Halaman ini menjelaskan cara menggunakan konfigurasi v1 DicomConfig
untuk melakukan de-identifikasi data sensitif dalam instance DICOM di tingkat berikut:
- Di tingkat set data menggunakan
datasets.deidentify - Di tingkat penyimpanan DICOM menggunakan
dicomStores.deidentify
Halaman ini juga menjelaskan cara menerapkan filter saat melakukan de-identifikasi data di tingkat penyimpanan DICOM.
Ringkasan de-identifikasi
De-identifikasi tingkat set data
Untuk melakukan de-identifikasi data DICOM di tingkat set data, panggil operasi
datasets.deidentify. Panggilan API de-identifikasi memiliki komponen berikut:
- Set data sumber: Set data yang berisi penyimpanan DICOM dengan satu atau beberapa
instance yang memiliki data sensitif. Saat Anda memanggil operasi
deidentify, semua instance di semua penyimpanan DICOM dalam set data akan di-de-identifikasi. - Set data tujuan: De-identifikasi tidak memengaruhi set data asli atau datanya. Sebagai gantinya, salinan data asli yang dianonimkan ditulis ke set data baru, yang disebut set data tujuan.
- Hal yang harus dilakukan untuk de-identifikasi: Parameter konfigurasi yang menentukan cara memproses
set data. Anda dapat mengonfigurasi de-identifikasi DICOM untuk melakukan de-identifikasi metadata instance DICOM (menggunakan kata kunci tag) atau teks sisipan dalam gambar DICOM dengan menentukan parameter ini dalam objek
DeidentifyConfigdan melakukan hal berikut:- Menetapkan kolom
configisi permintaan - Menyimpannya di Cloud Storage dalam format JSON dan menentukan
lokasi file di bucket menggunakan kolom
gcsConfigUridari isi permintaan
- Menetapkan kolom
Sebagian besar contoh dalam panduan ini menunjukkan cara melakukan de-identifikasi data DICOM di tingkat set data.
De-identifikasi tingkat penyimpanan DICOM
Melakukan de-identifikasi data DICOM di tingkat penyimpanan DICOM memungkinkan Anda memiliki kontrol lebih besar atas data yang akan di-de-identifikasi. Misalnya, jika Anda memiliki set data dengan beberapa penyimpanan DICOM, Anda dapat melakukan de-identifikasi setiap penyimpanan DICOM sesuai dengan jenis data yang ada di penyimpanan.
Untuk melakukan de-identifikasi data DICOM di penyimpanan DICOM, panggil metode
dicomStores.deidentify. Panggilan API de-identifikasi
memiliki komponen berikut:
- Penyimpanan DICOM sumber: Penyimpanan DICOM yang berisi satu atau beberapa
instance yang memiliki data sensitif. Saat Anda memanggil operasi
deidentify, semua instance di penyimpanan DICOM akan di-de-identifikasi. - Penyimpanan DICOM tujuan: De-identifikasi tidak memengaruhi penyimpanan DICOM asli atau datanya. Sebagai gantinya, salinan data asli yang telah di-deidentifikasi ditulis ke penyimpanan DICOM tujuan. Tujuan penyimpanan DICOM harus sudah ada.
- Hal yang harus dilakukan untuk de-identifikasi: Parameter konfigurasi yang menentukan cara memproses
penyimpanan DICOM. Anda dapat mengonfigurasi de-identifikasi DICOM untuk melakukan de-identifikasi
metadata instance DICOM (menggunakan kata kunci tag) atau teks sisipan dalam gambar DICOM
dengan menentukan parameter ini dalam objek
DeidentifyConfigdan meneruskannya dengan melakukan salah satu hal berikut:- Menetapkan kolom
configisi permintaan - Menyimpannya di Cloud Storage dalam format JSON dan menentukan
lokasi file di bucket menggunakan kolom
gcsConfigUridari isi permintaan
- Menetapkan kolom
Untuk contoh cara melakukan de-identifikasi data DICOM di tingkat penyimpanan DICOM, lihat Melakukan de-identifikasi data di tingkat penyimpanan DICOM.
Filter
Anda dapat melakukan de-identifikasi subset data di penyimpanan DICOM dengan mengonfigurasi file filter
dan menentukan file dalam permintaan dicomStores.deidentify. Sebagai contoh, lihat
Melakukan de-identifikasi pada subset penyimpanan DICOM.
Ringkasan sampel
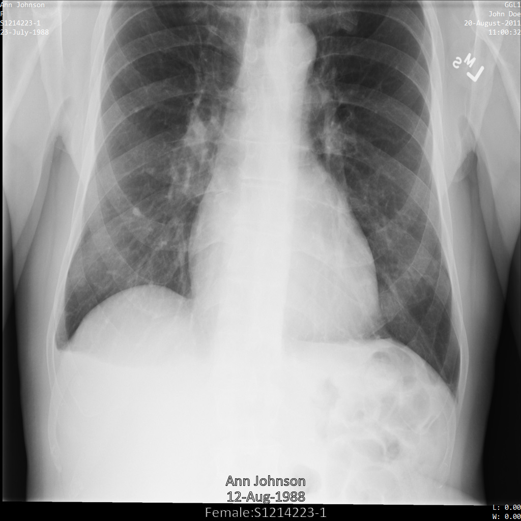
Contoh dalam panduan ini menggunakan satu instance DICOM, tetapi Anda juga dapat menghilangkan identitas beberapa instance.
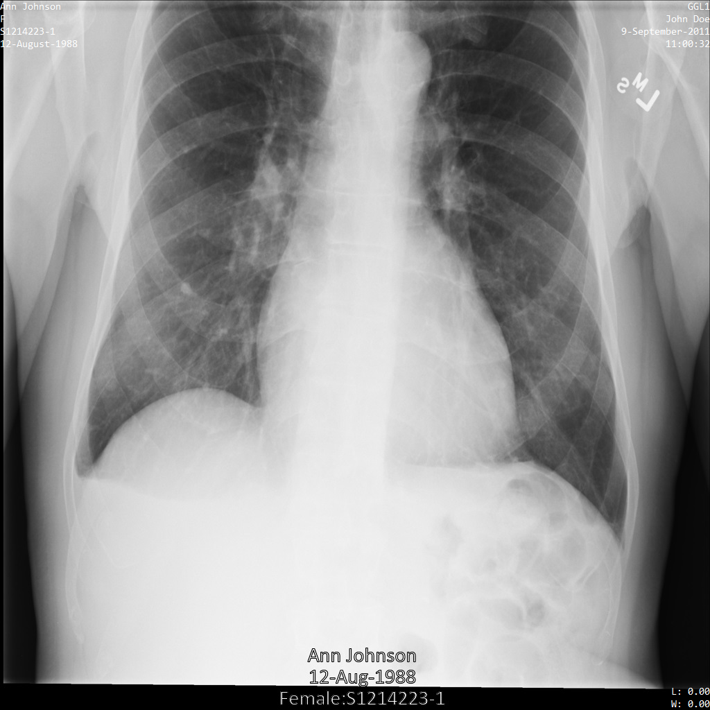
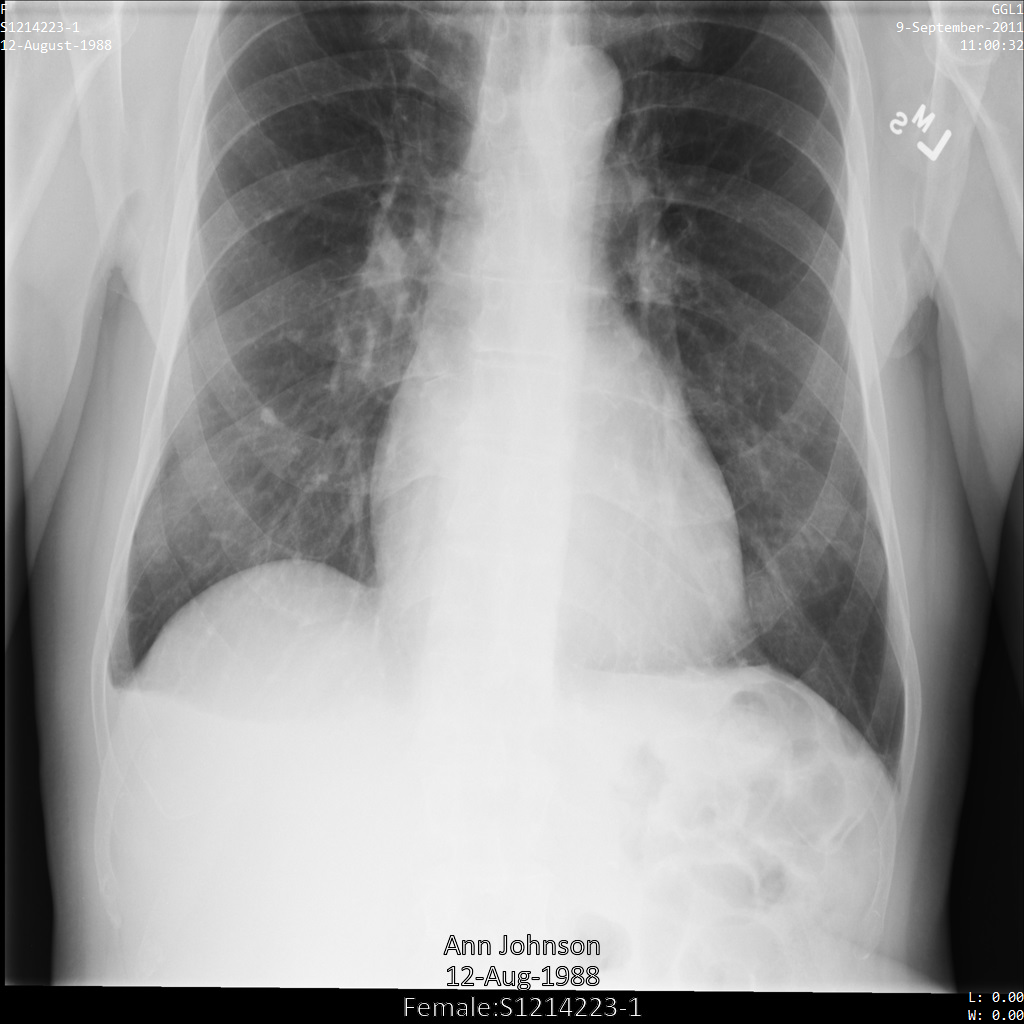
Setiap bagian berikut memberikan contoh cara melakukan de-identifikasi data DICOM menggunakan berbagai metode. Output gambar yang tidak diidentifikasi disediakan dengan setiap sampel. Setiap sampel menggunakan gambar asli berikut sebagai input:

Anda dapat membandingkan gambar output dari setiap operasi penghapusan identitas dengan gambar asli ini untuk melihat efek operasi.
Melakukan de-identifikasi tag DICOM
Anda dapat melakukan de-identifikasi instance DICOM berdasarkan kata kunci tag
dalam metadata DICOM. Metode pemfilteran tag berikut tersedia di objek
DicomConfig:
keepList: Daftar tag yang perlu disimpan. Hapus semua tag lainnya.removeList: Daftar tag yang akan dihapus. Simpan semua tag lainnya.filterProfile: Profil pemfilteran tag yang digunakan untuk menentukan tag mana yang harus disimpan atau dihapus.
Untuk setiap sampel di bagian ini, output metadata instance DICOM yang diubah akan diberikan. Berikut adalah metadata asli instance yang digunakan sebagai input untuk setiap sampel:
[
{
"00020002":{"vr":"UI","Value":["1.2.840.10008.5.1.4.1.1.7"]},
"00020003":{"vr":"UI","Value":["1.2.276.0.7230010.3.1.4.8323329.78.1539083058.523695"]},
"00020010":{"vr":"UI","Value":["1.2.840.10008.1.2.4.50"]},
"00020012":{"vr":"UI","Value":["1.2.276.0.7230010.3.0.3.6.1"]},
"00020013":{"vr":"SH","Value":["OFFIS_DCMTK_361"]},
"00080005":{"vr":"CS","Value":["ISO_IR 100"]},
"00080016":{"vr":"UI","Value":["1.2.840.10008.5.1.4.1.1.7"]},
"00080018":{"vr":"UI","Value":["1.2.276.0.7230010.3.1.4.8323329.78.1539083058.523695"]},
"00080020":{"vr":"DA","Value":["20110909"]},
"00080030":{"vr":"TM","Value":["110032"]},
"00080050":{"vr":"SH"},
"00080064":{"vr":"CS","Value":["WSD"]},
"00080070":{"vr":"LO","Value":["Manufacturer"]},
"00080090":{"vr":"PN","Value":[{"Alphabetic":"John Doe"}]},
"00081090":{"vr":"LO","Value":["ABC1"]},
"00100010":{"vr":"PN","Value":[{"Alphabetic":"Ann Johnson"}]},
"00100020":{"vr":"LO","Value":["S1214223-1"]},
"00100030":{"vr":"DA","Value":["19880812"]},
"00100040":{"vr":"CS","Value":["F"]},
"0020000D":{"vr":"UI","Value":["2.25.70541616638819138568043293671559322355"]},
"0020000E":{"vr":"UI","Value":["1.2.276.0.7230010.3.1.3.8323329.78.1531234558.523694"]},
"00200010":{"vr":"SH"},
"00200011":{"vr":"IS"},
"00200013":{"vr":"IS"},
"00200020":{"vr":"CS"},
"00280002":{"vr":"US","Value":[3]},
"00280004":{"vr":"CS","Value":["YBR_FULL_422"]},
"00280006":{"vr":"US","Value":[0]},
"00280010":{"vr":"US","Value":[1024]},
"00280011":{"vr":"US","Value":[1024]},
"00280100":{"vr":"US","Value":[8]},
"00280101":{"vr":"US","Value":[8]},
"00280102":{"vr":"US","Value":[7]},
"00280103":{"vr":"US","Value":[0]},
"00282110":{"vr":"CS","Value":["01"]},
"00282114":{"vr":"CS","Value":["ISO_10918_1"]}
}
]
De-identifikasi menggunakan tag keeplist
Saat Anda menentukan tag daftar tetap dalam objek DicomConfig, tag berikut akan ditambahkan secara default:
StudyInstanceUIDSeriesInstanceUIDSOPInstanceUIDTransferSyntaxUIDMediaStorageSOPInstanceUIDMediaStorageSOPClassUIDPixelDataRowsColumnsSamplesPerPixelBitsAllocatedBitsStoredHighbitPhotometricInterpretationPixelRepresentationNumberOfFramesPlanarConfigurationPixelAspectRatioSmallestImagePixelValueLargestImagePixelValueRedPaletteColorLookupTableDescriptorGreenPaletteColorLookupTableDescriptorBluePaletteColorLookupTableDescriptorRedPaletteColorLookupTableDataGreenPaletteColorLookupTableDataBluePaletteColorLookupTableDataICCProfileColorSpaceWindowCenterWindowWidthVOILUTFunction
Operasi deidentify tidak menyamarkan tag sebelumnya. Namun, nilai untuk beberapa tag dibuat ulang, yang berarti nilai tersebut diganti dengan nilai yang berbeda melalui transformasi deterministik.
Untuk mengetahui informasi selengkapnya, lihat Opsi Mempertahankan UID
dalam standar DICOM. Untuk mempertahankan nilai asli tag sebelumnya, gunakan opsi
SkipIdRedaction.
Jika tidak ada tag keeplist yang disediakan, tidak ada tag DICOM dalam set data yang disamarkan.
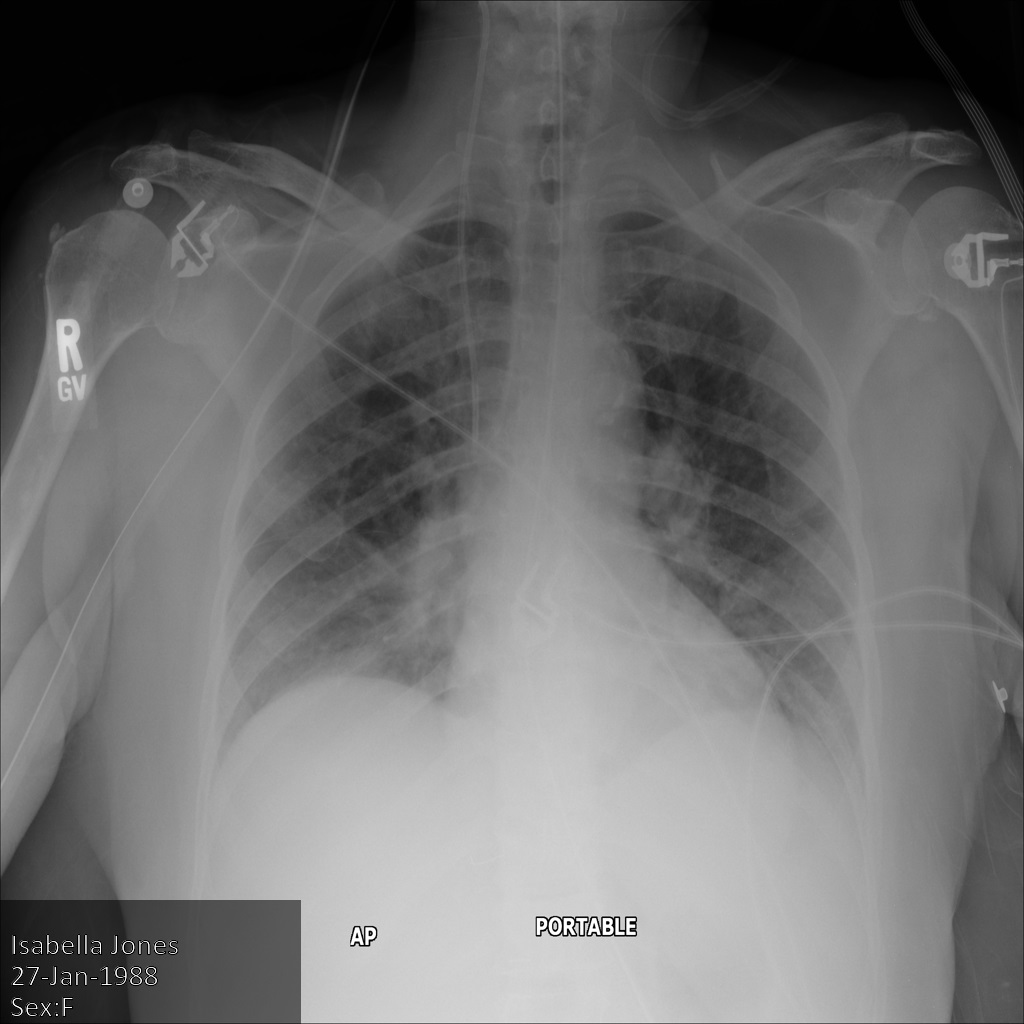
Contoh berikut menunjukkan cara melakukan de-identifikasi set data yang berisi penyimpanan DICOM dan data DICOM sambil membiarkan beberapa tag tidak berubah.
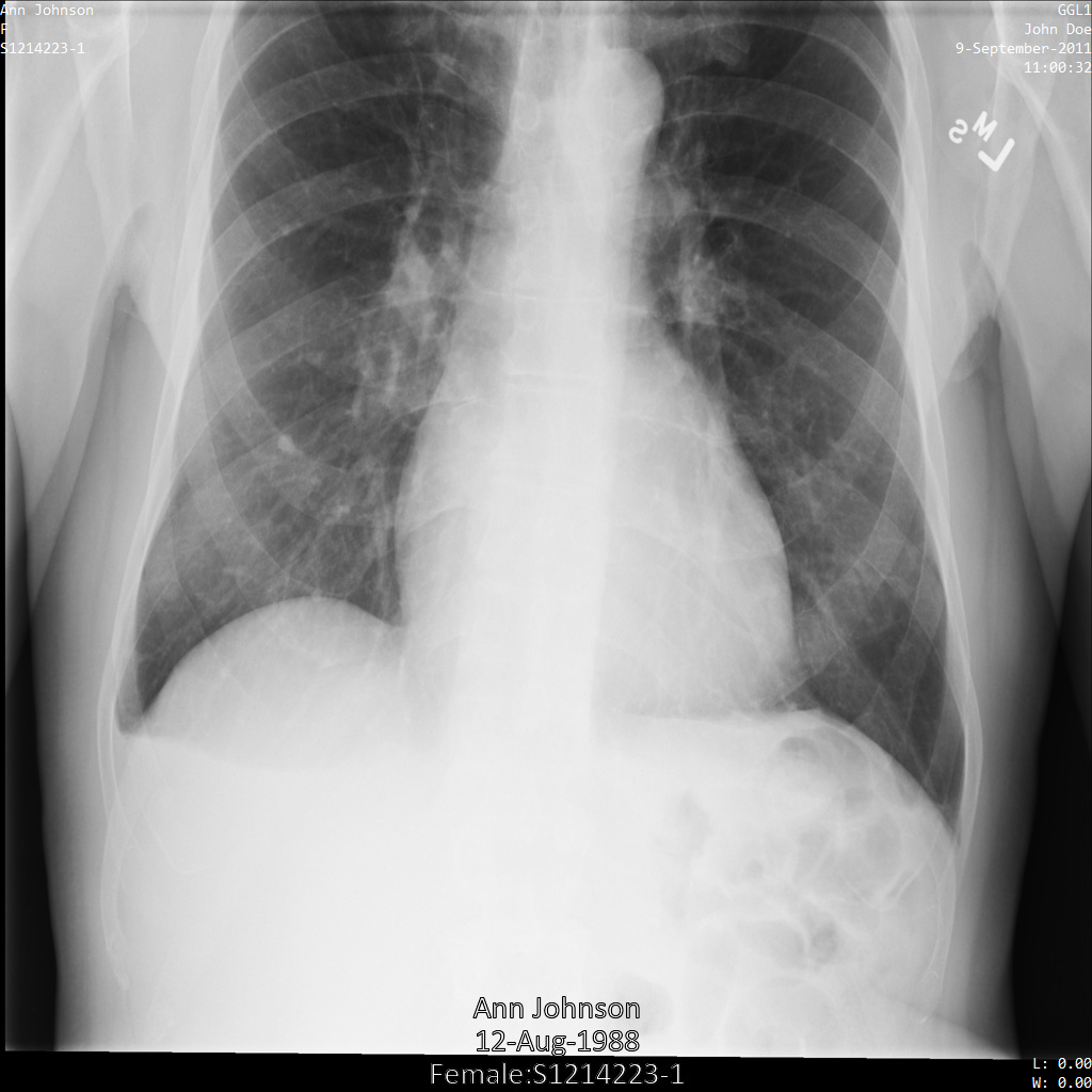
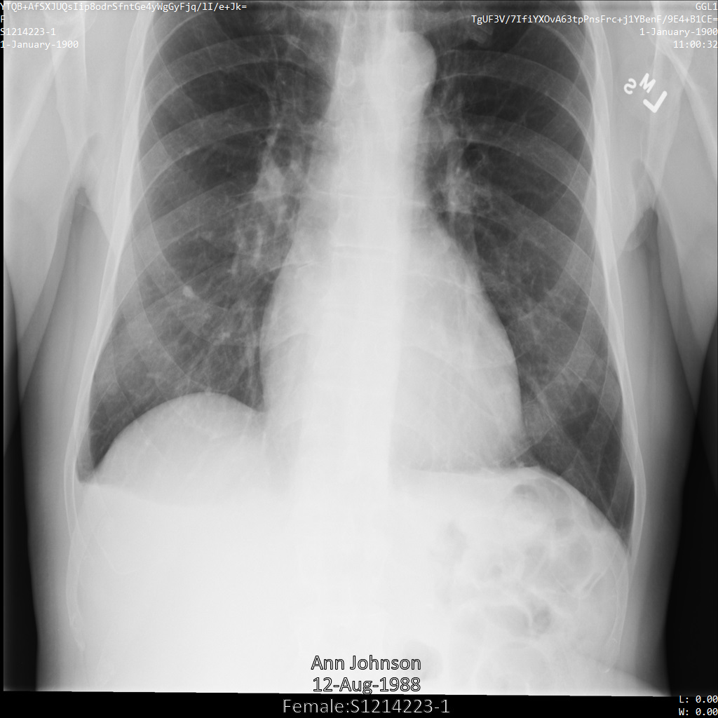
Setelah mengirimkan gambar ke Cloud Healthcare API, gambar akan muncul seperti berikut. Meskipun metadata yang ditampilkan di sudut atas gambar telah disamarkan, informasi kesehatan terlindungi (PHI) yang tercetak di bagian bawah gambar tetap ada. Untuk juga menghapus teks sisipan, lihat Menyamarkan teks sisipan dari gambar.

REST
Lakukan de-identifikasi set data.
Sebelum menggunakan salah satu data permintaan, lakukan penggantian berikut:
- PROJECT_ID: ID Google Cloud project Anda
- LOCATION: lokasi set data
- SOURCE_DATASET_ID: ID set data yang berisi data yang akan dianonimkan
- DESTINATION_DATASET_ID: ID set data tujuan tempat data yang tidak diidentifikasi ditulis
Meminta isi JSON:
{ "destinationDataset": "projects/PROJECT_ID/locations/LOCATION/datasets/DESTINATION_DATASET_ID", "config": { "dicom": { "keepList": { "tags": [ "PatientID" ] } } } }Untuk mengirim permintaan Anda, pilih salah satu opsi berikut:
Output-nya adalah sebagai berikut. Respons berisi ID untuk operasi yang berjalan lama. Operasi yang berjalan lama ditampilkan saat panggilan metode mungkin memerlukan waktu yang cukup lama untuk diselesaikan. Catat nilai OPERATION_ID. Anda memerlukan nilai ini pada langkah berikutnya.curl
Simpan isi permintaan dalam file bernama
request.json. Jalankan perintah berikut di terminal untuk membuat atau menimpa file ini di direktori saat ini:cat > request.json << 'EOF' { "destinationDataset": "projects/PROJECT_ID/locations/LOCATION/datasets/DESTINATION_DATASET_ID", "config": { "dicom": { "keepList": { "tags": [ "PatientID" ] } } } } EOFKemudian, jalankan perintah berikut untuk mengirim permintaan REST Anda:
curl -X POST \
-H "Authorization: Bearer $(gcloud auth print-access-token)" \
-H "Content-Type: application/json; charset=utf-8" \
-d @request.json \
"https://healthcare.googleapis.com/v1/projects/PROJECT_ID/locations/LOCATION/datasets/SOURCE_DATASET_ID:deidentify"PowerShell
Simpan isi permintaan dalam file bernama
request.json. Jalankan perintah berikut di terminal untuk membuat atau menimpa file ini di direktori saat ini:@' { "destinationDataset": "projects/PROJECT_ID/locations/LOCATION/datasets/DESTINATION_DATASET_ID", "config": { "dicom": { "keepList": { "tags": [ "PatientID" ] } } } } '@ | Out-File -FilePath request.json -Encoding utf8Kemudian jalankan perintah berikut untuk mengirim permintaan REST Anda:
$cred = gcloud auth print-access-token
$headers = @{ "Authorization" = "Bearer $cred" }
Invoke-WebRequest `
-Method POST `
-Headers $headers `
-ContentType: "application/json; charset=utf-8" `
-InFile request.json `
-Uri "https://healthcare.googleapis.com/v1/projects/PROJECT_ID/locations/LOCATION/datasets/SOURCE_DATASET_ID:deidentify" | Select-Object -Expand Content- Gunakan metode
projects.locations.datasets.operations.getuntuk mendapatkan status operasi yang berjalan lama.
Sebelum menggunakan salah satu data permintaan, lakukan penggantian berikut:
- PROJECT_ID: ID Google Cloud project Anda
- DATASET_ID: ID set data
- LOCATION: lokasi set data
- OPERATION_ID: ID yang ditampilkan dari operasi yang berjalan lama
Untuk mengirim permintaan Anda, pilih salah satu opsi berikut:
Output-nya adalah sebagai berikut. Jika respons berisicurl
Jalankan perintah berikut:
curl -X GET \
-H "Authorization: Bearer $(gcloud auth print-access-token)" \
"https://healthcare.googleapis.com/v1/projects/PROJECT_ID/locations/LOCATION/datasets/DATASET_ID/operations/OPERATION_ID"PowerShell
Jalankan perintah berikut:
$cred = gcloud auth print-access-token
$headers = @{ "Authorization" = "Bearer $cred" }
Invoke-WebRequest `
-Method GET `
-Headers $headers `
-Uri "https://healthcare.googleapis.com/v1/projects/PROJECT_ID/locations/LOCATION/datasets/DATASET_ID/operations/OPERATION_ID" | Select-Object -Expand ContentAPIs Explorer
Buka halaman referensi metode. Panel APIs Explorer terbuka di sisi kanan halaman. Anda bisa berinteraksi dengan alat ini untuk mengirim permintaan. Lengkapi kolom yang wajib diisi, lalu klik Jalankan.
"done": true, berarti operasi yang berjalan lama telah selesai. - Setelah proses penghapusan identitas berhasil, Anda dapat mengambil metadata untuk instance yang identitasnya dihapus untuk melihat perubahannya. Instance yang di-de-identifikasi
memiliki UID studi, UID rangkaian, dan UID instance baru, jadi Anda harus
menelusuri set data baru untuk menemukan instance yang di-de-identifikasi terlebih dahulu.
Sebelum menggunakan salah satu data permintaan, lakukan penggantian berikut:
- PROJECT_ID: ID Google Cloud project Anda
- SOURCE_DATASET_LOCATION: lokasi set data sumber
- DESTINATION_DATASET_ID: ID set data tujuan tempat data yang tidak diidentifikasi ditulis
- DESTINATION_DICOM_STORE_ID: ID penyimpanan DICOM di set data tujuan. Ini sama dengan ID penyimpanan DICOM dalam set data sumber.
Untuk mengirim permintaan Anda, pilih salah satu opsi berikut:
curl
Jalankan perintah berikut:
curl -X GET \
-H "Authorization: Bearer $(gcloud auth print-access-token)" \
"https://healthcare.googleapis.com/v1/projects/PROJECT_ID/locations/SOURCE_DATASET_LOCATION/datasets/DESTINATION_DATASET_ID/dicomStores/DESTINATION_DICOM_STORE_ID/dicomWeb/instances"PowerShell
Jalankan perintah berikut:
$cred = gcloud auth print-access-token
$headers = @{ "Authorization" = "Bearer $cred" }
Invoke-WebRequest `
-Method GET `
-Headers $headers `
-Uri "https://healthcare.googleapis.com/v1/projects/PROJECT_ID/locations/SOURCE_DATASET_LOCATION/datasets/DESTINATION_DATASET_ID/dicomStores/DESTINATION_DICOM_STORE_ID/dicomWeb/instances" | Select-Object -Expand ContentAPIs Explorer
Buka halaman referensi metode. Panel APIs Explorer terbuka di sisi kanan halaman. Anda bisa berinteraksi dengan alat ini untuk mengirim permintaan. Lengkapi kolom yang wajib diisi, lalu klik Jalankan.
Anda akan melihat respons JSON seperti berikut:
Tabel berikut menunjukkan perubahan UID studi, UID deret, dan UID instance:Metadata instance asli Metadata instance yang dide-identifikasi UID Studi ( 0020000D)2.25.705416166388191385680432936715593223551.3.6.1.4.1.11129.5.1.201854290391432893460946240745559593763UID Seri ( 0020000E)1.2.276.0.7230010.3.1.3.8323329.78.1531234558.5236941.3.6.1.4.1.11129.5.1.303327499491957026103380014864616068710UID Instance ( 00080018)1.2.276.0.7230010.3.1.4.8323329.78.1539083058.5236951.3.6.1.4.1.11129.5.1.97415866390999888717168863957686758029 Dengan menggunakan nilai baru, ambil metadata untuk instance.
Sebelum menggunakan salah satu data permintaan, lakukan penggantian berikut:
- PROJECT_ID: ID Google Cloud project Anda
- LOCATION: lokasi set data
- DESTINATION_DATASET_ID: ID set data tujuan tempat data yang tidak diidentifikasi ditulis
- DESTINATION_DICOM_STORE_ID: ID penyimpanan DICOM di set data tujuan. Ini sama dengan ID penyimpanan DICOM dalam set data sumber.
Untuk mengirim permintaan Anda, pilih salah satu opsi berikut:
Output-nya berisi metadata baru. Anda dapat membandingkan metadata baru dengan metadata asli untuk melihat efek transformasi.curl
Jalankan perintah berikut:
curl -X GET \
-H "Authorization: Bearer $(gcloud auth print-access-token)" \
"https://healthcare.googleapis.com/v1/projects/PROJECT_ID/locations/LOCATION/datasets/DESTINATION_DATASET_ID/dicomStores/DESTINATION_DICOM_STORE_ID/dicomWeb/studies/1.3.6.1.4.1.11129.5.1.201854290391432893460946240745559593763/series/1.3.6.1.4.1.11129.5.1.303327499491957026103380014864616068710/instances/1.3.6.1.4.1.11129.5.1.97415866390999888717168863957686758029/metadata"PowerShell
Jalankan perintah berikut:
$cred = gcloud auth print-access-token
$headers = @{ "Authorization" = "Bearer $cred" }
Invoke-WebRequest `
-Method GET `
-Headers $headers `
-Uri "https://healthcare.googleapis.com/v1/projects/PROJECT_ID/locations/LOCATION/datasets/DESTINATION_DATASET_ID/dicomStores/DESTINATION_DICOM_STORE_ID/dicomWeb/studies/1.3.6.1.4.1.11129.5.1.201854290391432893460946240745559593763/series/1.3.6.1.4.1.11129.5.1.303327499491957026103380014864616068710/instances/1.3.6.1.4.1.11129.5.1.97415866390999888717168863957686758029/metadata" | Select-Object -Expand ContentAPIs Explorer
Buka halaman referensi metode. Panel APIs Explorer terbuka di sisi kanan halaman. Anda bisa berinteraksi dengan alat ini untuk mengirim permintaan. Lengkapi kolom yang wajib diisi, lalu klik Jalankan.
Go
Java
Node.js
Python
De-identifikasi menggunakan tag removelist
Anda dapat menentukan removelist dalam objek DicomConfig. Operasi deidentify hanya akan menyamarkan tag yang ditentukan dalam daftar. Jika tidak ada tag removelist yang diberikan, operasi de-identifikasi akan berlangsung seperti biasa, tetapi tidak ada tag DICOM dalam set data tujuan yang disamarkan.
Saat Anda menentukan removelist, tag OverlayData akan ditambahkan
secara default karena data overlay mungkin berisi PHI.
Tag yang secara default ditambahkan ke daftar tetap tidak dapat ditambahkan ke daftar hapus.
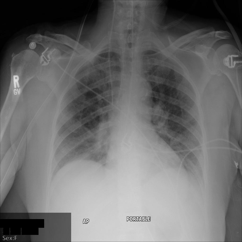
Contoh berikut menunjukkan cara melakukan de-identifikasi set data yang berisi penyimpanan DICOM dan data DICOM dengan menghapus semua tag dalam removelist. Tag yang tidak ada dalam removelist tidak berubah.
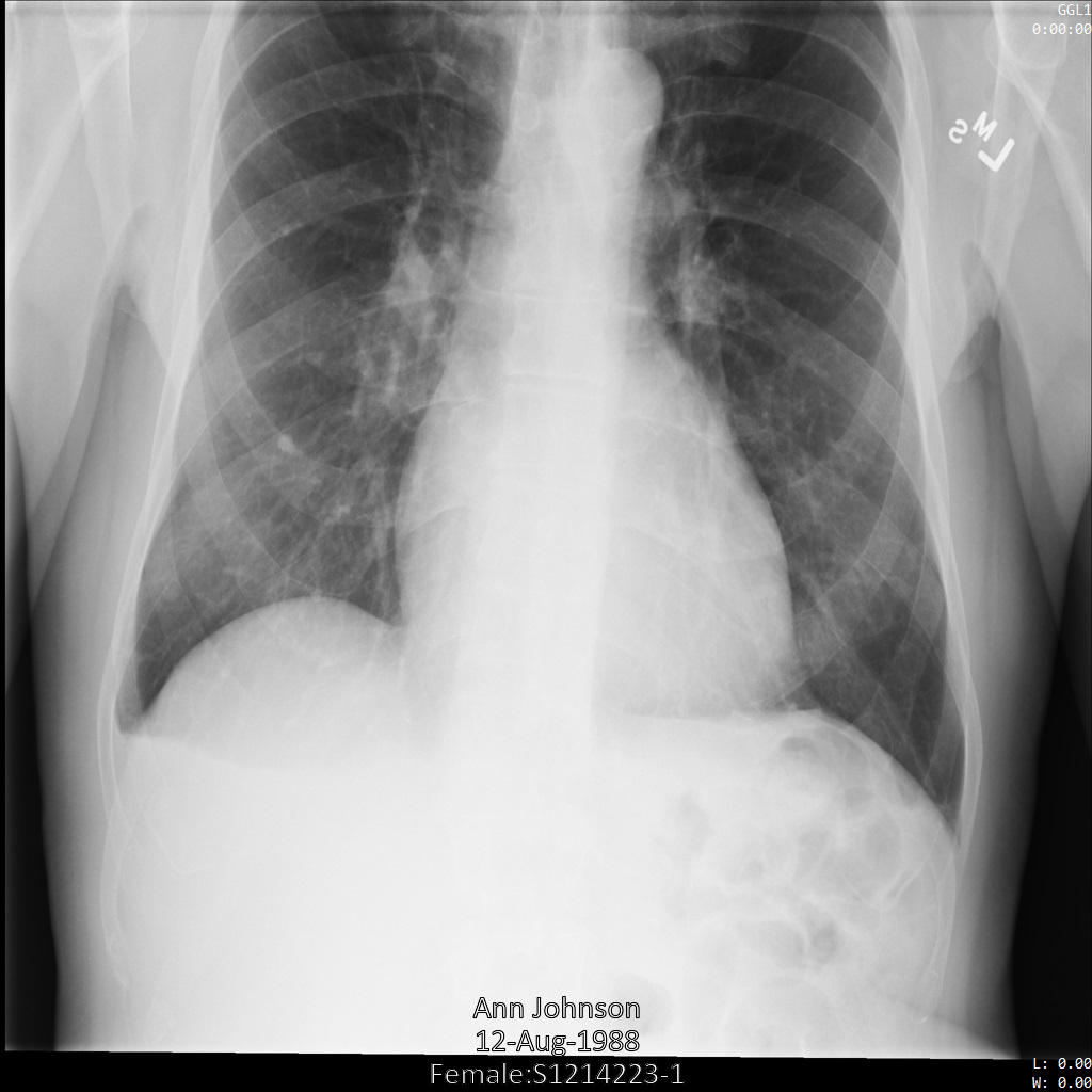
Setelah mengirimkan gambar ke Cloud Healthcare API, gambar akan muncul
seperti berikut. Dari tag yang diberikan dalam removelist, hanya PatientBirthDate
yang dihapus dalam gambar, karena hanya tag tersebut dari removelist yang
sesuai dengan metadata yang terlihat dalam gambar.
Meskipun PatientBirthDate di sudut atas gambar telah
disamarkan sesuai dengan konfigurasi dalam removelist, PHI
yang tercetak di bagian bawah gambar tetap ada. Untuk juga
menghapus teks sisipan, lihat Menyamarkan teks sisipan dari gambar.

REST
Lakukan de-identifikasi set data.
Sebelum menggunakan salah satu data permintaan, lakukan penggantian berikut:
- PROJECT_ID: ID Google Cloud project Anda
- LOCATION: lokasi set data
- SOURCE_DATASET_ID: ID set data yang berisi data yang akan dianonimkan
- DESTINATION_DATASET_ID: ID set data tujuan tempat data yang tidak diidentifikasi ditulis
Meminta isi JSON:
{ "destinationDataset": "projects/PROJECT_ID/locations/LOCATION/datasets/DESTINATION_DATASET_ID", "config": { "dicom": { "removeList": { "tags": [ "PatientBirthName", "PatientBirthDate", "PatientAge", "PatientSize", "PatientWeight", "PatientAddress", "PatientMotherBirthName" ] } } } }Untuk mengirim permintaan Anda, pilih salah satu opsi berikut:
Output-nya adalah sebagai berikut. Respons berisi ID untuk operasi yang berjalan lama. Operasi yang berjalan lama ditampilkan saat panggilan metode mungkin memerlukan waktu yang cukup lama untuk diselesaikan. Catat nilai OPERATION_ID. Anda memerlukan nilai ini pada langkah berikutnya.curl
Simpan isi permintaan dalam file bernama
request.json. Jalankan perintah berikut di terminal untuk membuat atau menimpa file ini di direktori saat ini:cat > request.json << 'EOF' { "destinationDataset": "projects/PROJECT_ID/locations/LOCATION/datasets/DESTINATION_DATASET_ID", "config": { "dicom": { "removeList": { "tags": [ "PatientBirthName", "PatientBirthDate", "PatientAge", "PatientSize", "PatientWeight", "PatientAddress", "PatientMotherBirthName" ] } } } } EOFKemudian, jalankan perintah berikut untuk mengirim permintaan REST Anda:
curl -X POST \
-H "Authorization: Bearer $(gcloud auth print-access-token)" \
-H "Content-Type: application/json; charset=utf-8" \
-d @request.json \
"https://healthcare.googleapis.com/v1/projects/PROJECT_ID/locations/LOCATION/datasets/SOURCE_DATASET_ID:deidentify"PowerShell
Simpan isi permintaan dalam file bernama
request.json. Jalankan perintah berikut di terminal untuk membuat atau menimpa file ini di direktori saat ini:@' { "destinationDataset": "projects/PROJECT_ID/locations/LOCATION/datasets/DESTINATION_DATASET_ID", "config": { "dicom": { "removeList": { "tags": [ "PatientBirthName", "PatientBirthDate", "PatientAge", "PatientSize", "PatientWeight", "PatientAddress", "PatientMotherBirthName" ] } } } } '@ | Out-File -FilePath request.json -Encoding utf8Kemudian jalankan perintah berikut untuk mengirim permintaan REST Anda:
$cred = gcloud auth print-access-token
$headers = @{ "Authorization" = "Bearer $cred" }
Invoke-WebRequest `
-Method POST `
-Headers $headers `
-ContentType: "application/json; charset=utf-8" `
-InFile request.json `
-Uri "https://healthcare.googleapis.com/v1/projects/PROJECT_ID/locations/LOCATION/datasets/SOURCE_DATASET_ID:deidentify" | Select-Object -Expand Content- Gunakan metode
projects.locations.datasets.operations.getuntuk mendapatkan status operasi yang berjalan lama.
Sebelum menggunakan salah satu data permintaan, lakukan penggantian berikut:
- PROJECT_ID: ID Google Cloud project Anda
- DATASET_ID: ID set data
- LOCATION: lokasi set data
- OPERATION_ID: ID yang ditampilkan dari operasi yang berjalan lama
Untuk mengirim permintaan Anda, pilih salah satu opsi berikut:
Output-nya adalah sebagai berikut. Jika respons berisicurl
Jalankan perintah berikut:
curl -X GET \
-H "Authorization: Bearer $(gcloud auth print-access-token)" \
"https://healthcare.googleapis.com/v1/projects/PROJECT_ID/locations/LOCATION/datasets/DATASET_ID/operations/OPERATION_ID"PowerShell
Jalankan perintah berikut:
$cred = gcloud auth print-access-token
$headers = @{ "Authorization" = "Bearer $cred" }
Invoke-WebRequest `
-Method GET `
-Headers $headers `
-Uri "https://healthcare.googleapis.com/v1/projects/PROJECT_ID/locations/LOCATION/datasets/DATASET_ID/operations/OPERATION_ID" | Select-Object -Expand ContentAPIs Explorer
Buka halaman referensi metode. Panel APIs Explorer terbuka di sisi kanan halaman. Anda bisa berinteraksi dengan alat ini untuk mengirim permintaan. Lengkapi kolom yang wajib diisi, lalu klik Jalankan.
"done": true, berarti operasi yang berjalan lama telah selesai. - Setelah proses penghapusan identitas berhasil, Anda dapat mengambil metadata untuk instance yang identitasnya dihapus untuk melihat perubahannya. Instance yang di-de-identifikasi
memiliki UID studi, UID rangkaian, dan UID instance baru, jadi Anda harus
menelusuri set data baru untuk menemukan instance yang di-de-identifikasi terlebih dahulu.
Sebelum menggunakan salah satu data permintaan, lakukan penggantian berikut:
- PROJECT_ID: ID Google Cloud project Anda
- SOURCE_DATASET_LOCATION: lokasi set data sumber
- DESTINATION_DATASET_ID: ID set data tujuan tempat data yang tidak diidentifikasi ditulis
- DESTINATION_DICOM_STORE_ID: ID penyimpanan DICOM di set data tujuan. Ini sama dengan ID penyimpanan DICOM dalam set data sumber.
Untuk mengirim permintaan Anda, pilih salah satu opsi berikut:
curl
Jalankan perintah berikut:
curl -X GET \
-H "Authorization: Bearer $(gcloud auth print-access-token)" \
"https://healthcare.googleapis.com/v1/projects/PROJECT_ID/locations/SOURCE_DATASET_LOCATION/datasets/DESTINATION_DATASET_ID/dicomStores/DESTINATION_DICOM_STORE_ID/dicomWeb/instances"PowerShell
Jalankan perintah berikut:
$cred = gcloud auth print-access-token
$headers = @{ "Authorization" = "Bearer $cred" }
Invoke-WebRequest `
-Method GET `
-Headers $headers `
-Uri "https://healthcare.googleapis.com/v1/projects/PROJECT_ID/locations/SOURCE_DATASET_LOCATION/datasets/DESTINATION_DATASET_ID/dicomStores/DESTINATION_DICOM_STORE_ID/dicomWeb/instances" | Select-Object -Expand ContentAPIs Explorer
Buka halaman referensi metode. Panel APIs Explorer terbuka di sisi kanan halaman. Anda bisa berinteraksi dengan alat ini untuk mengirim permintaan. Lengkapi kolom yang wajib diisi, lalu klik Jalankan.
Anda akan melihat respons JSON seperti berikut:
Tabel berikut menunjukkan perubahan UID studi, UID deret, dan UID instance:Metadata instance asli Metadata instance yang dide-identifikasi UID Studi ( 0020000D)2.25.705416166388191385680432936715593223551.3.6.1.4.1.11129.5.1.201854290391432893460946240745559593763UID Seri ( 0020000E)1.2.276.0.7230010.3.1.3.8323329.78.1531234558.5236941.3.6.1.4.1.11129.5.1.303327499491957026103380014864616068710UID Instance ( 00080018)1.2.276.0.7230010.3.1.4.8323329.78.1539083058.5236951.3.6.1.4.1.11129.5.1.97415866390999888717168863957686758029 Dengan menggunakan nilai baru, ambil metadata untuk instance.
Sebelum menggunakan salah satu data permintaan, lakukan penggantian berikut:
- PROJECT_ID: ID Google Cloud project Anda
- LOCATION: lokasi set data
- DESTINATION_DATASET_ID: ID set data tujuan tempat data yang tidak diidentifikasi ditulis
- DESTINATION_DICOM_STORE_ID: ID penyimpanan DICOM di set data tujuan. Ini sama dengan ID penyimpanan DICOM dalam set data sumber.
Untuk mengirim permintaan Anda, pilih salah satu opsi berikut:
Output-nya berisi metadata baru. Anda dapat membandingkan metadata baru dengan metadata asli untuk melihat efek transformasi.curl
Jalankan perintah berikut:
curl -X GET \
-H "Authorization: Bearer $(gcloud auth print-access-token)" \
"https://healthcare.googleapis.com/v1/projects/PROJECT_ID/locations/LOCATION/datasets/DESTINATION_DATASET_ID/dicomStores/DESTINATION_DICOM_STORE_ID/dicomWeb/studies/1.3.6.1.4.1.11129.5.1.201854290391432893460946240745559593763/series/1.3.6.1.4.1.11129.5.1.303327499491957026103380014864616068710/instances/1.3.6.1.4.1.11129.5.1.97415866390999888717168863957686758029/metadata"PowerShell
Jalankan perintah berikut:
$cred = gcloud auth print-access-token
$headers = @{ "Authorization" = "Bearer $cred" }
Invoke-WebRequest `
-Method GET `
-Headers $headers `
-Uri "https://healthcare.googleapis.com/v1/projects/PROJECT_ID/locations/LOCATION/datasets/DESTINATION_DATASET_ID/dicomStores/DESTINATION_DICOM_STORE_ID/dicomWeb/studies/1.3.6.1.4.1.11129.5.1.201854290391432893460946240745559593763/series/1.3.6.1.4.1.11129.5.1.303327499491957026103380014864616068710/instances/1.3.6.1.4.1.11129.5.1.97415866390999888717168863957686758029/metadata" | Select-Object -Expand ContentAPIs Explorer
Buka halaman referensi metode. Panel APIs Explorer terbuka di sisi kanan halaman. Anda bisa berinteraksi dengan alat ini untuk mengirim permintaan. Lengkapi kolom yang wajib diisi, lalu klik Jalankan.
De-identifikasi menggunakan profil filter tag
Daripada menentukan tag yang akan disimpan atau dihapus, Anda dapat mengonfigurasi
TagFilterProfile
dalam objek DicomConfig. Profil filter tag adalah profil yang telah ditentukan sebelumnya yang menentukan tag mana yang akan disimpan, dihapus, atau diubah. Lihat dokumentasi TagFilterProfile untuk mengetahui profil yang tersedia.
Contoh berikut menunjukkan cara melakukan de-identifikasi set data yang berisi penyimpanan DICOM
dan data DICOM menggunakan profil filter tag ATTRIBUTE_CONFIDENTIALITY_BASIC_PROFILE.
Profil filter tag ini menghapus tag berdasarkan Profil Dasar Kerahasiaan Atribut Standar DICOM.
Cloud Healthcare API tidak sepenuhnya sesuai dengan
Profil Dasar Kerahasiaan Atribut. Misalnya, Cloud Healthcare API tidak memeriksa batasan Information Object Definition (IOD) saat memilih tindakan untuk tag.
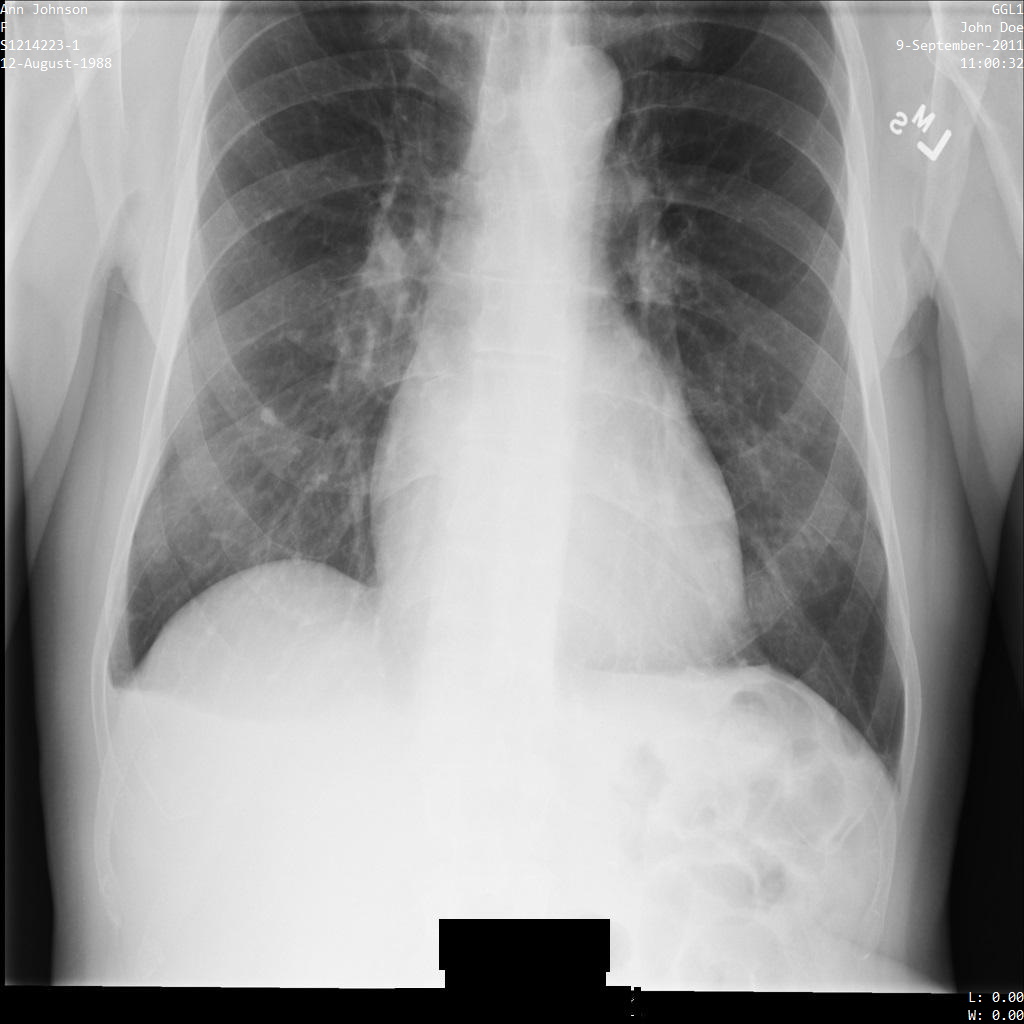
Setelah mengirimkan gambar ke Cloud Healthcare API menggunakan
profil filter tag ATTRIBUTE_CONFIDENTIALITY_BASIC_PROFILE, gambar akan muncul
seperti berikut. Meskipun metadata yang ditampilkan di sudut atas gambar telah disamarkan, PHI yang tercetak di bagian bawah gambar tetap ada.
Untuk menghapus teks sisipan juga, lihat
Menyamarkan teks sisipan dari gambar.

REST
Lakukan de-identifikasi set data.
Sebelum menggunakan salah satu data permintaan, lakukan penggantian berikut:
- PROJECT_ID: ID Google Cloud project Anda
- LOCATION: lokasi set data
- SOURCE_DATASET_ID: ID set data yang berisi data yang akan dianonimkan
- DESTINATION_DATASET_ID: ID set data tujuan tempat data yang tidak diidentifikasi ditulis
Meminta isi JSON:
{ "destinationDataset": "projects/PROJECT_ID/locations/LOCATION/datasets/DESTINATION_DATASET_ID", "config": { "dicom": { "filterProfile": "ATTRIBUTE_CONFIDENTIALITY_BASIC_PROFILE" } } }Untuk mengirim permintaan Anda, pilih salah satu opsi berikut:
Output-nya adalah sebagai berikut. Respons berisi ID untuk operasi yang berjalan lama. Operasi yang berjalan lama ditampilkan saat panggilan metode mungkin memerlukan waktu yang cukup lama untuk diselesaikan. Catat nilai OPERATION_ID. Anda memerlukan nilai ini pada langkah berikutnya.curl
Simpan isi permintaan dalam file bernama
request.json. Jalankan perintah berikut di terminal untuk membuat atau menimpa file ini di direktori saat ini:cat > request.json << 'EOF' { "destinationDataset": "projects/PROJECT_ID/locations/LOCATION/datasets/DESTINATION_DATASET_ID", "config": { "dicom": { "filterProfile": "ATTRIBUTE_CONFIDENTIALITY_BASIC_PROFILE" } } } EOFKemudian, jalankan perintah berikut untuk mengirim permintaan REST Anda:
curl -X POST \
-H "Authorization: Bearer $(gcloud auth print-access-token)" \
-H "Content-Type: application/json; charset=utf-8" \
-d @request.json \
"https://healthcare.googleapis.com/v1/projects/PROJECT_ID/locations/LOCATION/datasets/SOURCE_DATASET_ID:deidentify"PowerShell
Simpan isi permintaan dalam file bernama
request.json. Jalankan perintah berikut di terminal untuk membuat atau menimpa file ini di direktori saat ini:@' { "destinationDataset": "projects/PROJECT_ID/locations/LOCATION/datasets/DESTINATION_DATASET_ID", "config": { "dicom": { "filterProfile": "ATTRIBUTE_CONFIDENTIALITY_BASIC_PROFILE" } } } '@ | Out-File -FilePath request.json -Encoding utf8Kemudian jalankan perintah berikut untuk mengirim permintaan REST Anda:
$cred = gcloud auth print-access-token
$headers = @{ "Authorization" = "Bearer $cred" }
Invoke-WebRequest `
-Method POST `
-Headers $headers `
-ContentType: "application/json; charset=utf-8" `
-InFile request.json `
-Uri "https://healthcare.googleapis.com/v1/projects/PROJECT_ID/locations/LOCATION/datasets/SOURCE_DATASET_ID:deidentify" | Select-Object -Expand Content- Gunakan metode
projects.locations.datasets.operations.getuntuk mendapatkan status operasi yang berjalan lama.
Sebelum menggunakan salah satu data permintaan, lakukan penggantian berikut:
- PROJECT_ID: ID Google Cloud project Anda
- DATASET_ID: ID set data
- LOCATION: lokasi set data
- OPERATION_ID: ID yang ditampilkan dari operasi yang berjalan lama
Untuk mengirim permintaan Anda, pilih salah satu opsi berikut:
Output-nya adalah sebagai berikut. Jika respons berisicurl
Jalankan perintah berikut:
curl -X GET \
-H "Authorization: Bearer $(gcloud auth print-access-token)" \
"https://healthcare.googleapis.com/v1/projects/PROJECT_ID/locations/LOCATION/datasets/DATASET_ID/operations/OPERATION_ID"PowerShell
Jalankan perintah berikut:
$cred = gcloud auth print-access-token
$headers = @{ "Authorization" = "Bearer $cred" }
Invoke-WebRequest `
-Method GET `
-Headers $headers `
-Uri "https://healthcare.googleapis.com/v1/projects/PROJECT_ID/locations/LOCATION/datasets/DATASET_ID/operations/OPERATION_ID" | Select-Object -Expand ContentAPIs Explorer
Buka halaman referensi metode. Panel APIs Explorer terbuka di sisi kanan halaman. Anda bisa berinteraksi dengan alat ini untuk mengirim permintaan. Lengkapi kolom yang wajib diisi, lalu klik Jalankan.
"done": true, berarti operasi yang berjalan lama telah selesai. - Setelah proses penghapusan identitas berhasil, Anda dapat mengambil metadata untuk instance yang identitasnya dihapus untuk melihat perubahannya. Instance yang di-de-identifikasi
memiliki UID studi, UID rangkaian, dan UID instance baru, jadi Anda harus
menelusuri set data baru untuk menemukan instance yang di-de-identifikasi terlebih dahulu.
Sebelum menggunakan salah satu data permintaan, lakukan penggantian berikut:
- PROJECT_ID: ID Google Cloud project Anda
- SOURCE_DATASET_LOCATION: lokasi set data sumber
- DESTINATION_DATASET_ID: ID set data tujuan tempat data yang tidak diidentifikasi ditulis
- DESTINATION_DICOM_STORE_ID: ID penyimpanan DICOM di set data tujuan. Ini sama dengan ID penyimpanan DICOM dalam set data sumber.
Untuk mengirim permintaan Anda, pilih salah satu opsi berikut:
curl
Jalankan perintah berikut:
curl -X GET \
-H "Authorization: Bearer $(gcloud auth print-access-token)" \
"https://healthcare.googleapis.com/v1/projects/PROJECT_ID/locations/SOURCE_DATASET_LOCATION/datasets/DESTINATION_DATASET_ID/dicomStores/DESTINATION_DICOM_STORE_ID/dicomWeb/instances"PowerShell
Jalankan perintah berikut:
$cred = gcloud auth print-access-token
$headers = @{ "Authorization" = "Bearer $cred" }
Invoke-WebRequest `
-Method GET `
-Headers $headers `
-Uri "https://healthcare.googleapis.com/v1/projects/PROJECT_ID/locations/SOURCE_DATASET_LOCATION/datasets/DESTINATION_DATASET_ID/dicomStores/DESTINATION_DICOM_STORE_ID/dicomWeb/instances" | Select-Object -Expand ContentAPIs Explorer
Buka halaman referensi metode. Panel APIs Explorer terbuka di sisi kanan halaman. Anda bisa berinteraksi dengan alat ini untuk mengirim permintaan. Lengkapi kolom yang wajib diisi, lalu klik Jalankan.
Anda akan melihat respons JSON seperti berikut:
Tabel berikut menunjukkan perubahan UID studi, UID deret, dan UID instance:Metadata instance asli Metadata instance yang dide-identifikasi UID Studi ( 0020000D)2.25.705416166388191385680432936715593223551.3.6.1.4.1.11129.5.1.201854290391432893460946240745559593763UID Seri ( 0020000E)1.2.276.0.7230010.3.1.3.8323329.78.1531234558.5236941.3.6.1.4.1.11129.5.1.303327499491957026103380014864616068710UID Instance ( 00080018)1.2.276.0.7230010.3.1.4.8323329.78.1539083058.5236951.3.6.1.4.1.11129.5.1.97415866390999888717168863957686758029 Dengan menggunakan nilai baru, ambil metadata untuk instance.
Sebelum menggunakan salah satu data permintaan, lakukan penggantian berikut:
- PROJECT_ID: ID Google Cloud project Anda
- LOCATION: lokasi set data
- DESTINATION_DATASET_ID: ID set data tujuan tempat data yang tidak diidentifikasi ditulis
- DESTINATION_DICOM_STORE_ID: ID penyimpanan DICOM di set data tujuan. Ini sama dengan ID penyimpanan DICOM dalam set data sumber.
Untuk mengirim permintaan Anda, pilih salah satu opsi berikut:
Output-nya berisi metadata baru. Anda dapat membandingkan metadata baru dengan metadata asli untuk melihat efek transformasi.curl
Jalankan perintah berikut:
curl -X GET \
-H "Authorization: Bearer $(gcloud auth print-access-token)" \
"https://healthcare.googleapis.com/v1/projects/PROJECT_ID/locations/LOCATION/datasets/DESTINATION_DATASET_ID/dicomStores/DESTINATION_DICOM_STORE_ID/dicomWeb/studies/1.3.6.1.4.1.11129.5.1.201854290391432893460946240745559593763/series/1.3.6.1.4.1.11129.5.1.303327499491957026103380014864616068710/instances/1.3.6.1.4.1.11129.5.1.97415866390999888717168863957686758029/metadata"PowerShell
Jalankan perintah berikut:
$cred = gcloud auth print-access-token
$headers = @{ "Authorization" = "Bearer $cred" }
Invoke-WebRequest `
-Method GET `
-Headers $headers `
-Uri "https://healthcare.googleapis.com/v1/projects/PROJECT_ID/locations/LOCATION/datasets/DESTINATION_DATASET_ID/dicomStores/DESTINATION_DICOM_STORE_ID/dicomWeb/studies/1.3.6.1.4.1.11129.5.1.201854290391432893460946240745559593763/series/1.3.6.1.4.1.11129.5.1.303327499491957026103380014864616068710/instances/1.3.6.1.4.1.11129.5.1.97415866390999888717168863957686758029/metadata" | Select-Object -Expand ContentAPIs Explorer
Buka halaman referensi metode. Panel APIs Explorer terbuka di sisi kanan halaman. Anda bisa berinteraksi dengan alat ini untuk mengirim permintaan. Lengkapi kolom yang wajib diisi, lalu klik Jalankan.
Melakukan de-identifikasi data di konsol Google Cloud
Untuk menganonimkan data di konsol Google Cloud , selesaikan langkah-langkah berikut:
Di konsol Google Cloud , buka halaman Datasets.
Pilih Hilangkan identitas dari daftar Tindakan untuk set data yang identitasnya Anda hilangkan.
Halaman De-identify Dataset akan ditampilkan.
Pilih Setel set data tujuan dan masukkan nama untuk set data baru guna menyimpan data anonim Anda.
Pilih De-identifikasi tag DICOM untuk memilih profil yang datanya akan dide-identifikasi. Data dapat dianonimkan sebagai berikut:
KEEP_ALL_PROFILE- Mempertahankan semua tag meta DICOMDEIDENTIFY_TAG_CONTENTS- Melakukan de-identifikasi data dalam tag metaATTRIBUTE_CONFIDENTIALITY_BASIC_PROFILE- Menghapus tag meta sesuai dengan profil dasar dalam standar DICOMMINIMAL_KEEP_LIST_PROFILE- Hanya menyimpan tag meta yang diperlukan untuk objek DICOM yang valid- Lewati Penyuntingan ID - Membuat ulang kolom UID sebagaimana ditentukan oleh standar DICOM
Pilih Penyuntingan teks sisipan DICOM untuk mengonfigurasi cara penyuntingan gambar dilakukan selama de-identifikasi. Anda dapat mengonfigurasi penyamaran gambar sebagai berikut:
REDACT_NO_TEXT- Jangan menyamarkan teks dalam gambarREDACT_SENSITIVE_TEXT- Menyunting hanya teks sensitif dalam gambarREDACT_ALL_TEXT- Menyamarkan semua teks dalam gambar
Klik De-identifikasi untuk melakukan de-identifikasi data dalam set data.
Menyamarkan teks sisipan dari gambar
Cloud Healthcare API dapat menyamarkan teks sisipan yang sensitif dari gambar. Data sensitif seperti PHI akan dideteksi oleh API, yang kemudian akan disamarkan menggunakan persegi panjang buram. API menampilkan gambar DICOM yang sama dengan yang Anda berikan, dalam format yang sama, tetapi teks apa pun yang diidentifikasi sebagai berisi informasi sensitif menurut kriteria Anda akan disamarkan.
Anda dapat menyamarkan teks sisipan dari gambar dengan menentukan opsi
TextRedactionMode
di dalam objek ImageConfig. Lihat dokumentasi TextRedactionMode untuk mengetahui kemungkinan nilai.
Menyamarkan semua teks sisipan dari gambar
Contoh berikut menunjukkan cara menyamarkan semua teks sisipan dari gambar DICOM
dalam set data. Hal ini dilakukan dengan menentukan REDACT_ALL_TEXT di kolom TextRedactionMode.
Setelah mengirimkan gambar ke Cloud Healthcare API menggunakan
opsi REDACT_ALL_TEXT, gambar
akan muncul seperti berikut. Meskipun teks yang terbakar di bagian bawah gambar telah dihapus, metadata di sudut atas gambar tetap ada. Untuk menghapus metadata juga, lihat Melakukan de-identifikasi tag DICOM.

REST
Lakukan de-identifikasi set data.
Sebelum menggunakan salah satu data permintaan, lakukan penggantian berikut:
- PROJECT_ID: ID Google Cloud project Anda
- LOCATION: lokasi set data
- SOURCE_DATASET_ID: ID set data yang berisi data yang akan dianonimkan
- DESTINATION_DATASET_ID: ID set data tujuan tempat data yang tidak diidentifikasi ditulis
Meminta isi JSON:
{ "destinationDataset": "projects/PROJECT_ID/locations/LOCATION/datasets/DESTINATION_DATASET_ID", "config": { "dicom": {}, "image": { "textRedactionMode": "REDACT_ALL_TEXT" } } }Untuk mengirim permintaan Anda, pilih salah satu opsi berikut:
Output-nya adalah sebagai berikut. Respons berisi ID untuk operasi yang berjalan lama. Operasi yang berjalan lama ditampilkan saat panggilan metode mungkin memerlukan waktu yang cukup lama untuk diselesaikan. Catat nilai OPERATION_ID. Anda memerlukan nilai ini pada langkah berikutnya.curl
Simpan isi permintaan dalam file bernama
request.json. Jalankan perintah berikut di terminal untuk membuat atau menimpa file ini di direktori saat ini:cat > request.json << 'EOF' { "destinationDataset": "projects/PROJECT_ID/locations/LOCATION/datasets/DESTINATION_DATASET_ID", "config": { "dicom": {}, "image": { "textRedactionMode": "REDACT_ALL_TEXT" } } } EOFKemudian, jalankan perintah berikut untuk mengirim permintaan REST Anda:
curl -X POST \
-H "Authorization: Bearer $(gcloud auth print-access-token)" \
-H "Content-Type: application/json; charset=utf-8" \
-d @request.json \
"https://healthcare.googleapis.com/v1/projects/PROJECT_ID/locations/LOCATION/datasets/SOURCE_DATASET_ID:deidentify"PowerShell
Simpan isi permintaan dalam file bernama
request.json. Jalankan perintah berikut di terminal untuk membuat atau menimpa file ini di direktori saat ini:@' { "destinationDataset": "projects/PROJECT_ID/locations/LOCATION/datasets/DESTINATION_DATASET_ID", "config": { "dicom": {}, "image": { "textRedactionMode": "REDACT_ALL_TEXT" } } } '@ | Out-File -FilePath request.json -Encoding utf8Kemudian jalankan perintah berikut untuk mengirim permintaan REST Anda:
$cred = gcloud auth print-access-token
$headers = @{ "Authorization" = "Bearer $cred" }
Invoke-WebRequest `
-Method POST `
-Headers $headers `
-ContentType: "application/json; charset=utf-8" `
-InFile request.json `
-Uri "https://healthcare.googleapis.com/v1/projects/PROJECT_ID/locations/LOCATION/datasets/SOURCE_DATASET_ID:deidentify" | Select-Object -Expand Content- Gunakan metode
projects.locations.datasets.operations.getuntuk mendapatkan status operasi yang berjalan lama.
Sebelum menggunakan salah satu data permintaan, lakukan penggantian berikut:
- PROJECT_ID: ID Google Cloud project Anda
- DATASET_ID: ID set data
- LOCATION: lokasi set data
- OPERATION_ID: ID yang ditampilkan dari operasi yang berjalan lama
Untuk mengirim permintaan Anda, pilih salah satu opsi berikut:
Output-nya adalah sebagai berikut. Jika respons berisicurl
Jalankan perintah berikut:
curl -X GET \
-H "Authorization: Bearer $(gcloud auth print-access-token)" \
"https://healthcare.googleapis.com/v1/projects/PROJECT_ID/locations/LOCATION/datasets/DATASET_ID/operations/OPERATION_ID"PowerShell
Jalankan perintah berikut:
$cred = gcloud auth print-access-token
$headers = @{ "Authorization" = "Bearer $cred" }
Invoke-WebRequest `
-Method GET `
-Headers $headers `
-Uri "https://healthcare.googleapis.com/v1/projects/PROJECT_ID/locations/LOCATION/datasets/DATASET_ID/operations/OPERATION_ID" | Select-Object -Expand ContentAPIs Explorer
Buka halaman referensi metode. Panel APIs Explorer terbuka di sisi kanan halaman. Anda bisa berinteraksi dengan alat ini untuk mengirim permintaan. Lengkapi kolom yang wajib diisi, lalu klik Jalankan.
"done": true, berarti operasi yang berjalan lama telah selesai. - Setelah proses penghapusan identitas berhasil, Anda dapat mengambil metadata untuk instance yang identitasnya dihapus untuk melihat perubahannya. Instance yang di-de-identifikasi
memiliki UID studi, UID rangkaian, dan UID instance baru, jadi Anda harus
menelusuri set data baru untuk menemukan instance yang di-de-identifikasi terlebih dahulu.
Sebelum menggunakan salah satu data permintaan, lakukan penggantian berikut:
- PROJECT_ID: ID Google Cloud project Anda
- SOURCE_DATASET_LOCATION: lokasi set data sumber
- DESTINATION_DATASET_ID: ID set data tujuan tempat data yang tidak diidentifikasi ditulis
- DESTINATION_DICOM_STORE_ID: ID penyimpanan DICOM di set data tujuan. Ini sama dengan ID penyimpanan DICOM dalam set data sumber.
Untuk mengirim permintaan Anda, pilih salah satu opsi berikut:
curl
Jalankan perintah berikut:
curl -X GET \
-H "Authorization: Bearer $(gcloud auth print-access-token)" \
"https://healthcare.googleapis.com/v1/projects/PROJECT_ID/locations/SOURCE_DATASET_LOCATION/datasets/DESTINATION_DATASET_ID/dicomStores/DESTINATION_DICOM_STORE_ID/dicomWeb/instances"PowerShell
Jalankan perintah berikut:
$cred = gcloud auth print-access-token
$headers = @{ "Authorization" = "Bearer $cred" }
Invoke-WebRequest `
-Method GET `
-Headers $headers `
-Uri "https://healthcare.googleapis.com/v1/projects/PROJECT_ID/locations/SOURCE_DATASET_LOCATION/datasets/DESTINATION_DATASET_ID/dicomStores/DESTINATION_DICOM_STORE_ID/dicomWeb/instances" | Select-Object -Expand ContentAPIs Explorer
Buka halaman referensi metode. Panel APIs Explorer terbuka di sisi kanan halaman. Anda bisa berinteraksi dengan alat ini untuk mengirim permintaan. Lengkapi kolom yang wajib diisi, lalu klik Jalankan.
Anda akan melihat respons JSON seperti berikut:
Tabel berikut menunjukkan perubahan UID studi, UID deret, dan UID instance:Metadata instance asli Metadata instance yang dide-identifikasi UID Studi ( 0020000D)2.25.705416166388191385680432936715593223551.3.6.1.4.1.11129.5.1.201854290391432893460946240745559593763UID Seri ( 0020000E)1.2.276.0.7230010.3.1.3.8323329.78.1531234558.5236941.3.6.1.4.1.11129.5.1.303327499491957026103380014864616068710UID Instance ( 00080018)1.2.276.0.7230010.3.1.4.8323329.78.1539083058.5236951.3.6.1.4.1.11129.5.1.97415866390999888717168863957686758029
Menyamarkan hanya teks sisipan sensitif dari gambar
Contoh berikut menunjukkan cara menyamarkan teks sisipan sensitif dari gambar DICOM
dalam set data. Hal ini dilakukan dengan menentukan REDACT_SENSITIVE_TEXT di kolom TextRedactionMode.
InfoType yang ditentukan dalam infoType DICOM default
akan disamarkan jika REDACT_SENSITIVE_TEXT ditentukan. Dua infoType kustom tambahan juga diterapkan untuk menyamarkan:
- Pengenal pasien, seperti Nomor Rekam Medis (MRN)
- Nomor aksesi
Gambar berikut menunjukkan hasil rontgen pasien yang tidak disamarkan:

Setelah mengirimkan gambar ke Cloud Healthcare API menggunakan opsi REDACT_SENSITIVE_TEXT, gambar akan muncul sebagai berikut:

Anda dapat melihat bahwa hal berikut terjadi:
PERSON_NAMEdi kiri bawah gambar disamarkanDATEdi kiri bawah gambar disamarkan
Jenis kelamin pasien tidak disamarkan karena tidak dianggap sebagai teks sensitif menurut infoType DICOM default.
REST
Lakukan de-identifikasi set data.
Sebelum menggunakan salah satu data permintaan, lakukan penggantian berikut:
- PROJECT_ID: ID Google Cloud project Anda
- LOCATION: lokasi set data
- SOURCE_DATASET_ID: ID set data yang berisi data yang akan dianonimkan
- DESTINATION_DATASET_ID: ID set data tujuan tempat data yang tidak diidentifikasi ditulis
Meminta isi JSON:
{ "destinationDataset": "projects/PROJECT_ID/locations/LOCATION/datasets/DESTINATION_DATASET_ID", "config": { "dicom": {}, "image": { "textRedactionMode": "REDACT_SENSITIVE_TEXT" } } }Untuk mengirim permintaan Anda, pilih salah satu opsi berikut:
Output-nya adalah sebagai berikut. Respons berisi ID untuk operasi yang berjalan lama. Operasi yang berjalan lama ditampilkan saat panggilan metode mungkin memerlukan waktu yang cukup lama untuk diselesaikan. Catat nilai OPERATION_ID. Anda memerlukan nilai ini pada langkah berikutnya.curl
Simpan isi permintaan dalam file bernama
request.json. Jalankan perintah berikut di terminal untuk membuat atau menimpa file ini di direktori saat ini:cat > request.json << 'EOF' { "destinationDataset": "projects/PROJECT_ID/locations/LOCATION/datasets/DESTINATION_DATASET_ID", "config": { "dicom": {}, "image": { "textRedactionMode": "REDACT_SENSITIVE_TEXT" } } } EOFKemudian, jalankan perintah berikut untuk mengirim permintaan REST Anda:
curl -X POST \
-H "Authorization: Bearer $(gcloud auth print-access-token)" \
-H "Content-Type: application/json; charset=utf-8" \
-d @request.json \
"https://healthcare.googleapis.com/v1/projects/PROJECT_ID/locations/LOCATION/datasets/SOURCE_DATASET_ID:deidentify"PowerShell
Simpan isi permintaan dalam file bernama
request.json. Jalankan perintah berikut di terminal untuk membuat atau menimpa file ini di direktori saat ini:@' { "destinationDataset": "projects/PROJECT_ID/locations/LOCATION/datasets/DESTINATION_DATASET_ID", "config": { "dicom": {}, "image": { "textRedactionMode": "REDACT_SENSITIVE_TEXT" } } } '@ | Out-File -FilePath request.json -Encoding utf8Kemudian jalankan perintah berikut untuk mengirim permintaan REST Anda:
$cred = gcloud auth print-access-token
$headers = @{ "Authorization" = "Bearer $cred" }
Invoke-WebRequest `
-Method POST `
-Headers $headers `
-ContentType: "application/json; charset=utf-8" `
-InFile request.json `
-Uri "https://healthcare.googleapis.com/v1/projects/PROJECT_ID/locations/LOCATION/datasets/SOURCE_DATASET_ID:deidentify" | Select-Object -Expand Content- Gunakan metode
projects.locations.datasets.operations.getuntuk mendapatkan status operasi yang berjalan lama.
Sebelum menggunakan salah satu data permintaan, lakukan penggantian berikut:
- PROJECT_ID: ID Google Cloud project Anda
- DATASET_ID: ID set data
- LOCATION: lokasi set data
- OPERATION_ID: ID yang ditampilkan dari operasi yang berjalan lama
Untuk mengirim permintaan Anda, pilih salah satu opsi berikut:
Output-nya adalah sebagai berikut. Jika respons berisicurl
Jalankan perintah berikut:
curl -X GET \
-H "Authorization: Bearer $(gcloud auth print-access-token)" \
"https://healthcare.googleapis.com/v1/projects/PROJECT_ID/locations/LOCATION/datasets/DATASET_ID/operations/OPERATION_ID"PowerShell
Jalankan perintah berikut:
$cred = gcloud auth print-access-token
$headers = @{ "Authorization" = "Bearer $cred" }
Invoke-WebRequest `
-Method GET `
-Headers $headers `
-Uri "https://healthcare.googleapis.com/v1/projects/PROJECT_ID/locations/LOCATION/datasets/DATASET_ID/operations/OPERATION_ID" | Select-Object -Expand ContentAPIs Explorer
Buka halaman referensi metode. Panel APIs Explorer terbuka di sisi kanan halaman. Anda bisa berinteraksi dengan alat ini untuk mengirim permintaan. Lengkapi kolom yang wajib diisi, lalu klik Jalankan.
"done": true, berarti operasi yang berjalan lama telah selesai. - Setelah proses penghapusan identitas berhasil, Anda dapat mengambil metadata untuk instance yang identitasnya dihapus untuk melihat perubahannya. Instance yang di-de-identifikasi
memiliki UID studi, UID rangkaian, dan UID instance baru, jadi Anda harus
menelusuri set data baru untuk menemukan instance yang di-de-identifikasi terlebih dahulu.
Sebelum menggunakan salah satu data permintaan, lakukan penggantian berikut:
- PROJECT_ID: ID Google Cloud project Anda
- SOURCE_DATASET_LOCATION: lokasi set data sumber
- DESTINATION_DATASET_ID: ID set data tujuan tempat data yang tidak diidentifikasi ditulis
- DESTINATION_DICOM_STORE_ID: ID penyimpanan DICOM di set data tujuan. Ini sama dengan ID penyimpanan DICOM dalam set data sumber.
Untuk mengirim permintaan Anda, pilih salah satu opsi berikut:
curl
Jalankan perintah berikut:
curl -X GET \
-H "Authorization: Bearer $(gcloud auth print-access-token)" \
"https://healthcare.googleapis.com/v1/projects/PROJECT_ID/locations/SOURCE_DATASET_LOCATION/datasets/DESTINATION_DATASET_ID/dicomStores/DESTINATION_DICOM_STORE_ID/dicomWeb/instances"PowerShell
Jalankan perintah berikut:
$cred = gcloud auth print-access-token
$headers = @{ "Authorization" = "Bearer $cred" }
Invoke-WebRequest `
-Method GET `
-Headers $headers `
-Uri "https://healthcare.googleapis.com/v1/projects/PROJECT_ID/locations/SOURCE_DATASET_LOCATION/datasets/DESTINATION_DATASET_ID/dicomStores/DESTINATION_DICOM_STORE_ID/dicomWeb/instances" | Select-Object -Expand ContentAPIs Explorer
Buka halaman referensi metode. Panel APIs Explorer terbuka di sisi kanan halaman. Anda bisa berinteraksi dengan alat ini untuk mengirim permintaan. Lengkapi kolom yang wajib diisi, lalu klik Jalankan.
Anda akan melihat respons JSON seperti berikut:
Tabel berikut menunjukkan perubahan UID studi, UID deret, dan UID instance:Metadata instance asli Metadata instance yang dide-identifikasi UID Studi ( 0020000D)2.25.705416166388191385680432936715593223551.3.6.1.4.1.11129.5.1.201854290391432893460946240745559593763UID Seri ( 0020000E)1.2.276.0.7230010.3.1.3.8323329.78.1531234558.5236941.3.6.1.4.1.11129.5.1.303327499491957026103380014864616068710UID Instance ( 00080018)1.2.276.0.7230010.3.1.4.8323329.78.1539083058.5236951.3.6.1.4.1.11129.5.1.97415866390999888717168863957686758029
Menggabungkan de-identifikasi tag dan penyuntingan teks burnt-in
Anda dapat menggabungkan de-identifikasi menggunakan tag dengan penyamaran teks sisipan
dari gambar untuk melakukan de-identifikasi instance DICOM pada tingkat yang lebih terperinci. Misalnya, dengan menggabungkan REDACT_ALL_TEXT di kolom
TextRedactionMode dengan DEIDENTIFY_TAG_CONTENTS di kolom
TagFilterProfile, Anda dapat melakukan hal berikut:
REDACT_ALL_TEXT: Menyamarkan semua teks sisipan dalam gambar.DEIDENTIFY_TAG_CONTENTS: Memeriksa konten tag dan mengubah teks sensitif. Untuk mengetahui informasi selengkapnya tentang perilakuDEIDENTIFY_TAG_CONTENTS, lihat Konfigurasi default.
Setelah mengirimkan gambar ke Cloud Healthcare API menggunakan opsi
REDACT_ALL_TEXT dan DEIDENTIFY_TAG_CONTENTS, gambar akan muncul
seperti berikut. Perhatikan perubahan berikut:
- Nama di sudut kiri atas dan kanan atas gambar telah diubah
menggunakan
CryptoHashConfig - Tanggal di sudut kiri atas dan kanan atas gambar telah diubah
menggunakan
DateShiftConfig - Teks sisipan di bagian bawah gambar disamarkan

REST
Lakukan de-identifikasi set data.
Sebelum menggunakan salah satu data permintaan, lakukan penggantian berikut:
- PROJECT_ID: ID Google Cloud project Anda
- LOCATION: lokasi set data
- SOURCE_DATASET_ID: ID set data yang berisi data yang akan dianonimkan
- DESTINATION_DATASET_ID: ID set data tujuan tempat data yang tidak diidentifikasi ditulis
Meminta isi JSON:
{ "destinationDataset": "projects/PROJECT_ID/locations/LOCATION/datasets/DESTINATION_DATASET_ID", "config": { "dicom": { "filterProfile": "DEIDENTIFY_TAG_CONTENTS" }, "image": { "textRedactionMode": "REDACT_ALL_TEXT" } } }Untuk mengirim permintaan Anda, pilih salah satu opsi berikut:
Output-nya adalah sebagai berikut. Respons berisi ID untuk operasi yang berjalan lama. Operasi yang berjalan lama ditampilkan saat panggilan metode mungkin memerlukan waktu yang cukup lama untuk diselesaikan. Catat nilai OPERATION_ID. Anda memerlukan nilai ini pada langkah berikutnya.curl
Simpan isi permintaan dalam file bernama
request.json. Jalankan perintah berikut di terminal untuk membuat atau menimpa file ini di direktori saat ini:cat > request.json << 'EOF' { "destinationDataset": "projects/PROJECT_ID/locations/LOCATION/datasets/DESTINATION_DATASET_ID", "config": { "dicom": { "filterProfile": "DEIDENTIFY_TAG_CONTENTS" }, "image": { "textRedactionMode": "REDACT_ALL_TEXT" } } } EOFKemudian, jalankan perintah berikut untuk mengirim permintaan REST Anda:
curl -X POST \
-H "Authorization: Bearer $(gcloud auth print-access-token)" \
-H "Content-Type: application/json; charset=utf-8" \
-d @request.json \
"https://healthcare.googleapis.com/v1/projects/PROJECT_ID/locations/LOCATION/datasets/SOURCE_DATASET_ID:deidentify"PowerShell
Simpan isi permintaan dalam file bernama
request.json. Jalankan perintah berikut di terminal untuk membuat atau menimpa file ini di direktori saat ini:@' { "destinationDataset": "projects/PROJECT_ID/locations/LOCATION/datasets/DESTINATION_DATASET_ID", "config": { "dicom": { "filterProfile": "DEIDENTIFY_TAG_CONTENTS" }, "image": { "textRedactionMode": "REDACT_ALL_TEXT" } } } '@ | Out-File -FilePath request.json -Encoding utf8Kemudian jalankan perintah berikut untuk mengirim permintaan REST Anda:
$cred = gcloud auth print-access-token
$headers = @{ "Authorization" = "Bearer $cred" }
Invoke-WebRequest `
-Method POST `
-Headers $headers `
-ContentType: "application/json; charset=utf-8" `
-InFile request.json `
-Uri "https://healthcare.googleapis.com/v1/projects/PROJECT_ID/locations/LOCATION/datasets/SOURCE_DATASET_ID:deidentify" | Select-Object -Expand Content- Gunakan metode
projects.locations.datasets.operations.getuntuk mendapatkan status operasi yang berjalan lama.
Sebelum menggunakan salah satu data permintaan, lakukan penggantian berikut:
- PROJECT_ID: ID Google Cloud project Anda
- DATASET_ID: ID set data
- LOCATION: lokasi set data
- OPERATION_ID: ID yang ditampilkan dari operasi yang berjalan lama
Untuk mengirim permintaan Anda, pilih salah satu opsi berikut:
Output-nya adalah sebagai berikut. Jika respons berisicurl
Jalankan perintah berikut:
curl -X GET \
-H "Authorization: Bearer $(gcloud auth print-access-token)" \
"https://healthcare.googleapis.com/v1/projects/PROJECT_ID/locations/LOCATION/datasets/DATASET_ID/operations/OPERATION_ID"PowerShell
Jalankan perintah berikut:
$cred = gcloud auth print-access-token
$headers = @{ "Authorization" = "Bearer $cred" }
Invoke-WebRequest `
-Method GET `
-Headers $headers `
-Uri "https://healthcare.googleapis.com/v1/projects/PROJECT_ID/locations/LOCATION/datasets/DATASET_ID/operations/OPERATION_ID" | Select-Object -Expand ContentAPIs Explorer
Buka halaman referensi metode. Panel APIs Explorer terbuka di sisi kanan halaman. Anda bisa berinteraksi dengan alat ini untuk mengirim permintaan. Lengkapi kolom yang wajib diisi, lalu klik Jalankan.
"done": true, berarti operasi yang berjalan lama telah selesai. - Setelah proses penghapusan identitas berhasil, Anda dapat mengambil metadata untuk instance yang identitasnya dihapus untuk melihat perubahannya. Instance yang di-de-identifikasi
memiliki UID studi, UID rangkaian, dan UID instance baru, jadi Anda harus
menelusuri set data baru untuk menemukan instance yang di-de-identifikasi terlebih dahulu.
Sebelum menggunakan salah satu data permintaan, lakukan penggantian berikut:
- PROJECT_ID: ID Google Cloud project Anda
- SOURCE_DATASET_LOCATION: lokasi set data sumber
- DESTINATION_DATASET_ID: ID set data tujuan tempat data yang tidak diidentifikasi ditulis
- DESTINATION_DICOM_STORE_ID: ID penyimpanan DICOM di set data tujuan. Ini sama dengan ID penyimpanan DICOM dalam set data sumber.
Untuk mengirim permintaan Anda, pilih salah satu opsi berikut:
curl
Jalankan perintah berikut:
curl -X GET \
-H "Authorization: Bearer $(gcloud auth print-access-token)" \
"https://healthcare.googleapis.com/v1/projects/PROJECT_ID/locations/SOURCE_DATASET_LOCATION/datasets/DESTINATION_DATASET_ID/dicomStores/DESTINATION_DICOM_STORE_ID/dicomWeb/instances"PowerShell
Jalankan perintah berikut:
$cred = gcloud auth print-access-token
$headers = @{ "Authorization" = "Bearer $cred" }
Invoke-WebRequest `
-Method GET `
-Headers $headers `
-Uri "https://healthcare.googleapis.com/v1/projects/PROJECT_ID/locations/SOURCE_DATASET_LOCATION/datasets/DESTINATION_DATASET_ID/dicomStores/DESTINATION_DICOM_STORE_ID/dicomWeb/instances" | Select-Object -Expand ContentAPIs Explorer
Buka halaman referensi metode. Panel APIs Explorer terbuka di sisi kanan halaman. Anda bisa berinteraksi dengan alat ini untuk mengirim permintaan. Lengkapi kolom yang wajib diisi, lalu klik Jalankan.
Anda akan melihat respons JSON seperti berikut:
Dengan menggunakan nilai baru, ambil metadata untuk instance.
Sebelum menggunakan salah satu data permintaan, lakukan penggantian berikut:
- PROJECT_ID: ID Google Cloud project Anda
- LOCATION: lokasi set data
- DESTINATION_DATASET_ID: ID set data tujuan tempat data yang tidak diidentifikasi ditulis
- DESTINATION_DICOM_STORE_ID: ID penyimpanan DICOM di set data tujuan. Ini sama dengan ID penyimpanan DICOM dalam set data sumber.
Untuk mengirim permintaan Anda, pilih salah satu opsi berikut:
Output-nya berisi metadata baru. Anda dapat membandingkan metadata baru dengan metadata asli untuk melihat efek transformasi.curl
Jalankan perintah berikut:
curl -X GET \
-H "Authorization: Bearer $(gcloud auth print-access-token)" \
"https://healthcare.googleapis.com/v1/projects/PROJECT_ID/locations/LOCATION/datasets/DESTINATION_DATASET_ID/dicomStores/DESTINATION_DICOM_STORE_ID/dicomWeb/studies/1.3.6.1.4.1.11129.5.1.201854290391432893460946240745559593763/series/1.3.6.1.4.1.11129.5.1.303327499491957026103380014864616068710/instances/1.3.6.1.4.1.11129.5.1.97415866390999888717168863957686758029/metadata"PowerShell
Jalankan perintah berikut:
$cred = gcloud auth print-access-token
$headers = @{ "Authorization" = "Bearer $cred" }
Invoke-WebRequest `
-Method GET `
-Headers $headers `
-Uri "https://healthcare.googleapis.com/v1/projects/PROJECT_ID/locations/LOCATION/datasets/DESTINATION_DATASET_ID/dicomStores/DESTINATION_DICOM_STORE_ID/dicomWeb/studies/1.3.6.1.4.1.11129.5.1.201854290391432893460946240745559593763/series/1.3.6.1.4.1.11129.5.1.303327499491957026103380014864616068710/instances/1.3.6.1.4.1.11129.5.1.97415866390999888717168863957686758029/metadata" | Select-Object -Expand ContentAPIs Explorer
Buka halaman referensi metode. Panel APIs Explorer terbuka di sisi kanan halaman. Anda bisa berinteraksi dengan alat ini untuk mengirim permintaan. Lengkapi kolom yang wajib diisi, lalu klik Jalankan.
Menggunakan infoType dan transformasi dasar dengan tag DICOM
Cloud Healthcare API dapat menggunakan jenis informasi (infoTypes) untuk menentukan data yang dipindai saat melakukan de-identifikasi pada tag. InfoType adalah jenis data sensitif, seperti nama pasien, alamat email, nomor telepon, nomor identifikasi, atau nomor kartu kredit.
Transformasi dasar adalah aturan yang Anda gunakan untuk mengubah nilai
input. Anda dapat menyesuaikan cara tag DICOM yang dide-identifikasi dengan menerapkan
transformasi dasar ke setiap infoType tag. Misalnya, Anda dapat
melakukan de-identifikasi nama belakang pasien dan menggantinya dengan serangkaian
tanda bintang dengan menentukan infoType LAST_NAME dengan transformasi
primitif CharacterMaskConfig.
infoTypes DICOM default
InfoType DICOM default yang digunakan saat melakukan de-identifikasi metadata adalah:
AGECREDIT_CARD_NUMBERDATEEMAIL_ADDRESSIP_ADDRESSLOCATIONMAC_ADDRESSPASSPORTPERSON_NAMEPHONE_NUMBERSWIFT_CODEUS_DRIVERS_LICENSE_NUMBERUS_SOCIAL_SECURITY_NUMBERUS_VEHICLE_IDENTIFICATION_NUMBERUS_INDIVIDUAL_TAXPAYER_IDENTIFICATION_NUMBER
Saat Anda melakukan de-identifikasi teks sensitif dalam gambar
menggunakan REDACT_SENSITIVE_TEXT,
Cloud Healthcare API menggunakan infoType di atas, tetapi dua infoType kustom tambahan juga diterapkan ke teks sensitif dalam gambar untuk:
- ID pasien, seperti Nomor Rekam Medis (MRN)
- Nomor Aksesi
Opsi transformasi dasar
Opsi transformasi primitif Cloud Healthcare API mencakup:
RedactConfig: Menyembunyikan nilai dengan menghapusnya.CharacterMaskConfig: Menyamarkan string sepenuhnya atau sebagian dengan mengganti karakter input dengan karakter tetap yang ditentukan.DateShiftConfig: Menggeser tanggal dengan jumlah hari acak, dengan opsi untuk konsisten pada konteks yang sama.CryptoHashConfig: Menggunakan SHA-256 untuk mengganti nilai input dengan representasi berenkode base64 dari string output yang di-hash yang dihasilkan menggunakan kunci enkripsi data tertentu.ReplaceWithInfoTypeConfig: Mengganti nilai input dengan nama infoType-nya.
Menentukan konfigurasi di TextConfig
InfoType dan transformasi dasar ditentukan dalam InfoTypeTransformation,
yang merupakan objek di dalam TextConfig.
InfoType dimasukkan ke dalam array infoTypes sebagai nilai yang dipisahkan koma.
Menentukan infoType bersifat opsional. Jika Anda tidak menentukan setidaknya satu infoType, transformasi akan diterapkan ke infoType DICOM default yang ditemukan di Cloud Healthcare API.
Jika Anda menentukan infoType apa pun di InfoTypeTransformation, Anda harus menentukan setidaknya satu transformasi dasar.
Anda dapat menerapkan InfoTypeTransformation hanya ke profil DEIDENTIFY_TAG_CONTENTS.
InfoTypeTransformation tidak dapat diterapkan ke profil lain yang tercantum di
TagFilterProfile.
Bagian berikut menunjukkan cara menggunakan transformasi dasar yang tersedia
di InfoTypeTransformation
bersama dengan infoType untuk menyesuaikan cara tag DICOM dide-identifikasi. Contoh
menggunakan gambar contoh
yang disediakan dalam Ringkasan sampel
dan metadata contoh yang disediakan dalam Melakukan de-identifikasi tag DICOM.
Konfigurasi default
Secara default, saat profil DEIDENTIFY_TAG_CONTENTS disetel tanpa memberikan
konfigurasi apa pun dalam objek TextConfig, Cloud Healthcare API
akan mengganti data sensitif menggunakan infoType DICOM default.
Namun, ada perilaku yang berbeda untuk DATE dan PERSON_NAME
infoTypes, seperti yang ditunjukkan di bawah:
DateShiftConfigditerapkan ke teks yang diklasifikasikan sebagai infoTypeDATE.DateShiftConfigmenggunakan teknik perubahan tanggal dengan selisih 100 hari.CryptoHashConfigditerapkan ke teks yang diklasifikasikan sebagai infoTypePERSON_NAME.CryptoHashConfigmelakukan tokenisasi dengan membuat nilai pengganti menggunakan hashing kriptografi.
Perilaku berikut juga berlaku:
- Usia pasien yang memiliki nilai lebih besar dari atau sama dengan 90 akan dikonversi menjadi 90.
- Jika transformasi tidak dapat diterapkan karena batasan format DICOM, nilai pengganti akan diberikan yang sesuai dengan Representasi Nilai (VR) tag.
- Nilai lain yang sesuai dengan salah satu infoType DICOM default
di Cloud Healthcare API diganti dengan infoType-nya. Misalnya,
jika tag
PatientCommentsberisi string "Ann Johnson pergi ke Rumah Sakit Anytown", maka "Anytown" akan diganti dengan infoTypeLOCATION.
Contoh berikut menunjukkan output penggunaan profil default DEIDENTIFY_TAG_CONTENTS
pada set data yang berisi penyimpanan DICOM dan data DICOM. Anda dapat
membandingkan output default ini dengan output saat menggunakan berbagai
transformasi dasar dengan kombinasi infoType. Contoh menggunakan satu instance DICOM, tetapi Anda dapat menghilangkan identitas beberapa instance.
Setelah mengirimkan gambar ke Cloud Healthcare API menggunakan profil
DEIDENTIFY_TAG_CONTENTS, gambar akan muncul seperti berikut.
Perhatikan perubahan berikut:
- Nama di sudut kiri atas dan kanan atas gambar telah diubah
menggunakan
CryptoHashConfig - Tanggal di sudut kiri atas dan kanan atas gambar telah diubah
menggunakan
DateShiftConfig

REST
Lakukan de-identifikasi set data.
Sebelum menggunakan salah satu data permintaan, lakukan penggantian berikut:
- PROJECT_ID: ID Google Cloud project Anda
- LOCATION: lokasi set data
- SOURCE_DATASET_ID: ID set data yang berisi data yang akan dianonimkan
- DESTINATION_DATASET_ID: ID set data tujuan tempat data yang tidak diidentifikasi ditulis
Meminta isi JSON:
{ "destinationDataset": "projects/PROJECT_ID/locations/LOCATION/datasets/DESTINATION_DATASET_ID", "config": { "dicom": { "filterProfile": "DEIDENTIFY_TAG_CONTENTS" } } }Untuk mengirim permintaan Anda, pilih salah satu opsi berikut:
Output-nya adalah sebagai berikut. Respons berisi ID untuk operasi yang berjalan lama. Operasi yang berjalan lama ditampilkan saat panggilan metode mungkin memerlukan waktu yang cukup lama untuk diselesaikan. Catat nilai OPERATION_ID. Anda memerlukan nilai ini pada langkah berikutnya.curl
Simpan isi permintaan dalam file bernama
request.json. Jalankan perintah berikut di terminal untuk membuat atau menimpa file ini di direktori saat ini:cat > request.json << 'EOF' { "destinationDataset": "projects/PROJECT_ID/locations/LOCATION/datasets/DESTINATION_DATASET_ID", "config": { "dicom": { "filterProfile": "DEIDENTIFY_TAG_CONTENTS" } } } EOFKemudian, jalankan perintah berikut untuk mengirim permintaan REST Anda:
curl -X POST \
-H "Authorization: Bearer $(gcloud auth print-access-token)" \
-H "Content-Type: application/json; charset=utf-8" \
-d @request.json \
"https://healthcare.googleapis.com/v1/projects/PROJECT_ID/locations/LOCATION/datasets/SOURCE_DATASET_ID:deidentify"PowerShell
Simpan isi permintaan dalam file bernama
request.json. Jalankan perintah berikut di terminal untuk membuat atau menimpa file ini di direktori saat ini:@' { "destinationDataset": "projects/PROJECT_ID/locations/LOCATION/datasets/DESTINATION_DATASET_ID", "config": { "dicom": { "filterProfile": "DEIDENTIFY_TAG_CONTENTS" } } } '@ | Out-File -FilePath request.json -Encoding utf8Kemudian jalankan perintah berikut untuk mengirim permintaan REST Anda:
$cred = gcloud auth print-access-token
$headers = @{ "Authorization" = "Bearer $cred" }
Invoke-WebRequest `
-Method POST `
-Headers $headers `
-ContentType: "application/json; charset=utf-8" `
-InFile request.json `
-Uri "https://healthcare.googleapis.com/v1/projects/PROJECT_ID/locations/LOCATION/datasets/SOURCE_DATASET_ID:deidentify" | Select-Object -Expand Content- Gunakan metode
projects.locations.datasets.operations.getuntuk mendapatkan status operasi yang berjalan lama.
Sebelum menggunakan salah satu data permintaan, lakukan penggantian berikut:
- PROJECT_ID: ID Google Cloud project Anda
- DATASET_ID: ID set data
- LOCATION: lokasi set data
- OPERATION_ID: ID yang ditampilkan dari operasi yang berjalan lama
Untuk mengirim permintaan Anda, pilih salah satu opsi berikut:
Output-nya adalah sebagai berikut. Jika respons berisicurl
Jalankan perintah berikut:
curl -X GET \
-H "Authorization: Bearer $(gcloud auth print-access-token)" \
"https://healthcare.googleapis.com/v1/projects/PROJECT_ID/locations/LOCATION/datasets/DATASET_ID/operations/OPERATION_ID"PowerShell
Jalankan perintah berikut:
$cred = gcloud auth print-access-token
$headers = @{ "Authorization" = "Bearer $cred" }
Invoke-WebRequest `
-Method GET `
-Headers $headers `
-Uri "https://healthcare.googleapis.com/v1/projects/PROJECT_ID/locations/LOCATION/datasets/DATASET_ID/operations/OPERATION_ID" | Select-Object -Expand ContentAPIs Explorer
Buka halaman referensi metode. Panel APIs Explorer terbuka di sisi kanan halaman. Anda bisa berinteraksi dengan alat ini untuk mengirim permintaan. Lengkapi kolom yang wajib diisi, lalu klik Jalankan.
"done": true, berarti operasi yang berjalan lama telah selesai. - Setelah proses penghapusan identitas berhasil, Anda dapat mengambil metadata untuk instance yang identitasnya dihapus untuk melihat perubahannya. Instance yang di-de-identifikasi
memiliki UID studi, UID rangkaian, dan UID instance baru, jadi Anda harus
menelusuri set data baru untuk menemukan instance yang di-de-identifikasi terlebih dahulu.
Sebelum menggunakan salah satu data permintaan, lakukan penggantian berikut:
- PROJECT_ID: ID Google Cloud project Anda
- SOURCE_DATASET_LOCATION: lokasi set data sumber
- DESTINATION_DATASET_ID: ID set data tujuan tempat data yang tidak diidentifikasi ditulis
- DESTINATION_DICOM_STORE_ID: ID penyimpanan DICOM di set data tujuan. Ini sama dengan ID penyimpanan DICOM dalam set data sumber.
Untuk mengirim permintaan Anda, pilih salah satu opsi berikut:
curl
Jalankan perintah berikut:
curl -X GET \
-H "Authorization: Bearer $(gcloud auth print-access-token)" \
"https://healthcare.googleapis.com/v1/projects/PROJECT_ID/locations/SOURCE_DATASET_LOCATION/datasets/DESTINATION_DATASET_ID/dicomStores/DESTINATION_DICOM_STORE_ID/dicomWeb/instances"PowerShell
Jalankan perintah berikut:
$cred = gcloud auth print-access-token
$headers = @{ "Authorization" = "Bearer $cred" }
Invoke-WebRequest `
-Method GET `
-Headers $headers `
-Uri "https://healthcare.googleapis.com/v1/projects/PROJECT_ID/locations/SOURCE_DATASET_LOCATION/datasets/DESTINATION_DATASET_ID/dicomStores/DESTINATION_DICOM_STORE_ID/dicomWeb/instances" | Select-Object -Expand ContentAPIs Explorer
Buka halaman referensi metode. Panel APIs Explorer terbuka di sisi kanan halaman. Anda bisa berinteraksi dengan alat ini untuk mengirim permintaan. Lengkapi kolom yang wajib diisi, lalu klik Jalankan.
Anda akan melihat respons JSON seperti berikut:
Dengan menggunakan nilai baru, ambil metadata untuk instance.
Sebelum menggunakan salah satu data permintaan, lakukan penggantian berikut:
- PROJECT_ID: ID Google Cloud project Anda
- LOCATION: lokasi set data
- DESTINATION_DATASET_ID: ID set data tujuan tempat data yang tidak diidentifikasi ditulis
- DESTINATION_DICOM_STORE_ID: ID penyimpanan DICOM di set data tujuan. Ini sama dengan ID penyimpanan DICOM dalam set data sumber.
Untuk mengirim permintaan Anda, pilih salah satu opsi berikut:
Output-nya berisi metadata baru. Anda dapat membandingkan metadata baru dengan metadata asli untuk melihat efek transformasi.curl
Jalankan perintah berikut:
curl -X GET \
-H "Authorization: Bearer $(gcloud auth print-access-token)" \
"https://healthcare.googleapis.com/v1/projects/PROJECT_ID/locations/LOCATION/datasets/DESTINATION_DATASET_ID/dicomStores/DESTINATION_DICOM_STORE_ID/dicomWeb/studies/1.3.6.1.4.1.11129.5.1.201854290391432893460946240745559593763/series/1.3.6.1.4.1.11129.5.1.303327499491957026103380014864616068710/instances/1.3.6.1.4.1.11129.5.1.97415866390999888717168863957686758029/metadata"PowerShell
Jalankan perintah berikut:
$cred = gcloud auth print-access-token
$headers = @{ "Authorization" = "Bearer $cred" }
Invoke-WebRequest `
-Method GET `
-Headers $headers `
-Uri "https://healthcare.googleapis.com/v1/projects/PROJECT_ID/locations/LOCATION/datasets/DESTINATION_DATASET_ID/dicomStores/DESTINATION_DICOM_STORE_ID/dicomWeb/studies/1.3.6.1.4.1.11129.5.1.201854290391432893460946240745559593763/series/1.3.6.1.4.1.11129.5.1.303327499491957026103380014864616068710/instances/1.3.6.1.4.1.11129.5.1.97415866390999888717168863957686758029/metadata" | Select-Object -Expand ContentAPIs Explorer
Buka halaman referensi metode. Panel APIs Explorer terbuka di sisi kanan halaman. Anda bisa berinteraksi dengan alat ini untuk mengirim permintaan. Lengkapi kolom yang wajib diisi, lalu klik Jalankan.
RedactConfig
Menentukan redactConfig akan menyamarkan nilai tertentu dengan menghapusnya sepenuhnya.
Pesan redactConfig tidak memiliki argumen; menentukannya akan mengaktifkan
transformasi.
Contoh berikut memperluas konfigurasi default,
tetapi kini menyertakan setelan infoType PERSON_NAME dengan
transformasi redactConfig. Mengirim permintaan ini akan menyamarkan semua nama dari instance DICOM.
Setelah mengirimkan gambar ke Cloud Healthcare API menggunakan transformasi
redactConfig, gambar akan muncul sebagai berikut:

REST
Lakukan de-identifikasi set data.
Sebelum menggunakan salah satu data permintaan, lakukan penggantian berikut:
- PROJECT_ID: ID Google Cloud project Anda
- LOCATION: lokasi set data
- SOURCE_DATASET_ID: ID set data yang berisi data yang akan dianonimkan
- DESTINATION_DATASET_ID: ID set data tujuan tempat data yang tidak diidentifikasi ditulis
Meminta isi JSON:
{ "destinationDataset": "projects/PROJECT_ID/locations/LOCATION/datasets/DESTINATION_DATASET_ID", "config": { "dicom": { "filterProfile": "DEIDENTIFY_TAG_CONTENTS" }, "text": { "transformations": [ { "infoTypes": [ "PERSON_NAME" ], "redactConfig": {} } ] } } }Untuk mengirim permintaan Anda, pilih salah satu opsi berikut:
Output-nya adalah sebagai berikut. Respons berisi ID untuk operasi yang berjalan lama. Operasi yang berjalan lama ditampilkan saat panggilan metode mungkin memerlukan waktu yang cukup lama untuk diselesaikan. Catat nilai OPERATION_ID. Anda memerlukan nilai ini pada langkah berikutnya.curl
Simpan isi permintaan dalam file bernama
request.json. Jalankan perintah berikut di terminal untuk membuat atau menimpa file ini di direktori saat ini:cat > request.json << 'EOF' { "destinationDataset": "projects/PROJECT_ID/locations/LOCATION/datasets/DESTINATION_DATASET_ID", "config": { "dicom": { "filterProfile": "DEIDENTIFY_TAG_CONTENTS" }, "text": { "transformations": [ { "infoTypes": [ "PERSON_NAME" ], "redactConfig": {} } ] } } } EOFKemudian, jalankan perintah berikut untuk mengirim permintaan REST Anda:
curl -X POST \
-H "Authorization: Bearer $(gcloud auth print-access-token)" \
-H "Content-Type: application/json; charset=utf-8" \
-d @request.json \
"https://healthcare.googleapis.com/v1/projects/PROJECT_ID/locations/LOCATION/datasets/SOURCE_DATASET_ID:deidentify"PowerShell
Simpan isi permintaan dalam file bernama
request.json. Jalankan perintah berikut di terminal untuk membuat atau menimpa file ini di direktori saat ini:@' { "destinationDataset": "projects/PROJECT_ID/locations/LOCATION/datasets/DESTINATION_DATASET_ID", "config": { "dicom": { "filterProfile": "DEIDENTIFY_TAG_CONTENTS" }, "text": { "transformations": [ { "infoTypes": [ "PERSON_NAME" ], "redactConfig": {} } ] } } } '@ | Out-File -FilePath request.json -Encoding utf8Kemudian jalankan perintah berikut untuk mengirim permintaan REST Anda:
$cred = gcloud auth print-access-token
$headers = @{ "Authorization" = "Bearer $cred" }
Invoke-WebRequest `
-Method POST `
-Headers $headers `
-ContentType: "application/json; charset=utf-8" `
-InFile request.json `
-Uri "https://healthcare.googleapis.com/v1/projects/PROJECT_ID/locations/LOCATION/datasets/SOURCE_DATASET_ID:deidentify" | Select-Object -Expand Content- Gunakan metode
projects.locations.datasets.operations.getuntuk mendapatkan status operasi yang berjalan lama.
Sebelum menggunakan salah satu data permintaan, lakukan penggantian berikut:
- PROJECT_ID: ID Google Cloud project Anda
- DATASET_ID: ID set data
- LOCATION: lokasi set data
- OPERATION_ID: ID yang ditampilkan dari operasi yang berjalan lama
Untuk mengirim permintaan Anda, pilih salah satu opsi berikut:
Output-nya adalah sebagai berikut. Jika respons berisicurl
Jalankan perintah berikut:
curl -X GET \
-H "Authorization: Bearer $(gcloud auth print-access-token)" \
"https://healthcare.googleapis.com/v1/projects/PROJECT_ID/locations/LOCATION/datasets/DATASET_ID/operations/OPERATION_ID"PowerShell
Jalankan perintah berikut:
$cred = gcloud auth print-access-token
$headers = @{ "Authorization" = "Bearer $cred" }
Invoke-WebRequest `
-Method GET `
-Headers $headers `
-Uri "https://healthcare.googleapis.com/v1/projects/PROJECT_ID/locations/LOCATION/datasets/DATASET_ID/operations/OPERATION_ID" | Select-Object -Expand ContentAPIs Explorer
Buka halaman referensi metode. Panel APIs Explorer terbuka di sisi kanan halaman. Anda bisa berinteraksi dengan alat ini untuk mengirim permintaan. Lengkapi kolom yang wajib diisi, lalu klik Jalankan.
"done": true, berarti operasi yang berjalan lama telah selesai. - Setelah proses penghapusan identitas berhasil, Anda dapat mengambil metadata untuk instance yang identitasnya dihapus untuk melihat perubahannya. Instance yang di-de-identifikasi
memiliki UID studi, UID rangkaian, dan UID instance baru, jadi Anda harus
menelusuri set data baru untuk menemukan instance yang di-de-identifikasi terlebih dahulu.
Sebelum menggunakan salah satu data permintaan, lakukan penggantian berikut:
- PROJECT_ID: ID Google Cloud project Anda
- SOURCE_DATASET_LOCATION: lokasi set data sumber
- DESTINATION_DATASET_ID: ID set data tujuan tempat data yang tidak diidentifikasi ditulis
- DESTINATION_DICOM_STORE_ID: ID penyimpanan DICOM di set data tujuan. Ini sama dengan ID penyimpanan DICOM dalam set data sumber.
Untuk mengirim permintaan Anda, pilih salah satu opsi berikut:
curl
Jalankan perintah berikut:
curl -X GET \
-H "Authorization: Bearer $(gcloud auth print-access-token)" \
"https://healthcare.googleapis.com/v1/projects/PROJECT_ID/locations/SOURCE_DATASET_LOCATION/datasets/DESTINATION_DATASET_ID/dicomStores/DESTINATION_DICOM_STORE_ID/dicomWeb/instances"PowerShell
Jalankan perintah berikut:
$cred = gcloud auth print-access-token
$headers = @{ "Authorization" = "Bearer $cred" }
Invoke-WebRequest `
-Method GET `
-Headers $headers `
-Uri "https://healthcare.googleapis.com/v1/projects/PROJECT_ID/locations/SOURCE_DATASET_LOCATION/datasets/DESTINATION_DATASET_ID/dicomStores/DESTINATION_DICOM_STORE_ID/dicomWeb/instances" | Select-Object -Expand ContentAPIs Explorer
Buka halaman referensi metode. Panel APIs Explorer terbuka di sisi kanan halaman. Anda bisa berinteraksi dengan alat ini untuk mengirim permintaan. Lengkapi kolom yang wajib diisi, lalu klik Jalankan.
Anda akan melihat respons JSON seperti berikut:
Dengan menggunakan nilai baru, ambil metadata untuk instance.
Sebelum menggunakan salah satu data permintaan, lakukan penggantian berikut:
- PROJECT_ID: ID Google Cloud project Anda
- LOCATION: lokasi set data
- DESTINATION_DATASET_ID: ID set data tujuan tempat data yang tidak diidentifikasi ditulis
- DESTINATION_DICOM_STORE_ID: ID penyimpanan DICOM di set data tujuan. Ini sama dengan ID penyimpanan DICOM dalam set data sumber.
Untuk mengirim permintaan Anda, pilih salah satu opsi berikut:
Output-nya berisi metadata baru. Anda dapat membandingkan metadata baru dengan metadata asli untuk melihat efek transformasi.curl
Jalankan perintah berikut:
curl -X GET \
-H "Authorization: Bearer $(gcloud auth print-access-token)" \
"https://healthcare.googleapis.com/v1/projects/PROJECT_ID/locations/LOCATION/datasets/DESTINATION_DATASET_ID/dicomStores/DESTINATION_DICOM_STORE_ID/dicomWeb/studies/1.3.6.1.4.1.11129.5.1.201854290391432893460946240745559593763/series/1.3.6.1.4.1.11129.5.1.303327499491957026103380014864616068710/instances/1.3.6.1.4.1.11129.5.1.97415866390999888717168863957686758029/metadata"PowerShell
Jalankan perintah berikut:
$cred = gcloud auth print-access-token
$headers = @{ "Authorization" = "Bearer $cred" }
Invoke-WebRequest `
-Method GET `
-Headers $headers `
-Uri "https://healthcare.googleapis.com/v1/projects/PROJECT_ID/locations/LOCATION/datasets/DESTINATION_DATASET_ID/dicomStores/DESTINATION_DICOM_STORE_ID/dicomWeb/studies/1.3.6.1.4.1.11129.5.1.201854290391432893460946240745559593763/series/1.3.6.1.4.1.11129.5.1.303327499491957026103380014864616068710/instances/1.3.6.1.4.1.11129.5.1.97415866390999888717168863957686758029/metadata" | Select-Object -Expand ContentAPIs Explorer
Buka halaman referensi metode. Panel APIs Explorer terbuka di sisi kanan halaman. Anda bisa berinteraksi dengan alat ini untuk mengirim permintaan. Lengkapi kolom yang wajib diisi, lalu klik Jalankan.
Output menunjukkan bahwa nilai dalam ReferringPhysicianName
(00080090) dan PatientName (00100010) telah dihapus. Hal ini berbeda dengan contoh dalam konfigurasi default, yang nilai-nilainya diubah menggunakan hashing kriptografi.
CharacterMaskConfig
Menentukan characterMaskConfig akan mengganti string yang sesuai dengan infoType yang diberikan dengan karakter tetap yang ditentukan. Misalnya, daripada menyamarkan nama pasien atau mengubahnya menggunakan hashing kriptografi, Anda dapat mengganti nama tersebut dengan serangkaian tanda bintang (*). Anda dapat menentukan karakter tetap sebagai nilai ke kolom maskingCharacter.
Contoh berikut memperluas konfigurasi default,
tetapi kini menyertakan setelan infoType LAST_NAME dengan
transformasi characterMaskConfig. Tidak ada karakter tetap yang diberikan, sehingga
masking secara default menggunakan tanda bintang.
Contoh menggunakan satu instance DICOM, tetapi Anda dapat melakukan de-identifikasi beberapa instance.
Setelah mengirimkan gambar ke Cloud Healthcare API menggunakan transformasi
characterMaskConfig, gambar akan muncul sebagai berikut:

REST
Lakukan de-identifikasi set data.
Sebelum menggunakan salah satu data permintaan, lakukan penggantian berikut:
- PROJECT_ID: ID Google Cloud project Anda
- LOCATION: lokasi set data
- SOURCE_DATASET_ID: ID set data yang berisi data yang akan dianonimkan
- DESTINATION_DATASET_ID: ID set data tujuan tempat data yang tidak diidentifikasi ditulis
Meminta isi JSON:
{ "destinationDataset": "projects/PROJECT_ID/locations/LOCATION/datasets/DESTINATION_DATASET_ID", "config": { "dicom": { "filterProfile": "DEIDENTIFY_TAG_CONTENTS" }, "text": { "transformations": [ { "infoTypes": [ "PERSON_NAME" ], "characterMaskConfig": { "maskingCharacter": "" } } ] } } }Untuk mengirim permintaan Anda, pilih salah satu opsi berikut:
Output-nya adalah sebagai berikut. Respons berisi ID untuk operasi yang berjalan lama. Operasi yang berjalan lama ditampilkan saat panggilan metode mungkin memerlukan waktu yang cukup lama untuk diselesaikan. Catat nilai OPERATION_ID. Anda memerlukan nilai ini pada langkah berikutnya.curl
Simpan isi permintaan dalam file bernama
request.json. Jalankan perintah berikut di terminal untuk membuat atau menimpa file ini di direktori saat ini:cat > request.json << 'EOF' { "destinationDataset": "projects/PROJECT_ID/locations/LOCATION/datasets/DESTINATION_DATASET_ID", "config": { "dicom": { "filterProfile": "DEIDENTIFY_TAG_CONTENTS" }, "text": { "transformations": [ { "infoTypes": [ "PERSON_NAME" ], "characterMaskConfig": { "maskingCharacter": "" } } ] } } } EOFKemudian, jalankan perintah berikut untuk mengirim permintaan REST Anda:
curl -X POST \
-H "Authorization: Bearer $(gcloud auth print-access-token)" \
-H "Content-Type: application/json; charset=utf-8" \
-d @request.json \
"https://healthcare.googleapis.com/v1/projects/PROJECT_ID/locations/LOCATION/datasets/SOURCE_DATASET_ID:deidentify"PowerShell
Simpan isi permintaan dalam file bernama
request.json. Jalankan perintah berikut di terminal untuk membuat atau menimpa file ini di direktori saat ini:@' { "destinationDataset": "projects/PROJECT_ID/locations/LOCATION/datasets/DESTINATION_DATASET_ID", "config": { "dicom": { "filterProfile": "DEIDENTIFY_TAG_CONTENTS" }, "text": { "transformations": [ { "infoTypes": [ "PERSON_NAME" ], "characterMaskConfig": { "maskingCharacter": "" } } ] } } } '@ | Out-File -FilePath request.json -Encoding utf8Kemudian jalankan perintah berikut untuk mengirim permintaan REST Anda:
$cred = gcloud auth print-access-token
$headers = @{ "Authorization" = "Bearer $cred" }
Invoke-WebRequest `
-Method POST `
-Headers $headers `
-ContentType: "application/json; charset=utf-8" `
-InFile request.json `
-Uri "https://healthcare.googleapis.com/v1/projects/PROJECT_ID/locations/LOCATION/datasets/SOURCE_DATASET_ID:deidentify" | Select-Object -Expand Content- Gunakan metode
projects.locations.datasets.operations.getuntuk mendapatkan status operasi yang berjalan lama.
Sebelum menggunakan salah satu data permintaan, lakukan penggantian berikut:
- PROJECT_ID: ID Google Cloud project Anda
- DATASET_ID: ID set data
- LOCATION: lokasi set data
- OPERATION_ID: ID yang ditampilkan dari operasi yang berjalan lama
Untuk mengirim permintaan Anda, pilih salah satu opsi berikut:
Output-nya adalah sebagai berikut. Jika respons berisicurl
Jalankan perintah berikut:
curl -X GET \
-H "Authorization: Bearer $(gcloud auth print-access-token)" \
"https://healthcare.googleapis.com/v1/projects/PROJECT_ID/locations/LOCATION/datasets/DATASET_ID/operations/OPERATION_ID"PowerShell
Jalankan perintah berikut:
$cred = gcloud auth print-access-token
$headers = @{ "Authorization" = "Bearer $cred" }
Invoke-WebRequest `
-Method GET `
-Headers $headers `
-Uri "https://healthcare.googleapis.com/v1/projects/PROJECT_ID/locations/LOCATION/datasets/DATASET_ID/operations/OPERATION_ID" | Select-Object -Expand ContentAPIs Explorer
Buka halaman referensi metode. Panel APIs Explorer terbuka di sisi kanan halaman. Anda bisa berinteraksi dengan alat ini untuk mengirim permintaan. Lengkapi kolom yang wajib diisi, lalu klik Jalankan.
"done": true, berarti operasi yang berjalan lama telah selesai. - Setelah proses penghapusan identitas berhasil, Anda dapat mengambil metadata untuk instance yang identitasnya dihapus untuk melihat perubahannya. Instance yang di-de-identifikasi
memiliki UID studi, UID rangkaian, dan UID instance baru, jadi Anda harus
menelusuri set data baru untuk menemukan instance yang di-de-identifikasi terlebih dahulu.
Sebelum menggunakan salah satu data permintaan, lakukan penggantian berikut:
- PROJECT_ID: ID Google Cloud project Anda
- SOURCE_DATASET_LOCATION: lokasi set data sumber
- DESTINATION_DATASET_ID: ID set data tujuan tempat data yang tidak diidentifikasi ditulis
- DESTINATION_DICOM_STORE_ID: ID penyimpanan DICOM di set data tujuan. Ini sama dengan ID penyimpanan DICOM dalam set data sumber.
Untuk mengirim permintaan Anda, pilih salah satu opsi berikut:
curl
Jalankan perintah berikut:
curl -X GET \
-H "Authorization: Bearer $(gcloud auth print-access-token)" \
"https://healthcare.googleapis.com/v1/projects/PROJECT_ID/locations/SOURCE_DATASET_LOCATION/datasets/DESTINATION_DATASET_ID/dicomStores/DESTINATION_DICOM_STORE_ID/dicomWeb/instances"PowerShell
Jalankan perintah berikut:
$cred = gcloud auth print-access-token
$headers = @{ "Authorization" = "Bearer $cred" }
Invoke-WebRequest `
-Method GET `
-Headers $headers `
-Uri "https://healthcare.googleapis.com/v1/projects/PROJECT_ID/locations/SOURCE_DATASET_LOCATION/datasets/DESTINATION_DATASET_ID/dicomStores/DESTINATION_DICOM_STORE_ID/dicomWeb/instances" | Select-Object -Expand ContentAPIs Explorer
Buka halaman referensi metode. Panel APIs Explorer terbuka di sisi kanan halaman. Anda bisa berinteraksi dengan alat ini untuk mengirim permintaan. Lengkapi kolom yang wajib diisi, lalu klik Jalankan.
Anda akan melihat respons JSON seperti berikut:
Dengan menggunakan nilai baru, ambil metadata untuk instance.
Sebelum menggunakan salah satu data permintaan, lakukan penggantian berikut:
- PROJECT_ID: ID Google Cloud project Anda
- LOCATION: lokasi set data
- DESTINATION_DATASET_ID: ID set data tujuan tempat data yang tidak diidentifikasi ditulis
- DESTINATION_DICOM_STORE_ID: ID penyimpanan DICOM di set data tujuan. Ini sama dengan ID penyimpanan DICOM dalam set data sumber.
Untuk mengirim permintaan Anda, pilih salah satu opsi berikut:
Output-nya berisi metadata baru. Anda dapat membandingkan metadata baru dengan metadata asli untuk melihat efek transformasi.curl
Jalankan perintah berikut:
curl -X GET \
-H "Authorization: Bearer $(gcloud auth print-access-token)" \
"https://healthcare.googleapis.com/v1/projects/PROJECT_ID/locations/LOCATION/datasets/DESTINATION_DATASET_ID/dicomStores/DESTINATION_DICOM_STORE_ID/dicomWeb/studies/1.3.6.1.4.1.11129.5.1.201854290391432893460946240745559593763/series/1.3.6.1.4.1.11129.5.1.303327499491957026103380014864616068710/instances/1.3.6.1.4.1.11129.5.1.97415866390999888717168863957686758029/metadata"PowerShell
Jalankan perintah berikut:
$cred = gcloud auth print-access-token
$headers = @{ "Authorization" = "Bearer $cred" }
Invoke-WebRequest `
-Method GET `
-Headers $headers `
-Uri "https://healthcare.googleapis.com/v1/projects/PROJECT_ID/locations/LOCATION/datasets/DESTINATION_DATASET_ID/dicomStores/DESTINATION_DICOM_STORE_ID/dicomWeb/studies/1.3.6.1.4.1.11129.5.1.201854290391432893460946240745559593763/series/1.3.6.1.4.1.11129.5.1.303327499491957026103380014864616068710/instances/1.3.6.1.4.1.11129.5.1.97415866390999888717168863957686758029/metadata" | Select-Object -Expand ContentAPIs Explorer
Buka halaman referensi metode. Panel APIs Explorer terbuka di sisi kanan halaman. Anda bisa berinteraksi dengan alat ini untuk mengirim permintaan. Lengkapi kolom yang wajib diisi, lalu klik Jalankan.
Output menunjukkan bahwa nama belakang di ReferringPhysicianName
(00080090) dan PatientName (00100010) telah diganti dengan
tanda bintang. Hal ini berbeda dengan contoh dalam Konfigurasi default,
di mana nilai ini diubah menggunakan hashing kriptografi.
DateShiftConfig
Cloud Healthcare API dapat mengubah tanggal dengan menggesernya dalam rentang preset. Untuk menjaga konsistensi transformasi tanggal di seluruh proses penghapusan identitas, gunakan DateShiftConfig dengan salah satu opsi berikut:
- (Tidak digunakan lagi): Kunci berenkode base64 AES 128/192/256-bit mentah.
- (Direkomendasikan): Kunci yang digabungkan Cloud Key Management Service (Cloud KMS). Lihat Melakukan de-identifikasi dan mengidentifikasi ulang teks sensitif untuk mengetahui contoh cara menggunakan kunci gabungan Cloud KMS.
Anda harus memberikan peran dengan izin cloudkms.cryptoKeyVersions.useToDecrypt
ke akun layanan Agen Layanan Cloud Healthcare
untuk mendekripsi kunci yang di-wrap Cloud KMS. Sebaiknya gunakan peran
Cloud KMS CryptoKey Decrypter (roles/cloudkms.cryptoKeyDecrypter).
Saat Anda menggunakan Cloud KMS untuk operasi kriptografi, biaya akan dikenakan. Lihat
Harga Cloud Key Management Service untuk mengetahui informasi selengkapnya.
Cloud Healthcare API menggunakan kunci ini untuk menghitung jumlah pergeseran tanggal, seperti tanggal lahir pasien, dalam selisih 100 hari.
Jika Anda tidak memberikan kunci, Cloud Healthcare API akan membuat kuncinya sendiri setiap kali operasi de-identifikasi berjalan pada nilai tanggal. Hal ini dapat menyebabkan output tanggal antar-operasi berjalan tidak konsisten.
Contoh berikut menunjukkan cara menyetel infoType DATE dan DATE_OF_BIRTH dengan transformasi DateShiftConfig pada instance DICOM. Setelah mengirim permintaan penghapusan identitas ke Cloud Healthcare API, nilai tanggal dalam instance akan bergeser dalam rentang plus atau minus 100 hari dari nilai aslinya.
Kunci kripto yang disediakan, U2FsdGVkX19bS2oZsdbK9X5zi2utBn22uY+I2Vo0zOU=, adalah kunci berenkode base64 256-bit yang dienkripsi AES mentah dan dibuat menggunakan perintah berikut. Saat diminta, sandi kosong akan diberikan ke perintah:
echo -n "test" | openssl enc -e -aes-256-ofb -a -salt
Setelah mengirimkan gambar ke Cloud Healthcare API menggunakan transformasi
dateShiftConfig, gambar akan muncul sebagai berikut:

REST
Lakukan de-identifikasi set data.
Sebelum menggunakan salah satu data permintaan, lakukan penggantian berikut:
- PROJECT_ID: ID Google Cloud project Anda
- LOCATION: lokasi set data
- SOURCE_DATASET_ID: ID set data yang berisi data yang akan dianonimkan
- DESTINATION_DATASET_ID: ID set data tujuan tempat data yang tidak diidentifikasi ditulis
Meminta isi JSON:
{ "destinationDataset": "projects/PROJECT_ID/locations/LOCATION/datasets/DESTINATION_DATASET_ID", "config": { "dicom": { "filterProfile": "DEIDENTIFY_TAG_CONTENTS" }, "text": { "transformations": [ { "infoTypes": [ "DATE", "DATE_OF_BIRTH" ], "dateShiftConfig": { "cryptoKey": "U2FsdGVkX19bS2oZsdbK9X5zi2utBn22uY+I2Vo0zOU=" } } ] } } }Untuk mengirim permintaan Anda, pilih salah satu opsi berikut:
Output-nya adalah sebagai berikut. Respons berisi ID untuk operasi yang berjalan lama. Operasi yang berjalan lama ditampilkan saat panggilan metode mungkin memerlukan waktu yang cukup lama untuk diselesaikan. Catat nilai OPERATION_ID. Anda memerlukan nilai ini pada langkah berikutnya.curl
Simpan isi permintaan dalam file bernama
request.json. Jalankan perintah berikut di terminal untuk membuat atau menimpa file ini di direktori saat ini:cat > request.json << 'EOF' { "destinationDataset": "projects/PROJECT_ID/locations/LOCATION/datasets/DESTINATION_DATASET_ID", "config": { "dicom": { "filterProfile": "DEIDENTIFY_TAG_CONTENTS" }, "text": { "transformations": [ { "infoTypes": [ "DATE", "DATE_OF_BIRTH" ], "dateShiftConfig": { "cryptoKey": "U2FsdGVkX19bS2oZsdbK9X5zi2utBn22uY+I2Vo0zOU=" } } ] } } } EOFKemudian, jalankan perintah berikut untuk mengirim permintaan REST Anda:
curl -X POST \
-H "Authorization: Bearer $(gcloud auth print-access-token)" \
-H "Content-Type: application/json; charset=utf-8" \
-d @request.json \
"https://healthcare.googleapis.com/v1/projects/PROJECT_ID/locations/LOCATION/datasets/SOURCE_DATASET_ID:deidentify"PowerShell
Simpan isi permintaan dalam file bernama
request.json. Jalankan perintah berikut di terminal untuk membuat atau menimpa file ini di direktori saat ini:@' { "destinationDataset": "projects/PROJECT_ID/locations/LOCATION/datasets/DESTINATION_DATASET_ID", "config": { "dicom": { "filterProfile": "DEIDENTIFY_TAG_CONTENTS" }, "text": { "transformations": [ { "infoTypes": [ "DATE", "DATE_OF_BIRTH" ], "dateShiftConfig": { "cryptoKey": "U2FsdGVkX19bS2oZsdbK9X5zi2utBn22uY+I2Vo0zOU=" } } ] } } } '@ | Out-File -FilePath request.json -Encoding utf8Kemudian jalankan perintah berikut untuk mengirim permintaan REST Anda:
$cred = gcloud auth print-access-token
$headers = @{ "Authorization" = "Bearer $cred" }
Invoke-WebRequest `
-Method POST `
-Headers $headers `
-ContentType: "application/json; charset=utf-8" `
-InFile request.json `
-Uri "https://healthcare.googleapis.com/v1/projects/PROJECT_ID/locations/LOCATION/datasets/SOURCE_DATASET_ID:deidentify" | Select-Object -Expand Content- Gunakan metode
projects.locations.datasets.operations.getuntuk mendapatkan status operasi yang berjalan lama.
Sebelum menggunakan salah satu data permintaan, lakukan penggantian berikut:
- PROJECT_ID: ID Google Cloud project Anda
- DATASET_ID: ID set data
- LOCATION: lokasi set data
- OPERATION_ID: ID yang ditampilkan dari operasi yang berjalan lama
Untuk mengirim permintaan Anda, pilih salah satu opsi berikut:
Output-nya adalah sebagai berikut. Jika respons berisicurl
Jalankan perintah berikut:
curl -X GET \
-H "Authorization: Bearer $(gcloud auth print-access-token)" \
"https://healthcare.googleapis.com/v1/projects/PROJECT_ID/locations/LOCATION/datasets/DATASET_ID/operations/OPERATION_ID"PowerShell
Jalankan perintah berikut:
$cred = gcloud auth print-access-token
$headers = @{ "Authorization" = "Bearer $cred" }
Invoke-WebRequest `
-Method GET `
-Headers $headers `
-Uri "https://healthcare.googleapis.com/v1/projects/PROJECT_ID/locations/LOCATION/datasets/DATASET_ID/operations/OPERATION_ID" | Select-Object -Expand ContentAPIs Explorer
Buka halaman referensi metode. Panel APIs Explorer terbuka di sisi kanan halaman. Anda bisa berinteraksi dengan alat ini untuk mengirim permintaan. Lengkapi kolom yang wajib diisi, lalu klik Jalankan.
"done": true, berarti operasi yang berjalan lama telah selesai. - Setelah proses penghapusan identitas berhasil, Anda dapat mengambil metadata untuk instance yang identitasnya dihapus untuk melihat perubahannya. Instance yang di-de-identifikasi
memiliki UID studi, UID rangkaian, dan UID instance baru, jadi Anda harus
menelusuri set data baru untuk menemukan instance yang di-de-identifikasi terlebih dahulu.
Sebelum menggunakan salah satu data permintaan, lakukan penggantian berikut:
- PROJECT_ID: ID Google Cloud project Anda
- SOURCE_DATASET_LOCATION: lokasi set data sumber
- DESTINATION_DATASET_ID: ID set data tujuan tempat data yang tidak diidentifikasi ditulis
- DESTINATION_DICOM_STORE_ID: ID penyimpanan DICOM di set data tujuan. Ini sama dengan ID penyimpanan DICOM dalam set data sumber.
Untuk mengirim permintaan Anda, pilih salah satu opsi berikut:
curl
Jalankan perintah berikut:
curl -X GET \
-H "Authorization: Bearer $(gcloud auth print-access-token)" \
"https://healthcare.googleapis.com/v1/projects/PROJECT_ID/locations/SOURCE_DATASET_LOCATION/datasets/DESTINATION_DATASET_ID/dicomStores/DESTINATION_DICOM_STORE_ID/dicomWeb/instances"PowerShell
Jalankan perintah berikut:
$cred = gcloud auth print-access-token
$headers = @{ "Authorization" = "Bearer $cred" }
Invoke-WebRequest `
-Method GET `
-Headers $headers `
-Uri "https://healthcare.googleapis.com/v1/projects/PROJECT_ID/locations/SOURCE_DATASET_LOCATION/datasets/DESTINATION_DATASET_ID/dicomStores/DESTINATION_DICOM_STORE_ID/dicomWeb/instances" | Select-Object -Expand ContentAPIs Explorer
Buka halaman referensi metode. Panel APIs Explorer terbuka di sisi kanan halaman. Anda bisa berinteraksi dengan alat ini untuk mengirim permintaan. Lengkapi kolom yang wajib diisi, lalu klik Jalankan.
Anda akan melihat respons JSON seperti berikut:
Dengan menggunakan nilai baru, ambil metadata untuk instance.
Sebelum menggunakan salah satu data permintaan, lakukan penggantian berikut:
- PROJECT_ID: ID Google Cloud project Anda
- LOCATION: lokasi set data
- DESTINATION_DATASET_ID: ID set data tujuan tempat data yang tidak diidentifikasi ditulis
- DESTINATION_DICOM_STORE_ID: ID penyimpanan DICOM di set data tujuan. Ini sama dengan ID penyimpanan DICOM dalam set data sumber.
Untuk mengirim permintaan Anda, pilih salah satu opsi berikut:
Output-nya berisi metadata baru. Anda dapat membandingkan metadata baru dengan metadata asli untuk melihat efek transformasi.curl
Jalankan perintah berikut:
curl -X GET \
-H "Authorization: Bearer $(gcloud auth print-access-token)" \
"https://healthcare.googleapis.com/v1/projects/PROJECT_ID/locations/LOCATION/datasets/DESTINATION_DATASET_ID/dicomStores/DESTINATION_DICOM_STORE_ID/dicomWeb/studies/1.3.6.1.4.1.11129.5.1.201854290391432893460946240745559593763/series/1.3.6.1.4.1.11129.5.1.303327499491957026103380014864616068710/instances/1.3.6.1.4.1.11129.5.1.97415866390999888717168863957686758029/metadata"PowerShell
Jalankan perintah berikut:
$cred = gcloud auth print-access-token
$headers = @{ "Authorization" = "Bearer $cred" }
Invoke-WebRequest `
-Method GET `
-Headers $headers `
-Uri "https://healthcare.googleapis.com/v1/projects/PROJECT_ID/locations/LOCATION/datasets/DESTINATION_DATASET_ID/dicomStores/DESTINATION_DICOM_STORE_ID/dicomWeb/studies/1.3.6.1.4.1.11129.5.1.201854290391432893460946240745559593763/series/1.3.6.1.4.1.11129.5.1.303327499491957026103380014864616068710/instances/1.3.6.1.4.1.11129.5.1.97415866390999888717168863957686758029/metadata" | Select-Object -Expand ContentAPIs Explorer
Buka halaman referensi metode. Panel APIs Explorer terbuka di sisi kanan halaman. Anda bisa berinteraksi dengan alat ini untuk mengirim permintaan. Lengkapi kolom yang wajib diisi, lalu klik Jalankan.
Output menunjukkan bahwa StudyDate (00080020) dan PatientBirthDate
(00100030) memiliki nilai baru. Transformasi ini terjadi sebagai akibat dari penggabungan diferensial 100 hari dengan nilai cryptoKey yang diberikan. Nilai tanggal baru konsisten untuk instance ini di antara proses penghapusan identitas selama cryptoKey yang sama diberikan.
CryptoHashConfig
Anda dapat mengosongkan cryptoHashConfig, atau Anda dapat memberikannya dengan:
- (Tidak digunakan lagi): Kunci berenkode base64 AES 128/192/256-bit mentah.
- (Direkomendasikan): Kunci yang digabungkan Cloud Key Management Service (Cloud KMS). Lihat Melakukan de-identifikasi dan mengidentifikasi ulang teks sensitif untuk mengetahui contoh cara menggunakan kunci gabungan Cloud KMS.
Anda harus memberikan peran dengan izin cloudkms.cryptoKeyVersions.useToDecrypt
ke akun layanan Agen Layanan Cloud Healthcare
untuk mendekripsi kunci yang di-wrap Cloud KMS. Sebaiknya gunakan peran
Cloud KMS CryptoKey Decrypter (roles/cloudkms.cryptoKeyDecrypter).
Saat Anda menggunakan Cloud KMS untuk operasi kriptografi, biaya akan dikenakan. Lihat
Harga Cloud Key Management Service untuk mengetahui informasi selengkapnya.
Cloud Healthcare API dapat mentransformasi data dengan mengganti nilai dengan
hash kriptografi (juga disebut nilai pengganti). Untuk melakukannya, tentukan pesan
cryptoHashConfig.
Jika Anda tidak memberikan kunci, Cloud Healthcare API akan membuat kunci. Cloud Healthcare API menggunakan kunci ini untuk membuat nilai pengganti. Jika Anda memberikan kunci yang sama untuk setiap proses, Cloud Healthcare API akan menghasilkan nilai pengganti yang konsisten. Jika Anda tidak memberikan kunci, Cloud Healthcare API akan membuat kunci baru setiap kali operasi berjalan. Menggunakan kunci yang berbeda akan menghasilkan nilai pengganti yang berbeda.
Contoh berikut menunjukkan cara menerapkan transformasi cryptoHashConfig ke semua
infoType DICOM default yang didukung di
Cloud Healthcare API. Setelah mengirim permintaan de-identifikasi, nilai dengan infoType DICOM yang sesuai di Cloud Healthcare API akan diganti dengan nilai pengganti.
Contoh ini juga menunjukkan cara memberikan kunci kripto untuk menghasilkan nilai pengganti yang konsisten di antara proses de-identifikasi.
Kunci kripto yang disediakan, U2FsdGVkX19bS2oZsdbK9X5zi2utBn22uY+I2Vo0zOU=, adalah kunci berenkode base64 256-bit yang dienkripsi AES mentah dan dibuat menggunakan perintah berikut. Saat diminta, sandi kosong akan diberikan ke perintah:
echo -n "test" | openssl enc -e -aes-256-ofb -a -salt
Setelah mengirimkan gambar ke Cloud Healthcare API menggunakan transformasi
cryptoHashConfig, gambar akan muncul sebagai berikut:

REST
Lakukan de-identifikasi set data.
Sebelum menggunakan salah satu data permintaan, lakukan penggantian berikut:
- PROJECT_ID: ID Google Cloud project Anda
- LOCATION: lokasi set data
- SOURCE_DATASET_ID: ID set data yang berisi data yang akan dianonimkan
- DESTINATION_DATASET_ID: ID set data tujuan tempat data yang tidak diidentifikasi ditulis
Meminta isi JSON:
{ "destinationDataset": "projects/PROJECT_ID/locations/LOCATION/datasets/DESTINATION_DATASET_ID", "config": { "dicom": { "filterProfile": "DEIDENTIFY_TAG_CONTENTS" }, "text": { "transformations": [ { "infoTypes": [], "cryptoHashConfig": { "cryptoKey": "U2FsdGVkX19bS2oZsdbK9X5zi2utBn22uY+I2Vo0zOU=" } } ] } } }Untuk mengirim permintaan Anda, pilih salah satu opsi berikut:
Output-nya adalah sebagai berikut. Respons berisi ID untuk operasi yang berjalan lama. Operasi yang berjalan lama ditampilkan saat panggilan metode mungkin memerlukan waktu yang cukup lama untuk diselesaikan. Catat nilai OPERATION_ID. Anda memerlukan nilai ini pada langkah berikutnya.curl
Simpan isi permintaan dalam file bernama
request.json. Jalankan perintah berikut di terminal untuk membuat atau menimpa file ini di direktori saat ini:cat > request.json << 'EOF' { "destinationDataset": "projects/PROJECT_ID/locations/LOCATION/datasets/DESTINATION_DATASET_ID", "config": { "dicom": { "filterProfile": "DEIDENTIFY_TAG_CONTENTS" }, "text": { "transformations": [ { "infoTypes": [], "cryptoHashConfig": { "cryptoKey": "U2FsdGVkX19bS2oZsdbK9X5zi2utBn22uY+I2Vo0zOU=" } } ] } } } EOFKemudian, jalankan perintah berikut untuk mengirim permintaan REST Anda:
curl -X POST \
-H "Authorization: Bearer $(gcloud auth print-access-token)" \
-H "Content-Type: application/json; charset=utf-8" \
-d @request.json \
"https://healthcare.googleapis.com/v1/projects/PROJECT_ID/locations/LOCATION/datasets/SOURCE_DATASET_ID:deidentify"PowerShell
Simpan isi permintaan dalam file bernama
request.json. Jalankan perintah berikut di terminal untuk membuat atau menimpa file ini di direktori saat ini:@' { "destinationDataset": "projects/PROJECT_ID/locations/LOCATION/datasets/DESTINATION_DATASET_ID", "config": { "dicom": { "filterProfile": "DEIDENTIFY_TAG_CONTENTS" }, "text": { "transformations": [ { "infoTypes": [], "cryptoHashConfig": { "cryptoKey": "U2FsdGVkX19bS2oZsdbK9X5zi2utBn22uY+I2Vo0zOU=" } } ] } } } '@ | Out-File -FilePath request.json -Encoding utf8Kemudian jalankan perintah berikut untuk mengirim permintaan REST Anda:
$cred = gcloud auth print-access-token
$headers = @{ "Authorization" = "Bearer $cred" }
Invoke-WebRequest `
-Method POST `
-Headers $headers `
-ContentType: "application/json; charset=utf-8" `
-InFile request.json `
-Uri "https://healthcare.googleapis.com/v1/projects/PROJECT_ID/locations/LOCATION/datasets/SOURCE_DATASET_ID:deidentify" | Select-Object -Expand Content- Gunakan metode
projects.locations.datasets.operations.getuntuk mendapatkan status operasi yang berjalan lama.
Sebelum menggunakan salah satu data permintaan, lakukan penggantian berikut:
- PROJECT_ID: ID Google Cloud project Anda
- DATASET_ID: ID set data
- LOCATION: lokasi set data
- OPERATION_ID: ID yang ditampilkan dari operasi yang berjalan lama
Untuk mengirim permintaan Anda, pilih salah satu opsi berikut:
Output-nya adalah sebagai berikut. Jika respons berisicurl
Jalankan perintah berikut:
curl -X GET \
-H "Authorization: Bearer $(gcloud auth print-access-token)" \
"https://healthcare.googleapis.com/v1/projects/PROJECT_ID/locations/LOCATION/datasets/DATASET_ID/operations/OPERATION_ID"PowerShell
Jalankan perintah berikut:
$cred = gcloud auth print-access-token
$headers = @{ "Authorization" = "Bearer $cred" }
Invoke-WebRequest `
-Method GET `
-Headers $headers `
-Uri "https://healthcare.googleapis.com/v1/projects/PROJECT_ID/locations/LOCATION/datasets/DATASET_ID/operations/OPERATION_ID" | Select-Object -Expand ContentAPIs Explorer
Buka halaman referensi metode. Panel APIs Explorer terbuka di sisi kanan halaman. Anda bisa berinteraksi dengan alat ini untuk mengirim permintaan. Lengkapi kolom yang wajib diisi, lalu klik Jalankan.
"done": true, berarti operasi yang berjalan lama telah selesai. - Setelah proses penghapusan identitas berhasil, Anda dapat mengambil metadata untuk instance yang identitasnya dihapus untuk melihat perubahannya. Instance yang di-de-identifikasi
memiliki UID studi, UID rangkaian, dan UID instance baru, jadi Anda harus
menelusuri set data baru untuk menemukan instance yang di-de-identifikasi terlebih dahulu.
Sebelum menggunakan salah satu data permintaan, lakukan penggantian berikut:
- PROJECT_ID: ID Google Cloud project Anda
- SOURCE_DATASET_LOCATION: lokasi set data sumber
- DESTINATION_DATASET_ID: ID set data tujuan tempat data yang tidak diidentifikasi ditulis
- DESTINATION_DICOM_STORE_ID: ID penyimpanan DICOM di set data tujuan. Ini sama dengan ID penyimpanan DICOM dalam set data sumber.
Untuk mengirim permintaan Anda, pilih salah satu opsi berikut:
curl
Jalankan perintah berikut:
curl -X GET \
-H "Authorization: Bearer $(gcloud auth print-access-token)" \
"https://healthcare.googleapis.com/v1/projects/PROJECT_ID/locations/SOURCE_DATASET_LOCATION/datasets/DESTINATION_DATASET_ID/dicomStores/DESTINATION_DICOM_STORE_ID/dicomWeb/instances"PowerShell
Jalankan perintah berikut:
$cred = gcloud auth print-access-token
$headers = @{ "Authorization" = "Bearer $cred" }
Invoke-WebRequest `
-Method GET `
-Headers $headers `
-Uri "https://healthcare.googleapis.com/v1/projects/PROJECT_ID/locations/SOURCE_DATASET_LOCATION/datasets/DESTINATION_DATASET_ID/dicomStores/DESTINATION_DICOM_STORE_ID/dicomWeb/instances" | Select-Object -Expand ContentAPIs Explorer
Buka halaman referensi metode. Panel APIs Explorer terbuka di sisi kanan halaman. Anda bisa berinteraksi dengan alat ini untuk mengirim permintaan. Lengkapi kolom yang wajib diisi, lalu klik Jalankan.
Anda akan melihat respons JSON seperti berikut:
Dengan menggunakan nilai baru, ambil metadata untuk instance.
Sebelum menggunakan salah satu data permintaan, lakukan penggantian berikut:
- PROJECT_ID: ID Google Cloud project Anda
- LOCATION: lokasi set data
- DESTINATION_DATASET_ID: ID set data tujuan tempat data yang tidak diidentifikasi ditulis
- DESTINATION_DICOM_STORE_ID: ID penyimpanan DICOM di set data tujuan. Ini sama dengan ID penyimpanan DICOM dalam set data sumber.
Untuk mengirim permintaan Anda, pilih salah satu opsi berikut:
Output-nya berisi metadata baru. Anda dapat membandingkan metadata baru dengan metadata asli untuk melihat efek transformasi.curl
Jalankan perintah berikut:
curl -X GET \
-H "Authorization: Bearer $(gcloud auth print-access-token)" \
"https://healthcare.googleapis.com/v1/projects/PROJECT_ID/locations/LOCATION/datasets/DESTINATION_DATASET_ID/dicomStores/DESTINATION_DICOM_STORE_ID/dicomWeb/studies/1.3.6.1.4.1.11129.5.1.201854290391432893460946240745559593763/series/1.3.6.1.4.1.11129.5.1.303327499491957026103380014864616068710/instances/1.3.6.1.4.1.11129.5.1.97415866390999888717168863957686758029/metadata"PowerShell
Jalankan perintah berikut:
$cred = gcloud auth print-access-token
$headers = @{ "Authorization" = "Bearer $cred" }
Invoke-WebRequest `
-Method GET `
-Headers $headers `
-Uri "https://healthcare.googleapis.com/v1/projects/PROJECT_ID/locations/LOCATION/datasets/DESTINATION_DATASET_ID/dicomStores/DESTINATION_DICOM_STORE_ID/dicomWeb/studies/1.3.6.1.4.1.11129.5.1.201854290391432893460946240745559593763/series/1.3.6.1.4.1.11129.5.1.303327499491957026103380014864616068710/instances/1.3.6.1.4.1.11129.5.1.97415866390999888717168863957686758029/metadata" | Select-Object -Expand ContentAPIs Explorer
Buka halaman referensi metode. Panel APIs Explorer terbuka di sisi kanan halaman. Anda bisa berinteraksi dengan alat ini untuk mengirim permintaan. Lengkapi kolom yang wajib diisi, lalu klik Jalankan.
Transformasi dalam output konsisten untuk instance ini
di antara proses de-identifikasi selama cryptoKey yang sama diberikan.
ReplaceWithInfoTypeConfig
Menentukan replaceWithInfoTypeConfig akan mengganti nilai input dengan nama infoType nilai.
Contoh berikut menunjukkan cara menerapkan transformasi replaceWithInfoTypeConfig ke semua infoType DICOM default yang didukung di Cloud Healthcare API.
Pesan replaceWithInfoTypeConfig tidak memiliki argumen; menentukannya akan mengaktifkan transformasi.
Setelah mengirimkan gambar ke Cloud Healthcare API menggunakan transformasi
replaceWithInfoTypeConfig, gambar akan muncul sebagai berikut:

REST
Lakukan de-identifikasi set data.
Sebelum menggunakan salah satu data permintaan, lakukan penggantian berikut:
- PROJECT_ID: ID Google Cloud project Anda
- LOCATION: lokasi set data
- SOURCE_DATASET_ID: ID set data yang berisi data yang akan dianonimkan
- DESTINATION_DATASET_ID: ID set data tujuan tempat data yang tidak diidentifikasi ditulis
Meminta isi JSON:
{ "destinationDataset": "projects/PROJECT_ID/locations/LOCATION/datasets/DESTINATION_DATASET_ID", "config": { "dicom": { "filterProfile": "DEIDENTIFY_TAG_CONTENTS" }, "text": { "transformations": [ { "infoTypes": [], "replaceWithInfoTypeConfig": {} } ] } } }Untuk mengirim permintaan Anda, pilih salah satu opsi berikut:
Output-nya adalah sebagai berikut. Respons berisi ID untuk operasi yang berjalan lama. Operasi yang berjalan lama ditampilkan saat panggilan metode mungkin memerlukan waktu yang cukup lama untuk diselesaikan. Catat nilai OPERATION_ID. Anda memerlukan nilai ini pada langkah berikutnya.curl
Simpan isi permintaan dalam file bernama
request.json. Jalankan perintah berikut di terminal untuk membuat atau menimpa file ini di direktori saat ini:cat > request.json << 'EOF' { "destinationDataset": "projects/PROJECT_ID/locations/LOCATION/datasets/DESTINATION_DATASET_ID", "config": { "dicom": { "filterProfile": "DEIDENTIFY_TAG_CONTENTS" }, "text": { "transformations": [ { "infoTypes": [], "replaceWithInfoTypeConfig": {} } ] } } } EOFKemudian, jalankan perintah berikut untuk mengirim permintaan REST Anda:
curl -X POST \
-H "Authorization: Bearer $(gcloud auth print-access-token)" \
-H "Content-Type: application/json; charset=utf-8" \
-d @request.json \
"https://healthcare.googleapis.com/v1/projects/PROJECT_ID/locations/LOCATION/datasets/SOURCE_DATASET_ID:deidentify"PowerShell
Simpan isi permintaan dalam file bernama
request.json. Jalankan perintah berikut di terminal untuk membuat atau menimpa file ini di direktori saat ini:@' { "destinationDataset": "projects/PROJECT_ID/locations/LOCATION/datasets/DESTINATION_DATASET_ID", "config": { "dicom": { "filterProfile": "DEIDENTIFY_TAG_CONTENTS" }, "text": { "transformations": [ { "infoTypes": [], "replaceWithInfoTypeConfig": {} } ] } } } '@ | Out-File -FilePath request.json -Encoding utf8Kemudian jalankan perintah berikut untuk mengirim permintaan REST Anda:
$cred = gcloud auth print-access-token
$headers = @{ "Authorization" = "Bearer $cred" }
Invoke-WebRequest `
-Method POST `
-Headers $headers `
-ContentType: "application/json; charset=utf-8" `
-InFile request.json `
-Uri "https://healthcare.googleapis.com/v1/projects/PROJECT_ID/locations/LOCATION/datasets/SOURCE_DATASET_ID:deidentify" | Select-Object -Expand Content- Gunakan metode
projects.locations.datasets.operations.getuntuk mendapatkan status operasi yang berjalan lama.
Sebelum menggunakan salah satu data permintaan, lakukan penggantian berikut:
- PROJECT_ID: ID Google Cloud project Anda
- DATASET_ID: ID set data
- LOCATION: lokasi set data
- OPERATION_ID: ID yang ditampilkan dari operasi yang berjalan lama
Untuk mengirim permintaan Anda, pilih salah satu opsi berikut:
Output-nya adalah sebagai berikut. Jika respons berisicurl
Jalankan perintah berikut:
curl -X GET \
-H "Authorization: Bearer $(gcloud auth print-access-token)" \
"https://healthcare.googleapis.com/v1/projects/PROJECT_ID/locations/LOCATION/datasets/DATASET_ID/operations/OPERATION_ID"PowerShell
Jalankan perintah berikut:
$cred = gcloud auth print-access-token
$headers = @{ "Authorization" = "Bearer $cred" }
Invoke-WebRequest `
-Method GET `
-Headers $headers `
-Uri "https://healthcare.googleapis.com/v1/projects/PROJECT_ID/locations/LOCATION/datasets/DATASET_ID/operations/OPERATION_ID" | Select-Object -Expand ContentAPIs Explorer
Buka halaman referensi metode. Panel APIs Explorer terbuka di sisi kanan halaman. Anda bisa berinteraksi dengan alat ini untuk mengirim permintaan. Lengkapi kolom yang wajib diisi, lalu klik Jalankan.
"done": true, berarti operasi yang berjalan lama telah selesai. - Setelah proses penghapusan identitas berhasil, Anda dapat mengambil metadata untuk instance yang identitasnya dihapus untuk melihat perubahannya. Instance yang di-de-identifikasi
memiliki UID studi, UID rangkaian, dan UID instance baru, jadi Anda harus
menelusuri set data baru untuk menemukan instance yang di-de-identifikasi terlebih dahulu.
Sebelum menggunakan salah satu data permintaan, lakukan penggantian berikut:
- PROJECT_ID: ID Google Cloud project Anda
- SOURCE_DATASET_LOCATION: lokasi set data sumber
- DESTINATION_DATASET_ID: ID set data tujuan tempat data yang tidak diidentifikasi ditulis
- DESTINATION_DICOM_STORE_ID: ID penyimpanan DICOM di set data tujuan. Ini sama dengan ID penyimpanan DICOM dalam set data sumber.
Untuk mengirim permintaan Anda, pilih salah satu opsi berikut:
curl
Jalankan perintah berikut:
curl -X GET \
-H "Authorization: Bearer $(gcloud auth print-access-token)" \
"https://healthcare.googleapis.com/v1/projects/PROJECT_ID/locations/SOURCE_DATASET_LOCATION/datasets/DESTINATION_DATASET_ID/dicomStores/DESTINATION_DICOM_STORE_ID/dicomWeb/instances"PowerShell
Jalankan perintah berikut:
$cred = gcloud auth print-access-token
$headers = @{ "Authorization" = "Bearer $cred" }
Invoke-WebRequest `
-Method GET `
-Headers $headers `
-Uri "https://healthcare.googleapis.com/v1/projects/PROJECT_ID/locations/SOURCE_DATASET_LOCATION/datasets/DESTINATION_DATASET_ID/dicomStores/DESTINATION_DICOM_STORE_ID/dicomWeb/instances" | Select-Object -Expand ContentAPIs Explorer
Buka halaman referensi metode. Panel APIs Explorer terbuka di sisi kanan halaman. Anda bisa berinteraksi dengan alat ini untuk mengirim permintaan. Lengkapi kolom yang wajib diisi, lalu klik Jalankan.
Anda akan melihat respons JSON seperti berikut:
Dengan menggunakan nilai baru, ambil metadata untuk instance.
Sebelum menggunakan salah satu data permintaan, lakukan penggantian berikut:
- PROJECT_ID: ID Google Cloud project Anda
- LOCATION: lokasi set data
- DESTINATION_DATASET_ID: ID set data tujuan tempat data yang tidak diidentifikasi ditulis
- DESTINATION_DICOM_STORE_ID: ID penyimpanan DICOM di set data tujuan. Ini sama dengan ID penyimpanan DICOM dalam set data sumber.
Untuk mengirim permintaan Anda, pilih salah satu opsi berikut:
Output-nya berisi metadata baru. Anda dapat membandingkan metadata baru dengan metadata asli untuk melihat efek transformasi.curl
Jalankan perintah berikut:
curl -X GET \
-H "Authorization: Bearer $(gcloud auth print-access-token)" \
"https://healthcare.googleapis.com/v1/projects/PROJECT_ID/locations/LOCATION/datasets/DESTINATION_DATASET_ID/dicomStores/DESTINATION_DICOM_STORE_ID/dicomWeb/studies/1.3.6.1.4.1.11129.5.1.201854290391432893460946240745559593763/series/1.3.6.1.4.1.11129.5.1.303327499491957026103380014864616068710/instances/1.3.6.1.4.1.11129.5.1.97415866390999888717168863957686758029/metadata"PowerShell
Jalankan perintah berikut:
$cred = gcloud auth print-access-token
$headers = @{ "Authorization" = "Bearer $cred" }
Invoke-WebRequest `
-Method GET `
-Headers $headers `
-Uri "https://healthcare.googleapis.com/v1/projects/PROJECT_ID/locations/LOCATION/datasets/DESTINATION_DATASET_ID/dicomStores/DESTINATION_DICOM_STORE_ID/dicomWeb/studies/1.3.6.1.4.1.11129.5.1.201854290391432893460946240745559593763/series/1.3.6.1.4.1.11129.5.1.303327499491957026103380014864616068710/instances/1.3.6.1.4.1.11129.5.1.97415866390999888717168863957686758029/metadata" | Select-Object -Expand ContentAPIs Explorer
Buka halaman referensi metode. Panel APIs Explorer terbuka di sisi kanan halaman. Anda bisa berinteraksi dengan alat ini untuk mengirim permintaan. Lengkapi kolom yang wajib diisi, lalu klik Jalankan.
Melakukan de-identifikasi data di tingkat penyimpanan DICOM
Contoh sebelumnya menunjukkan cara melakukan de-identifikasi data DICOM di tingkat set data. Bagian ini menjelaskan cara melakukan de-identifikasi data di tingkat penyimpanan DICOM.
Untuk mengubah permintaan de-identifikasi set data menjadi permintaan de-identifikasi penyimpanan DICOM, lakukan perubahan berikut:
- Ubah
destinationDatasetdi isi permintaan menjadidestinationStore - Tambahkan
dicomStores/DESTINATION_DICOM_STORE_IDdi akhir nilai dalamdestinationStoresaat menentukan tujuan - Tambahkan
dicomStores/SOURCE_DICOM_STORE_IDsaat menentukan lokasi data sumber
Contoh:
De-identifikasi tingkat set data:
"destinationDataset": "projects/PROJECT_ID/locations/LOCATION/datasets/DESTINATION_DATASET_ID" ... "https://healthcare.googleapis.com/v1/projects/PROJECT_ID/locations/LOCATION/datasets/SOURCE_DATASET_ID:deidentify"
De-identifikasi tingkat penyimpanan DICOM:
"destinationStore": "projects/PROJECT_ID/locations/LOCATION/datasets/DESTINATION_DATASET_ID/dicomStores/DESTINATION_DICOM_STORE_ID" ... "https://healthcare.googleapis.com/v1/projects/PROJECT_ID/locations/LOCATION/datasets/SOURCE_DATASET_ID/dicomStores/SOURCE_DICOM_STORE_ID:deidentify"
Contoh berikut memperluas Menggabungkan de-identifikasi tag dan penyuntingan teks sisipan, tetapi de-identifikasi terjadi pada satu penyimpanan DICOM dan data yang telah di-identifikasi disalin ke penyimpanan DICOM baru. Sebelum menjalankan contoh, penyimpanan DICOM yang dirujuk oleh DESTINATION_DICOM_STORE_ID harus sudah ada.
Konsol
Untuk melakukan de-identifikasi data di penyimpanan DICOM menggunakan konsol Google Cloud , selesaikan langkah-langkah berikut.
Di konsol Google Cloud , buka halaman Datasets.
Klik set data yang berisi data yang ingin Anda de-identifikasi.
Dalam daftar penyimpanan DICOM, pilih De-identifikasi dari daftar Tindakan untuk penyimpanan DICOM yang Anda de-identifikasi.
Halaman De-identifikasi penyimpanan DICOM akan ditampilkan.
Pilih Setel penyimpanan data tujuan, lalu pilih set data dan penyimpanan DICOM tempat data yang di-de-identifikasi disimpan.
Pilih De-identifikasi tag DICOM untuk mengonfigurasi cara data dide-identifikasi. Data dapat dianonimkan sebagai berikut:
KEEP_ALL_PROFILE: Pertahankan semua tag meta DICOMDEIDENTIFY_TAG_CONTENTS: Melakukan de-identifikasi data dalam tag metaATTRIBUTE_CONFIDENTIALITY_BASIC_PROFILE: Menghapus tag meta sesuai dengan profil dasar dalam standar DICOMMINIMAL_KEEP_LIST_PROFILE: Hanya menyimpan tag meta yang diperlukan untuk objek DICOM yang valid- Lewati Penyuntingan ID: Membuat ulang kolom UID sebagaimana ditentukan oleh standar DICOM
Pilih Penyuntingan teks sisipan DICOM untuk mengonfigurasi cara penyuntingan gambar dilakukan selama de-identifikasi. Anda dapat mengonfigurasi penyamaran gambar sebagai berikut:
REDACT_NO_TEXT: Jangan menyamarkan teks dalam gambarREDACT_SENSITIVE_TEXT: Menyunting hanya teks sensitif dalam gambarREDACT_ALL_TEXT: Menyamarkan semua teks dalam gambar
Klik De-identify untuk melakukan de-identifikasi data di penyimpanan DICOM.
REST
Lakukan de-identifikasi set data.
Sebelum menggunakan salah satu data permintaan, lakukan penggantian berikut:
- PROJECT_ID: ID Google Cloud project Anda
- LOCATION: lokasi set data
- SOURCE_DATASET_ID: ID set data yang berisi data yang akan dianonimkan
- DESTINATION_DATASET_ID: ID set data tujuan tempat data yang tidak diidentifikasi ditulis
- SOURCE_DICOM_STORE_ID: ID penyimpanan DICOM yang berisi data yang akan di-de-identifikasi
- DESTINATION_DICOM_STORE_ID: ID penyimpanan DICOM di set data tujuan
Meminta isi JSON:
{ "destinationStore": "projects/PROJECT_ID/locations/LOCATION/datasets/DESTINATION_DATASET_ID/dicomStores/DESTINATION_DICOM_STORE_ID", "config": { "dicom": { "filterProfile": "DEIDENTIFY_TAG_CONTENTS" }, "image": { "textRedactionMode": "REDACT_ALL_TEXT" } } }Untuk mengirim permintaan Anda, pilih salah satu opsi berikut:
Output-nya adalah sebagai berikut. Respons berisi ID untuk operasi yang berjalan lama. Operasi yang berjalan lama ditampilkan saat panggilan metode mungkin memerlukan waktu yang cukup lama untuk diselesaikan. Catat nilai OPERATION_ID. Anda memerlukan nilai ini pada langkah berikutnya.curl
Simpan isi permintaan dalam file bernama
request.json. Jalankan perintah berikut di terminal untuk membuat atau menimpa file ini di direktori saat ini:cat > request.json << 'EOF' { "destinationStore": "projects/PROJECT_ID/locations/LOCATION/datasets/DESTINATION_DATASET_ID/dicomStores/DESTINATION_DICOM_STORE_ID", "config": { "dicom": { "filterProfile": "DEIDENTIFY_TAG_CONTENTS" }, "image": { "textRedactionMode": "REDACT_ALL_TEXT" } } } EOFKemudian, jalankan perintah berikut untuk mengirim permintaan REST Anda:
curl -X POST \
-H "Authorization: Bearer $(gcloud auth print-access-token)" \
-H "Content-Type: application/json; charset=utf-8" \
-d @request.json \
"https://healthcare.googleapis.com/v1/projects/PROJECT_ID/locations/LOCATION/datasets/SOURCE_DATASET_ID/dicomStores/SOURCE_DICOM_STORE_ID:deidentify"PowerShell
Simpan isi permintaan dalam file bernama
request.json. Jalankan perintah berikut di terminal untuk membuat atau menimpa file ini di direktori saat ini:@' { "destinationStore": "projects/PROJECT_ID/locations/LOCATION/datasets/DESTINATION_DATASET_ID/dicomStores/DESTINATION_DICOM_STORE_ID", "config": { "dicom": { "filterProfile": "DEIDENTIFY_TAG_CONTENTS" }, "image": { "textRedactionMode": "REDACT_ALL_TEXT" } } } '@ | Out-File -FilePath request.json -Encoding utf8Kemudian jalankan perintah berikut untuk mengirim permintaan REST Anda:
$cred = gcloud auth print-access-token
$headers = @{ "Authorization" = "Bearer $cred" }
Invoke-WebRequest `
-Method POST `
-Headers $headers `
-ContentType: "application/json; charset=utf-8" `
-InFile request.json `
-Uri "https://healthcare.googleapis.com/v1/projects/PROJECT_ID/locations/LOCATION/datasets/SOURCE_DATASET_ID/dicomStores/SOURCE_DICOM_STORE_ID:deidentify" | Select-Object -Expand Content- Gunakan metode
projects.locations.datasets.operations.getuntuk mendapatkan status operasi yang berjalan lama.
Sebelum menggunakan salah satu data permintaan, lakukan penggantian berikut:
- PROJECT_ID: ID Google Cloud project Anda
- DATASET_ID: ID set data
- LOCATION: lokasi set data
- OPERATION_ID: ID yang ditampilkan dari operasi yang berjalan lama
Untuk mengirim permintaan Anda, pilih salah satu opsi berikut:
Output-nya adalah sebagai berikut. Jika respons berisicurl
Jalankan perintah berikut:
curl -X GET \
-H "Authorization: Bearer $(gcloud auth print-access-token)" \
"https://healthcare.googleapis.com/v1/projects/PROJECT_ID/locations/LOCATION/datasets/DATASET_ID/operations/OPERATION_ID"PowerShell
Jalankan perintah berikut:
$cred = gcloud auth print-access-token
$headers = @{ "Authorization" = "Bearer $cred" }
Invoke-WebRequest `
-Method GET `
-Headers $headers `
-Uri "https://healthcare.googleapis.com/v1/projects/PROJECT_ID/locations/LOCATION/datasets/DATASET_ID/operations/OPERATION_ID" | Select-Object -Expand ContentAPIs Explorer
Buka halaman referensi metode. Panel APIs Explorer terbuka di sisi kanan halaman. Anda bisa berinteraksi dengan alat ini untuk mengirim permintaan. Lengkapi kolom yang wajib diisi, lalu klik Jalankan.
"done": true, berarti operasi yang berjalan lama telah selesai.
Melakukan de-identifikasi subset penyimpanan DICOM
Anda dapat melakukan de-identifikasi sebagian data dalam penyimpanan DICOM dengan menentukan filter.
Filter berbentuk file filter yang Anda tentukan sebagai nilai untuk
kolom resourcePathsGcsUri dalam objek
DicomFilterConfig. File filter harus ada di bucket Cloud Storage; Anda tidak dapat menentukan file filter yang ada di komputer lokal atau sumber lainnya. Lokasi
file harus dalam format
gs://BUCKET/PATH/TO/FILE.
Membuat file filter
File filter menentukan file DICOM mana yang akan di-de-identifikasi. Anda dapat memfilter file di tingkat berikut:
- Di tingkat studi
- Di tingkat serial
- Di tingkat instance
File filter terdiri dari satu baris per studi, deret, atau instance yang ingin Anda anonimkan. Setiap baris menggunakan format /studies/STUDY_UID[/series/SERIES_UID[/instances/INSTANCE_UID]].
Di akhir setiap baris terdapat karakter newline: \n atau \r\n.
Jika studi, rangkaian, atau instance tidak ditentukan dalam file filter yang Anda teruskan saat memanggil operasi de-identifikasi, studi, rangkaian, atau instance tersebut tidak akan dide-identifikasi dan tidak akan ada di penyimpanan DICOM tujuan.
Hanya bagian /studies/STUDY_UID dari jalur yang
diperlukan. Artinya, Anda dapat menganonimkan studi dengan menentukan
/studies/STUDY_UID, atau Anda dapat menganonimkan
seri dengan menentukan /studies/STUDY_UID/series/SERIES_UID.
Pertimbangkan file filter berikut. File filter menyebabkan satu studi, dua deret, dan tiga instance individual dihilangkan identitasnya:
/studies/1.123.456.789
/studies/1.666.333.111/series/123.456\n
/studies/1.666.333.111/series/567.890\n
/studies/1.888.999.222/series/123.456/instances/111\n
/studies/1.888.999.222/series/123.456/instances/222\n
/studies/1.888.999.222/series/123.456/instances/333\n
Membuat file filter menggunakan BigQuery
Biasanya, Anda membuat file filter dengan terlebih dahulu mengekspor metadata dari penyimpanan DICOM ke BigQuery. Dengan begitu, Anda dapat menggunakan BigQuery untuk melihat UID studi, deret, dan instance dari data DICOM di penyimpanan DICOM Anda. Kemudian, Anda dapat melakukan hal berikut:
Kueri untuk UID studi, serial, dan instance yang Anda minati. Misalnya, setelah mengekspor metadata ke BigQuery, Anda dapat menjalankan kueri berikut untuk menggabungkan UID studi, seri, dan instance ke format yang kompatibel dengan persyaratan file filter:
SELECT CONCAT ('/studies/', StudyInstanceUID, '/series/', SeriesInstanceUID, '/instances/', SOPInstanceUID) FROM [PROJECT_ID:BIGQUERY_DATASET.BIGQUERY_TABLE]
Jika kueri menampilkan kumpulan hasil yang besar, Anda dapat mewujudkan tabel baru dengan menyimpan hasil kueri ke tabel tujuan di BigQuery.
Setelah menyimpan hasil kueri ke tabel tujuan, Anda dapat menyimpan isi tabel tujuan ke file dan mengekspornya ke Cloud Storage. Untuk mengetahui langkah-langkah cara melakukannya, lihat Mengekspor data tabel. File yang diekspor adalah file filter Anda. Anda akan menggunakan lokasi file filter di Cloud Storage saat menentukan filter dalam operasi ekspor.
Membuat file filter secara manual
Anda dapat membuat file filter dengan konten kustom dan
menguploadnya ke bucket Cloud Storage.
Anda akan menggunakan lokasi file filter di Cloud Storage saat
menentukan filter dalam operasi de-identifikasi. Contoh berikut menunjukkan cara mengupload file filter ke bucket Cloud Storage menggunakan perintah gcloud storage cp:
gcloud storage cp PATH/TO/FILTER_FILE gs://BUCKET/DIRECTORY
Contoh:
gcloud storage cp /home/user/Desktop/filters.txt gs://my-bucket/my-directory
Menggunakan filter
Setelah mengonfigurasi file filter, Anda dapat meneruskannya sebagai nilai ke kolom resourcePathsGcsUri dalam objek filterConfig.
Contoh berikut memperluas De-identifikasi data di tingkat penyimpanan DICOM, tetapi file filter di Cloud Storage disediakan yang menentukan resource DICOM mana yang akan di-de-identifikasi.
REST
Lakukan de-identifikasi set data.
Sebelum menggunakan salah satu data permintaan, lakukan penggantian berikut:
- PROJECT_ID: ID Google Cloud project Anda
- LOCATION: lokasi set data
- SOURCE_DATASET_ID: ID set data yang berisi data yang akan dianonimkan
- DESTINATION_DATASET_ID: ID set data tujuan tempat data yang tidak diidentifikasi ditulis
- SOURCE_DICOM_STORE_ID: ID penyimpanan DICOM yang berisi data yang akan di-de-identifikasi
- DESTINATION_DICOM_STORE_ID: ID penyimpanan DICOM di set data tujuan
- BUCKET/PATH/TO/FILE: lokasi file filter di bucket Cloud Storage
Meminta isi JSON:
{ "destinationStore": "projects/PROJECT_ID/locations/LOCATION/datasets/DESTINATION_DATASET_ID/dicomStores/DESTINATION_DICOM_STORE_ID", "config": { "dicom": { "filterProfile": "DEIDENTIFY_TAG_CONTENTS" }, "image": { "textRedactionMode": "REDACT_ALL_TEXT" } }, "filterConfig": { "resourcePathGcsUri": "gs://BUCKET/PATH/TO/FILE" } }Untuk mengirim permintaan Anda, pilih salah satu opsi berikut:
Output-nya adalah sebagai berikut. Respons berisi ID untuk operasi yang berjalan lama. Operasi yang berjalan lama ditampilkan saat panggilan metode mungkin memerlukan waktu yang cukup lama untuk diselesaikan. Catat nilai OPERATION_ID. Anda memerlukan nilai ini pada langkah berikutnya.curl
Simpan isi permintaan dalam file bernama
request.json. Jalankan perintah berikut di terminal untuk membuat atau menimpa file ini di direktori saat ini:cat > request.json << 'EOF' { "destinationStore": "projects/PROJECT_ID/locations/LOCATION/datasets/DESTINATION_DATASET_ID/dicomStores/DESTINATION_DICOM_STORE_ID", "config": { "dicom": { "filterProfile": "DEIDENTIFY_TAG_CONTENTS" }, "image": { "textRedactionMode": "REDACT_ALL_TEXT" } }, "filterConfig": { "resourcePathGcsUri": "gs://BUCKET/PATH/TO/FILE" } } EOFKemudian, jalankan perintah berikut untuk mengirim permintaan REST Anda:
curl -X POST \
-H "Authorization: Bearer $(gcloud auth print-access-token)" \
-H "Content-Type: application/json; charset=utf-8" \
-d @request.json \
"https://healthcare.googleapis.com/v1/projects/PROJECT_ID/locations/LOCATION/datasets/SOURCE_DATASET_ID/dicomStores/SOURCE_DICOM_STORE_ID:deidentify"PowerShell
Simpan isi permintaan dalam file bernama
request.json. Jalankan perintah berikut di terminal untuk membuat atau menimpa file ini di direktori saat ini:@' { "destinationStore": "projects/PROJECT_ID/locations/LOCATION/datasets/DESTINATION_DATASET_ID/dicomStores/DESTINATION_DICOM_STORE_ID", "config": { "dicom": { "filterProfile": "DEIDENTIFY_TAG_CONTENTS" }, "image": { "textRedactionMode": "REDACT_ALL_TEXT" } }, "filterConfig": { "resourcePathGcsUri": "gs://BUCKET/PATH/TO/FILE" } } '@ | Out-File -FilePath request.json -Encoding utf8Kemudian jalankan perintah berikut untuk mengirim permintaan REST Anda:
$cred = gcloud auth print-access-token
$headers = @{ "Authorization" = "Bearer $cred" }
Invoke-WebRequest `
-Method POST `
-Headers $headers `
-ContentType: "application/json; charset=utf-8" `
-InFile request.json `
-Uri "https://healthcare.googleapis.com/v1/projects/PROJECT_ID/locations/LOCATION/datasets/SOURCE_DATASET_ID/dicomStores/SOURCE_DICOM_STORE_ID:deidentify" | Select-Object -Expand Content- Gunakan metode
projects.locations.datasets.operations.getuntuk mendapatkan status operasi yang berjalan lama.
Sebelum menggunakan salah satu data permintaan, lakukan penggantian berikut:
- PROJECT_ID: ID Google Cloud project Anda
- DATASET_ID: ID set data
- LOCATION: lokasi set data
- OPERATION_ID: ID yang ditampilkan dari operasi yang berjalan lama
Untuk mengirim permintaan Anda, pilih salah satu opsi berikut:
Output-nya adalah sebagai berikut. Jika respons berisicurl
Jalankan perintah berikut:
curl -X GET \
-H "Authorization: Bearer $(gcloud auth print-access-token)" \
"https://healthcare.googleapis.com/v1/projects/PROJECT_ID/locations/LOCATION/datasets/DATASET_ID/operations/OPERATION_ID"PowerShell
Jalankan perintah berikut:
$cred = gcloud auth print-access-token
$headers = @{ "Authorization" = "Bearer $cred" }
Invoke-WebRequest `
-Method GET `
-Headers $headers `
-Uri "https://healthcare.googleapis.com/v1/projects/PROJECT_ID/locations/LOCATION/datasets/DATASET_ID/operations/OPERATION_ID" | Select-Object -Expand ContentAPIs Explorer
Buka halaman referensi metode. Panel APIs Explorer terbuka di sisi kanan halaman. Anda bisa berinteraksi dengan alat ini untuk mengirim permintaan. Lengkapi kolom yang wajib diisi, lalu klik Jalankan.
"done": true, berarti operasi yang berjalan lama telah selesai.
Memecahkan masalah operasi de-identifikasi DICOM
Jika terjadi error selama operasi de-identifikasi DICOM, error tersebut akan dicatat ke Cloud Logging. Untuk mengetahui informasi selengkapnya, lihat artikel Melihat log error di Cloud Logging.
Jika seluruh operasi menampilkan error, lihat Memecahkan masalah operasi yang berjalan lama.