIALITY_BASIC_PROFILE"
        }
      }
    }
    EOF

    Kemudian, jalankan perintah berikut untuk mengirim permintaan REST Anda:

    curl -X POST \
    -H "Authorization: Bearer $(gcloud auth print-access-token)" \
    -H "Content-Type: application/json; charset=utf-8" \
    -d @request.json \
    "https://healthcare.googleapis.com/v1/projects/PROJECT_ID/locations/LOCATION/datasets/SOURCE_DATASET_ID:deidentify"

    PowerShell

    Simpan isi permintaan dalam file bernama request.json. Jalankan perintah berikut di terminal untuk membuat atau menimpa file ini di direktori saat ini:

    @'
    {
      "destinationDataset": "projects/PROJECT_ID/locations/LOCATION/datasets/DESTINATION_DATASET_ID",
      "config": {
        "dicom": {
          "filterProfile": "ATTRIBUTE_CONFIDENTIALITY_BASIC_PROFILE"
        }
      }
    }
    '@  | Out-File -FilePath request.json -Encoding utf8

    Kemudian jalankan perintah berikut untuk mengirim permintaan REST Anda:

    $cred = gcloud auth print-access-token
    $headers = @{ "Authorization" = "Bearer $cred" }

    Invoke-WebRequest `
    -Method POST `
    -Headers $headers `
    -ContentType: "application/json; charset=utf-8" `
    -InFile request.json `
    -Uri "https://healthcare.googleapis.com/v1/projects/PROJECT_ID/locations/LOCATION/datasets/SOURCE_DATASET_ID:deidentify" | Select-Object -Expand Content
    Output-nya adalah sebagai berikut. Respons berisi ID untuk operasi yang berjalan lama. Operasi yang berjalan lama ditampilkan saat panggilan metode mungkin memerlukan waktu yang cukup lama untuk diselesaikan. Catat nilai OPERATION_ID. Anda memerlukan nilai ini pada langkah berikutnya.

  2. Gunakan metode projects.locations.datasets.operations.get untuk mendapatkan status operasi yang berjalan lama.

    Sebelum menggunakan salah satu data permintaan, lakukan penggantian berikut:

    • PROJECT_ID: ID Google Cloud project Anda
    • DATASET_ID: ID set data
    • LOCATION: lokasi set data
    • OPERATION_ID: ID yang ditampilkan dari operasi yang berjalan lama

    Untuk mengirim permintaan Anda, pilih salah satu opsi berikut:

    curl

    Jalankan perintah berikut:

    curl -X GET \
    -H "Authorization: Bearer $(gcloud auth print-access-token)" \
    "https://healthcare.googleapis.com/v1/projects/PROJECT_ID/locations/LOCATION/datasets/DATASET_ID/operations/OPERATION_ID"

    PowerShell

    Jalankan perintah berikut:

    $cred = gcloud auth print-access-token
    $headers = @{ "Authorization" = "Bearer $cred" }

    Invoke-WebRequest `
    -Method GET `
    -Headers $headers `
    -Uri "https://healthcare.googleapis.com/v1/projects/PROJECT_ID/locations/LOCATION/datasets/DATASET_ID/operations/OPERATION_ID" | Select-Object -Expand Content

    APIs Explorer

    Buka halaman referensi metode. Panel APIs Explorer terbuka di sisi kanan halaman. Anda bisa berinteraksi dengan alat ini untuk mengirim permintaan. Lengkapi kolom yang wajib diisi, lalu klik Jalankan.

    Output-nya adalah sebagai berikut. Jika respons berisi "done": true, berarti operasi yang berjalan lama telah selesai.
  3. Setelah proses penghapusan identitas berhasil, Anda dapat mengambil metadata untuk instance yang identitasnya dihapus untuk melihat perubahannya. Instance yang di-de-identifikasi memiliki UID studi, UID rangkaian, dan UID instance baru, jadi Anda harus menelusuri set data baru untuk menemukan instance yang di-de-identifikasi terlebih dahulu.

    Sebelum menggunakan salah satu data permintaan, lakukan penggantian berikut:

    • PROJECT_ID: ID Google Cloud project Anda
    • SOURCE_DATASET_LOCATION: lokasi set data sumber
    • DESTINATION_DATASET_ID: ID set data tujuan tempat data yang tidak diidentifikasi ditulis
    • DESTINATION_DICOM_STORE_ID: ID penyimpanan DICOM di set data tujuan. Ini sama dengan ID penyimpanan DICOM dalam set data sumber.

    Untuk mengirim permintaan Anda, pilih salah satu opsi berikut:

    curl

    Jalankan perintah berikut:

    curl -X GET \
    -H "Authorization: Bearer $(gcloud auth print-access-token)" \
    "https://healthcare.googleapis.com/v1/projects/PROJECT_ID/locations/SOURCE_DATASET_LOCATION/datasets/DESTINATION_DATASET_ID/dicomStores/DESTINATION_DICOM_STORE_ID/dicomWeb/instances"

    PowerShell

    Jalankan perintah berikut:

    $cred = gcloud auth print-access-token
    $headers = @{ "Authorization" = "Bearer $cred" }

    Invoke-WebRequest `
    -Method GET `
    -Headers $headers `
    -Uri "https://healthcare.googleapis.com/v1/projects/PROJECT_ID/locations/SOURCE_DATASET_LOCATION/datasets/DESTINATION_DATASET_ID/dicomStores/DESTINATION_DICOM_STORE_ID/dicomWeb/instances" | Select-Object -Expand Content

    APIs Explorer

    Buka halaman referensi metode. Panel APIs Explorer terbuka di sisi kanan halaman. Anda bisa berinteraksi dengan alat ini untuk mengirim permintaan. Lengkapi kolom yang wajib diisi, lalu klik Jalankan.

    Anda akan melihat respons JSON seperti berikut:

    Tabel berikut menunjukkan perubahan UID studi, UID deret, dan UID instance:
      Metadata instance asli Metadata instance yang dide-identifikasi
    UID Studi (0020000D) 2.25.70541616638819138568043293671559322355 1.3.6.1.4.1.11129.5.1.201854290391432893460946240745559593763
    UID Seri (0020000E) 1.2.276.0.7230010.3.1.3.8323329.78.1531234558.523694 1.3.6.1.4.1.11129.5.1.303327499491957026103380014864616068710
    UID Instance (00080018) 1.2.276.0.7230010.3.1.4.8323329.78.1539083058.523695 1.3.6.1.4.1.11129.5.1.97415866390999888717168863957686758029
  4. Dengan menggunakan nilai baru, ambil metadata untuk instance.

    Sebelum menggunakan salah satu data permintaan, lakukan penggantian berikut:

    • PROJECT_ID: ID Google Cloud project Anda
    • LOCATION: lokasi set data
    • DESTINATION_DATASET_ID: ID set data tujuan tempat data yang tidak diidentifikasi ditulis
    • DESTINATION_DICOM_STORE_ID: ID penyimpanan DICOM di set data tujuan. Ini sama dengan ID penyimpanan DICOM dalam set data sumber.

    Untuk mengirim permintaan Anda, pilih salah satu opsi berikut:

    curl

    Jalankan perintah berikut:

    curl -X GET \
    -H "Authorization: Bearer $(gcloud auth print-access-token)" \
    "https://healthcare.googleapis.com/v1/projects/PROJECT_ID/locations/LOCATION/datasets/DESTINATION_DATASET_ID/dicomStores/DESTINATION_DICOM_STORE_ID/dicomWeb/studies/1.3.6.1.4.1.11129.5.1.201854290391432893460946240745559593763/series/1.3.6.1.4.1.11129.5.1.303327499491957026103380014864616068710/instances/1.3.6.1.4.1.11129.5.1.97415866390999888717168863957686758029/metadata"

    PowerShell

    Jalankan perintah berikut:

    $cred = gcloud auth print-access-token
    $headers = @{ "Authorization" = "Bearer $cred" }

    Invoke-WebRequest `
    -Method GET `
    -Headers $headers `
    -Uri "https://healthcare.googleapis.com/v1/projects/PROJECT_ID/locations/LOCATION/datasets/DESTINATION_DATASET_ID/dicomStores/DESTINATION_DICOM_STORE_ID/dicomWeb/studies/1.3.6.1.4.1.11129.5.1.201854290391432893460946240745559593763/series/1.3.6.1.4.1.11129.5.1.303327499491957026103380014864616068710/instances/1.3.6.1.4.1.11129.5.1.97415866390999888717168863957686758029/metadata" | Select-Object -Expand Content

    APIs Explorer

    Buka halaman referensi metode. Panel APIs Explorer terbuka di sisi kanan halaman. Anda bisa berinteraksi dengan alat ini untuk mengirim permintaan. Lengkapi kolom yang wajib diisi, lalu klik Jalankan.

    Output-nya berisi metadata baru. Anda dapat membandingkan metadata baru dengan metadata asli untuk melihat efek transformasi.

Melakukan de-identifikasi data di konsol Google Cloud

Untuk menganonimkan data di konsol Google Cloud , selesaikan langkah-langkah berikut:

  1. Di konsol Google Cloud , buka halaman Datasets.

    Buka halaman Datasets

  2. Pilih Hilangkan identitas dari daftar Tindakan untuk set data yang identitasnya Anda hilangkan.

    Halaman De-identify Dataset akan ditampilkan.

  3. Pilih Setel set data tujuan dan masukkan nama untuk set data baru guna menyimpan data anonim Anda.

  4. Pilih De-identifikasi tag DICOM untuk memilih profil yang datanya akan dide-identifikasi. Data dapat dianonimkan sebagai berikut:

  5. Pilih Penyuntingan teks sisipan DICOM untuk mengonfigurasi cara penyuntingan gambar dilakukan selama de-identifikasi. Anda dapat mengonfigurasi penyamaran gambar sebagai berikut:

  6. Klik De-identifikasi untuk melakukan de-identifikasi data dalam set data.

Menyamarkan teks sisipan dari gambar

Cloud Healthcare API dapat menyamarkan teks sisipan yang sensitif dari gambar. Data sensitif seperti PHI akan dideteksi oleh API, yang kemudian akan disamarkan menggunakan persegi panjang buram. API menampilkan gambar DICOM yang sama dengan yang Anda berikan, dalam format yang sama, tetapi teks apa pun yang diidentifikasi sebagai berisi informasi sensitif menurut kriteria Anda akan disamarkan.

Anda dapat menyamarkan teks sisipan dari gambar dengan menentukan opsi TextRedactionMode di dalam objek ImageConfig. Lihat dokumentasi TextRedactionMode untuk mengetahui kemungkinan nilai.

Menyamarkan semua teks sisipan dari gambar

Contoh berikut menunjukkan cara menyamarkan semua teks sisipan dari gambar DICOM dalam set data. Hal ini dilakukan dengan menentukan REDACT_ALL_TEXT di kolom TextRedactionMode.

Setelah mengirimkan gambar ke Cloud Healthcare API menggunakan opsi REDACT_ALL_TEXT, gambar akan muncul seperti berikut. Meskipun teks yang terbakar di bagian bawah gambar telah dihapus, metadata di sudut atas gambar tetap ada. Untuk menghapus metadata juga, lihat Melakukan de-identifikasi tag DICOM.

xray_redact_all_text

REST

  1. Lakukan de-identifikasi set data.

    Sebelum menggunakan salah satu data permintaan, lakukan penggantian berikut:

    • PROJECT_ID: ID Google Cloud project Anda
    • LOCATION: lokasi set data
    • SOURCE_DATASET_ID: ID set data yang berisi data yang akan dianonimkan
    • DESTINATION_DATASET_ID: ID set data tujuan tempat data yang tidak diidentifikasi ditulis

    Meminta isi JSON:

    {
      "destinationDataset": "projects/PROJECT_ID/locations/LOCATION/datasets/DESTINATION_DATASET_ID",
      "config": {
        "dicom": {},
        "image": {
          "textRedactionMode": "REDACT_ALL_TEXT"
        }
      }
    }
    

    Untuk mengirim permintaan Anda, pilih salah satu opsi berikut:

    curl

    Simpan isi permintaan dalam file bernama request.json. Jalankan perintah berikut di terminal untuk membuat atau menimpa file ini di direktori saat ini:

    cat > request.json << 'EOF'
    {
      "destinationDataset": "projects/PROJECT_ID/locations/LOCATION/datasets/DESTINATION_DATASET_ID",
      "config": {
        "dicom": {},
        "image": {
          "textRedactionMode": "REDACT_ALL_TEXT"
        }
      }
    }
    EOF

    Kemudian, jalankan perintah berikut untuk mengirim permintaan REST Anda:

    curl -X POST \
    -H "Authorization: Bearer $(gcloud auth print-access-token)" \
    -H "Content-Type: application/json; charset=utf-8" \
    -d @request.json \
    "https://healthcare.googleapis.com/v1/projects/PROJECT_ID/locations/LOCATION/datasets/SOURCE_DATASET_ID:deidentify"

    PowerShell

    Simpan isi permintaan dalam file bernama request.json. Jalankan perintah berikut di terminal untuk membuat atau menimpa file ini di direktori saat ini:

    @'
    {
      "destinationDataset": "projects/PROJECT_ID/locations/LOCATION/datasets/DESTINATION_DATASET_ID",
      "config": {
        "dicom": {},
        "image": {
          "textRedactionMode": "REDACT_ALL_TEXT"
        }
      }
    }
    '@  | Out-File -FilePath request.json -Encoding utf8

    Kemudian jalankan perintah berikut untuk mengirim permintaan REST Anda:

    $cred = gcloud auth print-access-token
    $headers = @{ "Authorization" = "Bearer $cred" }

    Invoke-WebRequest `
    -Method POST `
    -Headers $headers `
    -ContentType: "application/json; charset=utf-8" `
    -InFile request.json `
    -Uri "https://healthcare.googleapis.com/v1/projects/PROJECT_ID/locations/LOCATION/datasets/SOURCE_DATASET_ID:deidentify" | Select-Object -Expand Content
    Output-nya adalah sebagai berikut. Respons berisi ID untuk operasi yang berjalan lama. Operasi yang berjalan lama ditampilkan saat panggilan metode mungkin memerlukan waktu yang cukup lama untuk diselesaikan. Catat nilai OPERATION_ID. Anda memerlukan nilai ini pada langkah berikutnya.

  2. Gunakan metode projects.locations.datasets.operations.get untuk mendapatkan status operasi yang berjalan lama.

    Sebelum menggunakan salah satu data permintaan, lakukan penggantian berikut:

    • PROJECT_ID: ID Google Cloud project Anda
    • DATASET_ID: ID set data
    • LOCATION: lokasi set data
    • OPERATION_ID: ID yang ditampilkan dari operasi yang berjalan lama

    Untuk mengirim permintaan Anda, pilih salah satu opsi berikut:

    curl

    Jalankan perintah berikut:

    curl -X GET \
    -H "Authorization: Bearer $(gcloud auth print-access-token)" \
    "https://healthcare.googleapis.com/v1/projects/PROJECT_ID/locations/LOCATION/datasets/DATASET_ID/operations/OPERATION_ID"

    PowerShell

    Jalankan perintah berikut:

    $cred = gcloud auth print-access-token
    $headers = @{ "Authorization" = "Bearer $cred" }

    Invoke-WebRequest `
    -Method GET `
    -Headers $headers `
    -Uri "https://healthcare.googleapis.com/v1/projects/PROJECT_ID/locations/LOCATION/datasets/DATASET_ID/operations/OPERATION_ID" | Select-Object -Expand Content

    APIs Explorer

    Buka halaman referensi metode. Panel APIs Explorer terbuka di sisi kanan halaman. Anda bisa berinteraksi dengan alat ini untuk mengirim permintaan. Lengkapi kolom yang wajib diisi, lalu klik Jalankan.

    Output-nya adalah sebagai berikut. Jika respons berisi "done": true, berarti operasi yang berjalan lama telah selesai.
  3. Setelah proses penghapusan identitas berhasil, Anda dapat mengambil metadata untuk instance yang identitasnya dihapus untuk melihat perubahannya. Instance yang di-de-identifikasi memiliki UID studi, UID rangkaian, dan UID instance baru, jadi Anda harus menelusuri set data baru untuk menemukan instance yang di-de-identifikasi terlebih dahulu.

    Sebelum menggunakan salah satu data permintaan, lakukan penggantian berikut:

    • PROJECT_ID: ID Google Cloud project Anda
    • SOURCE_DATASET_LOCATION: lokasi set data sumber
    • DESTINATION_DATASET_ID: ID set data tujuan tempat data yang tidak diidentifikasi ditulis
    • DESTINATION_DICOM_STORE_ID: ID penyimpanan DICOM di set data tujuan. Ini sama dengan ID penyimpanan DICOM dalam set data sumber.

    Untuk mengirim permintaan Anda, pilih salah satu opsi berikut:

    curl

    Jalankan perintah berikut:

    curl -X GET \
    -H "Authorization: Bearer $(gcloud auth print-access-token)" \
    "https://healthcare.googleapis.com/v1/projects/PROJECT_ID/locations/SOURCE_DATASET_LOCATION/datasets/DESTINATION_DATASET_ID/dicomStores/DESTINATION_DICOM_STORE_ID/dicomWeb/instances"

    PowerShell

    Jalankan perintah berikut:

    $cred = gcloud auth print-access-token
    $headers = @{ "Authorization" = "Bearer $cred" }

    Invoke-WebRequest `
    -Method GET `
    -Headers $headers `
    -Uri "https://healthcare.googleapis.com/v1/projects/PROJECT_ID/locations/SOURCE_DATASET_LOCATION/datasets/DESTINATION_DATASET_ID/dicomStores/DESTINATION_DICOM_STORE_ID/dicomWeb/instances" | Select-Object -Expand Content

    APIs Explorer

    Buka halaman referensi metode. Panel APIs Explorer terbuka di sisi kanan halaman. Anda bisa berinteraksi dengan alat ini untuk mengirim permintaan. Lengkapi kolom yang wajib diisi, lalu klik Jalankan.

    Anda akan melihat respons JSON seperti berikut:

    Tabel berikut menunjukkan perubahan UID studi, UID deret, dan UID instance:
      Metadata instance asli Metadata instance yang dide-identifikasi
    UID Studi (0020000D) 2.25.70541616638819138568043293671559322355 1.3.6.1.4.1.11129.5.1.201854290391432893460946240745559593763
    UID Seri (0020000E) 1.2.276.0.7230010.3.1.3.8323329.78.1531234558.523694 1.3.6.1.4.1.11129.5.1.303327499491957026103380014864616068710
    UID Instance (00080018) 1.2.276.0.7230010.3.1.4.8323329.78.1539083058.523695 1.3.6.1.4.1.11129.5.1.97415866390999888717168863957686758029

Menyamarkan hanya teks sisipan sensitif dari gambar

Contoh berikut menunjukkan cara menyamarkan teks sisipan sensitif dari gambar DICOM dalam set data. Hal ini dilakukan dengan menentukan REDACT_SENSITIVE_TEXT di kolom TextRedactionMode.

InfoType yang ditentukan dalam infoType DICOM default akan disamarkan jika REDACT_SENSITIVE_TEXT ditentukan. Dua infoType kustom tambahan juga diterapkan untuk menyamarkan:

  • Pengenal pasien, seperti Nomor Rekam Medis (MRN)
  • Nomor aksesi

Gambar berikut menunjukkan hasil rontgen pasien yang tidak disamarkan:

xray2_unredacted

Setelah mengirimkan gambar ke Cloud Healthcare API menggunakan opsi REDACT_SENSITIVE_TEXT, gambar akan muncul sebagai berikut:

xray2_redact_sensitive_text

Anda dapat melihat bahwa hal berikut terjadi:

  • PERSON_NAME di kiri bawah gambar disamarkan
  • DATE di kiri bawah gambar disamarkan

Jenis kelamin pasien tidak disamarkan karena tidak dianggap sebagai teks sensitif menurut infoType DICOM default.

REST

  1. Lakukan de-identifikasi set data.

    Sebelum menggunakan salah satu data permintaan, lakukan penggantian berikut:

    • PROJECT_ID: ID Google Cloud project Anda
    • LOCATION: lokasi set data
    • SOURCE_DATASET_ID: ID set data yang berisi data yang akan dianonimkan
    • DESTINATION_DATASET_ID: ID set data tujuan tempat data yang tidak diidentifikasi ditulis

    Meminta isi JSON:

    {
      "destinationDataset": "projects/PROJECT_ID/locations/LOCATION/datasets/DESTINATION_DATASET_ID",
      "config": {
        "dicom": {},
        "image": {
          "textRedactionMode": "REDACT_SENSITIVE_TEXT"
        }
      }
    }
    

    Untuk mengirim permintaan Anda, pilih salah satu opsi berikut:

    curl

    Simpan isi permintaan dalam file bernama request.json. Jalankan perintah berikut di terminal untuk membuat atau menimpa file ini di direktori saat ini:

    cat > request.json << 'EOF'
    {
      "destinationDataset": "projects/PROJECT_ID/locations/LOCATION/datasets/DESTINATION_DATASET_ID",
      "config": {
        "dicom": {},
        "image": {
          "textRedactionMode": "REDACT_SENSITIVE_TEXT"
        }
      }
    }
    EOF

    Kemudian, jalankan perintah berikut untuk mengirim permintaan REST Anda:

    curl -X POST \
    -H "Authorization: Bearer $(gcloud auth print-access-token)" \
    -H "Content-Type: application/json; charset=utf-8" \
    -d @request.json \
    "https://healthcare.googleapis.com/v1/projects/PROJECT_ID/locations/LOCATION/datasets/SOURCE_DATASET_ID:deidentify"

    PowerShell

    Simpan isi permintaan dalam file bernama request.json. Jalankan perintah berikut di terminal untuk membuat atau menimpa file ini di direktori saat ini:

    @'
    {
      "destinationDataset": "projects/PROJECT_ID/locations/LOCATION/datasets/DESTINATION_DATASET_ID",
      "config": {
        "dicom": {},
        "image": {
          "textRedactionMode": "REDACT_SENSITIVE_TEXT"
        }
      }
    }
    '@  | Out-File -FilePath request.json -Encoding utf8

    Kemudian jalankan perintah berikut untuk mengirim permintaan REST Anda:

    $cred = gcloud auth print-access-token
    $headers = @{ "Authorization" = "Bearer $cred" }

    Invoke-WebRequest `
    -Method POST `
    -Headers $headers `
    -ContentType: "application/json; charset=utf-8" `
    -InFile request.json `
    -Uri "https://healthcare.googleapis.com/v1/projects/PROJECT_ID/locations/LOCATION/datasets/SOURCE_DATASET_ID:deidentify" | Select-Object -Expand Content
    Output-nya adalah sebagai berikut. Respons berisi ID untuk operasi yang berjalan lama. Operasi yang berjalan lama ditampilkan saat panggilan metode mungkin memerlukan waktu yang cukup lama untuk diselesaikan. Catat nilai OPERATION_ID. Anda memerlukan nilai ini pada langkah berikutnya.

  2. Gunakan metode projects.locations.datasets.operations.get untuk mendapatkan status operasi yang berjalan lama.

    Sebelum menggunakan salah satu data permintaan, lakukan penggantian berikut:

    • PROJECT_ID: ID Google Cloud project Anda
    • DATASET_ID: ID set data
    • LOCATION: lokasi set data
    • OPERATION_ID: ID yang ditampilkan dari operasi yang berjalan lama

    Untuk mengirim permintaan Anda, pilih salah satu opsi berikut:

    curl

    Jalankan perintah berikut:

    curl -X GET \
    -H "Authorization: Bearer $(gcloud auth print-access-token)" \
    "https://healthcare.googleapis.com/v1/projects/PROJECT_ID/locations/LOCATION/datasets/DATASET_ID/operations/OPERATION_ID"

    PowerShell

    Jalankan perintah berikut:

    $cred = gcloud auth print-access-token
    $headers = @{ "Authorization" = "Bearer $cred" }

    Invoke-WebRequest `
    -Method GET `
    -Headers $headers `
    -Uri "https://healthcare.googleapis.com/v1/projects/PROJECT_ID/locations/LOCATION/datasets/DATASET_ID/operations/OPERATION_ID" | Select-Object -Expand Content

    APIs Explorer

    Buka halaman referensi metode. Panel APIs Explorer terbuka di sisi kanan halaman. Anda bisa berinteraksi dengan alat ini untuk mengirim permintaan. Lengkapi kolom yang wajib diisi, lalu klik Jalankan.

    Output-nya adalah sebagai berikut. Jika respons berisi "done": true, berarti operasi yang berjalan lama telah selesai.
  3. Setelah proses penghapusan identitas berhasil, Anda dapat mengambil metadata untuk instance yang identitasnya dihapus untuk melihat perubahannya. Instance yang di-de-identifikasi memiliki UID studi, UID rangkaian, dan UID instance baru, jadi Anda harus menelusuri set data baru untuk menemukan instance yang di-de-identifikasi terlebih dahulu.

    Sebelum menggunakan salah satu data permintaan, lakukan penggantian berikut:

    • PROJECT_ID: ID Google Cloud project Anda
    • SOURCE_DATASET_LOCATION: lokasi set data sumber
    • DESTINATION_DATASET_ID: ID set data tujuan tempat data yang tidak diidentifikasi ditulis
    • DESTINATION_DICOM_STORE_ID: ID penyimpanan DICOM di set data tujuan. Ini sama dengan ID penyimpanan DICOM dalam set data sumber.

    Untuk mengirim permintaan Anda, pilih salah satu opsi berikut:

    curl

    Jalankan perintah berikut:

    curl -X GET \
    -H "Authorization: Bearer $(gcloud auth print-access-token)" \
    "https://healthcare.googleapis.com/v1/projects/PROJECT_ID/locations/SOURCE_DATASET_LOCATION/datasets/DESTINATION_DATASET_ID/dicomStores/DESTINATION_DICOM_STORE_ID/dicomWeb/instances"

    PowerShell

    Jalankan perintah berikut:

    $cred = gcloud auth print-access-token
    $headers = @{ "Authorization" = "Bearer $cred" }

    Invoke-WebRequest `
    -Method GET `
    -Headers $headers `
    -Uri "https://healthcare.googleapis.com/v1/projects/PROJECT_ID/locations/SOURCE_DATASET_LOCATION/datasets/DESTINATION_DATASET_ID/dicomStores/DESTINATION_DICOM_STORE_ID/dicomWeb/instances" | Select-Object -Expand Content

    APIs Explorer

    Buka halaman referensi metode. Panel APIs Explorer terbuka di sisi kanan halaman. Anda bisa berinteraksi dengan alat ini untuk mengirim permintaan. Lengkapi kolom yang wajib diisi, lalu klik Jalankan.

    Anda akan melihat respons JSON seperti berikut:

    Tabel berikut menunjukkan perubahan UID studi, UID deret, dan UID instance:
      Metadata instance asli Metadata instance yang dide-identifikasi
    UID Studi (0020000D) 2.25.70541616638819138568043293671559322355 1.3.6.1.4.1.11129.5.1.201854290391432893460946240745559593763
    UID Seri (0020000E) 1.2.276.0.7230010.3.1.3.8323329.78.1531234558.523694 1.3.6.1.4.1.11129.5.1.303327499491957026103380014864616068710
    UID Instance (00080018) 1.2.276.0.7230010.3.1.4.8323329.78.1539083058.523695 1.3.6.1.4.1.11129.5.1.97415866390999888717168863957686758029

Menggabungkan de-identifikasi tag dan penyuntingan teks burnt-in

Anda dapat menggabungkan de-identifikasi menggunakan tag dengan penyamaran teks sisipan dari gambar untuk melakukan de-identifikasi instance DICOM pada tingkat yang lebih terperinci. Misalnya, dengan menggabungkan REDACT_ALL_TEXT di kolom TextRedactionMode dengan DEIDENTIFY_TAG_CONTENTS di kolom TagFilterProfile, Anda dapat melakukan hal berikut:

  • REDACT_ALL_TEXT: Menyamarkan semua teks sisipan dalam gambar.
  • DEIDENTIFY_TAG_CONTENTS: Memeriksa konten tag dan mengubah teks sensitif. Untuk mengetahui informasi selengkapnya tentang perilaku DEIDENTIFY_TAG_CONTENTS, lihat Konfigurasi default.

Setelah mengirimkan gambar ke Cloud Healthcare API menggunakan opsi REDACT_ALL_TEXT dan DEIDENTIFY_TAG_CONTENTS, gambar akan muncul seperti berikut. Perhatikan perubahan berikut:

  • Nama di sudut kiri atas dan kanan atas gambar telah diubah menggunakan CryptoHashConfig
  • Tanggal di sudut kiri atas dan kanan atas gambar telah diubah menggunakan DateShiftConfig
  • Teks sisipan di bagian bawah gambar disamarkan

xray_redact_all_text_deidentify_tag_contents

REST

  1. Lakukan de-identifikasi set data.

    Sebelum menggunakan salah satu data permintaan, lakukan penggantian berikut:

    • PROJECT_ID: ID Google Cloud project Anda
    • LOCATION: lokasi set data
    • SOURCE_DATASET_ID: ID set data yang berisi data yang akan dianonimkan
    • DESTINATION_DATASET_ID: ID set data tujuan tempat data yang tidak diidentifikasi ditulis

    Meminta isi JSON:

    {
      "destinationDataset": "projects/PROJECT_ID/locations/LOCATION/datasets/DESTINATION_DATASET_ID",
      "config": {
        "dicom": {
          "filterProfile": "DEIDENTIFY_TAG_CONTENTS"
        },
        "image": {
          "textRedactionMode": "REDACT_ALL_TEXT"
        }
      }
    }
    

    Untuk mengirim permintaan Anda, pilih salah satu opsi berikut:

    curl

    Simpan isi permintaan dalam file bernama request.json. Jalankan perintah berikut di terminal untuk membuat atau menimpa file ini di direktori saat ini:

    cat > request.json << 'EOF'
    {
      "destinationDataset": "projects/PROJECT_ID/locations/LOCATION/datasets/DESTINATION_DATASET_ID",
      "config": {
        "dicom": {
          "filterProfile": "DEIDENTIFY_TAG_CONTENTS"
        },
        "image": {
          "textRedactionMode": "REDACT_ALL_TEXT"
        }
      }
    }
    EOF

    Kemudian, jalankan perintah berikut untuk mengirim permintaan REST Anda:

    curl -X POST \
    -H "Authorization: Bearer $(gcloud auth print-access-token)" \
    -H "Content-Type: application/json; charset=utf-8" \
    -d @request.json \
    "https://healthcare.googleapis.com/v1/projects/PROJECT_ID/locations/LOCATION/datasets/SOURCE_DATASET_ID:deidentify"

    PowerShell

    Simpan isi permintaan dalam file bernama request.json. Jalankan perintah berikut di terminal untuk membuat atau menimpa file ini di direktori saat ini:

    @'
    {
      "destinationDataset": "projects/PROJECT_ID/locations/LOCATION/datasets/DESTINATION_DATASET_ID",
      "config": {
        "dicom": {
          "filterProfile": "DEIDENTIFY_TAG_CONTENTS"
        },
        "image": {
          "textRedactionMode": "REDACT_ALL_TEXT"
        }
      }
    }
    '@  | Out-File -FilePath request.json -Encoding utf8

    Kemudian jalankan perintah berikut untuk mengirim permintaan REST Anda:

    $cred = gcloud auth print-access-token
    $headers = @{ "Authorization" = "Bearer $cred" }

    Invoke-WebRequest `
    -Method POST `
    -Headers $headers `
    -ContentType: "application/json; charset=utf-8" `
    -InFile request.json `
    -Uri "https://healthcare.googleapis.com/v1/projects/PROJECT_ID/locations/LOCATION/datasets/SOURCE_DATASET_ID:deidentify" | Select-Object -Expand Content
    Output-nya adalah sebagai berikut. Respons berisi ID untuk operasi yang berjalan lama. Operasi yang berjalan lama ditampilkan saat panggilan metode mungkin memerlukan waktu yang cukup lama untuk diselesaikan. Catat nilai OPERATION_ID. Anda memerlukan nilai ini pada langkah berikutnya.

  2. Gunakan metode projects.locations.datasets.operations.get untuk mendapatkan status operasi yang berjalan lama.

    Sebelum menggunakan salah satu data permintaan, lakukan penggantian berikut:

    • PROJECT_ID: ID Google Cloud project Anda
    • DATASET_ID: ID set data
    • LOCATION: lokasi set data
    • OPERATION_ID: ID yang ditampilkan dari operasi yang berjalan lama

    Untuk mengirim permintaan Anda, pilih salah satu opsi berikut:

    curl

    Jalankan perintah berikut:

    curl -X GET \
    -H "Authorization: Bearer $(gcloud auth print-access-token)" \
    "https://healthcare.googleapis.com/v1/projects/PROJECT_ID/locations/LOCATION/datasets/DATASET_ID/operations/OPERATION_ID"

    PowerShell

    Jalankan perintah berikut:

    $cred = gcloud auth print-access-token
    $headers = @{ "Authorization" = "Bearer $cred" }

    Invoke-WebRequest `
    -Method GET `
    -Headers $headers `
    -Uri "https://healthcare.googleapis.com/v1/projects/PROJECT_ID/locations/LOCATION/datasets/DATASET_ID/operations/OPERATION_ID" | Select-Object -Expand Content

    APIs Explorer

    Buka halaman referensi metode. Panel APIs Explorer terbuka di sisi kanan halaman. Anda bisa berinteraksi dengan alat ini untuk mengirim permintaan. Lengkapi kolom yang wajib diisi, lalu klik Jalankan.

    Output-nya adalah sebagai berikut. Jika respons berisi "done": true, berarti operasi yang berjalan lama telah selesai.
  3. Setelah proses penghapusan identitas berhasil, Anda dapat mengambil metadata untuk instance yang identitasnya dihapus untuk melihat perubahannya. Instance yang di-de-identifikasi memiliki UID studi, UID rangkaian, dan UID instance baru, jadi Anda harus menelusuri set data baru untuk menemukan instance yang di-de-identifikasi terlebih dahulu.

    Sebelum menggunakan salah satu data permintaan, lakukan penggantian berikut:

    • PROJECT_ID: ID Google Cloud project Anda
    • SOURCE_DATASET_LOCATION: lokasi set data sumber
    • DESTINATION_DATASET_ID: ID set data tujuan tempat data yang tidak diidentifikasi ditulis
    • DESTINATION_DICOM_STORE_ID: ID penyimpanan DICOM di set data tujuan. Ini sama dengan ID penyimpanan DICOM dalam set data sumber.

    Untuk mengirim permintaan Anda, pilih salah satu opsi berikut:

    curl

    Jalankan perintah berikut:

    curl -X GET \
    -H "Authorization: Bearer $(gcloud auth print-access-token)" \
    "https://healthcare.googleapis.com/v1/projects/PROJECT_ID/locations/SOURCE_DATASET_LOCATION/datasets/DESTINATION_DATASET_ID/dicomStores/DESTINATION_DICOM_STORE_ID/dicomWeb/instances"

    PowerShell

    Jalankan perintah berikut:

    $cred = gcloud auth print-access-token
    $headers = @{ "Authorization" = "Bearer $cred" }

    Invoke-WebRequest `
    -Method GET `
    -Headers $headers `
    -Uri "https://healthcare.googleapis.com/v1/projects/PROJECT_ID/locations/SOURCE_DATASET_LOCATION/datasets/DESTINATION_DATASET_ID/dicomStores/DESTINATION_DICOM_STORE_ID/dicomWeb/instances" | Select-Object -Expand Content

    APIs Explorer

    Buka halaman referensi metode. Panel APIs Explorer terbuka di sisi kanan halaman. Anda bisa berinteraksi dengan alat ini untuk mengirim permintaan. Lengkapi kolom yang wajib diisi, lalu klik Jalankan.

    Anda akan melihat respons JSON seperti berikut:

  4. Dengan menggunakan nilai baru, ambil metadata untuk instance.

    Sebelum menggunakan salah satu data permintaan, lakukan penggantian berikut:

    • PROJECT_ID: ID Google Cloud project Anda
    • LOCATION: lokasi set data
    • DESTINATION_DATASET_ID: ID set data tujuan tempat data yang tidak diidentifikasi ditulis
    • DESTINATION_DICOM_STORE_ID: ID penyimpanan DICOM di set data tujuan. Ini sama dengan ID penyimpanan DICOM dalam set data sumber.

    Untuk mengirim permintaan Anda, pilih salah satu opsi berikut:

    curl

    Jalankan perintah berikut:

    curl -X GET \
    -H "Authorization: Bearer $(gcloud auth print-access-token)" \
    "https://healthcare.googleapis.com/v1/projects/PROJECT_ID/locations/LOCATION/datasets/DESTINATION_DATASET_ID/dicomStores/DESTINATION_DICOM_STORE_ID/dicomWeb/studies/1.3.6.1.4.1.11129.5.1.201854290391432893460946240745559593763/series/1.3.6.1.4.1.11129.5.1.303327499491957026103380014864616068710/instances/1.3.6.1.4.1.11129.5.1.97415866390999888717168863957686758029/metadata"

    PowerShell

    Jalankan perintah berikut:

    $cred = gcloud auth print-access-token
    $headers = @{ "Authorization" = "Bearer $cred" }

    Invoke-WebRequest `
    -Method GET `
    -Headers $headers `
    -Uri "https://healthcare.googleapis.com/v1/projects/PROJECT_ID/locations/LOCATION/datasets/DESTINATION_DATASET_ID/dicomStores/DESTINATION_DICOM_STORE_ID/dicomWeb/studies/1.3.6.1.4.1.11129.5.1.201854290391432893460946240745559593763/series/1.3.6.1.4.1.11129.5.1.303327499491957026103380014864616068710/instances/1.3.6.1.4.1.11129.5.1.97415866390999888717168863957686758029/metadata" | Select-Object -Expand Content

    APIs Explorer

    Buka halaman referensi metode. Panel APIs Explorer terbuka di sisi kanan halaman. Anda bisa berinteraksi dengan alat ini untuk mengirim permintaan. Lengkapi kolom yang wajib diisi, lalu klik Jalankan.

    Output-nya berisi metadata baru. Anda dapat membandingkan metadata baru dengan metadata asli untuk melihat efek transformasi.

Menggunakan infoType dan transformasi dasar dengan tag DICOM

Cloud Healthcare API dapat menggunakan jenis informasi (infoTypes) untuk menentukan data yang dipindai saat melakukan de-identifikasi pada tag. InfoType adalah jenis data sensitif, seperti nama pasien, alamat email, nomor telepon, nomor identifikasi, atau nomor kartu kredit.

Transformasi dasar adalah aturan yang Anda gunakan untuk mengubah nilai input. Anda dapat menyesuaikan cara tag DICOM yang dide-identifikasi dengan menerapkan transformasi dasar ke setiap infoType tag. Misalnya, Anda dapat melakukan de-identifikasi nama belakang pasien dan menggantinya dengan serangkaian tanda bintang dengan menentukan infoType LAST_NAME dengan transformasi primitif CharacterMaskConfig.

infoTypes DICOM default

InfoType DICOM default yang digunakan saat melakukan de-identifikasi metadata adalah:

  • AGE
  • CREDIT_CARD_NUMBER
  • DATE
  • EMAIL_ADDRESS
  • IP_ADDRESS
  • LOCATION
  • MAC_ADDRESS
  • PASSPORT
  • PERSON_NAME
  • PHONE_NUMBER
  • SWIFT_CODE
  • US_DRIVERS_LICENSE_NUMBER
  • US_SOCIAL_SECURITY_NUMBER
  • US_VEHICLE_IDENTIFICATION_NUMBER
  • US_INDIVIDUAL_TAXPAYER_IDENTIFICATION_NUMBER

Saat Anda melakukan de-identifikasi teks sensitif dalam gambar menggunakan REDACT_SENSITIVE_TEXT, Cloud Healthcare API menggunakan infoType di atas, tetapi dua infoType kustom tambahan juga diterapkan ke teks sensitif dalam gambar untuk:

  • ID pasien, seperti Nomor Rekam Medis (MRN)
  • Nomor Aksesi

Opsi transformasi dasar

Opsi transformasi primitif Cloud Healthcare API mencakup:

  • RedactConfig: Menyembunyikan nilai dengan menghapusnya.
  • CharacterMaskConfig: Menyamarkan string sepenuhnya atau sebagian dengan mengganti karakter input dengan karakter tetap yang ditentukan.
  • DateShiftConfig: Menggeser tanggal dengan jumlah hari acak, dengan opsi untuk konsisten pada konteks yang sama.
  • CryptoHashConfig: Menggunakan SHA-256 untuk mengganti nilai input dengan representasi berenkode base64 dari string output yang di-hash yang dihasilkan menggunakan kunci enkripsi data tertentu.
  • ReplaceWithInfoTypeConfig: Mengganti nilai input dengan nama infoType-nya.

Menentukan konfigurasi di TextConfig

InfoType dan transformasi dasar ditentukan dalam InfoTypeTransformation, yang merupakan objek di dalam TextConfig. InfoType dimasukkan ke dalam array infoTypes sebagai nilai yang dipisahkan koma.

Menentukan infoType bersifat opsional. Jika Anda tidak menentukan setidaknya satu infoType, transformasi akan diterapkan ke infoType DICOM default yang ditemukan di Cloud Healthcare API.

Jika Anda menentukan infoType apa pun di InfoTypeTransformation, Anda harus menentukan setidaknya satu transformasi dasar.

Anda dapat menerapkan InfoTypeTransformation hanya ke profil DEIDENTIFY_TAG_CONTENTS. InfoTypeTransformation tidak dapat diterapkan ke profil lain yang tercantum di TagFilterProfile.

Bagian berikut menunjukkan cara menggunakan transformasi dasar yang tersedia di InfoTypeTransformation bersama dengan infoType untuk menyesuaikan cara tag DICOM dide-identifikasi. Contoh menggunakan gambar contoh yang disediakan dalam Ringkasan sampel dan metadata contoh yang disediakan dalam Melakukan de-identifikasi tag DICOM.

Konfigurasi default

Secara default, saat profil DEIDENTIFY_TAG_CONTENTS disetel tanpa memberikan konfigurasi apa pun dalam objek TextConfig, Cloud Healthcare API akan mengganti data sensitif menggunakan infoType DICOM default. Namun, ada perilaku yang berbeda untuk DATE dan PERSON_NAME infoTypes, seperti yang ditunjukkan di bawah:

  • DateShiftConfig diterapkan ke teks yang diklasifikasikan sebagai infoType DATE. DateShiftConfig menggunakan teknik perubahan tanggal dengan selisih 100 hari.
  • CryptoHashConfig diterapkan ke teks yang diklasifikasikan sebagai infoType PERSON_NAME. CryptoHashConfig melakukan tokenisasi dengan membuat nilai pengganti menggunakan hashing kriptografi.

Perilaku berikut juga berlaku:

  • Usia pasien yang memiliki nilai lebih besar dari atau sama dengan 90 akan dikonversi menjadi 90.
  • Jika transformasi tidak dapat diterapkan karena batasan format DICOM, nilai pengganti akan diberikan yang sesuai dengan Representasi Nilai (VR) tag.
  • Nilai lain yang sesuai dengan salah satu infoType DICOM default di Cloud Healthcare API diganti dengan infoType-nya. Misalnya, jika tag PatientComments berisi string "Ann Johnson pergi ke Rumah Sakit Anytown", maka "Anytown" akan diganti dengan infoType LOCATION.

Contoh berikut menunjukkan output penggunaan profil default DEIDENTIFY_TAG_CONTENTS pada set data yang berisi penyimpanan DICOM dan data DICOM. Anda dapat membandingkan output default ini dengan output saat menggunakan berbagai transformasi dasar dengan kombinasi infoType. Contoh menggunakan satu instance DICOM, tetapi Anda dapat menghilangkan identitas beberapa instance.

Setelah mengirimkan gambar ke Cloud Healthcare API menggunakan profil DEIDENTIFY_TAG_CONTENTS, gambar akan muncul seperti berikut. Perhatikan perubahan berikut:

  • Nama di sudut kiri atas dan kanan atas gambar telah diubah menggunakan CryptoHashConfig
  • Tanggal di sudut kiri atas dan kanan atas gambar telah diubah menggunakan DateShiftConfig

dicom_infotype_default

REST

  1. Lakukan de-identifikasi set data.

    Sebelum menggunakan salah satu data permintaan, lakukan penggantian berikut:

    • PROJECT_ID: ID Google Cloud project Anda
    • LOCATION: lokasi set data
    • SOURCE_DATASET_ID: ID set data yang berisi data yang akan dianonimkan
    • DESTINATION_DATASET_ID: ID set data tujuan tempat data yang tidak diidentifikasi ditulis

    Meminta isi JSON:

    {
      "destinationDataset": "projects/PROJECT_ID/locations/LOCATION/datasets/DESTINATION_DATASET_ID",
      "config": {
        "dicom": {
          "filterProfile": "DEIDENTIFY_TAG_CONTENTS"
        }
      }
    }
    

    Untuk mengirim permintaan Anda, pilih salah satu opsi berikut:

    curl

    Simpan isi permintaan dalam file bernama request.json. Jalankan perintah berikut di terminal untuk membuat atau menimpa file ini di direktori saat ini:

    cat > request.json << 'EOF'
    {
      "destinationDataset": "projects/PROJECT_ID/locations/LOCATION/datasets/DESTINATION_DATASET_ID",
      "config": {
        "dicom": {
          "filterProfile": "DEIDENTIFY_TAG_CONTENTS"
        }
      }
    }
    EOF

    Kemudian, jalankan perintah berikut untuk mengirim permintaan REST Anda:

    curl -X POST \
    -H "Authorization: Bearer $(gcloud auth print-access-token)" \
    -H "Content-Type: application/json; charset=utf-8" \
    -d @request.json \
    "https://healthcare.googleapis.com/v1/projects/PROJECT_ID/locations/LOCATION/datasets/SOURCE_DATASET_ID:deidentify"

    PowerShell

    Simpan isi permintaan dalam file bernama request.json. Jalankan perintah berikut di terminal untuk membuat atau menimpa file ini di direktori saat ini:

    @'
    {
      "destinationDataset": "projects/PROJECT_ID/locations/LOCATION/datasets/DESTINATION_DATASET_ID",
      "config": {
        "dicom": {
          "filterProfile": "DEIDENTIFY_TAG_CONTENTS"
        }
      }
    }
    '@  | Out-File -FilePath request.json -Encoding utf8

    Kemudian jalankan perintah berikut untuk mengirim permintaan REST Anda:

    $cred = gcloud auth print-access-token
    $headers = @{ "Authorization" = "Bearer $cred" }

    Invoke-WebRequest `
    -Method POST `
    -Headers $headers `
    -ContentType: "application/json; charset=utf-8" `
    -InFile request.json `
    -Uri "https://healthcare.googleapis.com/v1/projects/PROJECT_ID/locations/LOCATION/datasets/SOURCE_DATASET_ID:deidentify" | Select-Object -Expand Content
    Output-nya adalah sebagai berikut. Respons berisi ID untuk operasi yang berjalan lama. Operasi yang berjalan lama ditampilkan saat panggilan metode mungkin memerlukan waktu yang cukup lama untuk diselesaikan. Catat nilai OPERATION_ID. Anda memerlukan nilai ini pada langkah berikutnya.

  2. Gunakan metode projects.locations.datasets.operations.get untuk mendapatkan status operasi yang berjalan lama.

    Sebelum menggunakan salah satu data permintaan, lakukan penggantian berikut:

    • PROJECT_ID: ID Google Cloud project Anda
    • DATASET_ID: ID set data
    • LOCATION: lokasi set data
    • OPERATION_ID: ID yang ditampilkan dari operasi yang berjalan lama

    Untuk mengirim permintaan Anda, pilih salah satu opsi berikut:

    curl

    Jalankan perintah berikut:

    curl -X GET \
    -H "Authorization: Bearer $(gcloud auth print-access-token)" \
    "https://healthcare.googleapis.com/v1/projects/PROJECT_ID/locations/LOCATION/datasets/DATASET_ID/operations/OPERATION_ID"

    PowerShell

    Jalankan perintah berikut:

    $cred = gcloud auth print-access-token
    $headers = @{ "Authorization" = "Bearer $cred" }

    Invoke-WebRequest `
    -Method GET `
    -Headers $headers `
    -Uri "https://healthcare.googleapis.com/v1/projects/PROJECT_ID/locations/LOCATION/datasets/DATASET_ID/operations/OPERATION_ID" | Select-Object -Expand Content

    APIs Explorer

    Buka halaman referensi metode. Panel APIs Explorer terbuka di sisi kanan halaman. Anda bisa berinteraksi dengan alat ini untuk mengirim permintaan. Lengkapi kolom yang wajib diisi, lalu klik Jalankan.

    Output-nya adalah sebagai berikut. Jika respons berisi "done": true, berarti operasi yang berjalan lama telah selesai.
  3. Setelah proses penghapusan identitas berhasil, Anda dapat mengambil metadata untuk instance yang identitasnya dihapus untuk melihat perubahannya. Instance yang di-de-identifikasi memiliki UID studi, UID rangkaian, dan UID instance baru, jadi Anda harus menelusuri set data baru untuk menemukan instance yang di-de-identifikasi terlebih dahulu.

    Sebelum menggunakan salah satu data permintaan, lakukan penggantian berikut:

    • PROJECT_ID: ID Google Cloud project Anda
    • SOURCE_DATASET_LOCATION: lokasi set data sumber
    • DESTINATION_DATASET_ID: ID set data tujuan tempat data yang tidak diidentifikasi ditulis
    • DESTINATION_DICOM_STORE_ID: ID penyimpanan DICOM di set data tujuan. Ini sama dengan ID penyimpanan DICOM dalam set data sumber.

    Untuk mengirim permintaan Anda, pilih salah satu opsi berikut:

    curl

    Jalankan perintah berikut:

    curl -X GET \
    -H "Authorization: Bearer $(gcloud auth print-access-token)" \
    "https://healthcare.googleapis.com/v1/projects/PROJECT_ID/locations/SOURCE_DATASET_LOCATION/datasets/DESTINATION_DATASET_ID/dicomStores/DESTINATION_DICOM_STORE_ID/dicomWeb/instances"

    PowerShell

    Jalankan perintah berikut:

    $cred = gcloud auth print-access-token
    $headers = @{ "Authorization" = "Bearer $cred" }

    Invoke-WebRequest `
    -Method GET `
    -Headers $headers `
    -Uri "https://healthcare.googleapis.com/v1/projects/PROJECT_ID/locations/SOURCE_DATASET_LOCATION/datasets/DESTINATION_DATASET_ID/dicomStores/DESTINATION_DICOM_STORE_ID/dicomWeb/instances" | Select-Object -Expand Content

    APIs Explorer

    Buka halaman referensi metode. Panel APIs Explorer terbuka di sisi kanan halaman. Anda bisa berinteraksi dengan alat ini untuk mengirim permintaan. Lengkapi kolom yang wajib diisi, lalu klik Jalankan.

    Anda akan melihat respons JSON seperti berikut:

  4. Dengan menggunakan nilai baru, ambil metadata untuk instance.

    Sebelum menggunakan salah satu data permintaan, lakukan penggantian berikut:

    • PROJECT_ID: ID Google Cloud project Anda
    • LOCATION: lokasi set data
    • DESTINATION_DATASET_ID: ID set data tujuan tempat data yang tidak diidentifikasi ditulis
    • DESTINATION_DICOM_STORE_ID: ID penyimpanan DICOM di set data tujuan. Ini sama dengan ID penyimpanan DICOM dalam set data sumber.

    Untuk mengirim permintaan Anda, pilih salah satu opsi berikut:

    curl

    Jalankan perintah berikut:

    curl -X GET \
    -H "Authorization: Bearer $(gcloud auth print-access-token)" \
    "https://healthcare.googleapis.com/v1/projects/PROJECT_ID/locations/LOCATION/datasets/DESTINATION_DATASET_ID/dicomStores/DESTINATION_DICOM_STORE_ID/dicomWeb/studies/1.3.6.1.4.1.11129.5.1.201854290391432893460946240745559593763/series/1.3.6.1.4.1.11129.5.1.303327499491957026103380014864616068710/instances/1.3.6.1.4.1.11129.5.1.97415866390999888717168863957686758029/metadata"

    PowerShell

    Jalankan perintah berikut:

    $cred = gcloud auth print-access-token
    $headers = @{ "Authorization" = "Bearer $cred" }

    Invoke-WebRequest `
    -Method GET `
    -Headers $headers `
    -Uri "https://healthcare.googleapis.com/v1/projects/PROJECT_ID/locations/LOCATION/datasets/DESTINATION_DATASET_ID/dicomStores/DESTINATION_DICOM_STORE_ID/dicomWeb/studies/1.3.6.1.4.1.11129.5.1.201854290391432893460946240745559593763/series/1.3.6.1.4.1.11129.5.1.303327499491957026103380014864616068710/instances/1.3.6.1.4.1.11129.5.1.97415866390999888717168863957686758029/metadata" | Select-Object -Expand Content

    APIs Explorer

    Buka halaman referensi metode. Panel APIs Explorer terbuka di sisi kanan halaman. Anda bisa berinteraksi dengan alat ini untuk mengirim permintaan. Lengkapi kolom yang wajib diisi, lalu klik Jalankan.

    Output-nya berisi metadata baru. Anda dapat membandingkan metadata baru dengan metadata asli untuk melihat efek transformasi.

RedactConfig

Menentukan redactConfig akan menyamarkan nilai tertentu dengan menghapusnya sepenuhnya. Pesan redactConfig tidak memiliki argumen; menentukannya akan mengaktifkan transformasi.

Contoh berikut memperluas konfigurasi default, tetapi kini menyertakan setelan infoType PERSON_NAME dengan transformasi redactConfig. Mengirim permintaan ini akan menyamarkan semua nama dari instance DICOM.

Setelah mengirimkan gambar ke Cloud Healthcare API menggunakan transformasi redactConfig, gambar akan muncul sebagai berikut:

dicom_redactconfig

REST

  1. Lakukan de-identifikasi set data.

    Sebelum menggunakan salah satu data permintaan, lakukan penggantian berikut:

    • PROJECT_ID: ID Google Cloud project Anda
    • LOCATION: lokasi set data
    • SOURCE_DATASET_ID: ID set data yang berisi data yang akan dianonimkan
    • DESTINATION_DATASET_ID: ID set data tujuan tempat data yang tidak diidentifikasi ditulis

    Meminta isi JSON:

    {
      "destinationDataset": "projects/PROJECT_ID/locations/LOCATION/datasets/DESTINATION_DATASET_ID",
      "config": {
        "dicom": {
          "filterProfile": "DEIDENTIFY_TAG_CONTENTS"
        },
        "text": {
          "transformations": [
            {
              "infoTypes": [
                "PERSON_NAME"
              ],
              "redactConfig": {}
            }
          ]
        }
      }
    }
    

    Untuk mengirim permintaan Anda, pilih salah satu opsi berikut:

    curl

    Simpan isi permintaan dalam file bernama request.json. Jalankan perintah berikut di terminal untuk membuat atau menimpa file ini di direktori saat ini:

    cat > request.json << 'EOF'
    {
      "destinationDataset": "projects/PROJECT_ID/locations/LOCATION/datasets/DESTINATION_DATASET_ID",
      "config": {
        "dicom": {
          "filterProfile": "DEIDENTIFY_TAG_CONTENTS"
        },
        "text": {
          "transformations": [
            {
              "infoTypes": [
                "PERSON_NAME"
              ],
              "redactConfig": {}
            }
          ]
        }
      }
    }
    EOF

    Kemudian, jalankan perintah berikut untuk mengirim permintaan REST Anda:

    curl -X POST \
    -H "Authorization: Bearer $(gcloud auth print-access-token)" \
    -H "Content-Type: application/json; charset=utf-8" \
    -d @request.json \
    "https://healthcare.googleapis.com/v1/projects/PROJECT_ID/locations/LOCATION/datasets/SOURCE_DATASET_ID:deidentify"

    PowerShell

    Simpan isi permintaan dalam file bernama request.json. Jalankan perintah berikut di terminal untuk membuat atau menimpa file ini di direktori saat ini:

    @'
    {
      "destinationDataset": "projects/PROJECT_ID/locations/LOCATION/datasets/DESTINATION_DATASET_ID",
      "config": {
        "dicom": {
          "filterProfile": "DEIDENTIFY_TAG_CONTENTS"
        },
        "text": {
          "transformations": [
            {
              "infoTypes": [
                "PERSON_NAME"
              ],
              "redactConfig": {}
            }
          ]
        }
      }
    }
    '@  | Out-File -FilePath request.json -Encoding utf8

    Kemudian jalankan perintah berikut untuk mengirim permintaan REST Anda:

    $cred = gcloud auth print-access-token
    $headers = @{ "Authorization" = "Bearer $cred" }

    Invoke-WebRequest `
    -Method POST `
    -Headers $headers `
    -ContentType: "application/json; charset=utf-8" `
    -InFile request.json `
    -Uri "https://healthcare.googleapis.com/v1/projects/PROJECT_ID/locations/LOCATION/datasets/SOURCE_DATASET_ID:deidentify" | Select-Object -Expand Content
    Output-nya adalah sebagai berikut. Respons berisi ID untuk operasi yang berjalan lama. Operasi yang berjalan lama ditampilkan saat panggilan metode mungkin memerlukan waktu yang cukup lama untuk diselesaikan. Catat nilai OPERATION_ID. Anda memerlukan nilai ini pada langkah berikutnya.

  2. Gunakan metode projects.locations.datasets.operations.get untuk mendapatkan status operasi yang berjalan lama.

    Sebelum menggunakan salah satu data permintaan, lakukan penggantian berikut:

    • PROJECT_ID: ID Google Cloud project Anda
    • DATASET_ID: ID set data
    • LOCATION: lokasi set data
    • OPERATION_ID: ID yang ditampilkan dari operasi yang berjalan lama

    Untuk mengirim permintaan Anda, pilih salah satu opsi berikut:

    curl

    Jalankan perintah berikut:

    curl -X GET \
    -H "Authorization: Bearer $(gcloud auth print-access-token)" \
    "https://healthcare.googleapis.com/v1/projects/PROJECT_ID/locations/LOCATION/datasets/DATASET_ID/operations/OPERATION_ID"

    PowerShell

    Jalankan perintah berikut:

    $cred = gcloud auth print-access-token
    $headers = @{ "Authorization" = "Bearer $cred" }

    Invoke-WebRequest `
    -Method GET `
    -Headers $headers `
    -Uri "https://healthcare.googleapis.com/v1/projects/PROJECT_ID/locations/LOCATION/datasets/DATASET_ID/operations/OPERATION_ID" | Select-Object -Expand Content

    APIs Explorer

    Buka halaman referensi metode. Panel APIs Explorer terbuka di sisi kanan halaman. Anda bisa berinteraksi dengan alat ini untuk mengirim permintaan. Lengkapi kolom yang wajib diisi, lalu klik Jalankan.

    Output-nya adalah sebagai berikut. Jika respons berisi "done": true, berarti operasi yang berjalan lama telah selesai.
  3. Setelah proses penghapusan identitas berhasil, Anda dapat mengambil metadata untuk instance yang identitasnya dihapus untuk melihat perubahannya. Instance yang di-de-identifikasi memiliki UID studi, UID rangkaian, dan UID instance baru, jadi Anda harus menelusuri set data baru untuk menemukan instance yang di-de-identifikasi terlebih dahulu.

    Sebelum menggunakan salah satu data permintaan, lakukan penggantian berikut:

    • PROJECT_ID: ID Google Cloud project Anda
    • SOURCE_DATASET_LOCATION: lokasi set data sumber
    • DESTINATION_DATASET_ID: ID set data tujuan tempat data yang tidak diidentifikasi ditulis
    • DESTINATION_DICOM_STORE_ID: ID penyimpanan DICOM di set data tujuan. Ini sama dengan ID penyimpanan DICOM dalam set data sumber.

    Untuk mengirim permintaan Anda, pilih salah satu opsi berikut:

    curl

    Jalankan perintah berikut:

    curl -X GET \
    -H "Authorization: Bearer $(gcloud auth print-access-token)" \
    "https://healthcare.googleapis.com/v1/projects/PROJECT_ID/locations/SOURCE_DATASET_LOCATION/datasets/DESTINATION_DATASET_ID/dicomStores/DESTINATION_DICOM_STORE_ID/dicomWeb/instances"

    PowerShell

    Jalankan perintah berikut:

    $cred = gcloud auth print-access-token
    $headers = @{ "Authorization" = "Bearer $cred" }

    Invoke-WebRequest `
    -Method GET `
    -Headers $headers `
    -Uri "https://healthcare.googleapis.com/v1/projects/PROJECT_ID/locations/SOURCE_DATASET_LOCATION/datasets/DESTINATION_DATASET_ID/dicomStores/DESTINATION_DICOM_STORE_ID/dicomWeb/instances" | Select-Object -Expand Content

    APIs Explorer

    Buka halaman referensi metode. Panel APIs Explorer terbuka di sisi kanan halaman. Anda bisa berinteraksi dengan alat ini untuk mengirim permintaan. Lengkapi kolom yang wajib diisi, lalu klik Jalankan.

    Anda akan melihat respons JSON seperti berikut:

  4. Dengan menggunakan nilai baru, ambil metadata untuk instance.

    Sebelum menggunakan salah satu data permintaan, lakukan penggantian berikut:

    • PROJECT_ID: ID Google Cloud project Anda
    • LOCATION: lokasi set data
    • DESTINATION_DATASET_ID: ID set data tujuan tempat data yang tidak diidentifikasi ditulis
    • DESTINATION_DICOM_STORE_ID: ID penyimpanan DICOM di set data tujuan. Ini sama dengan ID penyimpanan DICOM dalam set data sumber.

    Untuk mengirim permintaan Anda, pilih salah satu opsi berikut:

    curl

    Jalankan perintah berikut:

    curl -X GET \
    -H "Authorization: Bearer $(gcloud auth print-access-token)" \
    "https://healthcare.googleapis.com/v1/projects/PROJECT_ID/locations/LOCATION/datasets/DESTINATION_DATASET_ID/dicomStores/DESTINATION_DICOM_STORE_ID/dicomWeb/studies/1.3.6.1.4.1.11129.5.1.201854290391432893460946240745559593763/series/1.3.6.1.4.1.11129.5.1.303327499491957026103380014864616068710/instances/1.3.6.1.4.1.11129.5.1.97415866390999888717168863957686758029/metadata"

    PowerShell

    Jalankan perintah berikut:

    $cred = gcloud auth print-access-token
    $headers = @{ "Authorization" = "Bearer $cred" }

    Invoke-WebRequest `
    -Method GET `
    -Headers $headers `
    -Uri "https://healthcare.googleapis.com/v1/projects/PROJECT_ID/locations/LOCATION/datasets/DESTINATION_DATASET_ID/dicomStores/DESTINATION_DICOM_STORE_ID/dicomWeb/studies/1.3.6.1.4.1.11129.5.1.201854290391432893460946240745559593763/series/1.3.6.1.4.1.11129.5.1.303327499491957026103380014864616068710/instances/1.3.6.1.4.1.11129.5.1.97415866390999888717168863957686758029/metadata" | Select-Object -Expand Content

    APIs Explorer

    Buka halaman referensi metode. Panel APIs Explorer terbuka di sisi kanan halaman. Anda bisa berinteraksi dengan alat ini untuk mengirim permintaan. Lengkapi kolom yang wajib diisi, lalu klik Jalankan.

    Output-nya berisi metadata baru. Anda dapat membandingkan metadata baru dengan metadata asli untuk melihat efek transformasi.

Output menunjukkan bahwa nilai dalam ReferringPhysicianName (00080090) dan PatientName (00100010) telah dihapus. Hal ini berbeda dengan contoh dalam konfigurasi default, yang nilai-nilainya diubah menggunakan hashing kriptografi.

CharacterMaskConfig

Menentukan characterMaskConfig akan mengganti string yang sesuai dengan infoType yang diberikan dengan karakter tetap yang ditentukan. Misalnya, daripada menyamarkan nama pasien atau mengubahnya menggunakan hashing kriptografi, Anda dapat mengganti nama tersebut dengan serangkaian tanda bintang (*). Anda dapat menentukan karakter tetap sebagai nilai ke kolom maskingCharacter.

Contoh berikut memperluas konfigurasi default, tetapi kini menyertakan setelan infoType LAST_NAME dengan transformasi characterMaskConfig. Tidak ada karakter tetap yang diberikan, sehingga masking secara default menggunakan tanda bintang.

Contoh menggunakan satu instance DICOM, tetapi Anda dapat melakukan de-identifikasi beberapa instance.

Setelah mengirimkan gambar ke Cloud Healthcare API menggunakan transformasi characterMaskConfig, gambar akan muncul sebagai berikut:

dicom_charactermaskconfig

REST

  1. Lakukan de-identifikasi set data.

    Sebelum menggunakan salah satu data permintaan, lakukan penggantian berikut:

    • PROJECT_ID: ID Google Cloud project Anda
    • LOCATION: lokasi set data
    • SOURCE_DATASET_ID: ID set data yang berisi data yang akan dianonimkan
    • DESTINATION_DATASET_ID: ID set data tujuan tempat data yang tidak diidentifikasi ditulis

    Meminta isi JSON:

    {
      "destinationDataset": "projects/PROJECT_ID/locations/LOCATION/datasets/DESTINATION_DATASET_ID",
      "config": {
        "dicom": {
          "filterProfile": "DEIDENTIFY_TAG_CONTENTS"
        },
        "text": {
          "transformations": [
            {
              "infoTypes": [
                "PERSON_NAME"
              ],
              "characterMaskConfig": {
                "maskingCharacter": ""
              }
            }
          ]
        }
      }
    }
    

    Untuk mengirim permintaan Anda, pilih salah satu opsi berikut:

    curl

    Simpan isi permintaan dalam file bernama request.json. Jalankan perintah berikut di terminal untuk membuat atau menimpa file ini di direktori saat ini:

    cat > request.json << 'EOF'
    {
      "destinationDataset": "projects/PROJECT_ID/locations/LOCATION/datasets/DESTINATION_DATASET_ID",
      "config": {
        "dicom": {
          "filterProfile": "DEIDENTIFY_TAG_CONTENTS"
        },
        "text": {
          "transformations": [
            {
              "infoTypes": [
                "PERSON_NAME"
              ],
              "characterMaskConfig": {
                "maskingCharacter": ""
              }
            }
          ]
        }
      }
    }
    EOF

    Kemudian, jalankan perintah berikut untuk mengirim permintaan REST Anda:

    curl -X POST \
    -H "Authorization: Bearer $(gcloud auth print-access-token)" \
    -H "Content-Type: application/json; charset=utf-8" \
    -d @request.json \
    "https://healthcare.googleapis.com/v1/projects/PROJECT_ID/locations/LOCATION/datasets/SOURCE_DATASET_ID:deidentify"

    PowerShell

    Simpan isi permintaan dalam file bernama request.json. Jalankan perintah berikut di terminal untuk membuat atau menimpa file ini di direktori saat ini:

    @'
    {
      "destinationDataset": "projects/PROJECT_ID/locations/LOCATION/datasets/DESTINATION_DATASET_ID",
      "config": {
        "dicom": {
          "filterProfile": "DEIDENTIFY_TAG_CONTENTS"
        },
        "text": {
          "transformations": [
            {
              "infoTypes": [
                "PERSON_NAME"
              ],
              "characterMaskConfig": {
                "maskingCharacter": ""
              }
            }
          ]
        }
      }
    }
    '@  | Out-File -FilePath request.json -Encoding utf8

    Kemudian jalankan perintah berikut untuk mengirim permintaan REST Anda:

    $cred = gcloud auth print-access-token
    $headers = @{ "Authorization" = "Bearer $cred" }

    Invoke-WebRequest `
    -Method POST `
    -Headers $headers `
    -ContentType: "application/json; charset=utf-8" `
    -InFile request.json `
    -Uri "https://healthcare.googleapis.com/v1/projects/PROJECT_ID/locations/LOCATION/datasets/SOURCE_DATASET_ID:deidentify" | Select-Object -Expand Content
    Output-nya adalah sebagai berikut. Respons berisi ID untuk operasi yang berjalan lama. Operasi yang berjalan lama ditampilkan saat panggilan metode mungkin memerlukan waktu yang cukup lama untuk diselesaikan. Catat nilai OPERATION_ID. Anda memerlukan nilai ini pada langkah berikutnya.

  2. Gunakan metode projects.locations.datasets.operations.get untuk mendapatkan status operasi yang berjalan lama.

    Sebelum menggunakan salah satu data permintaan, lakukan penggantian berikut:

    • PROJECT_ID: ID Google Cloud project Anda
    • DATASET_ID: ID set data
    • LOCATION: lokasi set data
    • OPERATION_ID: ID yang ditampilkan dari operasi yang berjalan lama

    Untuk mengirim permintaan Anda, pilih salah satu opsi berikut:

    curl

    Jalankan perintah berikut:

    curl -X GET \
    -H "Authorization: Bearer $(gcloud auth print-access-token)" \
    "https://healthcare.googleapis.com/v1/projects/PROJECT_ID/locations/LOCATION/datasets/DATASET_ID/operations/OPERATION_ID"

    PowerShell

    Jalankan perintah berikut:

    $cred = gcloud auth print-access-token
    $headers = @{ "Authorization" = "Bearer $cred" }

    Invoke-WebRequest `
    -Method GET `
    -Headers $headers `
    -Uri "https://healthcare.googleapis.com/v1/projects/PROJECT_ID/locations/LOCATION/datasets/DATASET_ID/operations/OPERATION_ID" | Select-Object -Expand Content

    APIs Explorer

    Buka halaman referensi metode. Panel APIs Explorer terbuka di sisi kanan halaman. Anda bisa berinteraksi dengan alat ini untuk mengirim permintaan. Lengkapi kolom yang wajib diisi, lalu klik Jalankan.

    Output-nya adalah sebagai berikut. Jika respons berisi "done": true, berarti operasi yang berjalan lama telah selesai.
  3. Setelah proses penghapusan identitas berhasil, Anda dapat mengambil metadata untuk instance yang identitasnya dihapus untuk melihat perubahannya. Instance yang di-de-identifikasi memiliki UID studi, UID rangkaian, dan UID instance baru, jadi Anda harus menelusuri set data baru untuk menemukan instance yang di-de-identifikasi terlebih dahulu.

    Sebelum menggunakan salah satu data permintaan, lakukan penggantian berikut:

    • PROJECT_ID: ID Google Cloud project Anda
    • SOURCE_DATASET_LOCATION: lokasi set data sumber
    • DESTINATION_DATASET_ID: ID set data tujuan tempat data yang tidak diidentifikasi ditulis
    • DESTINATION_DICOM_STORE_ID: ID penyimpanan DICOM di set data tujuan. Ini sama dengan ID penyimpanan DICOM dalam set data sumber.

    Untuk mengirim permintaan Anda, pilih salah satu opsi berikut:

    curl

    Jalankan perintah berikut:

    curl -X GET \
    -H "Authorization: Bearer $(gcloud auth print-access-token)" \
    "https://healthcare.googleapis.com/v1/projects/PROJECT_ID/locations/SOURCE_DATASET_LOCATION/datasets/DESTINATION_DATASET_ID/dicomStores/DESTINATION_DICOM_STORE_ID/dicomWeb/instances"

    PowerShell

    Jalankan perintah berikut:

    $cred = gcloud auth print-access-token
    $headers = @{ "Authorization" = "Bearer $cred" }

    Invoke-WebRequest `
    -Method GET `
    -Headers $headers `
    -Uri "https://healthcare.googleapis.com/v1/projects/PROJECT_ID/locations/SOURCE_DATASET_LOCATION/datasets/DESTINATION_DATASET_ID/dicomStores/DESTINATION_DICOM_STORE_ID/dicomWeb/instances" | Select-Object -Expand Content

    APIs Explorer

    Buka halaman referensi metode. Panel APIs Explorer terbuka di sisi kanan halaman. Anda bisa berinteraksi dengan alat ini untuk mengirim permintaan. Lengkapi kolom yang wajib diisi, lalu klik Jalankan.

    Anda akan melihat respons JSON seperti berikut:

  4. Dengan menggunakan nilai baru, ambil metadata untuk instance.

    Sebelum menggunakan salah satu data permintaan, lakukan penggantian berikut:

    • PROJECT_ID: ID Google Cloud project Anda
    • LOCATION: lokasi set data
    • DESTINATION_DATASET_ID: ID set data tujuan tempat data yang tidak diidentifikasi ditulis
    • DESTINATION_DICOM_STORE_ID: ID penyimpanan DICOM di set data tujuan. Ini sama dengan ID penyimpanan DICOM dalam set data sumber.

    Untuk mengirim permintaan Anda, pilih salah satu opsi berikut:

    curl

    Jalankan perintah berikut:

    curl -X GET \
    -H "Authorization: Bearer $(gcloud auth print-access-token)" \
    "https://healthcare.googleapis.com/v1/projects/PROJECT_ID/locations/LOCATION/datasets/DESTINATION_DATASET_ID/dicomStores/DESTINATION_DICOM_STORE_ID/dicomWeb/studies/1.3.6.1.4.1.11129.5.1.201854290391432893460946240745559593763/series/1.3.6.1.4.1.11129.5.1.303327499491957026103380014864616068710/instances/1.3.6.1.4.1.11129.5.1.97415866390999888717168863957686758029/metadata"

    PowerShell

    Jalankan perintah berikut:

    $cred = gcloud auth print-access-token
    $headers = @{ "Authorization" = "Bearer $cred" }

    Invoke-WebRequest `
    -Method GET `
    -Headers $headers `
    -Uri "https://healthcare.googleapis.com/v1/projects/PROJECT_ID/locations/LOCATION/datasets/DESTINATION_DATASET_ID/dicomStores/DESTINATION_DICOM_STORE_ID/dicomWeb/studies/1.3.6.1.4.1.11129.5.1.201854290391432893460946240745559593763/series/1.3.6.1.4.1.11129.5.1.303327499491957026103380014864616068710/instances/1.3.6.1.4.1.11129.5.1.97415866390999888717168863957686758029/metadata" | Select-Object -Expand Content

    APIs Explorer

    Buka halaman referensi metode. Panel APIs Explorer terbuka di sisi kanan halaman. Anda bisa berinteraksi dengan alat ini untuk mengirim permintaan. Lengkapi kolom yang wajib diisi, lalu klik Jalankan.

    Output-nya berisi metadata baru. Anda dapat membandingkan metadata baru dengan metadata asli untuk melihat efek transformasi.

Output menunjukkan bahwa nama belakang di ReferringPhysicianName (00080090) dan PatientName (00100010) telah diganti dengan tanda bintang. Hal ini berbeda dengan contoh dalam Konfigurasi default, di mana nilai ini diubah menggunakan hashing kriptografi.

DateShiftConfig

Cloud Healthcare API dapat mengubah tanggal dengan menggesernya dalam rentang preset. Untuk menjaga konsistensi transformasi tanggal di seluruh proses penghapusan identitas, gunakan DateShiftConfig dengan salah satu opsi berikut:

Anda harus memberikan peran dengan izin cloudkms.cryptoKeyVersions.useToDecrypt ke akun layanan Agen Layanan Cloud Healthcare untuk mendekripsi kunci yang di-wrap Cloud KMS. Sebaiknya gunakan peran Cloud KMS CryptoKey Decrypter (roles/cloudkms.cryptoKeyDecrypter). Saat Anda menggunakan Cloud KMS untuk operasi kriptografi, biaya akan dikenakan. Lihat Harga Cloud Key Management Service untuk mengetahui informasi selengkapnya.

Cloud Healthcare API menggunakan kunci ini untuk menghitung jumlah pergeseran tanggal, seperti tanggal lahir pasien, dalam selisih 100 hari.

Jika Anda tidak memberikan kunci, Cloud Healthcare API akan membuat kuncinya sendiri setiap kali operasi de-identifikasi berjalan pada nilai tanggal. Hal ini dapat menyebabkan output tanggal antar-operasi berjalan tidak konsisten.

Contoh berikut menunjukkan cara menyetel infoType DATE dan DATE_OF_BIRTH dengan transformasi DateShiftConfig pada instance DICOM. Setelah mengirim permintaan penghapusan identitas ke Cloud Healthcare API, nilai tanggal dalam instance akan bergeser dalam rentang plus atau minus 100 hari dari nilai aslinya.

Kunci kripto yang disediakan, U2FsdGVkX19bS2oZsdbK9X5zi2utBn22uY+I2Vo0zOU=, adalah kunci berenkode base64 256-bit yang dienkripsi AES mentah dan dibuat menggunakan perintah berikut. Saat diminta, sandi kosong akan diberikan ke perintah:

echo -n "test" | openssl enc -e -aes-256-ofb -a -salt

Setelah mengirimkan gambar ke Cloud Healthcare API menggunakan transformasi dateShiftConfig, gambar akan muncul sebagai berikut:

dicom_dateshiftconfig

REST

  1. Lakukan de-identifikasi set data.

    Sebelum menggunakan salah satu data permintaan, lakukan penggantian berikut:

    • PROJECT_ID: ID Google Cloud project Anda
    • LOCATION: lokasi set data
    • SOURCE_DATASET_ID: ID set data yang berisi data yang akan dianonimkan
    • DESTINATION_DATASET_ID: ID set data tujuan tempat data yang tidak diidentifikasi ditulis

    Meminta isi JSON:

    {
      "destinationDataset": "projects/PROJECT_ID/locations/LOCATION/datasets/DESTINATION_DATASET_ID",
      "config": {
        "dicom": {
          "filterProfile": "DEIDENTIFY_TAG_CONTENTS"
        },
        "text": {
          "transformations": [
            {
              "infoTypes": [
                "DATE",
                "DATE_OF_BIRTH"
              ],
              "dateShiftConfig": {
                "cryptoKey": "U2FsdGVkX19bS2oZsdbK9X5zi2utBn22uY+I2Vo0zOU="
              }
            }
          ]
        }
      }
    }
    

    Untuk mengirim permintaan Anda, pilih salah satu opsi berikut:

    curl

    Simpan isi permintaan dalam file bernama request.json. Jalankan perintah berikut di terminal untuk membuat atau menimpa file ini di direktori saat ini:

    cat > request.json << 'EOF'
    {
      "destinationDataset": "projects/PROJECT_ID/locations/LOCATION/datasets/DESTINATION_DATASET_ID",
      "config": {
        "dicom": {
          "filterProfile": "DEIDENTIFY_TAG_CONTENTS"
        },
        "text": {
          "transformations": [
            {
              "infoTypes": [
                "DATE",
                "DATE_OF_BIRTH"
              ],
              "dateShiftConfig": {
                "cryptoKey": "U2FsdGVkX19bS2oZsdbK9X5zi2utBn22uY+I2Vo0zOU="
              }
            }
          ]
        }
      }
    }
    EOF

    Kemudian, jalankan perintah berikut untuk mengirim permintaan REST Anda:

    curl -X POST \
    -H "Authorization: Bearer $(gcloud auth print-access-token)" \
    -H "Content-Type: application/json; charset=utf-8" \
    -d @request.json \
    "https://healthcare.googleapis.com/v1/projects/PROJECT_ID/locations/LOCATION/datasets/SOURCE_DATASET_ID:deidentify"

    PowerShell

    Simpan isi permintaan dalam file bernama request.json. Jalankan perintah berikut di terminal untuk membuat atau menimpa file ini di direktori saat ini:

    @'
    {
      "destinationDataset": "projects/PROJECT_ID/locations/LOCATION/datasets/DESTINATION_DATASET_ID",
      "config": {
        "dicom": {
          "filterProfile": "DEIDENTIFY_TAG_CONTENTS"
        },
        "text": {
          "transformations": [
            {
              "infoTypes": [
                "DATE",
                "DATE_OF_BIRTH"
              ],
              "dateShiftConfig": {
                "cryptoKey": "U2FsdGVkX19bS2oZsdbK9X5zi2utBn22uY+I2Vo0zOU="
              }
            }
          ]
        }
      }
    }
    '@  | Out-File -FilePath request.json -Encoding utf8

    Kemudian jalankan perintah berikut untuk mengirim permintaan REST Anda:

    $cred = gcloud auth print-access-token
    $headers = @{ "Authorization" = "Bearer $cred" }

    Invoke-WebRequest `
    -Method POST `
    -Headers $headers `
    -ContentType: "application/json; charset=utf-8" `
    -InFile request.json `
    -Uri "https://healthcare.googleapis.com/v1/projects/PROJECT_ID/locations/LOCATION/datasets/SOURCE_DATASET_ID:deidentify" | Select-Object -Expand Content
    Output-nya adalah sebagai berikut. Respons berisi ID untuk operasi yang berjalan lama. Operasi yang berjalan lama ditampilkan saat panggilan metode mungkin memerlukan waktu yang cukup lama untuk diselesaikan. Catat nilai OPERATION_ID. Anda memerlukan nilai ini pada langkah berikutnya.

  2. Gunakan metode projects.locations.datasets.operations.get untuk mendapatkan status operasi yang berjalan lama.

    Sebelum menggunakan salah satu data permintaan, lakukan penggantian berikut:

    • PROJECT_ID: ID Google Cloud project Anda
    • DATASET_ID: ID set data
    • LOCATION: lokasi set data
    • OPERATION_ID: ID yang ditampilkan dari operasi yang berjalan lama

    Untuk mengirim permintaan Anda, pilih salah satu opsi berikut:

    curl

    Jalankan perintah berikut:

    curl -X GET \
    -H "Authorization: Bearer $(gcloud auth print-access-token)" \
    "https://healthcare.googleapis.com/v1/projects/PROJECT_ID/locations/LOCATION/datasets/DATASET_ID/operations/OPERATION_ID"

    PowerShell

    Jalankan perintah berikut:

    $cred = gcloud auth print-access-token
    $headers = @{ "Authorization" = "Bearer $cred" }

    Invoke-WebRequest `
    -Method GET `
    -Headers $headers `
    -Uri "https://healthcare.googleapis.com/v1/projects/PROJECT_ID/locations/LOCATION/datasets/DATASET_ID/operations/OPERATION_ID" | Select-Object -Expand Content

    APIs Explorer

    Buka halaman referensi metode. Panel APIs Explorer terbuka di sisi kanan halaman. Anda bisa berinteraksi dengan alat ini untuk mengirim permintaan. Lengkapi kolom yang wajib diisi, lalu klik Jalankan.

    Output-nya adalah sebagai berikut. Jika respons berisi "done": true, berarti operasi yang berjalan lama telah selesai.
  3. Setelah proses penghapusan identitas berhasil, Anda dapat mengambil metadata untuk instance yang identitasnya dihapus untuk melihat perubahannya. Instance yang di-de-identifikasi memiliki UID studi, UID rangkaian, dan UID instance baru, jadi Anda harus menelusuri set data baru untuk menemukan instance yang di-de-identifikasi terlebih dahulu.

    Sebelum menggunakan salah satu data permintaan, lakukan penggantian berikut:

    • PROJECT_ID: ID Google Cloud project Anda
    • SOURCE_DATASET_LOCATION: lokasi set data sumber
    • DESTINATION_DATASET_ID: ID set data tujuan tempat data yang tidak diidentifikasi ditulis
    • DESTINATION_DICOM_STORE_ID: ID penyimpanan DICOM di set data tujuan. Ini sama dengan ID penyimpanan DICOM dalam set data sumber.

    Untuk mengirim permintaan Anda, pilih salah satu opsi berikut:

    curl

    Jalankan perintah berikut:

    curl -X GET \
    -H "Authorization: Bearer $(gcloud auth print-access-token)" \
    "https://healthcare.googleapis.com/v1/projects/PROJECT_ID/locations/SOURCE_DATASET_LOCATION/datasets/DESTINATION_DATASET_ID/dicomStores/DESTINATION_DICOM_STORE_ID/dicomWeb/instances"

    PowerShell

    Jalankan perintah berikut:

    $cred = gcloud auth print-access-token
    $headers = @{ "Authorization" = "Bearer $cred" }

    Invoke-WebRequest `
    -Method GET `
    -Headers $headers `
    -Uri "https://healthcare.googleapis.com/v1/projects/PROJECT_ID/locations/SOURCE_DATASET_LOCATION/datasets/DESTINATION_DATASET_ID/dicomStores/DESTINATION_DICOM_STORE_ID/dicomWeb/instances" | Select-Object -Expand Content

    APIs Explorer

    Buka halaman referensi metode. Panel APIs Explorer terbuka di sisi kanan halaman. Anda bisa berinteraksi dengan alat ini untuk mengirim permintaan. Lengkapi kolom yang wajib diisi, lalu klik Jalankan.

    Anda akan melihat respons JSON seperti berikut:

  4. Dengan menggunakan nilai baru, ambil metadata untuk instance.

    Sebelum menggunakan salah satu data permintaan, lakukan penggantian berikut:

    • PROJECT_ID: ID Google Cloud project Anda
    • LOCATION: lokasi set data
    • DESTINATION_DATASET_ID: ID set data tujuan tempat data yang tidak diidentifikasi ditulis
    • DESTINATION_DICOM_STORE_ID: ID penyimpanan DICOM di set data tujuan. Ini sama dengan ID penyimpanan DICOM dalam set data sumber.

    Untuk mengirim permintaan Anda, pilih salah satu opsi berikut:

    curl

    Jalankan perintah berikut:

    curl -X GET \
    -H "Authorization: Bearer $(gcloud auth print-access-token)" \
    "https://healthcare.googleapis.com/v1/projects/PROJECT_ID/locations/LOCATION/datasets/DESTINATION_DATASET_ID/dicomStores/DESTINATION_DICOM_STORE_ID/dicomWeb/studies/1.3.6.1.4.1.11129.5.1.201854290391432893460946240745559593763/series/1.3.6.1.4.1.11129.5.1.303327499491957026103380014864616068710/instances/1.3.6.1.4.1.11129.5.1.97415866390999888717168863957686758029/metadata"

    PowerShell

    Jalankan perintah berikut:

    $cred = gcloud auth print-access-token
    $headers = @{ "Authorization" = "Bearer $cred" }

    Invoke-WebRequest `
    -Method GET `
    -Headers $headers `
    -Uri "https://healthcare.googleapis.com/v1/projects/PROJECT_ID/locations/LOCATION/datasets/DESTINATION_DATASET_ID/dicomStores/DESTINATION_DICOM_STORE_ID/dicomWeb/studies/1.3.6.1.4.1.11129.5.1.201854290391432893460946240745559593763/series/1.3.6.1.4.1.11129.5.1.303327499491957026103380014864616068710/instances/1.3.6.1.4.1.11129.5.1.97415866390999888717168863957686758029/metadata" | Select-Object -Expand Content

    APIs Explorer

    Buka halaman referensi metode. Panel APIs Explorer terbuka di sisi kanan halaman. Anda bisa berinteraksi dengan alat ini untuk mengirim permintaan. Lengkapi kolom yang wajib diisi, lalu klik Jalankan.

    Output-nya berisi metadata baru. Anda dapat membandingkan metadata baru dengan metadata asli untuk melihat efek transformasi.

Output menunjukkan bahwa StudyDate (00080020) dan PatientBirthDate (00100030) memiliki nilai baru. Transformasi ini terjadi sebagai akibat dari penggabungan diferensial 100 hari dengan nilai cryptoKey yang diberikan. Nilai tanggal baru konsisten untuk instance ini di antara proses penghapusan identitas selama cryptoKey yang sama diberikan.

CryptoHashConfig

Anda dapat mengosongkan cryptoHashConfig, atau Anda dapat memberikannya dengan:

Anda harus memberikan peran dengan izin cloudkms.cryptoKeyVersions.useToDecrypt ke akun layanan Agen Layanan Cloud Healthcare untuk mendekripsi kunci yang di-wrap Cloud KMS. Sebaiknya gunakan peran Cloud KMS CryptoKey Decrypter (roles/cloudkms.cryptoKeyDecrypter). Saat Anda menggunakan Cloud KMS untuk operasi kriptografi, biaya akan dikenakan. Lihat Harga Cloud Key Management Service untuk mengetahui informasi selengkapnya.

Cloud Healthcare API dapat mentransformasi data dengan mengganti nilai dengan hash kriptografi (juga disebut nilai pengganti). Untuk melakukannya, tentukan pesan cryptoHashConfig.

Jika Anda tidak memberikan kunci, Cloud Healthcare API akan membuat kunci. Cloud Healthcare API menggunakan kunci ini untuk membuat nilai pengganti. Jika Anda memberikan kunci yang sama untuk setiap proses, Cloud Healthcare API akan menghasilkan nilai pengganti yang konsisten. Jika Anda tidak memberikan kunci, Cloud Healthcare API akan membuat kunci baru setiap kali operasi berjalan. Menggunakan kunci yang berbeda akan menghasilkan nilai pengganti yang berbeda.

Contoh berikut menunjukkan cara menerapkan transformasi cryptoHashConfig ke semua infoType DICOM default yang didukung di Cloud Healthcare API. Setelah mengirim permintaan de-identifikasi, nilai dengan infoType DICOM yang sesuai di Cloud Healthcare API akan diganti dengan nilai pengganti.

Contoh ini juga menunjukkan cara memberikan kunci kripto untuk menghasilkan nilai pengganti yang konsisten di antara proses de-identifikasi.

Kunci kripto yang disediakan, U2FsdGVkX19bS2oZsdbK9X5zi2utBn22uY+I2Vo0zOU=, adalah kunci berenkode base64 256-bit yang dienkripsi AES mentah dan dibuat menggunakan perintah berikut. Saat diminta, sandi kosong akan diberikan ke perintah:

echo -n "test" | openssl enc -e -aes-256-ofb -a -salt

Setelah mengirimkan gambar ke Cloud Healthcare API menggunakan transformasi cryptoHashConfig, gambar akan muncul sebagai berikut:

dicom_cryptohashconfig

REST

  1. Lakukan de-identifikasi set data.

    Sebelum menggunakan salah satu data permintaan, lakukan penggantian berikut:

    • PROJECT_ID: ID Google Cloud project Anda
    • LOCATION: lokasi set data
    • SOURCE_DATASET_ID: ID set data yang berisi data yang akan dianonimkan
    • DESTINATION_DATASET_ID: ID set data tujuan tempat data yang tidak diidentifikasi ditulis

    Meminta isi JSON:

    {
      "destinationDataset": "projects/PROJECT_ID/locations/LOCATION/datasets/DESTINATION_DATASET_ID",
      "config": {
        "dicom": {
          "filterProfile": "DEIDENTIFY_TAG_CONTENTS"
        },
        "text": {
          "transformations": [
            {
              "infoTypes": [],
              "cryptoHashConfig": {
                "cryptoKey": "U2FsdGVkX19bS2oZsdbK9X5zi2utBn22uY+I2Vo0zOU="
              }
            }
          ]
        }
      }
    }
    

    Untuk mengirim permintaan Anda, pilih salah satu opsi berikut:

    curl

    Simpan isi permintaan dalam file bernama request.json. Jalankan perintah berikut di terminal untuk membuat atau menimpa file ini di direktori saat ini:

    cat > request.json << 'EOF'
    {
      "destinationDataset": "projects/PROJECT_ID/locations/LOCATION/datasets/DESTINATION_DATASET_ID",
      "config": {
        "dicom": {
          "filterProfile": "DEIDENTIFY_TAG_CONTENTS"
        },
        "text": {
          "transformations": [
            {
              "infoTypes": [],
              "cryptoHashConfig": {
                "cryptoKey": "U2FsdGVkX19bS2oZsdbK9X5zi2utBn22uY+I2Vo0zOU="
              }
            }
          ]
        }
      }
    }
    EOF

    Kemudian, jalankan perintah berikut untuk mengirim permintaan REST Anda:

    curl -X POST \
    -H "Authorization: Bearer $(gcloud auth print-access-token)" \
    -H "Content-Type: application/json; charset=utf-8" \
    -d @request.json \
    "https://healthcare.googleapis.com/v1/projects/PROJECT_ID/locations/LOCATION/datasets/SOURCE_DATASET_ID:deidentify"

    PowerShell

    Simpan isi permintaan dalam file bernama request.json. Jalankan perintah berikut di terminal untuk membuat atau menimpa file ini di direktori saat ini:

    @'
    {
      "destinationDataset": "projects/PROJECT_ID/locations/LOCATION/datasets/DESTINATION_DATASET_ID",
      "config": {
        "dicom": {
          "filterProfile": "DEIDENTIFY_TAG_CONTENTS"
        },
        "text": {
          "transformations": [
            {
              "infoTypes": [],
              "cryptoHashConfig": {
                "cryptoKey": "U2FsdGVkX19bS2oZsdbK9X5zi2utBn22uY+I2Vo0zOU="
              }
            }
          ]
        }
      }
    }
    '@  | Out-File -FilePath request.json -Encoding utf8

    Kemudian jalankan perintah berikut untuk mengirim permintaan REST Anda:

    $cred = gcloud auth print-access-token
    $headers = @{ "Authorization" = "Bearer $cred" }

    Invoke-WebRequest `
    -Method POST `
    -Headers $headers `
    -ContentType: "application/json; charset=utf-8" `
    -InFile request.json `
    -Uri "https://healthcare.googleapis.com/v1/projects/PROJECT_ID/locations/LOCATION/datasets/SOURCE_DATASET_ID:deidentify" | Select-Object -Expand Content
    Output-nya adalah sebagai berikut. Respons berisi ID untuk operasi yang berjalan lama. Operasi yang berjalan lama ditampilkan saat panggilan metode mungkin memerlukan waktu yang cukup lama untuk diselesaikan. Catat nilai OPERATION_ID. Anda memerlukan nilai ini pada langkah berikutnya.

  2. Gunakan metode projects.locations.datasets.operations.get untuk mendapatkan status operasi yang berjalan lama.

    Sebelum menggunakan salah satu data permintaan, lakukan penggantian berikut:

    • PROJECT_ID: ID Google Cloud project Anda
    • DATASET_ID: ID set data
    • LOCATION: lokasi set data
    • OPERATION_ID: ID yang ditampilkan dari operasi yang berjalan lama

    Untuk mengirim permintaan Anda, pilih salah satu opsi berikut:

    curl

    Jalankan perintah berikut:

    curl -X GET \
    -H "Authorization: Bearer $(gcloud auth print-access-token)" \
    "https://healthcare.googleapis.com/v1/projects/PROJECT_ID/locations/LOCATION/datasets/DATASET_ID/operations/OPERATION_ID"

    PowerShell

    Jalankan perintah berikut:

    $cred = gcloud auth print-access-token
    $headers = @{ "Authorization" = "Bearer $cred" }

    Invoke-WebRequest `
    -Method GET `
    -Headers $headers `
    -Uri "https://healthcare.googleapis.com/v1/projects/PROJECT_ID/locations/LOCATION/datasets/DATASET_ID/operations/OPERATION_ID" | Select-Object -Expand Content

    APIs Explorer

    Buka halaman referensi metode. Panel APIs Explorer terbuka di sisi kanan halaman. Anda bisa berinteraksi dengan alat ini untuk mengirim permintaan. Lengkapi kolom yang wajib diisi, lalu klik Jalankan.

    Output-nya adalah sebagai berikut. Jika respons berisi "done": true, berarti operasi yang berjalan lama telah selesai.
  3. Setelah proses penghapusan identitas berhasil, Anda dapat mengambil metadata untuk instance yang identitasnya dihapus untuk melihat perubahannya. Instance yang di-de-identifikasi memiliki UID studi, UID rangkaian, dan UID instance baru, jadi Anda harus menelusuri set data baru untuk menemukan instance yang di-de-identifikasi terlebih dahulu.

    Sebelum menggunakan salah satu data permintaan, lakukan penggantian berikut:

    • PROJECT_ID: ID Google Cloud project Anda
    • SOURCE_DATASET_LOCATION: lokasi set data sumber
    • DESTINATION_DATASET_ID: ID set data tujuan tempat data yang tidak diidentifikasi ditulis
    • DESTINATION_DICOM_STORE_ID: ID penyimpanan DICOM di set data tujuan. Ini sama dengan ID penyimpanan DICOM dalam set data sumber.

    Untuk mengirim permintaan Anda, pilih salah satu opsi berikut:

    curl

    Jalankan perintah berikut:

    curl -X GET \
    -H "Authorization: Bearer $(gcloud auth print-access-token)" \
    "https://healthcare.googleapis.com/v1/projects/PROJECT_ID/locations/SOURCE_DATASET_LOCATION/datasets/DESTINATION_DATASET_ID/dicomStores/DESTINATION_DICOM_STORE_ID/dicomWeb/instances"

    PowerShell

    Jalankan perintah berikut:

    $cred = gcloud auth print-access-token
    $headers = @{ "Authorization" = "Bearer $cred" }

    Invoke-WebRequest `
    -Method GET `
    -Headers $headers `
    -Uri "https://healthcare.googleapis.com/v1/projects/PROJECT_ID/locations/SOURCE_DATASET_LOCATION/datasets/DESTINATION_DATASET_ID/dicomStores/DESTINATION_DICOM_STORE_ID/dicomWeb/instances" | Select-Object -Expand Content

    APIs Explorer

    Buka halaman referensi metode. Panel APIs Explorer terbuka di sisi kanan halaman. Anda bisa berinteraksi dengan alat ini untuk mengirim permintaan. Lengkapi kolom yang wajib diisi, lalu klik Jalankan.

    Anda akan melihat respons JSON seperti berikut:

  4. Dengan menggunakan nilai baru, ambil metadata untuk instance.

    Sebelum menggunakan salah satu data permintaan, lakukan penggantian berikut:

    • PROJECT_ID: ID Google Cloud project Anda
    • LOCATION: lokasi set data
    • DESTINATION_DATASET_ID: ID set data tujuan tempat data yang tidak diidentifikasi ditulis
    • DESTINATION_DICOM_STORE_ID: ID penyimpanan DICOM di set data tujuan. Ini sama dengan ID penyimpanan DICOM dalam set data sumber.

    Untuk mengirim permintaan Anda, pilih salah satu opsi berikut:

    curl

    Jalankan perintah berikut:

    curl -X GET \
    -H "Authorization: Bearer $(gcloud auth print-access-token)" \
    "https://healthcare.googleapis.com/v1/projects/PROJECT_ID/locations/LOCATION/datasets/DESTINATION_DATASET_ID/dicomStores/DESTINATION_DICOM_STORE_ID/dicomWeb/studies/1.3.6.1.4.1.11129.5.1.201854290391432893460946240745559593763/series/1.3.6.1.4.1.11129.5.1.303327499491957026103380014864616068710/instances/1.3.6.1.4.1.11129.5.1.97415866390999888717168863957686758029/metadata"

    PowerShell

    Jalankan perintah berikut:

    $cred = gcloud auth print-access-token
    $headers = @{ "Authorization" = "Bearer $cred" }

    Invoke-WebRequest `
    -Method GET `
    -Headers $headers `
    -Uri "https://healthcare.googleapis.com/v1/projects/PROJECT_ID/locations/LOCATION/datasets/DESTINATION_DATASET_ID/dicomStores/DESTINATION_DICOM_STORE_ID/dicomWeb/studies/1.3.6.1.4.1.11129.5.1.201854290391432893460946240745559593763/series/1.3.6.1.4.1.11129.5.1.303327499491957026103380014864616068710/instances/1.3.6.1.4.1.11129.5.1.97415866390999888717168863957686758029/metadata" | Select-Object -Expand Content

    APIs Explorer

    Buka halaman referensi metode. Panel APIs Explorer terbuka di sisi kanan halaman. Anda bisa berinteraksi dengan alat ini untuk mengirim permintaan. Lengkapi kolom yang wajib diisi, lalu klik Jalankan.

    Output-nya berisi metadata baru. Anda dapat membandingkan metadata baru dengan metadata asli untuk melihat efek transformasi.

Transformasi dalam output konsisten untuk instance ini di antara proses de-identifikasi selama cryptoKey yang sama diberikan.

ReplaceWithInfoTypeConfig

Menentukan replaceWithInfoTypeConfig akan mengganti nilai input dengan nama infoType nilai.

Contoh berikut menunjukkan cara menerapkan transformasi replaceWithInfoTypeConfig ke semua infoType DICOM default yang didukung di Cloud Healthcare API. Pesan replaceWithInfoTypeConfig tidak memiliki argumen; menentukannya akan mengaktifkan transformasi.

Setelah mengirimkan gambar ke Cloud Healthcare API menggunakan transformasi replaceWithInfoTypeConfig, gambar akan muncul sebagai berikut:

dicom_replacewithinfotypeconfig

REST

  1. Lakukan de-identifikasi set data.

    Sebelum menggunakan salah satu data permintaan, lakukan penggantian berikut:

    • PROJECT_ID: ID Google Cloud project Anda
    • LOCATION: lokasi set data
    • SOURCE_DATASET_ID: ID set data yang berisi data yang akan dianonimkan
    • DESTINATION_DATASET_ID: ID set data tujuan tempat data yang tidak diidentifikasi ditulis

    Meminta isi JSON:

    {
      "destinationDataset": "projects/PROJECT_ID/locations/LOCATION/datasets/DESTINATION_DATASET_ID",
      "config": {
        "dicom": {
          "filterProfile": "DEIDENTIFY_TAG_CONTENTS"
        },
        "text": {
          "transformations": [
            {
              "infoTypes": [],
              "replaceWithInfoTypeConfig": {}
            }
          ]
        }
      }
    }
    

    Untuk mengirim permintaan Anda, pilih salah satu opsi berikut:

    curl

    Simpan isi permintaan dalam file bernama request.json. Jalankan perintah berikut di terminal untuk membuat atau menimpa file ini di direktori saat ini:

    cat > request.json << 'EOF'
    {
      "destinationDataset": "projects/PROJECT_ID/locations/LOCATION/datasets/DESTINATION_DATASET_ID",
      "config": {
        "dicom": {
          "filterProfile": "DEIDENTIFY_TAG_CONTENTS"
        },
        "text": {
          "transformations": [
            {
              "infoTypes": [],
              "replaceWithInfoTypeConfig": {}
            }
          ]
        }
      }
    }
    EOF

    Kemudian, jalankan perintah berikut untuk mengirim permintaan REST Anda:

    curl -X POST \
    -H "Authorization: Bearer $(gcloud auth print-access-token)" \
    -H "Content-Type: application/json; charset=utf-8" \
    -d @request.json \
    "https://healthcare.googleapis.com/v1/projects/PROJECT_ID/locations/LOCATION/datasets/SOURCE_DATASET_ID:deidentify"

    PowerShell

    Simpan isi permintaan dalam file bernama request.json. Jalankan perintah berikut di terminal untuk membuat atau menimpa file ini di direktori saat ini:

    @'
    {
      "destinationDataset": "projects/PROJECT_ID/locations/LOCATION/datasets/DESTINATION_DATASET_ID",
      "config": {
        "dicom": {
          "filterProfile": "DEIDENTIFY_TAG_CONTENTS"
        },
        "text": {
          "transformations": [
            {
              "infoTypes": [],
              "replaceWithInfoTypeConfig": {}
            }
          ]
        }
      }
    }
    '@  | Out-File -FilePath request.json -Encoding utf8

    Kemudian jalankan perintah berikut untuk mengirim permintaan REST Anda:

    $cred = gcloud auth print-access-token
    $headers = @{ "Authorization" = "Bearer $cred" }

    Invoke-WebRequest `
    -Method POST `
    -Headers $headers `
    -ContentType: "application/json; charset=utf-8" `
    -InFile request.json `
    -Uri "https://healthcare.googleapis.com/v1/projects/PROJECT_ID/locations/LOCATION/datasets/SOURCE_DATASET_ID:deidentify" | Select-Object -Expand Content
    Output-nya adalah sebagai berikut. Respons berisi ID untuk operasi yang berjalan lama. Operasi yang berjalan lama ditampilkan saat panggilan metode mungkin memerlukan waktu yang cukup lama untuk diselesaikan. Catat nilai OPERATION_ID. Anda memerlukan nilai ini pada langkah berikutnya.

  2. Gunakan metode projects.locations.datasets.operations.get untuk mendapatkan status operasi yang berjalan lama.

    Sebelum menggunakan salah satu data permintaan, lakukan penggantian berikut:

    • PROJECT_ID: ID Google Cloud project Anda
    • DATASET_ID: ID set data
    • LOCATION: lokasi set data
    • OPERATION_ID: ID yang ditampilkan dari operasi yang berjalan lama

    Untuk mengirim permintaan Anda, pilih salah satu opsi berikut:

    curl

    Jalankan perintah berikut:

    curl -X GET \
    -H "Authorization: Bearer $(gcloud auth print-access-token)" \
    "https://healthcare.googleapis.com/v1/projects/PROJECT_ID/locations/LOCATION/datasets/DATASET_ID/operations/OPERATION_ID"

    PowerShell

    Jalankan perintah berikut:

    $cred = gcloud auth print-access-token
    $headers = @{ "Authorization" = "Bearer $cred" }

    Invoke-WebRequest `
    -Method GET `
    -Headers $headers `
    -Uri "https://healthcare.googleapis.com/v1/projects/PROJECT_ID/locations/LOCATION/datasets/DATASET_ID/operations/OPERATION_ID" | Select-Object -Expand Content

    APIs Explorer

    Buka halaman referensi metode. Panel APIs Explorer terbuka di sisi kanan halaman. Anda bisa berinteraksi dengan alat ini untuk mengirim permintaan. Lengkapi kolom yang wajib diisi, lalu klik Jalankan.

    Output-nya adalah sebagai berikut. Jika respons berisi "done": true, berarti operasi yang berjalan lama telah selesai.
  3. Setelah proses penghapusan identitas berhasil, Anda dapat mengambil metadata untuk instance yang identitasnya dihapus untuk melihat perubahannya. Instance yang di-de-identifikasi memiliki UID studi, UID rangkaian, dan UID instance baru, jadi Anda harus menelusuri set data baru untuk menemukan instance yang di-de-identifikasi terlebih dahulu.

    Sebelum menggunakan salah satu data permintaan, lakukan penggantian berikut:

    • PROJECT_ID: ID Google Cloud project Anda
    • SOURCE_DATASET_LOCATION: lokasi set data sumber
    • DESTINATION_DATASET_ID: ID set data tujuan tempat data yang tidak diidentifikasi ditulis
    • DESTINATION_DICOM_STORE_ID: ID penyimpanan DICOM di set data tujuan. Ini sama dengan ID penyimpanan DICOM dalam set data sumber.

    Untuk mengirim permintaan Anda, pilih salah satu opsi berikut:

    curl

    Jalankan perintah berikut:

    curl -X GET \
    -H "Authorization: Bearer $(gcloud auth print-access-token)" \
    "https://healthcare.googleapis.com/v1/projects/PROJECT_ID/locations/SOURCE_DATASET_LOCATION/datasets/DESTINATION_DATASET_ID/dicomStores/DESTINATION_DICOM_STORE_ID/dicomWeb/instances"

    PowerShell

    Jalankan perintah berikut:

    $cred = gcloud auth print-access-token
    $headers = @{ "Authorization" = "Bearer $cred" }

    Invoke-WebRequest `
    -Method GET `
    -Headers $headers `
    -Uri "https://healthcare.googleapis.com/v1/projects/PROJECT_ID/locations/SOURCE_DATASET_LOCATION/datasets/DESTINATION_DATASET_ID/dicomStores/DESTINATION_DICOM_STORE_ID/dicomWeb/instances" | Select-Object -Expand Content

    APIs Explorer

    Buka halaman referensi metode. Panel APIs Explorer terbuka di sisi kanan halaman. Anda bisa berinteraksi dengan alat ini untuk mengirim permintaan. Lengkapi kolom yang wajib diisi, lalu klik Jalankan.

    Anda akan melihat respons JSON seperti berikut:

  4. Dengan menggunakan nilai baru, ambil metadata untuk instance.

    Sebelum menggunakan salah satu data permintaan, lakukan penggantian berikut:

    • PROJECT_ID: ID Google Cloud project Anda
    • LOCATION: lokasi set data
    • DESTINATION_DATASET_ID: ID set data tujuan tempat data yang tidak diidentifikasi ditulis
    • DESTINATION_DICOM_STORE_ID: ID penyimpanan DICOM di set data tujuan. Ini sama dengan ID penyimpanan DICOM dalam set data sumber.

    Untuk mengirim permintaan Anda, pilih salah satu opsi berikut:

    curl

    Jalankan perintah berikut:

    curl -X GET \
    -H "Authorization: Bearer $(gcloud auth print-access-token)" \
    "https://healthcare.googleapis.com/v1/projects/PROJECT_ID/locations/LOCATION/datasets/DESTINATION_DATASET_ID/dicomStores/DESTINATION_DICOM_STORE_ID/dicomWeb/studies/1.3.6.1.4.1.11129.5.1.201854290391432893460946240745559593763/series/1.3.6.1.4.1.11129.5.1.303327499491957026103380014864616068710/instances/1.3.6.1.4.1.11129.5.1.97415866390999888717168863957686758029/metadata"

    PowerShell

    Jalankan perintah berikut:

    $cred = gcloud auth print-access-token
    $headers = @{ "Authorization" = "Bearer $cred" }

    Invoke-WebRequest `
    -Method GET `
    -Headers $headers `
    -Uri "https://healthcare.googleapis.com/v1/projects/PROJECT_ID/locations/LOCATION/datasets/DESTINATION_DATASET_ID/dicomStores/DESTINATION_DICOM_STORE_ID/dicomWeb/studies/1.3.6.1.4.1.11129.5.1.201854290391432893460946240745559593763/series/1.3.6.1.4.1.11129.5.1.303327499491957026103380014864616068710/instances/1.3.6.1.4.1.11129.5.1.97415866390999888717168863957686758029/metadata" | Select-Object -Expand Content

    APIs Explorer

    Buka halaman referensi metode. Panel APIs Explorer terbuka di sisi kanan halaman. Anda bisa berinteraksi dengan alat ini untuk mengirim permintaan. Lengkapi kolom yang wajib diisi, lalu klik Jalankan.

    Output-nya berisi metadata baru. Anda dapat membandingkan metadata baru dengan metadata asli untuk melihat efek transformasi.

Melakukan de-identifikasi data di tingkat penyimpanan DICOM

Contoh sebelumnya menunjukkan cara melakukan de-identifikasi data DICOM di tingkat set data. Bagian ini menjelaskan cara melakukan de-identifikasi data di tingkat penyimpanan DICOM.

Untuk mengubah permintaan de-identifikasi set data menjadi permintaan de-identifikasi penyimpanan DICOM, lakukan perubahan berikut:

  • Ubah destinationDataset di isi permintaan menjadi destinationStore
  • Tambahkan dicomStores/DESTINATION_DICOM_STORE_ID di akhir nilai dalam destinationStore saat menentukan tujuan
  • Tambahkan dicomStores/SOURCE_DICOM_STORE_ID saat menentukan lokasi data sumber

Contoh:

De-identifikasi tingkat set data:

"destinationDataset": "projects/PROJECT_ID/locations/LOCATION/datasets/DESTINATION_DATASET_ID"
...
"https://healthcare.googleapis.com/v1/projects/PROJECT_ID/locations/LOCATION/datasets/SOURCE_DATASET_ID:deidentify"

De-identifikasi tingkat penyimpanan DICOM:

"destinationStore": "projects/PROJECT_ID/locations/LOCATION/datasets/DESTINATION_DATASET_ID/dicomStores/DESTINATION_DICOM_STORE_ID"
...
"https://healthcare.googleapis.com/v1/projects/PROJECT_ID/locations/LOCATION/datasets/SOURCE_DATASET_ID/dicomStores/SOURCE_DICOM_STORE_ID:deidentify"

Contoh berikut memperluas Menggabungkan de-identifikasi tag dan penyuntingan teks sisipan, tetapi de-identifikasi terjadi pada satu penyimpanan DICOM dan data yang telah di-identifikasi disalin ke penyimpanan DICOM baru. Sebelum menjalankan contoh, penyimpanan DICOM yang dirujuk oleh DESTINATION_DICOM_STORE_ID harus sudah ada.

Konsol

Untuk melakukan de-identifikasi data di penyimpanan DICOM menggunakan konsol Google Cloud , selesaikan langkah-langkah berikut.

  1. Di konsol Google Cloud , buka halaman Datasets.

    Buka Set Data

  2. Klik set data yang berisi data yang ingin Anda de-identifikasi.

  3. Dalam daftar penyimpanan DICOM, pilih De-identifikasi dari daftar Tindakan untuk penyimpanan DICOM yang Anda de-identifikasi.

    Halaman De-identifikasi penyimpanan DICOM akan ditampilkan.

  4. Pilih Setel penyimpanan data tujuan, lalu pilih set data dan penyimpanan DICOM tempat data yang di-de-identifikasi disimpan.

  5. Pilih De-identifikasi tag DICOM untuk mengonfigurasi cara data dide-identifikasi. Data dapat dianonimkan sebagai berikut:

  6. Pilih Penyuntingan teks sisipan DICOM untuk mengonfigurasi cara penyuntingan gambar dilakukan selama de-identifikasi. Anda dapat mengonfigurasi penyamaran gambar sebagai berikut:

  7. Klik De-identify untuk melakukan de-identifikasi data di penyimpanan DICOM.

REST

  1. Lakukan de-identifikasi set data.

    Sebelum menggunakan salah satu data permintaan, lakukan penggantian berikut:

    • PROJECT_ID: ID Google Cloud project Anda
    • LOCATION: lokasi set data
    • SOURCE_DATASET_ID: ID set data yang berisi data yang akan dianonimkan
    • DESTINATION_DATASET_ID: ID set data tujuan tempat data yang tidak diidentifikasi ditulis
    • SOURCE_DICOM_STORE_ID: ID penyimpanan DICOM yang berisi data yang akan di-de-identifikasi
    • DESTINATION_DICOM_STORE_ID: ID penyimpanan DICOM di set data tujuan

    Meminta isi JSON:

    {
      "destinationStore": "projects/PROJECT_ID/locations/LOCATION/datasets/DESTINATION_DATASET_ID/dicomStores/DESTINATION_DICOM_STORE_ID",
      "config": {
        "dicom": {
          "filterProfile": "DEIDENTIFY_TAG_CONTENTS"
        },
        "image": {
          "textRedactionMode": "REDACT_ALL_TEXT"
        }
      }
    }
    

    Untuk mengirim permintaan Anda, pilih salah satu opsi berikut:

    curl

    Simpan isi permintaan dalam file bernama request.json. Jalankan perintah berikut di terminal untuk membuat atau menimpa file ini di direktori saat ini:

    cat > request.json << 'EOF'
    {
      "destinationStore": "projects/PROJECT_ID/locations/LOCATION/datasets/DESTINATION_DATASET_ID/dicomStores/DESTINATION_DICOM_STORE_ID",
      "config": {
        "dicom": {
          "filterProfile": "DEIDENTIFY_TAG_CONTENTS"
        },
        "image": {
          "textRedactionMode": "REDACT_ALL_TEXT"
        }
      }
    }
    EOF

    Kemudian, jalankan perintah berikut untuk mengirim permintaan REST Anda:

    curl -X POST \
    -H "Authorization: Bearer $(gcloud auth print-access-token)" \
    -H "Content-Type: application/json; charset=utf-8" \
    -d @request.json \
    "https://healthcare.googleapis.com/v1/projects/PROJECT_ID/locations/LOCATION/datasets/SOURCE_DATASET_ID/dicomStores/SOURCE_DICOM_STORE_ID:deidentify"

    PowerShell

    Simpan isi permintaan dalam file bernama request.json. Jalankan perintah berikut di terminal untuk membuat atau menimpa file ini di direktori saat ini:

    @'
    {
      "destinationStore": "projects/PROJECT_ID/locations/LOCATION/datasets/DESTINATION_DATASET_ID/dicomStores/DESTINATION_DICOM_STORE_ID",
      "config": {
        "dicom": {
          "filterProfile": "DEIDENTIFY_TAG_CONTENTS"
        },
        "image": {
          "textRedactionMode": "REDACT_ALL_TEXT"
        }
      }
    }
    '@  | Out-File -FilePath request.json -Encoding utf8

    Kemudian jalankan perintah berikut untuk mengirim permintaan REST Anda:

    $cred = gcloud auth print-access-token
    $headers = @{ "Authorization" = "Bearer $cred" }

    Invoke-WebRequest `
    -Method POST `
    -Headers $headers `
    -ContentType: "application/json; charset=utf-8" `
    -InFile request.json `
    -Uri "https://healthcare.googleapis.com/v1/projects/PROJECT_ID/locations/LOCATION/datasets/SOURCE_DATASET_ID/dicomStores/SOURCE_DICOM_STORE_ID:deidentify" | Select-Object -Expand Content
    Output-nya adalah sebagai berikut. Respons berisi ID untuk operasi yang berjalan lama. Operasi yang berjalan lama ditampilkan saat panggilan metode mungkin memerlukan waktu yang cukup lama untuk diselesaikan. Catat nilai OPERATION_ID. Anda memerlukan nilai ini pada langkah berikutnya.

  2. Gunakan metode projects.locations.datasets.operations.get untuk mendapatkan status operasi yang berjalan lama.

    Sebelum menggunakan salah satu data permintaan, lakukan penggantian berikut:

    • PROJECT_ID: ID Google Cloud project Anda
    • DATASET_ID: ID set data
    • LOCATION: lokasi set data
    • OPERATION_ID: ID yang ditampilkan dari operasi yang berjalan lama

    Untuk mengirim permintaan Anda, pilih salah satu opsi berikut:

    curl

    Jalankan perintah berikut:

    curl -X GET \
    -H "Authorization: Bearer $(gcloud auth print-access-token)" \
    "https://healthcare.googleapis.com/v1/projects/PROJECT_ID/locations/LOCATION/datasets/DATASET_ID/operations/OPERATION_ID"

    PowerShell

    Jalankan perintah berikut:

    $cred = gcloud auth print-access-token
    $headers = @{ "Authorization" = "Bearer $cred" }

    Invoke-WebRequest `
    -Method GET `
    -Headers $headers `
    -Uri "https://healthcare.googleapis.com/v1/projects/PROJECT_ID/locations/LOCATION/datasets/DATASET_ID/operations/OPERATION_ID" | Select-Object -Expand Content

    APIs Explorer

    Buka halaman referensi metode. Panel APIs Explorer terbuka di sisi kanan halaman. Anda bisa berinteraksi dengan alat ini untuk mengirim permintaan. Lengkapi kolom yang wajib diisi, lalu klik Jalankan.

    Output-nya adalah sebagai berikut. Jika respons berisi "done": true, berarti operasi yang berjalan lama telah selesai.

Melakukan de-identifikasi subset penyimpanan DICOM

Anda dapat melakukan de-identifikasi sebagian data dalam penyimpanan DICOM dengan menentukan filter.

Filter berbentuk file filter yang Anda tentukan sebagai nilai untuk kolom resourcePathsGcsUri dalam objek DicomFilterConfig. File filter harus ada di bucket Cloud Storage; Anda tidak dapat menentukan file filter yang ada di komputer lokal atau sumber lainnya. Lokasi file harus dalam format gs://BUCKET/PATH/TO/FILE.

Membuat file filter

File filter menentukan file DICOM mana yang akan di-de-identifikasi. Anda dapat memfilter file di tingkat berikut:

  • Di tingkat studi
  • Di tingkat serial
  • Di tingkat instance

File filter terdiri dari satu baris per studi, deret, atau instance yang ingin Anda anonimkan. Setiap baris menggunakan format /studies/STUDY_UID[/series/SERIES_UID[/instances/INSTANCE_UID]]. Di akhir setiap baris terdapat karakter newline: \n atau \r\n.

Jika studi, rangkaian, atau instance tidak ditentukan dalam file filter yang Anda teruskan saat memanggil operasi de-identifikasi, studi, rangkaian, atau instance tersebut tidak akan dide-identifikasi dan tidak akan ada di penyimpanan DICOM tujuan.

Hanya bagian /studies/STUDY_UID dari jalur yang diperlukan. Artinya, Anda dapat menganonimkan studi dengan menentukan /studies/STUDY_UID, atau Anda dapat menganonimkan seri dengan menentukan /studies/STUDY_UID/series/SERIES_UID.

Pertimbangkan file filter berikut. File filter menyebabkan satu studi, dua deret, dan tiga instance individual dihilangkan identitasnya:

/studies/1.123.456.789
/studies/1.666.333.111/series/123.456\n
/studies/1.666.333.111/series/567.890\n
/studies/1.888.999.222/series/123.456/instances/111\n
/studies/1.888.999.222/series/123.456/instances/222\n
/studies/1.888.999.222/series/123.456/instances/333\n

Membuat file filter menggunakan BigQuery

Biasanya, Anda membuat file filter dengan terlebih dahulu mengekspor metadata dari penyimpanan DICOM ke BigQuery. Dengan begitu, Anda dapat menggunakan BigQuery untuk melihat UID studi, deret, dan instance dari data DICOM di penyimpanan DICOM Anda. Kemudian, Anda dapat melakukan hal berikut:

  1. Kueri untuk UID studi, serial, dan instance yang Anda minati. Misalnya, setelah mengekspor metadata ke BigQuery, Anda dapat menjalankan kueri berikut untuk menggabungkan UID studi, seri, dan instance ke format yang kompatibel dengan persyaratan file filter:

    SELECT CONCAT
      ('/studies/', StudyInstanceUID, '/series/', SeriesInstanceUID, '/instances/', SOPInstanceUID)
    FROM
      [PROJECT_ID:BIGQUERY_DATASET.BIGQUERY_TABLE]
  2. Jika kueri menampilkan kumpulan hasil yang besar, Anda dapat mewujudkan tabel baru dengan menyimpan hasil kueri ke tabel tujuan di BigQuery.

  3. Setelah menyimpan hasil kueri ke tabel tujuan, Anda dapat menyimpan isi tabel tujuan ke file dan mengekspornya ke Cloud Storage. Untuk mengetahui langkah-langkah cara melakukannya, lihat Mengekspor data tabel. File yang diekspor adalah file filter Anda. Anda akan menggunakan lokasi file filter di Cloud Storage saat menentukan filter dalam operasi ekspor.

Membuat file filter secara manual

Anda dapat membuat file filter dengan konten kustom dan menguploadnya ke bucket Cloud Storage. Anda akan menggunakan lokasi file filter di Cloud Storage saat menentukan filter dalam operasi de-identifikasi. Contoh berikut menunjukkan cara mengupload file filter ke bucket Cloud Storage menggunakan perintah gcloud storage cp:

gcloud storage cp PATH/TO/FILTER_FILE gs://BUCKET/DIRECTORY

Contoh:

gcloud storage cp /home/user/Desktop/filters.txt gs://my-bucket/my-directory

Menggunakan filter

Setelah mengonfigurasi file filter, Anda dapat meneruskannya sebagai nilai ke kolom resourcePathsGcsUri dalam objek filterConfig.

Contoh berikut memperluas De-identifikasi data di tingkat penyimpanan DICOM, tetapi file filter di Cloud Storage disediakan yang menentukan resource DICOM mana yang akan di-de-identifikasi.

REST

  1. Lakukan de-identifikasi set data.

    Sebelum menggunakan salah satu data permintaan, lakukan penggantian berikut:

    • PROJECT_ID: ID Google Cloud project Anda
    • LOCATION: lokasi set data
    • SOURCE_DATASET_ID: ID set data yang berisi data yang akan dianonimkan
    • DESTINATION_DATASET_ID: ID set data tujuan tempat data yang tidak diidentifikasi ditulis
    • SOURCE_DICOM_STORE_ID: ID penyimpanan DICOM yang berisi data yang akan di-de-identifikasi
    • DESTINATION_DICOM_STORE_ID: ID penyimpanan DICOM di set data tujuan
    • BUCKET/PATH/TO/FILE: lokasi file filter di bucket Cloud Storage

    Meminta isi JSON:

    {
      "destinationStore": "projects/PROJECT_ID/locations/LOCATION/datasets/DESTINATION_DATASET_ID/dicomStores/DESTINATION_DICOM_STORE_ID",
      "config": {
        "dicom": {
          "filterProfile": "DEIDENTIFY_TAG_CONTENTS"
        },
        "image": {
          "textRedactionMode": "REDACT_ALL_TEXT"
        }
      },
      "filterConfig": {
        "resourcePathGcsUri": "gs://BUCKET/PATH/TO/FILE"
      }
    }
    

    Untuk mengirim permintaan Anda, pilih salah satu opsi berikut:

    curl

    Simpan isi permintaan dalam file bernama request.json. Jalankan perintah berikut di terminal untuk membuat atau menimpa file ini di direktori saat ini:

    cat > request.json << 'EOF'
    {
      "destinationStore": "projects/PROJECT_ID/locations/LOCATION/datasets/DESTINATION_DATASET_ID/dicomStores/DESTINATION_DICOM_STORE_ID",
      "config": {
        "dicom": {
          "filterProfile": "DEIDENTIFY_TAG_CONTENTS"
        },
        "image": {
          "textRedactionMode": "REDACT_ALL_TEXT"
        }
      },
      "filterConfig": {
        "resourcePathGcsUri": "gs://BUCKET/PATH/TO/FILE"
      }
    }
    EOF

    Kemudian, jalankan perintah berikut untuk mengirim permintaan REST Anda:

    curl -X POST \
    -H "Authorization: Bearer $(gcloud auth print-access-token)" \
    -H "Content-Type: application/json; charset=utf-8" \
    -d @request.json \
    "https://healthcare.googleapis.com/v1/projects/PROJECT_ID/locations/LOCATION/datasets/SOURCE_DATASET_ID/dicomStores/SOURCE_DICOM_STORE_ID:deidentify"

    PowerShell

    Simpan isi permintaan dalam file bernama request.json. Jalankan perintah berikut di terminal untuk membuat atau menimpa file ini di direktori saat ini:

    @'
    {
      "destinationStore": "projects/PROJECT_ID/locations/LOCATION/datasets/DESTINATION_DATASET_ID/dicomStores/DESTINATION_DICOM_STORE_ID",
      "config": {
        "dicom": {
          "filterProfile": "DEIDENTIFY_TAG_CONTENTS"
        },
        "image": {
          "textRedactionMode": "REDACT_ALL_TEXT"
        }
      },
      "filterConfig": {
        "resourcePathGcsUri": "gs://BUCKET/PATH/TO/FILE"
      }
    }
    '@  | Out-File -FilePath request.json -Encoding utf8

    Kemudian jalankan perintah berikut untuk mengirim permintaan REST Anda:

    $cred = gcloud auth print-access-token
    $headers = @{ "Authorization" = "Bearer $cred" }

    Invoke-WebRequest `
    -Method POST `
    -Headers $headers `
    -ContentType: "application/json; charset=utf-8" `
    -InFile request.json `
    -Uri "https://healthcare.googleapis.com/v1/projects/PROJECT_ID/locations/LOCATION/datasets/SOURCE_DATASET_ID/dicomStores/SOURCE_DICOM_STORE_ID:deidentify" | Select-Object -Expand Content
    Output-nya adalah sebagai berikut. Respons berisi ID untuk operasi yang berjalan lama. Operasi yang berjalan lama ditampilkan saat panggilan metode mungkin memerlukan waktu yang cukup lama untuk diselesaikan. Catat nilai OPERATION_ID. Anda memerlukan nilai ini pada langkah berikutnya.

  2. Gunakan metode projects.locations.datasets.operations.get untuk mendapatkan status operasi yang berjalan lama.

    Sebelum menggunakan salah satu data permintaan, lakukan penggantian berikut:

    • PROJECT_ID: ID Google Cloud project Anda
    • DATASET_ID: ID set data
    • LOCATION: lokasi set data
    • OPERATION_ID: ID yang ditampilkan dari operasi yang berjalan lama

    Untuk mengirim permintaan Anda, pilih salah satu opsi berikut:

    curl

    Jalankan perintah berikut:

    curl -X GET \
    -H "Authorization: Bearer $(gcloud auth print-access-token)" \
    "https://healthcare.googleapis.com/v1/projects/PROJECT_ID/locations/LOCATION/datasets/DATASET_ID/operations/OPERATION_ID"

    PowerShell

    Jalankan perintah berikut:

    $cred = gcloud auth print-access-token
    $headers = @{ "Authorization" = "Bearer $cred" }

    Invoke-WebRequest `
    -Method GET `
    -Headers $headers `
    -Uri "https://healthcare.googleapis.com/v1/projects/PROJECT_ID/locations/LOCATION/datasets/DATASET_ID/operations/OPERATION_ID" | Select-Object -Expand Content

    APIs Explorer

    Buka halaman referensi metode. Panel APIs Explorer terbuka di sisi kanan halaman. Anda bisa berinteraksi dengan alat ini untuk mengirim permintaan. Lengkapi kolom yang wajib diisi, lalu klik Jalankan.

    Output-nya adalah sebagai berikut. Jika respons berisi "done": true, berarti operasi yang berjalan lama telah selesai.

Memecahkan masalah operasi de-identifikasi DICOM

Jika terjadi error selama operasi de-identifikasi DICOM, error tersebut akan dicatat ke Cloud Logging. Untuk mengetahui informasi selengkapnya, lihat artikel Melihat log error di Cloud Logging.

Jika seluruh operasi menampilkan error, lihat Memecahkan masalah operasi yang berjalan lama.