Nesta página, explicamos como usar a configuração v1 DicomConfig para desidentificar dados sensíveis em instâncias DICOM nos seguintes níveis:
- No nível do conjunto de dados usando
datasets.deidentify. - No nível de armazenamento DICOM usando
dicomStores.deidentify.
Esta página também explica como aplicar filtros ao desidentificar dados no nível do armazenamento DICOM.
Visão geral da desidentificação
Desidentificação no nível do conjunto de dados
Para desidentificar dados DICOM no nível do conjunto de dados, chame a operação datasets.deidentify. A chamada de API de desidentificação tem os seguintes componentes:
- O conjunto de dados de origem: um conjunto de dados que contém DICOM armazena com uma ou mais instâncias que têm dados confidenciais. Quando você chama a operação
deidentify, todas as instâncias em todos os armazenamentos DICOM no conjunto de dados são desidentificadas. - O conjunto de dados de destino: a desidentificação não afeta o conjunto de dados original nem os dados dele. Em vez disso, as cópias desidentificadas dos dados originais são gravadas em um novo conjunto de dados, chamado de conjunto de dados de destino.
- O que desidentificar: parâmetros de configuração que especificam como processar o conjunto de dados. É possível configurar a desidentificação DICOM para desidentificar metadados de instância DICOM (usando palavras-chave de tag) ou texto gravado em imagens DICOM especificando esses parâmetros em um objeto
DeidentifyConfige fazendo o seguinte:- Como definir o campo
configdo corpo da solicitação - Armazenando no Cloud Storage em formato JSON e especificando o local do arquivo no bucket usando o campo
gcsConfigUrido corpo da solicitação
- Como definir o campo
A maioria das amostras neste guia mostra como desidentificar dados DICOM no nível do conjunto de dados.
Desidentificação no nível de armazenamento DICOM
A desidentificação de dados DICOM no nível do armazenamento DICOM permite que você tenha mais controle sobre quais dados são desidentificados. Por exemplo, se você tiver um conjunto de dados com vários armazenamentos DICOM, poderá desidentificar cada um deles de acordo com o tipo de dados existente no armazenamento.
Para desidentificar dados DICOM em um armazenamento de mesmo tipo, chame o método dicomStores.deidentify. A chamada de API de desidentificação tem os seguintes componentes:
- O armazenamento DICOM de origem: um armazenamento DICOM contendo uma ou mais instâncias que têm dados confidenciais. Quando você chama a operação
deidentify, todas as instâncias no armazenamento DICOM são desidentificadas. - O armazenamento DICOM de destino: a desidentificação não afeta o armazenamento DICOM original nem os dados dele. Em vez disso, as cópias desidentificadas dos dados originais são gravadas no armazenamento DICOM de destino. O armazenamento DICOM de destino já deve existir.
- O que desidentificar: parâmetros de configuração que especificam como processar o armazenamento DICOM. É possível configurar a desidentificação DICOM para desidentificar
metadados de instância DICOM (usando palavras-chave de tag) ou texto gravado em imagens DICOM
especificando esses parâmetros em um objeto
DeidentifyConfige transmitindo-o de uma das seguintes maneiras:- Como definir o campo
configdo corpo da solicitação - Armazenando no Cloud Storage em formato JSON e especificando o local do arquivo no bucket usando o campo
gcsConfigUrido corpo da solicitação
- Como definir o campo
Para um exemplo de como desidentificar dados DICOM no nível do armazenamento DICOM, consulte Como desidentificar dados no nível do armazenamento DICOM.
Filtros
É possível desidentificar um subconjunto de dados em um armazenamento DICOM configurando um arquivo de filtro e especificando o arquivo na solicitação dicomStores.deidentify. Para ver um exemplo, consulte Como desidentificar um subconjunto de um armazenamento DICOM.
Visão geral das amostras
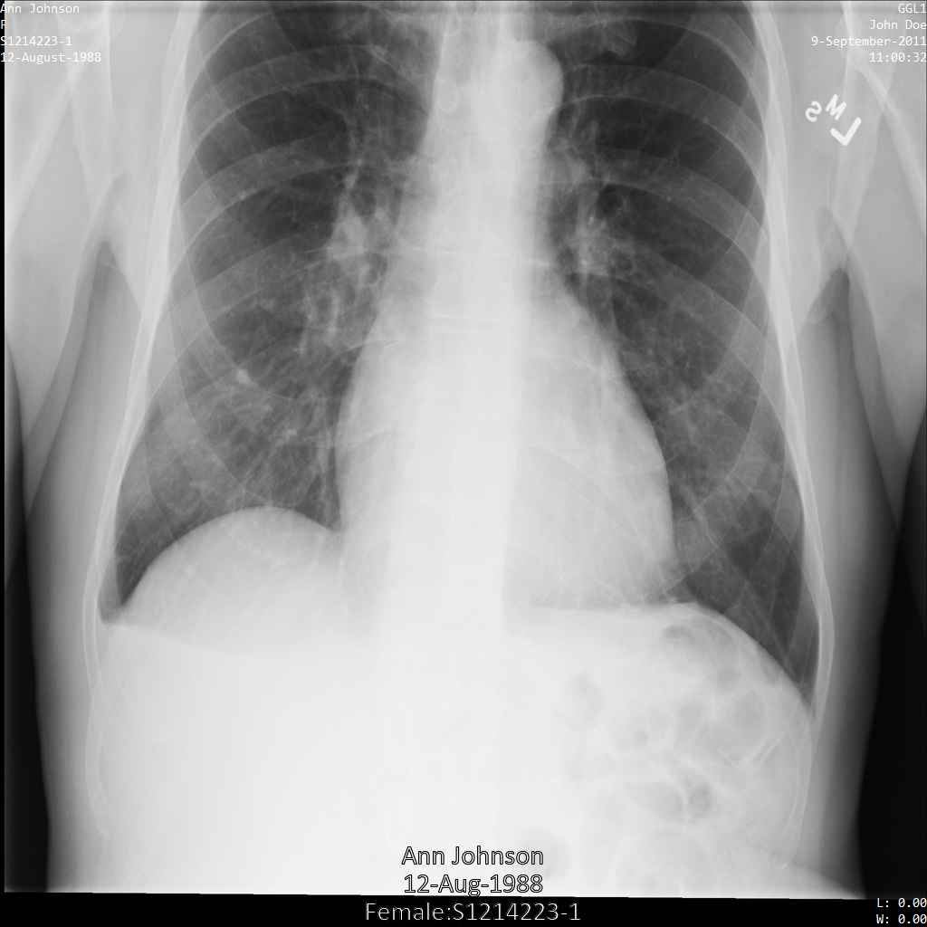
As amostras neste guia usam uma única instância DICOM, mas também é possível desidentificar várias instâncias.
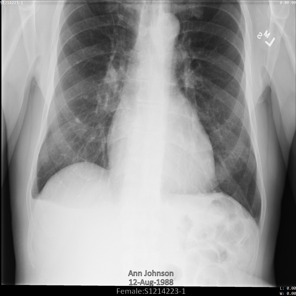
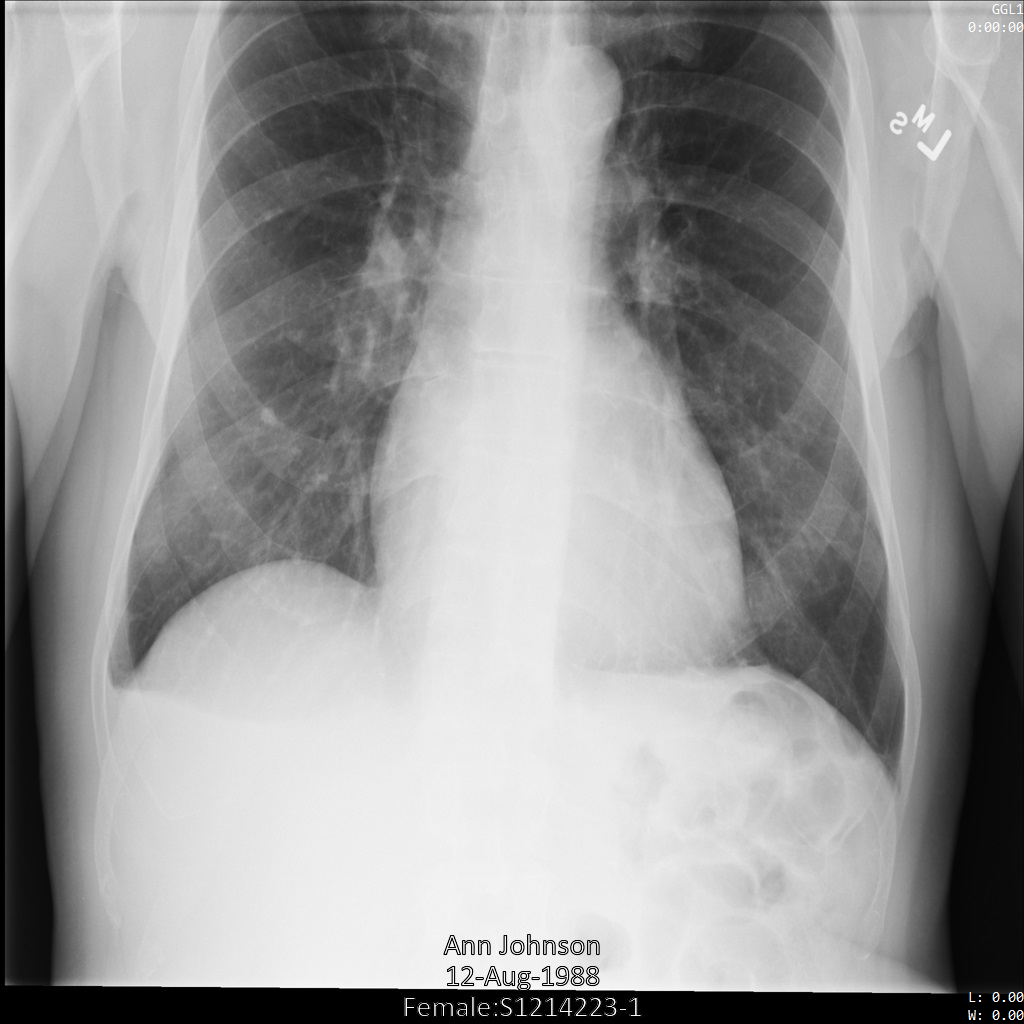
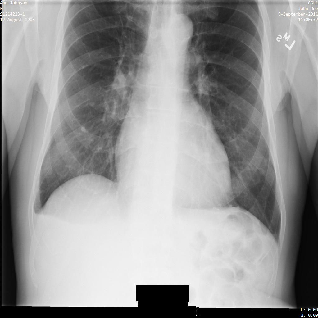
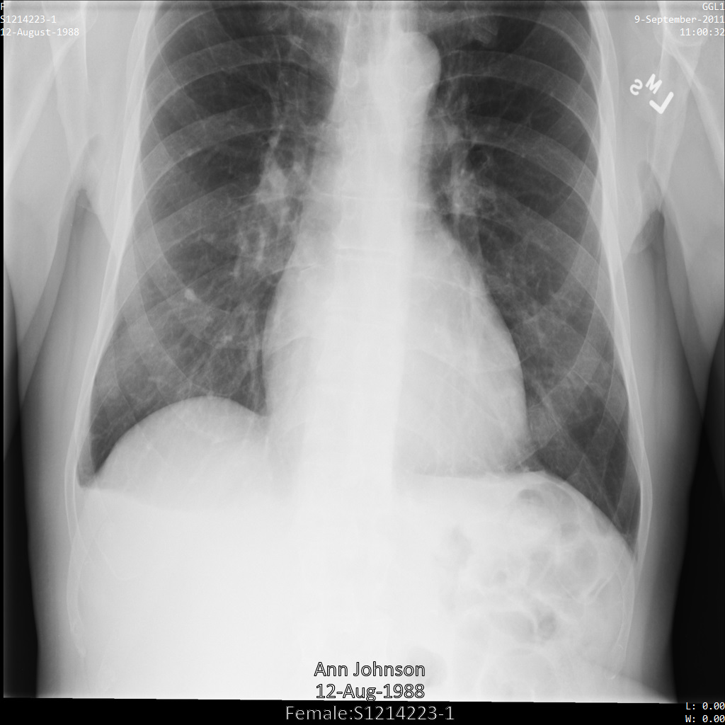
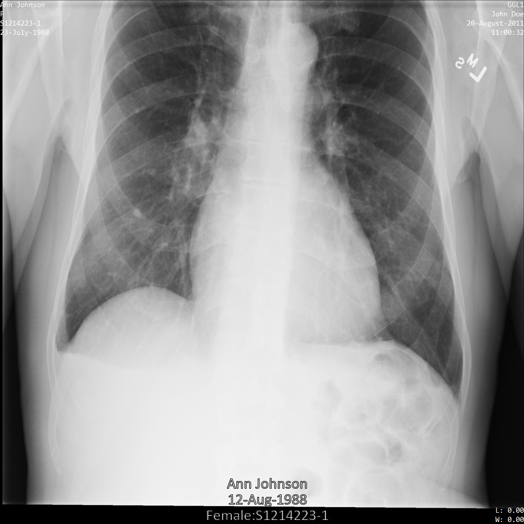
Cada uma das seções a seguir fornece amostras de como desidentificar dados DICOM usando vários métodos. Uma saída da imagem desidentificada é fornecida com cada amostra. Cada amostra usa a seguinte imagem original como entrada:

É possível comparar a imagem de saída de cada operação de desidentificação com esta imagem original para ver os efeitos da operação.
Como desidentificar tags DICOM
É possível desidentificar instâncias DICOM com base em palavras-chave de tag nos metadados DICOM. Os seguintes métodos de filtragem de tags estão disponíveis no objeto DicomConfig:
keepList: lista de tags a serem mantidas. Remova todas as outras tags.removeList: lista de tags a serem removidas. Manter todas as outras tags.filterProfile: um perfil de filtragem de tags usado para determinar quais tags manter ou remover.
Para cada amostra nesta seção, a saída dos metadados alterados da instância DICOM é fornecida. Veja a seguir os metadados originais da instância usados como entrada para cada amostra:
[
{
"00020002":{"vr":"UI","Value":["1.2.840.10008.5.1.4.1.1.7"]},
"00020003":{"vr":"UI","Value":["1.2.276.0.7230010.3.1.4.8323329.78.1539083058.523695"]},
"00020010":{"vr":"UI","Value":["1.2.840.10008.1.2.4.50"]},
"00020012":{"vr":"UI","Value":["1.2.276.0.7230010.3.0.3.6.1"]},
"00020013":{"vr":"SH","Value":["OFFIS_DCMTK_361"]},
"00080005":{"vr":"CS","Value":["ISO_IR 100"]},
"00080016":{"vr":"UI","Value":["1.2.840.10008.5.1.4.1.1.7"]},
"00080018":{"vr":"UI","Value":["1.2.276.0.7230010.3.1.4.8323329.78.1539083058.523695"]},
"00080020":{"vr":"DA","Value":["20110909"]},
"00080030":{"vr":"TM","Value":["110032"]},
"00080050":{"vr":"SH"},
"00080064":{"vr":"CS","Value":["WSD"]},
"00080070":{"vr":"LO","Value":["Manufacturer"]},
"00080090":{"vr":"PN","Value":[{"Alphabetic":"John Doe"}]},
"00081090":{"vr":"LO","Value":["ABC1"]},
"00100010":{"vr":"PN","Value":[{"Alphabetic":"Ann Johnson"}]},
"00100020":{"vr":"LO","Value":["S1214223-1"]},
"00100030":{"vr":"DA","Value":["19880812"]},
"00100040":{"vr":"CS","Value":["F"]},
"0020000D":{"vr":"UI","Value":["2.25.70541616638819138568043293671559322355"]},
"0020000E":{"vr":"UI","Value":["1.2.276.0.7230010.3.1.3.8323329.78.1531234558.523694"]},
"00200010":{"vr":"SH"},
"00200011":{"vr":"IS"},
"00200013":{"vr":"IS"},
"00200020":{"vr":"CS"},
"00280002":{"vr":"US","Value":[3]},
"00280004":{"vr":"CS","Value":["YBR_FULL_422"]},
"00280006":{"vr":"US","Value":[0]},
"00280010":{"vr":"US","Value":[1024]},
"00280011":{"vr":"US","Value":[1024]},
"00280100":{"vr":"US","Value":[8]},
"00280101":{"vr":"US","Value":[8]},
"00280102":{"vr":"US","Value":[7]},
"00280103":{"vr":"US","Value":[0]},
"00282110":{"vr":"CS","Value":["01"]},
"00282114":{"vr":"CS","Value":["ISO_10918_1"]}
}
]
Desidentificação usando tags keeplist
Quando você especifica uma tag keeplist no objeto DicomConfig, as seguintes tags são adicionadas por padrão:
StudyInstanceUIDSeriesInstanceUIDSOPInstanceUIDTransferSyntaxUIDMediaStorageSOPInstanceUIDMediaStorageSOPClassUIDPixelDataRowsColumnsSamplesPerPixelBitsAllocatedBitsStoredHighbitPhotometricInterpretationPixelRepresentationNumberOfFramesPlanarConfigurationPixelAspectRatioSmallestImagePixelValueLargestImagePixelValueRedPaletteColorLookupTableDescriptorGreenPaletteColorLookupTableDescriptorBluePaletteColorLookupTableDescriptorRedPaletteColorLookupTableDataGreenPaletteColorLookupTableDataBluePaletteColorLookupTableDataICCProfileColorSpaceWindowCenterWindowWidthVOILUTFunction
A operação deidentify não edita as tags anteriores. No entanto, os valores de algumas das tags são gerados novamente, o que significa que eles são substituídos por um valor diferente por meio de uma transformação determinística.
Para mais informações, consulte Reter opção de UIDs
no padrão DICOM. Para manter os valores originais das tags anteriores, use a opção SkipIdRedaction.
Se não forem fornecidas tags de manutenção, nenhuma tag DICOM no conjunto de dados será editada.
Os exemplos a seguir mostram como desidentificar um conjunto de dados contendo armazenamentos e dados DICOM, deixando algumas tags inalteradas.
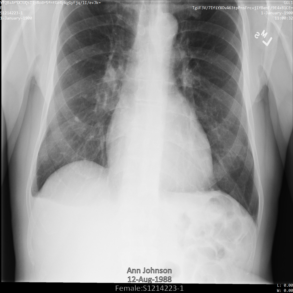
Depois de enviar a imagem para a API Cloud Healthcare, a imagem aparece da seguinte maneira. Embora os metadados exibidos nos cantos superiores da imagem foram editados, as Informações protegidas de saúde (PHI, na sigla em inglês) gravadas na parte inferior da imagem permanecem. Para remover também o texto gravado, consulte Como editar texto gravado das imagens.

REST
Desidentifique o conjunto de dados.
Antes de usar os dados da solicitação abaixo, faça as substituições a seguir:
- PROJECT_ID: ID do seu projeto Google Cloud
- LOCATION: o local do conjunto de dados;
- SOURCE_DATASET_ID: o ID do conjunto de dados que contém os dados a serem desidentificados.
- DESTINATION_DATASET_ID: o ID do conjunto de dados de destino em que os dados pseudonimizados são gravados.
Corpo JSON da solicitação:
{ "destinationDataset": "projects/PROJECT_ID/locations/LOCATION/datasets/DESTINATION_DATASET_ID", "config": { "dicom": { "keepList": { "tags": [ "PatientID" ] } } } }Para enviar a solicitação, escolha uma destas opções:
A saída é esta: A resposta contém um identificador para uma operação de longa duração. Operações de longa duração são retornadas quando as chamadas de método podem demorar um tempo significativo para serem concluídas. Anote o valor de OPERATION_ID. Você vai precisar desse valor na próxima etapa.curl
Salve o corpo da solicitação em um arquivo chamado
request.json. Execute o comando a seguir no terminal para criar ou substituir esse arquivo no diretório atual:cat > request.json << 'EOF' { "destinationDataset": "projects/PROJECT_ID/locations/LOCATION/datasets/DESTINATION_DATASET_ID", "config": { "dicom": { "keepList": { "tags": [ "PatientID" ] } } } } EOFDepois execute o comando a seguir para enviar a solicitação REST:
curl -X POST \
-H "Authorization: Bearer $(gcloud auth print-access-token)" \
-H "Content-Type: application/json; charset=utf-8" \
-d @request.json \
"https://healthcare.googleapis.com/v1/projects/PROJECT_ID/locations/LOCATION/datasets/SOURCE_DATASET_ID:deidentify"PowerShell
Salve o corpo da solicitação em um arquivo chamado
request.json. Execute o comando a seguir no terminal para criar ou substituir esse arquivo no diretório atual:@' { "destinationDataset": "projects/PROJECT_ID/locations/LOCATION/datasets/DESTINATION_DATASET_ID", "config": { "dicom": { "keepList": { "tags": [ "PatientID" ] } } } } '@ | Out-File -FilePath request.json -Encoding utf8Depois execute o comando a seguir para enviar a solicitação REST:
$cred = gcloud auth print-access-token
$headers = @{ "Authorization" = "Bearer $cred" }
Invoke-WebRequest `
-Method POST `
-Headers $headers `
-ContentType: "application/json; charset=utf-8" `
-InFile request.json `
-Uri "https://healthcare.googleapis.com/v1/projects/PROJECT_ID/locations/LOCATION/datasets/SOURCE_DATASET_ID:deidentify" | Select-Object -Expand Content- Use o método
projects.locations.datasets.operations.getpara receber o status da operação de longa duração.
Antes de usar os dados da solicitação abaixo, faça as substituições a seguir:
- PROJECT_ID: ID do seu projeto Google Cloud
- DATASET_ID: o ID do conjunto de dados;
- LOCATION: o local do conjunto de dados;
- OPERATION_ID: o ID retornado da operação de longa duração.
Para enviar a solicitação, escolha uma destas opções:
A saída é esta: Quando a resposta contémcurl
Execute o seguinte comando:
curl -X GET \
-H "Authorization: Bearer $(gcloud auth print-access-token)" \
"https://healthcare.googleapis.com/v1/projects/PROJECT_ID/locations/LOCATION/datasets/DATASET_ID/operations/OPERATION_ID"PowerShell
Execute o seguinte comando:
$cred = gcloud auth print-access-token
$headers = @{ "Authorization" = "Bearer $cred" }
Invoke-WebRequest `
-Method GET `
-Headers $headers `
-Uri "https://healthcare.googleapis.com/v1/projects/PROJECT_ID/locations/LOCATION/datasets/DATASET_ID/operations/OPERATION_ID" | Select-Object -Expand ContentAPIs Explorer
Abra a página de referência do método. O painel "APIs Explorer" é aberto no lado direito da página. Interaja com essa ferramenta para enviar solicitações. Preencha todos os campos obrigatórios e clique em Executar.
"done": true, a operação de longa duração é concluída. - Depois que a desidentificação for bem-sucedida, você poderá recuperar os metadados da instância desidentificada para ver como ela mudou. A instância desidentificada tem um novo UID de estudos, de série e de instâncias. Portanto, primeiro você precisa procurar no novo conjunto de dados a instância desidentificada.
Antes de usar os dados da solicitação abaixo, faça as substituições a seguir:
- PROJECT_ID: ID do seu projeto Google Cloud
- SOURCE_DATASET_LOCATION: o local do conjunto de dados de origem
- DESTINATION_DATASET_ID: o ID do conjunto de dados de destino em que os dados pseudonimizados são gravados.
- DESTINATION_DICOM_STORE_ID: o ID do armazenamento DICOM no conjunto de dados de destino. É o mesmo ID do armazenamento DICOM no conjunto de dados de origem.
Para enviar a solicitação, escolha uma destas opções:
curl
Execute o seguinte comando:
curl -X GET \
-H "Authorization: Bearer $(gcloud auth print-access-token)" \
"https://healthcare.googleapis.com/v1/projects/PROJECT_ID/locations/SOURCE_DATASET_LOCATION/datasets/DESTINATION_DATASET_ID/dicomStores/DESTINATION_DICOM_STORE_ID/dicomWeb/instances"PowerShell
Execute o seguinte comando:
$cred = gcloud auth print-access-token
$headers = @{ "Authorization" = "Bearer $cred" }
Invoke-WebRequest `
-Method GET `
-Headers $headers `
-Uri "https://healthcare.googleapis.com/v1/projects/PROJECT_ID/locations/SOURCE_DATASET_LOCATION/datasets/DESTINATION_DATASET_ID/dicomStores/DESTINATION_DICOM_STORE_ID/dicomWeb/instances" | Select-Object -Expand ContentAPIs Explorer
Abra a página de referência do método. O painel "APIs Explorer" é aberto no lado direito da página. Interaja com essa ferramenta para enviar solicitações. Preencha todos os campos obrigatórios e clique em Executar.
Você receberá uma resposta JSON semelhante a esta:
A tabela a seguir mostra como os UIDs de estudos, de série e de instâncias foram alterados:Metadados da instância original Metadados de instância desidentificados UID de estudos ( 0020000D)2.25.705416166388191385680432936715593223551.3.6.1.4.1.11129.5.1.201854290391432893460946240745559593763UID da série ( 0020000E)1.2.276.0.7230010.3.1.3.8323329.78.1531234558.5236941.3.6.1.4.1.11129.5.1.303327499491957026103380014864616068710UID das instâncias ( 00080018)1.2.276.0.7230010.3.1.4.8323329.78.1539083058.5236951.3.6.1.4.1.11129.5.1.97415866390999888717168863957686758029 Usando os novos valores, recupere os metadados da instância.
Antes de usar os dados da solicitação abaixo, faça as substituições a seguir:
- PROJECT_ID: ID do seu projeto Google Cloud
- LOCATION: o local do conjunto de dados;
- DESTINATION_DATASET_ID: o ID do conjunto de dados de destino em que os dados pseudonimizados são gravados.
- DESTINATION_DICOM_STORE_ID: o ID do armazenamento DICOM no conjunto de dados de destino. É o mesmo ID do armazenamento DICOM no conjunto de dados de origem.
Para enviar a solicitação, escolha uma destas opções:
A saída contém os novos metadados. É possível comparar os novos metadados com os metadados originais para ver o efeito da transformação.curl
Execute o seguinte comando:
curl -X GET \
-H "Authorization: Bearer $(gcloud auth print-access-token)" \
"https://healthcare.googleapis.com/v1/projects/PROJECT_ID/locations/LOCATION/datasets/DESTINATION_DATASET_ID/dicomStores/DESTINATION_DICOM_STORE_ID/dicomWeb/studies/1.3.6.1.4.1.11129.5.1.201854290391432893460946240745559593763/series/1.3.6.1.4.1.11129.5.1.303327499491957026103380014864616068710/instances/1.3.6.1.4.1.11129.5.1.97415866390999888717168863957686758029/metadata"PowerShell
Execute o seguinte comando:
$cred = gcloud auth print-access-token
$headers = @{ "Authorization" = "Bearer $cred" }
Invoke-WebRequest `
-Method GET `
-Headers $headers `
-Uri "https://healthcare.googleapis.com/v1/projects/PROJECT_ID/locations/LOCATION/datasets/DESTINATION_DATASET_ID/dicomStores/DESTINATION_DICOM_STORE_ID/dicomWeb/studies/1.3.6.1.4.1.11129.5.1.201854290391432893460946240745559593763/series/1.3.6.1.4.1.11129.5.1.303327499491957026103380014864616068710/instances/1.3.6.1.4.1.11129.5.1.97415866390999888717168863957686758029/metadata" | Select-Object -Expand ContentAPIs Explorer
Abra a página de referência do método. O painel "APIs Explorer" é aberto no lado direito da página. Interaja com essa ferramenta para enviar solicitações. Preencha todos os campos obrigatórios e clique em Executar.
Go
Java
Node.js
Python
Desidentificação usando tags removelist
É possível especificar removelist no objeto DicomConfig. A operação deidentify editará somente as tags especificadas na lista. Se nenhuma tag de remoção for fornecida, a operação de desidentificação continuará normalmente, mas nenhuma tag DICOM no conjunto de dados de destino será editada.
Quando você especifica uma lista de remoção, a tag OverlayData é adicionada por padrão porque os dados de sobreposição podem conter PHI.
As tags adicionadas por padrão a uma keeplist não podem ser adicionadas a uma lista de remoção.
Os exemplos a seguir mostram como desidentificar um conjunto de dados contendo armazenamentos e dados DICOM removendo todas as tags na removelist. As tags que não estão na removelist não são alteradas.
Depois de enviar a imagem para a API Cloud Healthcare, a imagem aparece da seguinte maneira. Das tags fornecidas na lista de remoção, apenas PatientBirthDate
é removido na imagem, já que é a única tag da remoção que
corresponde aos metadados visíveis na imagem.
Enquanto o PatientBirthDate no canto superior da imagem foi editado de acordo com a configuração na removelist, a PHI gravada na parte inferior da imagem permanece. Para remover também o texto gravado, consulte Como editar texto gravado das imagens.

REST
Desidentifique o conjunto de dados.
Antes de usar os dados da solicitação abaixo, faça as substituições a seguir:
- PROJECT_ID: ID do seu projeto Google Cloud
- LOCATION: o local do conjunto de dados;
- SOURCE_DATASET_ID: o ID do conjunto de dados que contém os dados a serem desidentificados.
- DESTINATION_DATASET_ID: o ID do conjunto de dados de destino em que os dados pseudonimizados são gravados.
Corpo JSON da solicitação:
{ "destinationDataset": "projects/PROJECT_ID/locations/LOCATION/datasets/DESTINATION_DATASET_ID", "config": { "dicom": { "removeList": { "tags": [ "PatientBirthName", "PatientBirthDate", "PatientAge", "PatientSize", "PatientWeight", "PatientAddress", "PatientMotherBirthName" ] } } } }Para enviar a solicitação, escolha uma destas opções:
A saída é esta: A resposta contém um identificador para uma operação de longa duração. Operações de longa duração são retornadas quando as chamadas de método podem demorar um tempo significativo para serem concluídas. Anote o valor de OPERATION_ID. Você vai precisar desse valor na próxima etapa.curl
Salve o corpo da solicitação em um arquivo chamado
request.json. Execute o comando a seguir no terminal para criar ou substituir esse arquivo no diretório atual:cat > request.json << 'EOF' { "destinationDataset": "projects/PROJECT_ID/locations/LOCATION/datasets/DESTINATION_DATASET_ID", "config": { "dicom": { "removeList": { "tags": [ "PatientBirthName", "PatientBirthDate", "PatientAge", "PatientSize", "PatientWeight", "PatientAddress", "PatientMotherBirthName" ] } } } } EOFDepois execute o comando a seguir para enviar a solicitação REST:
curl -X POST \
-H "Authorization: Bearer $(gcloud auth print-access-token)" \
-H "Content-Type: application/json; charset=utf-8" \
-d @request.json \
"https://healthcare.googleapis.com/v1/projects/PROJECT_ID/locations/LOCATION/datasets/SOURCE_DATASET_ID:deidentify"PowerShell
Salve o corpo da solicitação em um arquivo chamado
request.json. Execute o comando a seguir no terminal para criar ou substituir esse arquivo no diretório atual:@' { "destinationDataset": "projects/PROJECT_ID/locations/LOCATION/datasets/DESTINATION_DATASET_ID", "config": { "dicom": { "removeList": { "tags": [ "PatientBirthName", "PatientBirthDate", "PatientAge", "PatientSize", "PatientWeight", "PatientAddress", "PatientMotherBirthName" ] } } } } '@ | Out-File -FilePath request.json -Encoding utf8Depois execute o comando a seguir para enviar a solicitação REST:
$cred = gcloud auth print-access-token
$headers = @{ "Authorization" = "Bearer $cred" }
Invoke-WebRequest `
-Method POST `
-Headers $headers `
-ContentType: "application/json; charset=utf-8" `
-InFile request.json `
-Uri "https://healthcare.googleapis.com/v1/projects/PROJECT_ID/locations/LOCATION/datasets/SOURCE_DATASET_ID:deidentify" | Select-Object -Expand Content- Use o método
projects.locations.datasets.operations.getpara receber o status da operação de longa duração.
Antes de usar os dados da solicitação abaixo, faça as substituições a seguir:
- PROJECT_ID: ID do seu projeto Google Cloud
- DATASET_ID: o ID do conjunto de dados;
- LOCATION: o local do conjunto de dados;
- OPERATION_ID: o ID retornado da operação de longa duração.
Para enviar a solicitação, escolha uma destas opções:
A saída é esta: Quando a resposta contémcurl
Execute o seguinte comando:
curl -X GET \
-H "Authorization: Bearer $(gcloud auth print-access-token)" \
"https://healthcare.googleapis.com/v1/projects/PROJECT_ID/locations/LOCATION/datasets/DATASET_ID/operations/OPERATION_ID"PowerShell
Execute o seguinte comando:
$cred = gcloud auth print-access-token
$headers = @{ "Authorization" = "Bearer $cred" }
Invoke-WebRequest `
-Method GET `
-Headers $headers `
-Uri "https://healthcare.googleapis.com/v1/projects/PROJECT_ID/locations/LOCATION/datasets/DATASET_ID/operations/OPERATION_ID" | Select-Object -Expand ContentAPIs Explorer
Abra a página de referência do método. O painel "APIs Explorer" é aberto no lado direito da página. Interaja com essa ferramenta para enviar solicitações. Preencha todos os campos obrigatórios e clique em Executar.
"done": true, a operação de longa duração é concluída. - Depois que a desidentificação for bem-sucedida, você poderá recuperar os metadados da instância desidentificada para ver como ela mudou. A instância desidentificada tem um novo UID de estudos, de série e de instâncias. Portanto, primeiro você precisa procurar no novo conjunto de dados a instância desidentificada.
Antes de usar os dados da solicitação abaixo, faça as substituições a seguir:
- PROJECT_ID: ID do seu projeto Google Cloud
- SOURCE_DATASET_LOCATION: o local do conjunto de dados de origem
- DESTINATION_DATASET_ID: o ID do conjunto de dados de destino em que os dados pseudonimizados são gravados.
- DESTINATION_DICOM_STORE_ID: o ID do armazenamento DICOM no conjunto de dados de destino. É o mesmo ID do armazenamento DICOM no conjunto de dados de origem.
Para enviar a solicitação, escolha uma destas opções:
curl
Execute o seguinte comando:
curl -X GET \
-H "Authorization: Bearer $(gcloud auth print-access-token)" \
"https://healthcare.googleapis.com/v1/projects/PROJECT_ID/locations/SOURCE_DATASET_LOCATION/datasets/DESTINATION_DATASET_ID/dicomStores/DESTINATION_DICOM_STORE_ID/dicomWeb/instances"PowerShell
Execute o seguinte comando:
$cred = gcloud auth print-access-token
$headers = @{ "Authorization" = "Bearer $cred" }
Invoke-WebRequest `
-Method GET `
-Headers $headers `
-Uri "https://healthcare.googleapis.com/v1/projects/PROJECT_ID/locations/SOURCE_DATASET_LOCATION/datasets/DESTINATION_DATASET_ID/dicomStores/DESTINATION_DICOM_STORE_ID/dicomWeb/instances" | Select-Object -Expand ContentAPIs Explorer
Abra a página de referência do método. O painel "APIs Explorer" é aberto no lado direito da página. Interaja com essa ferramenta para enviar solicitações. Preencha todos os campos obrigatórios e clique em Executar.
Você receberá uma resposta JSON semelhante a esta:
A tabela a seguir mostra como os UIDs de estudos, de série e de instâncias foram alterados:Metadados da instância original Metadados de instância desidentificados UID de estudos ( 0020000D)2.25.705416166388191385680432936715593223551.3.6.1.4.1.11129.5.1.201854290391432893460946240745559593763UID da série ( 0020000E)1.2.276.0.7230010.3.1.3.8323329.78.1531234558.5236941.3.6.1.4.1.11129.5.1.303327499491957026103380014864616068710UID das instâncias ( 00080018)1.2.276.0.7230010.3.1.4.8323329.78.1539083058.5236951.3.6.1.4.1.11129.5.1.97415866390999888717168863957686758029 Usando os novos valores, recupere os metadados da instância.
Antes de usar os dados da solicitação abaixo, faça as substituições a seguir:
- PROJECT_ID: ID do seu projeto Google Cloud
- LOCATION: o local do conjunto de dados;
- DESTINATION_DATASET_ID: o ID do conjunto de dados de destino em que os dados pseudonimizados são gravados.
- DESTINATION_DICOM_STORE_ID: o ID do armazenamento DICOM no conjunto de dados de destino. É o mesmo ID do armazenamento DICOM no conjunto de dados de origem.
Para enviar a solicitação, escolha uma destas opções:
A saída contém os novos metadados. É possível comparar os novos metadados com os metadados originais para ver o efeito da transformação.curl
Execute o seguinte comando:
curl -X GET \
-H "Authorization: Bearer $(gcloud auth print-access-token)" \
"https://healthcare.googleapis.com/v1/projects/PROJECT_ID/locations/LOCATION/datasets/DESTINATION_DATASET_ID/dicomStores/DESTINATION_DICOM_STORE_ID/dicomWeb/studies/1.3.6.1.4.1.11129.5.1.201854290391432893460946240745559593763/series/1.3.6.1.4.1.11129.5.1.303327499491957026103380014864616068710/instances/1.3.6.1.4.1.11129.5.1.97415866390999888717168863957686758029/metadata"PowerShell
Execute o seguinte comando:
$cred = gcloud auth print-access-token
$headers = @{ "Authorization" = "Bearer $cred" }
Invoke-WebRequest `
-Method GET `
-Headers $headers `
-Uri "https://healthcare.googleapis.com/v1/projects/PROJECT_ID/locations/LOCATION/datasets/DESTINATION_DATASET_ID/dicomStores/DESTINATION_DICOM_STORE_ID/dicomWeb/studies/1.3.6.1.4.1.11129.5.1.201854290391432893460946240745559593763/series/1.3.6.1.4.1.11129.5.1.303327499491957026103380014864616068710/instances/1.3.6.1.4.1.11129.5.1.97415866390999888717168863957686758029/metadata" | Select-Object -Expand ContentAPIs Explorer
Abra a página de referência do método. O painel "APIs Explorer" é aberto no lado direito da página. Interaja com essa ferramenta para enviar solicitações. Preencha todos os campos obrigatórios e clique em Executar.
Desidentificação usando um perfil de filtro de tag
Em vez de especificar quais tags manter ou remover, é possível configurar um TagFilterProfile no objeto DicomConfig. Um perfil de filtro de tag é um perfil predefinido que determina quais tags manter, remover ou transformar. Consulte a documentação do TagFilterProfile para ver os perfis disponíveis.
Nas amostras a seguir, você verá como desidentificar um conjunto de dados contendo armazenamentos e dados DICOM usando o perfil de filtro de tag ATTRIBUTE_CONFIDENTIALITY_BASIC_PROFILE.
Esse perfil de filtro remove tags com base no Perfil básico de confidencialidade do atributo DICOM.
A API Cloud Healthcare não está totalmente em conformidade com o perfil básico de confidencialidade de atributos. Por exemplo, a API Cloud Healthcare não verifica restrições de definição de objeto de informação (IOD, na sigla em inglês) ao selecionar uma ação para uma tag.
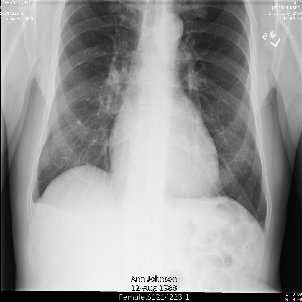
Depois de enviar a imagem para a API Cloud Healthcare usando o perfil de filtro da tag ATTRIBUTE_CONFIDENTIALITY_BASIC_PROFILE, a imagem aparece da seguinte maneira. Embora os metadados exibidos nos cantos superiores da imagem tenham sido editados, o PHI gravado na parte inferior da imagem permanece.
Para remover também o texto gravado, consulte Como editar texto gravado das imagens.

REST
Desidentifique o conjunto de dados.
Antes de usar os dados da solicitação abaixo, faça as substituições a seguir:
- PROJECT_ID: ID do seu projeto Google Cloud
- LOCATION: o local do conjunto de dados;
- SOURCE_DATASET_ID: o ID do conjunto de dados que contém os dados a serem desidentificados.
- DESTINATION_DATASET_ID: o ID do conjunto de dados de destino em que os dados pseudonimizados são gravados.
Corpo JSON da solicitação:
{ "destinationDataset": "projects/PROJECT_ID/locations/LOCATION/datasets/DESTINATION_DATASET_ID", "config": { "dicom": { "filterProfile": "ATTRIBUTE_CONFIDENTIALITY_BASIC_PROFILE" } } }Para enviar a solicitação, escolha uma destas opções:
A saída é esta: A resposta contém um identificador para uma operação de longa duração. Operações de longa duração são retornadas quando as chamadas de método podem demorar um tempo significativo para serem concluídas. Anote o valor de OPERATION_ID. Você vai precisar desse valor na próxima etapa.curl
Salve o corpo da solicitação em um arquivo chamado
request.json. Execute o comando a seguir no terminal para criar ou substituir esse arquivo no diretório atual:cat > request.json << 'EOF' { "destinationDataset": "projects/PROJECT_ID/locations/LOCATION/datasets/DESTINATION_DATASET_ID", "config": { "dicom": { "filterProfile": "ATTRIBUTE_CONFIDENTIALITY_BASIC_PROFILE" } } } EOFDepois execute o comando a seguir para enviar a solicitação REST:
curl -X POST \
-H "Authorization: Bearer $(gcloud auth print-access-token)" \
-H "Content-Type: application/json; charset=utf-8" \
-d @request.json \
"https://healthcare.googleapis.com/v1/projects/PROJECT_ID/locations/LOCATION/datasets/SOURCE_DATASET_ID:deidentify"PowerShell
Salve o corpo da solicitação em um arquivo chamado
request.json. Execute o comando a seguir no terminal para criar ou substituir esse arquivo no diretório atual:@' { "destinationDataset": "projects/PROJECT_ID/locations/LOCATION/datasets/DESTINATION_DATASET_ID", "config": { "dicom": { "filterProfile": "ATTRIBUTE_CONFIDENTIALITY_BASIC_PROFILE" } } } '@ | Out-File -FilePath request.json -Encoding utf8Depois execute o comando a seguir para enviar a solicitação REST:
$cred = gcloud auth print-access-token
$headers = @{ "Authorization" = "Bearer $cred" }
Invoke-WebRequest `
-Method POST `
-Headers $headers `
-ContentType: "application/json; charset=utf-8" `
-InFile request.json `
-Uri "https://healthcare.googleapis.com/v1/projects/PROJECT_ID/locations/LOCATION/datasets/SOURCE_DATASET_ID:deidentify" | Select-Object -Expand Content- Use o método
projects.locations.datasets.operations.getpara receber o status da operação de longa duração.
Antes de usar os dados da solicitação abaixo, faça as substituições a seguir:
- PROJECT_ID: ID do seu projeto Google Cloud
- DATASET_ID: o ID do conjunto de dados;
- LOCATION: o local do conjunto de dados;
- OPERATION_ID: o ID retornado da operação de longa duração.
Para enviar a solicitação, escolha uma destas opções:
A saída é esta: Quando a resposta contémcurl
Execute o seguinte comando:
curl -X GET \
-H "Authorization: Bearer $(gcloud auth print-access-token)" \
"https://healthcare.googleapis.com/v1/projects/PROJECT_ID/locations/LOCATION/datasets/DATASET_ID/operations/OPERATION_ID"PowerShell
Execute o seguinte comando:
$cred = gcloud auth print-access-token
$headers = @{ "Authorization" = "Bearer $cred" }
Invoke-WebRequest `
-Method GET `
-Headers $headers `
-Uri "https://healthcare.googleapis.com/v1/projects/PROJECT_ID/locations/LOCATION/datasets/DATASET_ID/operations/OPERATION_ID" | Select-Object -Expand ContentAPIs Explorer
Abra a página de referência do método. O painel "APIs Explorer" é aberto no lado direito da página. Interaja com essa ferramenta para enviar solicitações. Preencha todos os campos obrigatórios e clique em Executar.
"done": true, a operação de longa duração é concluída. - Depois que a desidentificação for bem-sucedida, você poderá recuperar os metadados da instância desidentificada para ver como ela mudou. A instância desidentificada tem um novo UID de estudos, de série e de instâncias. Portanto, primeiro você precisa procurar no novo conjunto de dados a instância desidentificada.
Antes de usar os dados da solicitação abaixo, faça as substituições a seguir:
- PROJECT_ID: ID do seu projeto Google Cloud
- SOURCE_DATASET_LOCATION: o local do conjunto de dados de origem
- DESTINATION_DATASET_ID: o ID do conjunto de dados de destino em que os dados pseudonimizados são gravados.
- DESTINATION_DICOM_STORE_ID: o ID do armazenamento DICOM no conjunto de dados de destino. É o mesmo ID do armazenamento DICOM no conjunto de dados de origem.
Para enviar a solicitação, escolha uma destas opções:
curl
Execute o seguinte comando:
curl -X GET \
-H "Authorization: Bearer $(gcloud auth print-access-token)" \
"https://healthcare.googleapis.com/v1/projects/PROJECT_ID/locations/SOURCE_DATASET_LOCATION/datasets/DESTINATION_DATASET_ID/dicomStores/DESTINATION_DICOM_STORE_ID/dicomWeb/instances"PowerShell
Execute o seguinte comando:
$cred = gcloud auth print-access-token
$headers = @{ "Authorization" = "Bearer $cred" }
Invoke-WebRequest `
-Method GET `
-Headers $headers `
-Uri "https://healthcare.googleapis.com/v1/projects/PROJECT_ID/locations/SOURCE_DATASET_LOCATION/datasets/DESTINATION_DATASET_ID/dicomStores/DESTINATION_DICOM_STORE_ID/dicomWeb/instances" | Select-Object -Expand ContentAPIs Explorer
Abra a página de referência do método. O painel "APIs Explorer" é aberto no lado direito da página. Interaja com essa ferramenta para enviar solicitações. Preencha todos os campos obrigatórios e clique em Executar.
Você receberá uma resposta JSON semelhante a esta:
A tabela a seguir mostra como os UIDs de estudos, de série e de instâncias foram alterados:Metadados da instância original Metadados de instância desidentificados UID de estudos ( 0020000D)2.25.705416166388191385680432936715593223551.3.6.1.4.1.11129.5.1.201854290391432893460946240745559593763UID da série ( 0020000E)1.2.276.0.7230010.3.1.3.8323329.78.1531234558.5236941.3.6.1.4.1.11129.5.1.303327499491957026103380014864616068710UID das instâncias ( 00080018)1.2.276.0.7230010.3.1.4.8323329.78.1539083058.5236951.3.6.1.4.1.11129.5.1.97415866390999888717168863957686758029 Usando os novos valores, recupere os metadados da instância.
Antes de usar os dados da solicitação abaixo, faça as substituições a seguir:
- PROJECT_ID: ID do seu projeto Google Cloud
- LOCATION: o local do conjunto de dados;
- DESTINATION_DATASET_ID: o ID do conjunto de dados de destino em que os dados pseudonimizados são gravados.
- DESTINATION_DICOM_STORE_ID: o ID do armazenamento DICOM no conjunto de dados de destino. É o mesmo ID do armazenamento DICOM no conjunto de dados de origem.
Para enviar a solicitação, escolha uma destas opções:
A saída contém os novos metadados. É possível comparar os novos metadados com os metadados originais para ver o efeito da transformação.curl
Execute o seguinte comando:
curl -X GET \
-H "Authorization: Bearer $(gcloud auth print-access-token)" \
"https://healthcare.googleapis.com/v1/projects/PROJECT_ID/locations/LOCATION/datasets/DESTINATION_DATASET_ID/dicomStores/DESTINATION_DICOM_STORE_ID/dicomWeb/studies/1.3.6.1.4.1.11129.5.1.201854290391432893460946240745559593763/series/1.3.6.1.4.1.11129.5.1.303327499491957026103380014864616068710/instances/1.3.6.1.4.1.11129.5.1.97415866390999888717168863957686758029/metadata"PowerShell
Execute o seguinte comando:
$cred = gcloud auth print-access-token
$headers = @{ "Authorization" = "Bearer $cred" }
Invoke-WebRequest `
-Method GET `
-Headers $headers `
-Uri "https://healthcare.googleapis.com/v1/projects/PROJECT_ID/locations/LOCATION/datasets/DESTINATION_DATASET_ID/dicomStores/DESTINATION_DICOM_STORE_ID/dicomWeb/studies/1.3.6.1.4.1.11129.5.1.201854290391432893460946240745559593763/series/1.3.6.1.4.1.11129.5.1.303327499491957026103380014864616068710/instances/1.3.6.1.4.1.11129.5.1.97415866390999888717168863957686758029/metadata" | Select-Object -Expand ContentAPIs Explorer
Abra a página de referência do método. O painel "APIs Explorer" é aberto no lado direito da página. Interaja com essa ferramenta para enviar solicitações. Preencha todos os campos obrigatórios e clique em Executar.
Como desidentificar dados no console do Google Cloud
Para desidentificar dados no console do Google Cloud , siga estas etapas:
No Google Cloud console, acesse a página "Conjuntos de dados".
Escolha Desidentificar na lista Ações do conjunto de dados que você está desidentificando.
A página Desidentificar conjunto de dados é exibida.
Selecione Definir conjunto de dados de destino e insira um nome para o novo conjunto de dados para armazenar seus dados desidentificados.
Selecione Desidentificação da tag DICOM para selecionar o perfil para o qual os dados são desidentificados. Os dados podem ser desidentificados da seguinte maneira:
KEEP_ALL_PROFILE: manter todas as metatags DICOMDEIDENTIFY_TAG_CONTENTS: desidentificar dados nas metatagsATTRIBUTE_CONFIDENTIALITY_BASIC_PROFILE: remover metatags de acordo com o perfil básico no padrão DICOMMINIMAL_KEEP_LIST_PROFILE: manter apenas as metatags necessárias para um objeto DICOM válido.- Ignorar edição de ID: gerar novamente os campos UID, conforme determinado pelo padrão DICOM
Selecione Edição de texto gravado no DICOM para configurar como a edição de imagens é executada durante a desidentificação. Você pode configurar a edição da imagem da seguinte maneira:
REDACT_NO_TEXT: não editar texto em imagens.REDACT_SENSITIVE_TEXT: editar somente texto confidencial em imagensREDACT_ALL_TEXT: editar todo o texto nas imagens
Clique em Desidentificar para desidentificar os dados no conjunto de dados.
Como editar texto gravado de imagens
A API Cloud Healthcare pode editar texto gravado confidencial de imagens. Os dados confidenciais, como PHI, são detectados pela API, que os oculta usando um retângulo opaco. A API retorna as mesmas imagens DICOM fornecidas no mesmo formato, mas qualquer texto identificado como contendo informações confidenciais de acordo com seus critérios é editado.
É possível editar texto gravado de imagens ao especificar uma opção TextRedactionMode dentro de um objeto ImageConfig. Consulte a documentação TextRedactionMode para ver os possíveis valores.
Como editar todo o texto gravado de uma imagem
Os exemplos a seguir mostram como editar todo o texto gravado de imagens DICOM em um conjunto de dados. Isso é feito especificando REDACT_ALL_TEXT no campo TextRedactionMode.
Depois de enviar a imagem para a API Cloud Healthcare usando a opção REDACT_ALL_TEXT, a imagem aparece da seguinte maneira. Embora o texto gravado na parte inferior da imagem tenha sido removido, os metadados nos cantos superiores da imagem permanecem. Para remover os metadados, consulte Como desidentificar tags DICOM.

REST
Desidentifique o conjunto de dados.
Antes de usar os dados da solicitação abaixo, faça as substituições a seguir:
- PROJECT_ID: ID do seu projeto Google Cloud
- LOCATION: o local do conjunto de dados;
- SOURCE_DATASET_ID: o ID do conjunto de dados que contém os dados a serem desidentificados.
- DESTINATION_DATASET_ID: o ID do conjunto de dados de destino em que os dados pseudonimizados são gravados.
Corpo JSON da solicitação:
{ "destinationDataset": "projects/PROJECT_ID/locations/LOCATION/datasets/DESTINATION_DATASET_ID", "config": { "dicom": {}, "image": { "textRedactionMode": "REDACT_ALL_TEXT" } } }Para enviar a solicitação, escolha uma destas opções:
A saída é esta: A resposta contém um identificador para uma operação de longa duração. Operações de longa duração são retornadas quando as chamadas de método podem demorar um tempo significativo para serem concluídas. Anote o valor de OPERATION_ID. Você vai precisar desse valor na próxima etapa.curl
Salve o corpo da solicitação em um arquivo chamado
request.json. Execute o comando a seguir no terminal para criar ou substituir esse arquivo no diretório atual:cat > request.json << 'EOF' { "destinationDataset": "projects/PROJECT_ID/locations/LOCATION/datasets/DESTINATION_DATASET_ID", "config": { "dicom": {}, "image": { "textRedactionMode": "REDACT_ALL_TEXT" } } } EOFDepois execute o comando a seguir para enviar a solicitação REST:
curl -X POST \
-H "Authorization: Bearer $(gcloud auth print-access-token)" \
-H "Content-Type: application/json; charset=utf-8" \
-d @request.json \
"https://healthcare.googleapis.com/v1/projects/PROJECT_ID/locations/LOCATION/datasets/SOURCE_DATASET_ID:deidentify"PowerShell
Salve o corpo da solicitação em um arquivo chamado
request.json. Execute o comando a seguir no terminal para criar ou substituir esse arquivo no diretório atual:@' { "destinationDataset": "projects/PROJECT_ID/locations/LOCATION/datasets/DESTINATION_DATASET_ID", "config": { "dicom": {}, "image": { "textRedactionMode": "REDACT_ALL_TEXT" } } } '@ | Out-File -FilePath request.json -Encoding utf8Depois execute o comando a seguir para enviar a solicitação REST:
$cred = gcloud auth print-access-token
$headers = @{ "Authorization" = "Bearer $cred" }
Invoke-WebRequest `
-Method POST `
-Headers $headers `
-ContentType: "application/json; charset=utf-8" `
-InFile request.json `
-Uri "https://healthcare.googleapis.com/v1/projects/PROJECT_ID/locations/LOCATION/datasets/SOURCE_DATASET_ID:deidentify" | Select-Object -Expand Content- Use o método
projects.locations.datasets.operations.getpara receber o status da operação de longa duração.
Antes de usar os dados da solicitação abaixo, faça as substituições a seguir:
- PROJECT_ID: ID do seu projeto Google Cloud
- DATASET_ID: o ID do conjunto de dados;
- LOCATION: o local do conjunto de dados;
- OPERATION_ID: o ID retornado da operação de longa duração.
Para enviar a solicitação, escolha uma destas opções:
A saída é esta: Quando a resposta contémcurl
Execute o seguinte comando:
curl -X GET \
-H "Authorization: Bearer $(gcloud auth print-access-token)" \
"https://healthcare.googleapis.com/v1/projects/PROJECT_ID/locations/LOCATION/datasets/DATASET_ID/operations/OPERATION_ID"PowerShell
Execute o seguinte comando:
$cred = gcloud auth print-access-token
$headers = @{ "Authorization" = "Bearer $cred" }
Invoke-WebRequest `
-Method GET `
-Headers $headers `
-Uri "https://healthcare.googleapis.com/v1/projects/PROJECT_ID/locations/LOCATION/datasets/DATASET_ID/operations/OPERATION_ID" | Select-Object -Expand ContentAPIs Explorer
Abra a página de referência do método. O painel "APIs Explorer" é aberto no lado direito da página. Interaja com essa ferramenta para enviar solicitações. Preencha todos os campos obrigatórios e clique em Executar.
"done": true, a operação de longa duração é concluída. - Depois que a desidentificação for bem-sucedida, você poderá recuperar os metadados da instância desidentificada para ver como ela mudou. A instância desidentificada tem um novo UID de estudos, de série e de instâncias. Portanto, primeiro você precisa procurar no novo conjunto de dados a instância desidentificada.
Antes de usar os dados da solicitação abaixo, faça as substituições a seguir:
- PROJECT_ID: ID do seu projeto Google Cloud
- SOURCE_DATASET_LOCATION: o local do conjunto de dados de origem
- DESTINATION_DATASET_ID: o ID do conjunto de dados de destino em que os dados pseudonimizados são gravados.
- DESTINATION_DICOM_STORE_ID: o ID do armazenamento DICOM no conjunto de dados de destino. É o mesmo ID do armazenamento DICOM no conjunto de dados de origem.
Para enviar a solicitação, escolha uma destas opções:
curl
Execute o seguinte comando:
curl -X GET \
-H "Authorization: Bearer $(gcloud auth print-access-token)" \
"https://healthcare.googleapis.com/v1/projects/PROJECT_ID/locations/SOURCE_DATASET_LOCATION/datasets/DESTINATION_DATASET_ID/dicomStores/DESTINATION_DICOM_STORE_ID/dicomWeb/instances"PowerShell
Execute o seguinte comando:
$cred = gcloud auth print-access-token
$headers = @{ "Authorization" = "Bearer $cred" }
Invoke-WebRequest `
-Method GET `
-Headers $headers `
-Uri "https://healthcare.googleapis.com/v1/projects/PROJECT_ID/locations/SOURCE_DATASET_LOCATION/datasets/DESTINATION_DATASET_ID/dicomStores/DESTINATION_DICOM_STORE_ID/dicomWeb/instances" | Select-Object -Expand ContentAPIs Explorer
Abra a página de referência do método. O painel "APIs Explorer" é aberto no lado direito da página. Interaja com essa ferramenta para enviar solicitações. Preencha todos os campos obrigatórios e clique em Executar.
Você receberá uma resposta JSON semelhante a esta:
A tabela a seguir mostra como os UIDs de estudos, de série e de instâncias foram alterados:Metadados da instância original Metadados de instância desidentificados UID de estudos ( 0020000D)2.25.705416166388191385680432936715593223551.3.6.1.4.1.11129.5.1.201854290391432893460946240745559593763UID da série ( 0020000E)1.2.276.0.7230010.3.1.3.8323329.78.1531234558.5236941.3.6.1.4.1.11129.5.1.303327499491957026103380014864616068710UID das instâncias ( 00080018)1.2.276.0.7230010.3.1.4.8323329.78.1539083058.5236951.3.6.1.4.1.11129.5.1.97415866390999888717168863957686758029
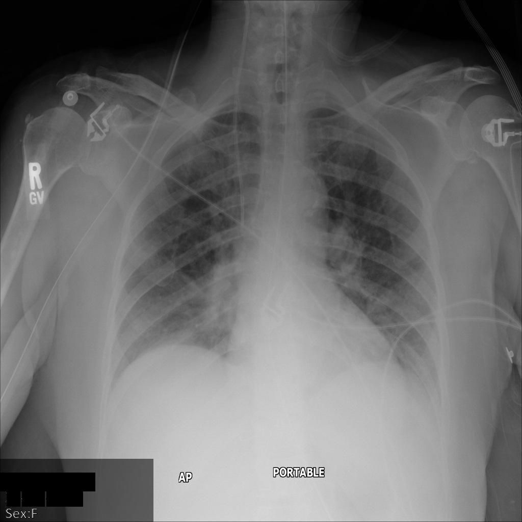
Como editar apenas texto confidencial gravado de uma imagem
Os exemplos a seguir mostram como editar texto gravado confidencial de imagens DICOM em um conjunto de dados. Isso é feito especificando REDACT_SENSITIVE_TEXT no campo TextRedactionMode.
Os infoTypes especificados nos infoTypes DICOM padrão são editados quando REDACT_SENSITIVE_TEXT é especificado. Dois infoTypes personalizados adicionais também são aplicados para a edição de:
- Identificadores de pacientes, como números de registros médicos (MRNs)
- Números de acesso
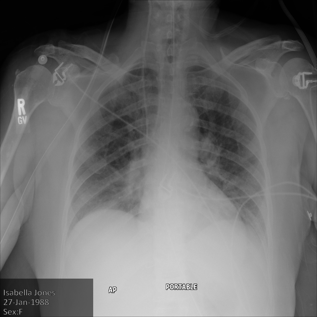
A imagem a seguir mostra um raio-x não editado de um paciente:

Depois de enviar a imagem para a API Cloud Healthcare usando a opção REDACT_SENSITIVE_TEXT, a imagem aparece da seguinte maneira:

É possível ver que ocorreu o seguinte:
- O
PERSON_NAMEno canto inferior esquerdo da imagem foi editado. - O
DATEno canto inferior esquerdo da imagem foi editado.
O sexo do paciente não foi editado porque não é considerado texto confidencial de acordo com os infoTypes DICOM padrão.
REST
Desidentifique o conjunto de dados.
Antes de usar os dados da solicitação abaixo, faça as substituições a seguir:
- PROJECT_ID: ID do seu projeto Google Cloud
- LOCATION: o local do conjunto de dados;
- SOURCE_DATASET_ID: o ID do conjunto de dados que contém os dados a serem desidentificados.
- DESTINATION_DATASET_ID: o ID do conjunto de dados de destino em que os dados pseudonimizados são gravados.
Corpo JSON da solicitação:
{ "destinationDataset": "projects/PROJECT_ID/locations/LOCATION/datasets/DESTINATION_DATASET_ID", "config": { "dicom": {}, "image": { "textRedactionMode": "REDACT_SENSITIVE_TEXT" } } }Para enviar a solicitação, escolha uma destas opções:
A saída é esta: A resposta contém um identificador para uma operação de longa duração. Operações de longa duração são retornadas quando as chamadas de método podem demorar um tempo significativo para serem concluídas. Anote o valor de OPERATION_ID. Você vai precisar desse valor na próxima etapa.curl
Salve o corpo da solicitação em um arquivo chamado
request.json. Execute o comando a seguir no terminal para criar ou substituir esse arquivo no diretório atual:cat > request.json << 'EOF' { "destinationDataset": "projects/PROJECT_ID/locations/LOCATION/datasets/DESTINATION_DATASET_ID", "config": { "dicom": {}, "image": { "textRedactionMode": "REDACT_SENSITIVE_TEXT" } } } EOFDepois execute o comando a seguir para enviar a solicitação REST:
curl -X POST \
-H "Authorization: Bearer $(gcloud auth print-access-token)" \
-H "Content-Type: application/json; charset=utf-8" \
-d @request.json \
"https://healthcare.googleapis.com/v1/projects/PROJECT_ID/locations/LOCATION/datasets/SOURCE_DATASET_ID:deidentify"PowerShell
Salve o corpo da solicitação em um arquivo chamado
request.json. Execute o comando a seguir no terminal para criar ou substituir esse arquivo no diretório atual:@' { "destinationDataset": "projects/PROJECT_ID/locations/LOCATION/datasets/DESTINATION_DATASET_ID", "config": { "dicom": {}, "image": { "textRedactionMode": "REDACT_SENSITIVE_TEXT" } } } '@ | Out-File -FilePath request.json -Encoding utf8Depois execute o comando a seguir para enviar a solicitação REST:
$cred = gcloud auth print-access-token
$headers = @{ "Authorization" = "Bearer $cred" }
Invoke-WebRequest `
-Method POST `
-Headers $headers `
-ContentType: "application/json; charset=utf-8" `
-InFile request.json `
-Uri "https://healthcare.googleapis.com/v1/projects/PROJECT_ID/locations/LOCATION/datasets/SOURCE_DATASET_ID:deidentify" | Select-Object -Expand Content- Use o método
projects.locations.datasets.operations.getpara receber o status da operação de longa duração.
Antes de usar os dados da solicitação abaixo, faça as substituições a seguir:
- PROJECT_ID: ID do seu projeto Google Cloud
- DATASET_ID: o ID do conjunto de dados;
- LOCATION: o local do conjunto de dados;
- OPERATION_ID: o ID retornado da operação de longa duração.
Para enviar a solicitação, escolha uma destas opções:
A saída é esta: Quando a resposta contémcurl
Execute o seguinte comando:
curl -X GET \
-H "Authorization: Bearer $(gcloud auth print-access-token)" \
"https://healthcare.googleapis.com/v1/projects/PROJECT_ID/locations/LOCATION/datasets/DATASET_ID/operations/OPERATION_ID"PowerShell
Execute o seguinte comando:
$cred = gcloud auth print-access-token
$headers = @{ "Authorization" = "Bearer $cred" }
Invoke-WebRequest `
-Method GET `
-Headers $headers `
-Uri "https://healthcare.googleapis.com/v1/projects/PROJECT_ID/locations/LOCATION/datasets/DATASET_ID/operations/OPERATION_ID" | Select-Object -Expand ContentAPIs Explorer
Abra a página de referência do método. O painel "APIs Explorer" é aberto no lado direito da página. Interaja com essa ferramenta para enviar solicitações. Preencha todos os campos obrigatórios e clique em Executar.
"done": true, a operação de longa duração é concluída. - Depois que a desidentificação for bem-sucedida, você poderá recuperar os metadados da instância desidentificada para ver como ela mudou. A instância desidentificada tem um novo UID de estudos, de série e de instâncias. Portanto, primeiro você precisa procurar no novo conjunto de dados a instância desidentificada.
Antes de usar os dados da solicitação abaixo, faça as substituições a seguir:
- PROJECT_ID: ID do seu projeto Google Cloud
- SOURCE_DATASET_LOCATION: o local do conjunto de dados de origem
- DESTINATION_DATASET_ID: o ID do conjunto de dados de destino em que os dados pseudonimizados são gravados.
- DESTINATION_DICOM_STORE_ID: o ID do armazenamento DICOM no conjunto de dados de destino. É o mesmo ID do armazenamento DICOM no conjunto de dados de origem.
Para enviar a solicitação, escolha uma destas opções:
curl
Execute o seguinte comando:
curl -X GET \
-H "Authorization: Bearer $(gcloud auth print-access-token)" \
"https://healthcare.googleapis.com/v1/projects/PROJECT_ID/locations/SOURCE_DATASET_LOCATION/datasets/DESTINATION_DATASET_ID/dicomStores/DESTINATION_DICOM_STORE_ID/dicomWeb/instances"PowerShell
Execute o seguinte comando:
$cred = gcloud auth print-access-token
$headers = @{ "Authorization" = "Bearer $cred" }
Invoke-WebRequest `
-Method GET `
-Headers $headers `
-Uri "https://healthcare.googleapis.com/v1/projects/PROJECT_ID/locations/SOURCE_DATASET_LOCATION/datasets/DESTINATION_DATASET_ID/dicomStores/DESTINATION_DICOM_STORE_ID/dicomWeb/instances" | Select-Object -Expand ContentAPIs Explorer
Abra a página de referência do método. O painel "APIs Explorer" é aberto no lado direito da página. Interaja com essa ferramenta para enviar solicitações. Preencha todos os campos obrigatórios e clique em Executar.
Você receberá uma resposta JSON semelhante a esta:
A tabela a seguir mostra como os UIDs de estudos, de série e de instâncias foram alterados:Metadados da instância original Metadados de instância desidentificados UID de estudos ( 0020000D)2.25.705416166388191385680432936715593223551.3.6.1.4.1.11129.5.1.201854290391432893460946240745559593763UID da série ( 0020000E)1.2.276.0.7230010.3.1.3.8323329.78.1531234558.5236941.3.6.1.4.1.11129.5.1.303327499491957026103380014864616068710UID das instâncias ( 00080018)1.2.276.0.7230010.3.1.4.8323329.78.1539083058.5236951.3.6.1.4.1.11129.5.1.97415866390999888717168863957686758029
Como combinar desidentificação de tag e edição de texto gravado
É possível combinar a desidentificação usando tags com a edição de texto gravado de imagens para identificar instâncias DICOM em um nível mais granular. Por exemplo, combinando REDACT_ALL_TEXT no campo TextRedactionMode com DEIDENTIFY_TAG_CONTENTS no campo TagFilterProfile, é possível usar as seguintes funções:
REDACT_ALL_TEXT: editar todo o texto gravado na imagem.DEIDENTIFY_TAG_CONTENTS: inspecionar o conteúdo da tag e transformar o texto confidencial. Para mais informações sobre o comportamento deDEIDENTIFY_TAG_CONTENTS, consulte Configuração padrão.
Depois de enviar a imagem para a API Cloud Healthcare usando as opções REDACT_ALL_TEXT e DEIDENTIFY_TAG_CONTENTS, a imagem aparece da seguinte maneira. Observe as seguintes alterações:
- Os nomes no canto superior esquerdo e no canto superior direito da imagem foram transformados usando um
CryptoHashConfig. - As datas no canto superior esquerdo e superior direito da imagem foram transformadas usando um
DateShiftConfig. - O texto gravado na parte inferior da imagem foi editado.

REST
Desidentifique o conjunto de dados.
Antes de usar os dados da solicitação abaixo, faça as substituições a seguir:
- PROJECT_ID: ID do seu projeto Google Cloud
- LOCATION: o local do conjunto de dados;
- SOURCE_DATASET_ID: o ID do conjunto de dados que contém os dados a serem desidentificados.
- DESTINATION_DATASET_ID: o ID do conjunto de dados de destino em que os dados pseudonimizados são gravados.
Corpo JSON da solicitação:
{ "destinationDataset": "projects/PROJECT_ID/locations/LOCATION/datasets/DESTINATION_DATASET_ID", "config": { "dicom": { "filterProfile": "DEIDENTIFY_TAG_CONTENTS" }, "image": { "textRedactionMode": "REDACT_ALL_TEXT" } } }Para enviar a solicitação, escolha uma destas opções:
A saída é esta: A resposta contém um identificador para uma operação de longa duração. Operações de longa duração são retornadas quando as chamadas de método podem demorar um tempo significativo para serem concluídas. Anote o valor de OPERATION_ID. Você vai precisar desse valor na próxima etapa.curl
Salve o corpo da solicitação em um arquivo chamado
request.json. Execute o comando a seguir no terminal para criar ou substituir esse arquivo no diretório atual:cat > request.json << 'EOF' { "destinationDataset": "projects/PROJECT_ID/locations/LOCATION/datasets/DESTINATION_DATASET_ID", "config": { "dicom": { "filterProfile": "DEIDENTIFY_TAG_CONTENTS" }, "image": { "textRedactionMode": "REDACT_ALL_TEXT" } } } EOFDepois execute o comando a seguir para enviar a solicitação REST:
curl -X POST \
-H "Authorization: Bearer $(gcloud auth print-access-token)" \
-H "Content-Type: application/json; charset=utf-8" \
-d @request.json \
"https://healthcare.googleapis.com/v1/projects/PROJECT_ID/locations/LOCATION/datasets/SOURCE_DATASET_ID:deidentify"PowerShell
Salve o corpo da solicitação em um arquivo chamado
request.json. Execute o comando a seguir no terminal para criar ou substituir esse arquivo no diretório atual:@' { "destinationDataset": "projects/PROJECT_ID/locations/LOCATION/datasets/DESTINATION_DATASET_ID", "config": { "dicom": { "filterProfile": "DEIDENTIFY_TAG_CONTENTS" }, "image": { "textRedactionMode": "REDACT_ALL_TEXT" } } } '@ | Out-File -FilePath request.json -Encoding utf8Depois execute o comando a seguir para enviar a solicitação REST:
$cred = gcloud auth print-access-token
$headers = @{ "Authorization" = "Bearer $cred" }
Invoke-WebRequest `
-Method POST `
-Headers $headers `
-ContentType: "application/json; charset=utf-8" `
-InFile request.json `
-Uri "https://healthcare.googleapis.com/v1/projects/PROJECT_ID/locations/LOCATION/datasets/SOURCE_DATASET_ID:deidentify" | Select-Object -Expand Content- Use o método
projects.locations.datasets.operations.getpara receber o status da operação de longa duração.
Antes de usar os dados da solicitação abaixo, faça as substituições a seguir:
- PROJECT_ID: ID do seu projeto Google Cloud
- DATASET_ID: o ID do conjunto de dados;
- LOCATION: o local do conjunto de dados;
- OPERATION_ID: o ID retornado da operação de longa duração.
Para enviar a solicitação, escolha uma destas opções:
A saída é esta: Quando a resposta contémcurl
Execute o seguinte comando:
curl -X GET \
-H "Authorization: Bearer $(gcloud auth print-access-token)" \
"https://healthcare.googleapis.com/v1/projects/PROJECT_ID/locations/LOCATION/datasets/DATASET_ID/operations/OPERATION_ID"PowerShell
Execute o seguinte comando:
$cred = gcloud auth print-access-token
$headers = @{ "Authorization" = "Bearer $cred" }
Invoke-WebRequest `
-Method GET `
-Headers $headers `
-Uri "https://healthcare.googleapis.com/v1/projects/PROJECT_ID/locations/LOCATION/datasets/DATASET_ID/operations/OPERATION_ID" | Select-Object -Expand ContentAPIs Explorer
Abra a página de referência do método. O painel "APIs Explorer" é aberto no lado direito da página. Interaja com essa ferramenta para enviar solicitações. Preencha todos os campos obrigatórios e clique em Executar.
"done": true, a operação de longa duração é concluída. - Depois que a desidentificação for bem-sucedida, você poderá recuperar os metadados da instância desidentificada para ver como ela mudou. A instância desidentificada tem um novo UID de estudos, de série e de instâncias. Portanto, primeiro você precisa procurar no novo conjunto de dados a instância desidentificada.
Antes de usar os dados da solicitação abaixo, faça as substituições a seguir:
- PROJECT_ID: ID do seu projeto Google Cloud
- SOURCE_DATASET_LOCATION: o local do conjunto de dados de origem
- DESTINATION_DATASET_ID: o ID do conjunto de dados de destino em que os dados pseudonimizados são gravados.
- DESTINATION_DICOM_STORE_ID: o ID do armazenamento DICOM no conjunto de dados de destino. É o mesmo ID do armazenamento DICOM no conjunto de dados de origem.
Para enviar a solicitação, escolha uma destas opções:
curl
Execute o seguinte comando:
curl -X GET \
-H "Authorization: Bearer $(gcloud auth print-access-token)" \
"https://healthcare.googleapis.com/v1/projects/PROJECT_ID/locations/SOURCE_DATASET_LOCATION/datasets/DESTINATION_DATASET_ID/dicomStores/DESTINATION_DICOM_STORE_ID/dicomWeb/instances"PowerShell
Execute o seguinte comando:
$cred = gcloud auth print-access-token
$headers = @{ "Authorization" = "Bearer $cred" }
Invoke-WebRequest `
-Method GET `
-Headers $headers `
-Uri "https://healthcare.googleapis.com/v1/projects/PROJECT_ID/locations/SOURCE_DATASET_LOCATION/datasets/DESTINATION_DATASET_ID/dicomStores/DESTINATION_DICOM_STORE_ID/dicomWeb/instances" | Select-Object -Expand ContentAPIs Explorer
Abra a página de referência do método. O painel "APIs Explorer" é aberto no lado direito da página. Interaja com essa ferramenta para enviar solicitações. Preencha todos os campos obrigatórios e clique em Executar.
Você receberá uma resposta JSON semelhante a esta:
Usando os novos valores, recupere os metadados da instância.
Antes de usar os dados da solicitação abaixo, faça as substituições a seguir:
- PROJECT_ID: ID do seu projeto Google Cloud
- LOCATION: o local do conjunto de dados;
- DESTINATION_DATASET_ID: o ID do conjunto de dados de destino em que os dados pseudonimizados são gravados.
- DESTINATION_DICOM_STORE_ID: o ID do armazenamento DICOM no conjunto de dados de destino. É o mesmo ID do armazenamento DICOM no conjunto de dados de origem.
Para enviar a solicitação, escolha uma destas opções:
A saída contém os novos metadados. É possível comparar os novos metadados com os metadados originais para ver o efeito da transformação.curl
Execute o seguinte comando:
curl -X GET \
-H "Authorization: Bearer $(gcloud auth print-access-token)" \
"https://healthcare.googleapis.com/v1/projects/PROJECT_ID/locations/LOCATION/datasets/DESTINATION_DATASET_ID/dicomStores/DESTINATION_DICOM_STORE_ID/dicomWeb/studies/1.3.6.1.4.1.11129.5.1.201854290391432893460946240745559593763/series/1.3.6.1.4.1.11129.5.1.303327499491957026103380014864616068710/instances/1.3.6.1.4.1.11129.5.1.97415866390999888717168863957686758029/metadata"PowerShell
Execute o seguinte comando:
$cred = gcloud auth print-access-token
$headers = @{ "Authorization" = "Bearer $cred" }
Invoke-WebRequest `
-Method GET `
-Headers $headers `
-Uri "https://healthcare.googleapis.com/v1/projects/PROJECT_ID/locations/LOCATION/datasets/DESTINATION_DATASET_ID/dicomStores/DESTINATION_DICOM_STORE_ID/dicomWeb/studies/1.3.6.1.4.1.11129.5.1.201854290391432893460946240745559593763/series/1.3.6.1.4.1.11129.5.1.303327499491957026103380014864616068710/instances/1.3.6.1.4.1.11129.5.1.97415866390999888717168863957686758029/metadata" | Select-Object -Expand ContentAPIs Explorer
Abra a página de referência do método. O painel "APIs Explorer" é aberto no lado direito da página. Interaja com essa ferramenta para enviar solicitações. Preencha todos os campos obrigatórios e clique em Executar.
Como usar infoTypes e transformações primitivas com tags DICOM
A API Cloud Healthcare pode usar tipos de informações (infoTypes) para definir quais dados ela verifica ao realizar a desidentificação em tags. Um infoType é um tipo de dados confidenciais, como nome do paciente, endereço de e-mail, número de telefone, número de identificação ou número de cartão de crédito.
As transformações primitivas são regras usadas para transformar um valor de entrada. É possível personalizar como as tags DICOM são desidentificadas aplicando uma transformação primitiva ao infoType de cada tag. Por exemplo, é possível desidentificar o sobrenome de um paciente e substituí-lo por uma série de asteriscos especificando o infoType LAST_NAME pela transformação primitiva CharacterMaskConfig.
InfoTypes DICOM padrão
Os infoTypes DICOM padrão usados ao desidentificar metadados são:
AGECREDIT_CARD_NUMBERDATEEMAIL_ADDRESSIP_ADDRESSLOCATIONMAC_ADDRESSPASSPORTPERSON_NAMEPHONE_NUMBERSWIFT_CODEUS_DRIVERS_LICENSE_NUMBERUS_SOCIAL_SECURITY_NUMBERUS_VEHICLE_IDENTIFICATION_NUMBERUS_INDIVIDUAL_TAXPAYER_IDENTIFICATION_NUMBER
Quando você desidentifica o texto sensível em imagens usando REDACT_SENSITIVE_TEXT, a API Cloud Healthcare usa os infoTypes acima, mas dois infoTypes personalizados adicionais também são aplicados ao texto sensível na imagem para:
- Identificadores de pacientes, como números de registros médicos (MRNs)
- Números de acesso
Opções de transformação primitivas
As opções de transformação primitiva da API Cloud Healthcare incluem:
RedactConfig: edita um valor removendo-o.CharacterMaskConfig: mascara uma string total ou parcialmente substituindo os caracteres de entrada por um caractere fixo especificado.DateShiftConfig: altera as datas para um número aleatório de dias, com a opção de ser consistente para o mesmo contexto.CryptoHashConfig: usa SHA-256 para substituir valores de entrada por uma representação codificada em base64 de uma string de saída gerada por hash usando uma determinada chave de criptografia de dados.ReplaceWithInfoTypeConfig: substitui um valor de entrada pelo nome de seu infoType.
Como especificar configurações em TextConfig
InfoTypes e transformações primitivas são especificadas em um InfoTypeTransformation, que é um objeto dentro de TextConfig.
Os InfoTypes são inseridos na matriz infoTypes como valores separados por vírgula.
Especificar um infoType é opcional. Se você não especificar pelo menos um infoType, a transformação será aplicada aos infoTypes DICOM padrão encontrados na API Cloud Healthcare.
Se você especificar qualquer infoTypes em InfoTypeTransformation, será necessário especificar pelo menos uma transformação primitiva.
É possível aplicar um InfoTypeTransformation apenas ao perfil DEIDENTIFY_TAG_CONTENTS.
Um InfoTypeTransformation não pode ser aplicado aos outros perfis listados em TagFilterProfile.
As seções a seguir mostram como usar as transformações primitivas disponíveis em InfoTypeTransformation junto com infoTypes para personalizar como as tags DICOM são desidentificadas. As
amostras usam a imagem de amostra
fornecida na Visão geral de amostras
e os metadados de amostra fornecidos em Como desidentificar tags DICOM.
Configuração padrão
Por padrão, quando o perfil DEIDENTIFY_TAG_CONTENTS é definido sem fornecer qualquer configuração no objeto TextConfig, a API Cloud Healthcare substitui os dados confidenciais usando os infoTypes DICOM padrão.
No entanto, há um comportamento diferente para os infoTypes DATE e PERSON_NAME, conforme mostrado abaixo:
- Um
DateShiftConfigé aplicado ao texto classificado como um infoTypeDATE. ODateShiftConfigusa uma técnica de mudança de data com um diferença de 100 dias. - Um
CryptoHashConfigé aplicado ao texto classificado como um infoTypePERSON_NAME. OCryptoHashConfigexecuta tokenização gerando um valor alternativo usando hash criptográfico.
O seguinte comportamento também se aplica:
- Todas as idades de pacientes com um valor maior ou igual a 90 são convertidas em 90.
- Se uma transformação não puder ser aplicada devido a restrições de formato DICOM, será fornecido um valor de marcador que corresponda à Representação de valor (RV) da tag.
- Todos os outros valores que correspondem a um dos infoTypes DICOM padrão na API Cloud Healthcare são substituídos pelo infoType. Por exemplo, se a tag
PatientCommentscontivesse a string "Ann Johnson foi para o hospital de Anytown", "Anytown" seria substituída pelo infoTypeLOCATION.
Nas amostras a seguir, você verá a saída do uso do perfil padrão DEIDENTIFY_TAG_CONTENTS em um conjunto de dados contendo armazenamentos DICOM e dados DICOM. É possível comparar essa saída padrão com as saídas ao usar as várias transformações primitivas com combinações de infoType. As amostras usam uma única instância DICOM, mas é possível desidentificar várias instâncias.
Depois de enviar a imagem para a API Cloud Healthcare usando o perfil
DEIDENTIFY_TAG_CONTENTS, a imagem aparece da seguinte maneira.
Observe as seguintes alterações:
- Os nomes no canto superior esquerdo e no canto superior direito da imagem foram transformados usando um
CryptoHashConfig. - As datas no canto superior esquerdo e superior direito da imagem foram transformadas usando um
DateShiftConfig.

REST
Desidentifique o conjunto de dados.
Antes de usar os dados da solicitação abaixo, faça as substituições a seguir:
- PROJECT_ID: ID do seu projeto Google Cloud
- LOCATION: o local do conjunto de dados;
- SOURCE_DATASET_ID: o ID do conjunto de dados que contém os dados a serem desidentificados.
- DESTINATION_DATASET_ID: o ID do conjunto de dados de destino em que os dados pseudonimizados são gravados.
Corpo JSON da solicitação:
{ "destinationDataset": "projects/PROJECT_ID/locations/LOCATION/datasets/DESTINATION_DATASET_ID", "config": { "dicom": { "filterProfile": "DEIDENTIFY_TAG_CONTENTS" } } }Para enviar a solicitação, escolha uma destas opções:
A saída é esta: A resposta contém um identificador para uma operação de longa duração. Operações de longa duração são retornadas quando as chamadas de método podem demorar um tempo significativo para serem concluídas. Anote o valor de OPERATION_ID. Você vai precisar desse valor na próxima etapa.curl
Salve o corpo da solicitação em um arquivo chamado
request.json. Execute o comando a seguir no terminal para criar ou substituir esse arquivo no diretório atual:cat > request.json << 'EOF' { "destinationDataset": "projects/PROJECT_ID/locations/LOCATION/datasets/DESTINATION_DATASET_ID", "config": { "dicom": { "filterProfile": "DEIDENTIFY_TAG_CONTENTS" } } } EOFDepois execute o comando a seguir para enviar a solicitação REST:
curl -X POST \
-H "Authorization: Bearer $(gcloud auth print-access-token)" \
-H "Content-Type: application/json; charset=utf-8" \
-d @request.json \
"https://healthcare.googleapis.com/v1/projects/PROJECT_ID/locations/LOCATION/datasets/SOURCE_DATASET_ID:deidentify"PowerShell
Salve o corpo da solicitação em um arquivo chamado
request.json. Execute o comando a seguir no terminal para criar ou substituir esse arquivo no diretório atual:@' { "destinationDataset": "projects/PROJECT_ID/locations/LOCATION/datasets/DESTINATION_DATASET_ID", "config": { "dicom": { "filterProfile": "DEIDENTIFY_TAG_CONTENTS" } } } '@ | Out-File -FilePath request.json -Encoding utf8Depois execute o comando a seguir para enviar a solicitação REST:
$cred = gcloud auth print-access-token
$headers = @{ "Authorization" = "Bearer $cred" }
Invoke-WebRequest `
-Method POST `
-Headers $headers `
-ContentType: "application/json; charset=utf-8" `
-InFile request.json `
-Uri "https://healthcare.googleapis.com/v1/projects/PROJECT_ID/locations/LOCATION/datasets/SOURCE_DATASET_ID:deidentify" | Select-Object -Expand Content- Use o método
projects.locations.datasets.operations.getpara receber o status da operação de longa duração.
Antes de usar os dados da solicitação abaixo, faça as substituições a seguir:
- PROJECT_ID: ID do seu projeto Google Cloud
- DATASET_ID: o ID do conjunto de dados;
- LOCATION: o local do conjunto de dados;
- OPERATION_ID: o ID retornado da operação de longa duração.
Para enviar a solicitação, escolha uma destas opções:
A saída é esta: Quando a resposta contémcurl
Execute o seguinte comando:
curl -X GET \
-H "Authorization: Bearer $(gcloud auth print-access-token)" \
"https://healthcare.googleapis.com/v1/projects/PROJECT_ID/locations/LOCATION/datasets/DATASET_ID/operations/OPERATION_ID"PowerShell
Execute o seguinte comando:
$cred = gcloud auth print-access-token
$headers = @{ "Authorization" = "Bearer $cred" }
Invoke-WebRequest `
-Method GET `
-Headers $headers `
-Uri "https://healthcare.googleapis.com/v1/projects/PROJECT_ID/locations/LOCATION/datasets/DATASET_ID/operations/OPERATION_ID" | Select-Object -Expand ContentAPIs Explorer
Abra a página de referência do método. O painel "APIs Explorer" é aberto no lado direito da página. Interaja com essa ferramenta para enviar solicitações. Preencha todos os campos obrigatórios e clique em Executar.
"done": true, a operação de longa duração é concluída. - Depois que a desidentificação for bem-sucedida, você poderá recuperar os metadados da instância desidentificada para ver como ela mudou. A instância desidentificada tem um novo UID de estudos, de série e de instâncias. Portanto, primeiro você precisa procurar no novo conjunto de dados a instância desidentificada.
Antes de usar os dados da solicitação abaixo, faça as substituições a seguir:
- PROJECT_ID: ID do seu projeto Google Cloud
- SOURCE_DATASET_LOCATION: o local do conjunto de dados de origem
- DESTINATION_DATASET_ID: o ID do conjunto de dados de destino em que os dados pseudonimizados são gravados.
- DESTINATION_DICOM_STORE_ID: o ID do armazenamento DICOM no conjunto de dados de destino. É o mesmo ID do armazenamento DICOM no conjunto de dados de origem.
Para enviar a solicitação, escolha uma destas opções:
curl
Execute o seguinte comando:
curl -X GET \
-H "Authorization: Bearer $(gcloud auth print-access-token)" \
"https://healthcare.googleapis.com/v1/projects/PROJECT_ID/locations/SOURCE_DATASET_LOCATION/datasets/DESTINATION_DATASET_ID/dicomStores/DESTINATION_DICOM_STORE_ID/dicomWeb/instances"PowerShell
Execute o seguinte comando:
$cred = gcloud auth print-access-token
$headers = @{ "Authorization" = "Bearer $cred" }
Invoke-WebRequest `
-Method GET `
-Headers $headers `
-Uri "https://healthcare.googleapis.com/v1/projects/PROJECT_ID/locations/SOURCE_DATASET_LOCATION/datasets/DESTINATION_DATASET_ID/dicomStores/DESTINATION_DICOM_STORE_ID/dicomWeb/instances" | Select-Object -Expand ContentAPIs Explorer
Abra a página de referência do método. O painel "APIs Explorer" é aberto no lado direito da página. Interaja com essa ferramenta para enviar solicitações. Preencha todos os campos obrigatórios e clique em Executar.
Você receberá uma resposta JSON semelhante a esta:
Usando os novos valores, recupere os metadados da instância.
Antes de usar os dados da solicitação abaixo, faça as substituições a seguir:
- PROJECT_ID: ID do seu projeto Google Cloud
- LOCATION: o local do conjunto de dados;
- DESTINATION_DATASET_ID: o ID do conjunto de dados de destino em que os dados pseudonimizados são gravados.
- DESTINATION_DICOM_STORE_ID: o ID do armazenamento DICOM no conjunto de dados de destino. É o mesmo ID do armazenamento DICOM no conjunto de dados de origem.
Para enviar a solicitação, escolha uma destas opções:
A saída contém os novos metadados. É possível comparar os novos metadados com os metadados originais para ver o efeito da transformação.curl
Execute o seguinte comando:
curl -X GET \
-H "Authorization: Bearer $(gcloud auth print-access-token)" \
"https://healthcare.googleapis.com/v1/projects/PROJECT_ID/locations/LOCATION/datasets/DESTINATION_DATASET_ID/dicomStores/DESTINATION_DICOM_STORE_ID/dicomWeb/studies/1.3.6.1.4.1.11129.5.1.201854290391432893460946240745559593763/series/1.3.6.1.4.1.11129.5.1.303327499491957026103380014864616068710/instances/1.3.6.1.4.1.11129.5.1.97415866390999888717168863957686758029/metadata"PowerShell
Execute o seguinte comando:
$cred = gcloud auth print-access-token
$headers = @{ "Authorization" = "Bearer $cred" }
Invoke-WebRequest `
-Method GET `
-Headers $headers `
-Uri "https://healthcare.googleapis.com/v1/projects/PROJECT_ID/locations/LOCATION/datasets/DESTINATION_DATASET_ID/dicomStores/DESTINATION_DICOM_STORE_ID/dicomWeb/studies/1.3.6.1.4.1.11129.5.1.201854290391432893460946240745559593763/series/1.3.6.1.4.1.11129.5.1.303327499491957026103380014864616068710/instances/1.3.6.1.4.1.11129.5.1.97415866390999888717168863957686758029/metadata" | Select-Object -Expand ContentAPIs Explorer
Abra a página de referência do método. O painel "APIs Explorer" é aberto no lado direito da página. Interaja com essa ferramenta para enviar solicitações. Preencha todos os campos obrigatórios e clique em Executar.
RedactConfig
Especificar redactConfig edita um determinado valor removendo-o completamente.
A mensagem redactConfig não tem argumentos. Especificá-la permite a transformação.
As amostras a seguir se expandem na configuração padrão, mas agora incluem a definição do infoType PERSON_NAME com a transformação redactConfig. O envio dessa solicitação edita todos os nomes da instância DICOM.
Depois de enviar a imagem para a API Cloud Healthcare usando a transformação redactConfig, a imagem aparece da seguinte maneira:

REST
Desidentifique o conjunto de dados.
Antes de usar os dados da solicitação abaixo, faça as substituições a seguir:
- PROJECT_ID: ID do seu projeto Google Cloud
- LOCATION: o local do conjunto de dados;
- SOURCE_DATASET_ID: o ID do conjunto de dados que contém os dados a serem desidentificados.
- DESTINATION_DATASET_ID: o ID do conjunto de dados de destino em que os dados pseudonimizados são gravados.
Corpo JSON da solicitação:
{ "destinationDataset": "projects/PROJECT_ID/locations/LOCATION/datasets/DESTINATION_DATASET_ID", "config": { "dicom": { "filterProfile": "DEIDENTIFY_TAG_CONTENTS" }, "text": { "transformations": [ { "infoTypes": [ "PERSON_NAME" ], "redactConfig": {} } ] } } }Para enviar a solicitação, escolha uma destas opções:
A saída é esta: A resposta contém um identificador para uma operação de longa duração. Operações de longa duração são retornadas quando as chamadas de método podem demorar um tempo significativo para serem concluídas. Anote o valor de OPERATION_ID. Você vai precisar desse valor na próxima etapa.curl
Salve o corpo da solicitação em um arquivo chamado
request.json. Execute o comando a seguir no terminal para criar ou substituir esse arquivo no diretório atual:cat > request.json << 'EOF' { "destinationDataset": "projects/PROJECT_ID/locations/LOCATION/datasets/DESTINATION_DATASET_ID", "config": { "dicom": { "filterProfile": "DEIDENTIFY_TAG_CONTENTS" }, "text": { "transformations": [ { "infoTypes": [ "PERSON_NAME" ], "redactConfig": {} } ] } } } EOFDepois execute o comando a seguir para enviar a solicitação REST:
curl -X POST \
-H "Authorization: Bearer $(gcloud auth print-access-token)" \
-H "Content-Type: application/json; charset=utf-8" \
-d @request.json \
"https://healthcare.googleapis.com/v1/projects/PROJECT_ID/locations/LOCATION/datasets/SOURCE_DATASET_ID:deidentify"PowerShell
Salve o corpo da solicitação em um arquivo chamado
request.json. Execute o comando a seguir no terminal para criar ou substituir esse arquivo no diretório atual:@' { "destinationDataset": "projects/PROJECT_ID/locations/LOCATION/datasets/DESTINATION_DATASET_ID", "config": { "dicom": { "filterProfile": "DEIDENTIFY_TAG_CONTENTS" }, "text": { "transformations": [ { "infoTypes": [ "PERSON_NAME" ], "redactConfig": {} } ] } } } '@ | Out-File -FilePath request.json -Encoding utf8Depois execute o comando a seguir para enviar a solicitação REST:
$cred = gcloud auth print-access-token
$headers = @{ "Authorization" = "Bearer $cred" }
Invoke-WebRequest `
-Method POST `
-Headers $headers `
-ContentType: "application/json; charset=utf-8" `
-InFile request.json `
-Uri "https://healthcare.googleapis.com/v1/projects/PROJECT_ID/locations/LOCATION/datasets/SOURCE_DATASET_ID:deidentify" | Select-Object -Expand Content- Use o método
projects.locations.datasets.operations.getpara receber o status da operação de longa duração.
Antes de usar os dados da solicitação abaixo, faça as substituições a seguir:
- PROJECT_ID: ID do seu projeto Google Cloud
- DATASET_ID: o ID do conjunto de dados;
- LOCATION: o local do conjunto de dados;
- OPERATION_ID: o ID retornado da operação de longa duração.
Para enviar a solicitação, escolha uma destas opções:
A saída é esta: Quando a resposta contémcurl
Execute o seguinte comando:
curl -X GET \
-H "Authorization: Bearer $(gcloud auth print-access-token)" \
"https://healthcare.googleapis.com/v1/projects/PROJECT_ID/locations/LOCATION/datasets/DATASET_ID/operations/OPERATION_ID"PowerShell
Execute o seguinte comando:
$cred = gcloud auth print-access-token
$headers = @{ "Authorization" = "Bearer $cred" }
Invoke-WebRequest `
-Method GET `
-Headers $headers `
-Uri "https://healthcare.googleapis.com/v1/projects/PROJECT_ID/locations/LOCATION/datasets/DATASET_ID/operations/OPERATION_ID" | Select-Object -Expand ContentAPIs Explorer
Abra a página de referência do método. O painel "APIs Explorer" é aberto no lado direito da página. Interaja com essa ferramenta para enviar solicitações. Preencha todos os campos obrigatórios e clique em Executar.
"done": true, a operação de longa duração é concluída. - Depois que a desidentificação for bem-sucedida, você poderá recuperar os metadados da instância desidentificada para ver como ela mudou. A instância desidentificada tem um novo UID de estudos, de série e de instâncias. Portanto, primeiro você precisa procurar no novo conjunto de dados a instância desidentificada.
Antes de usar os dados da solicitação abaixo, faça as substituições a seguir:
- PROJECT_ID: ID do seu projeto Google Cloud
- SOURCE_DATASET_LOCATION: o local do conjunto de dados de origem
- DESTINATION_DATASET_ID: o ID do conjunto de dados de destino em que os dados pseudonimizados são gravados.
- DESTINATION_DICOM_STORE_ID: o ID do armazenamento DICOM no conjunto de dados de destino. É o mesmo ID do armazenamento DICOM no conjunto de dados de origem.
Para enviar a solicitação, escolha uma destas opções:
curl
Execute o seguinte comando:
curl -X GET \
-H "Authorization: Bearer $(gcloud auth print-access-token)" \
"https://healthcare.googleapis.com/v1/projects/PROJECT_ID/locations/SOURCE_DATASET_LOCATION/datasets/DESTINATION_DATASET_ID/dicomStores/DESTINATION_DICOM_STORE_ID/dicomWeb/instances"PowerShell
Execute o seguinte comando:
$cred = gcloud auth print-access-token
$headers = @{ "Authorization" = "Bearer $cred" }
Invoke-WebRequest `
-Method GET `
-Headers $headers `
-Uri "https://healthcare.googleapis.com/v1/projects/PROJECT_ID/locations/SOURCE_DATASET_LOCATION/datasets/DESTINATION_DATASET_ID/dicomStores/DESTINATION_DICOM_STORE_ID/dicomWeb/instances" | Select-Object -Expand ContentAPIs Explorer
Abra a página de referência do método. O painel "APIs Explorer" é aberto no lado direito da página. Interaja com essa ferramenta para enviar solicitações. Preencha todos os campos obrigatórios e clique em Executar.
Você receberá uma resposta JSON semelhante a esta:
Usando os novos valores, recupere os metadados da instância.
Antes de usar os dados da solicitação abaixo, faça as substituições a seguir:
- PROJECT_ID: ID do seu projeto Google Cloud
- LOCATION: o local do conjunto de dados;
- DESTINATION_DATASET_ID: o ID do conjunto de dados de destino em que os dados pseudonimizados são gravados.
- DESTINATION_DICOM_STORE_ID: o ID do armazenamento DICOM no conjunto de dados de destino. É o mesmo ID do armazenamento DICOM no conjunto de dados de origem.
Para enviar a solicitação, escolha uma destas opções:
A saída contém os novos metadados. É possível comparar os novos metadados com os metadados originais para ver o efeito da transformação.curl
Execute o seguinte comando:
curl -X GET \
-H "Authorization: Bearer $(gcloud auth print-access-token)" \
"https://healthcare.googleapis.com/v1/projects/PROJECT_ID/locations/LOCATION/datasets/DESTINATION_DATASET_ID/dicomStores/DESTINATION_DICOM_STORE_ID/dicomWeb/studies/1.3.6.1.4.1.11129.5.1.201854290391432893460946240745559593763/series/1.3.6.1.4.1.11129.5.1.303327499491957026103380014864616068710/instances/1.3.6.1.4.1.11129.5.1.97415866390999888717168863957686758029/metadata"PowerShell
Execute o seguinte comando:
$cred = gcloud auth print-access-token
$headers = @{ "Authorization" = "Bearer $cred" }
Invoke-WebRequest `
-Method GET `
-Headers $headers `
-Uri "https://healthcare.googleapis.com/v1/projects/PROJECT_ID/locations/LOCATION/datasets/DESTINATION_DATASET_ID/dicomStores/DESTINATION_DICOM_STORE_ID/dicomWeb/studies/1.3.6.1.4.1.11129.5.1.201854290391432893460946240745559593763/series/1.3.6.1.4.1.11129.5.1.303327499491957026103380014864616068710/instances/1.3.6.1.4.1.11129.5.1.97415866390999888717168863957686758029/metadata" | Select-Object -Expand ContentAPIs Explorer
Abra a página de referência do método. O painel "APIs Explorer" é aberto no lado direito da página. Interaja com essa ferramenta para enviar solicitações. Preencha todos os campos obrigatórios e clique em Executar.
A saída mostra que os valores em ReferringPhysicianName (00080090) e PatientName (00100010) foram removidos. Isso é diferente da amostra na configuração padrão, em que esses valores foram transformados usando hash criptográfico.
CharacterMaskConfig
Especificar characterMaskConfig substitui strings que correspondem aos infoTypes fornecidos por um caractere fixo especificado. Por exemplo, em vez de editar o nome de um paciente ou transformá-lo usando hash criptográfico, substitua o nome por uma série de asteriscos (*). É possível especificar o caractere fixo como um valor para o campo maskingCharacter.
As amostras a seguir se expandem na configuração padrão, mas agora incluem a definição do infoType LAST_NAME com a transformação characterMaskConfig. Nenhum caractere fixo é fornecido, por isso o padrão é usar asteriscos.
As amostras usam uma única instância DICOM, mas é possível desidentificar várias instâncias.
Depois de enviar a imagem para a API Cloud Healthcare usando a transformação characterMaskConfig, a imagem aparece da seguinte maneira:

REST
Desidentifique o conjunto de dados.
Antes de usar os dados da solicitação abaixo, faça as substituições a seguir:
- PROJECT_ID: ID do seu projeto Google Cloud
- LOCATION: o local do conjunto de dados;
- SOURCE_DATASET_ID: o ID do conjunto de dados que contém os dados a serem desidentificados.
- DESTINATION_DATASET_ID: o ID do conjunto de dados de destino em que os dados pseudonimizados são gravados.
Corpo JSON da solicitação:
{ "destinationDataset": "projects/PROJECT_ID/locations/LOCATION/datasets/DESTINATION_DATASET_ID", "config": { "dicom": { "filterProfile": "DEIDENTIFY_TAG_CONTENTS" }, "text": { "transformations": [ { "infoTypes": [ "PERSON_NAME" ], "characterMaskConfig": { "maskingCharacter": "" } } ] } } }Para enviar a solicitação, escolha uma destas opções:
A saída é esta: A resposta contém um identificador para uma operação de longa duração. Operações de longa duração são retornadas quando as chamadas de método podem demorar um tempo significativo para serem concluídas. Anote o valor de OPERATION_ID. Você vai precisar desse valor na próxima etapa.curl
Salve o corpo da solicitação em um arquivo chamado
request.json. Execute o comando a seguir no terminal para criar ou substituir esse arquivo no diretório atual:cat > request.json << 'EOF' { "destinationDataset": "projects/PROJECT_ID/locations/LOCATION/datasets/DESTINATION_DATASET_ID", "config": { "dicom": { "filterProfile": "DEIDENTIFY_TAG_CONTENTS" }, "text": { "transformations": [ { "infoTypes": [ "PERSON_NAME" ], "characterMaskConfig": { "maskingCharacter": "" } } ] } } } EOFDepois execute o comando a seguir para enviar a solicitação REST:
curl -X POST \
-H "Authorization: Bearer $(gcloud auth print-access-token)" \
-H "Content-Type: application/json; charset=utf-8" \
-d @request.json \
"https://healthcare.googleapis.com/v1/projects/PROJECT_ID/locations/LOCATION/datasets/SOURCE_DATASET_ID:deidentify"PowerShell
Salve o corpo da solicitação em um arquivo chamado
request.json. Execute o comando a seguir no terminal para criar ou substituir esse arquivo no diretório atual:@' { "destinationDataset": "projects/PROJECT_ID/locations/LOCATION/datasets/DESTINATION_DATASET_ID", "config": { "dicom": { "filterProfile": "DEIDENTIFY_TAG_CONTENTS" }, "text": { "transformations": [ { "infoTypes": [ "PERSON_NAME" ], "characterMaskConfig": { "maskingCharacter": "" } } ] } } } '@ | Out-File -FilePath request.json -Encoding utf8Depois execute o comando a seguir para enviar a solicitação REST:
$cred = gcloud auth print-access-token
$headers = @{ "Authorization" = "Bearer $cred" }
Invoke-WebRequest `
-Method POST `
-Headers $headers `
-ContentType: "application/json; charset=utf-8" `
-InFile request.json `
-Uri "https://healthcare.googleapis.com/v1/projects/PROJECT_ID/locations/LOCATION/datasets/SOURCE_DATASET_ID:deidentify" | Select-Object -Expand Content- Use o método
projects.locations.datasets.operations.getpara receber o status da operação de longa duração.
Antes de usar os dados da solicitação abaixo, faça as substituições a seguir:
- PROJECT_ID: ID do seu projeto Google Cloud
- DATASET_ID: o ID do conjunto de dados;
- LOCATION: o local do conjunto de dados;
- OPERATION_ID: o ID retornado da operação de longa duração.
Para enviar a solicitação, escolha uma destas opções:
A saída é esta: Quando a resposta contémcurl
Execute o seguinte comando:
curl -X GET \
-H "Authorization: Bearer $(gcloud auth print-access-token)" \
"https://healthcare.googleapis.com/v1/projects/PROJECT_ID/locations/LOCATION/datasets/DATASET_ID/operations/OPERATION_ID"PowerShell
Execute o seguinte comando:
$cred = gcloud auth print-access-token
$headers = @{ "Authorization" = "Bearer $cred" }
Invoke-WebRequest `
-Method GET `
-Headers $headers `
-Uri "https://healthcare.googleapis.com/v1/projects/PROJECT_ID/locations/LOCATION/datasets/DATASET_ID/operations/OPERATION_ID" | Select-Object -Expand ContentAPIs Explorer
Abra a página de referência do método. O painel "APIs Explorer" é aberto no lado direito da página. Interaja com essa ferramenta para enviar solicitações. Preencha todos os campos obrigatórios e clique em Executar.
"done": true, a operação de longa duração é concluída. - Depois que a desidentificação for bem-sucedida, você poderá recuperar os metadados da instância desidentificada para ver como ela mudou. A instância desidentificada tem um novo UID de estudos, de série e de instâncias. Portanto, primeiro você precisa procurar no novo conjunto de dados a instância desidentificada.
Antes de usar os dados da solicitação abaixo, faça as substituições a seguir:
- PROJECT_ID: ID do seu projeto Google Cloud
- SOURCE_DATASET_LOCATION: o local do conjunto de dados de origem
- DESTINATION_DATASET_ID: o ID do conjunto de dados de destino em que os dados pseudonimizados são gravados.
- DESTINATION_DICOM_STORE_ID: o ID do armazenamento DICOM no conjunto de dados de destino. É o mesmo ID do armazenamento DICOM no conjunto de dados de origem.
Para enviar a solicitação, escolha uma destas opções:
curl
Execute o seguinte comando:
curl -X GET \
-H "Authorization: Bearer $(gcloud auth print-access-token)" \
"https://healthcare.googleapis.com/v1/projects/PROJECT_ID/locations/SOURCE_DATASET_LOCATION/datasets/DESTINATION_DATASET_ID/dicomStores/DESTINATION_DICOM_STORE_ID/dicomWeb/instances"PowerShell
Execute o seguinte comando:
$cred = gcloud auth print-access-token
$headers = @{ "Authorization" = "Bearer $cred" }
Invoke-WebRequest `
-Method GET `
-Headers $headers `
-Uri "https://healthcare.googleapis.com/v1/projects/PROJECT_ID/locations/SOURCE_DATASET_LOCATION/datasets/DESTINATION_DATASET_ID/dicomStores/DESTINATION_DICOM_STORE_ID/dicomWeb/instances" | Select-Object -Expand ContentAPIs Explorer
Abra a página de referência do método. O painel "APIs Explorer" é aberto no lado direito da página. Interaja com essa ferramenta para enviar solicitações. Preencha todos os campos obrigatórios e clique em Executar.
Você receberá uma resposta JSON semelhante a esta:
Usando os novos valores, recupere os metadados da instância.
Antes de usar os dados da solicitação abaixo, faça as substituições a seguir:
- PROJECT_ID: ID do seu projeto Google Cloud
- LOCATION: o local do conjunto de dados;
- DESTINATION_DATASET_ID: o ID do conjunto de dados de destino em que os dados pseudonimizados são gravados.
- DESTINATION_DICOM_STORE_ID: o ID do armazenamento DICOM no conjunto de dados de destino. É o mesmo ID do armazenamento DICOM no conjunto de dados de origem.
Para enviar a solicitação, escolha uma destas opções:
A saída contém os novos metadados. É possível comparar os novos metadados com os metadados originais para ver o efeito da transformação.curl
Execute o seguinte comando:
curl -X GET \
-H "Authorization: Bearer $(gcloud auth print-access-token)" \
"https://healthcare.googleapis.com/v1/projects/PROJECT_ID/locations/LOCATION/datasets/DESTINATION_DATASET_ID/dicomStores/DESTINATION_DICOM_STORE_ID/dicomWeb/studies/1.3.6.1.4.1.11129.5.1.201854290391432893460946240745559593763/series/1.3.6.1.4.1.11129.5.1.303327499491957026103380014864616068710/instances/1.3.6.1.4.1.11129.5.1.97415866390999888717168863957686758029/metadata"PowerShell
Execute o seguinte comando:
$cred = gcloud auth print-access-token
$headers = @{ "Authorization" = "Bearer $cred" }
Invoke-WebRequest `
-Method GET `
-Headers $headers `
-Uri "https://healthcare.googleapis.com/v1/projects/PROJECT_ID/locations/LOCATION/datasets/DESTINATION_DATASET_ID/dicomStores/DESTINATION_DICOM_STORE_ID/dicomWeb/studies/1.3.6.1.4.1.11129.5.1.201854290391432893460946240745559593763/series/1.3.6.1.4.1.11129.5.1.303327499491957026103380014864616068710/instances/1.3.6.1.4.1.11129.5.1.97415866390999888717168863957686758029/metadata" | Select-Object -Expand ContentAPIs Explorer
Abra a página de referência do método. O painel "APIs Explorer" é aberto no lado direito da página. Interaja com essa ferramenta para enviar solicitações. Preencha todos os campos obrigatórios e clique em Executar.
A saída mostra que os sobrenomes em ReferringPhysicianName (00080090) e PatientName (00100010) foram substituídos por asteriscos. Isso é diferente da amostra na configuração padrão, em que esses valores foram transformados usando hash criptográfico.
DateShiftConfig
A API Cloud Healthcare pode transformar datas alterando-as dentro de um intervalo predefinido. Para manter as transformações de data consistentes nas execuções de desidentificação, use DateShiftConfig com uma destas opções:
- (Descontinuado) Uma chave bruta de 128/192/256 bits do AES codificada em base 64.
- (Recomendado): uma chave encapsulada do Cloud Key Management Service (Cloud KMS). Consulte Desidentificar e reidentificar texto sensível para ver um exemplo de como usar chaves encapsuladas do Cloud KMS.
Você precisa conceder um papel com a permissão cloudkms.cryptoKeyVersions.useToDecrypt à conta de serviço do Agente de serviço do Cloud Healthcare para descriptografar a chave encapsulada do Cloud KMS. Recomendamos usar o papel de descriptografador de CryptoKey do Cloud KMS (roles/cloudkms.cryptoKeyDecrypter). Quando você usa o Cloud KMS para operações criptográficas, são aplicadas cobranças. Consulte
Preços do Cloud Key Management Service para mais informações.
A API Cloud Healthcare usa essa chave para calcular a quantidade de datas, como a data de nascimento de um paciente, que são alteradas dentro de um diferencial de 100 dias.
Se você não fornecer uma chave, a API Cloud Healthcare gerará sua própria chave sempre que a operação de desidentificação for executada em valores de data. Isso pode resultar em saídas de data inconsistentes entre as execuções.
Nas amostras a seguir, você verá como definir os infoTypes DATE e DATE_OF_BIRTH com a transformação DateShiftConfig em uma instância DICOM. Depois de enviar a solicitação de desidentificação para a API Cloud Healthcare, os valores de data na instância mudarão dentro de mais ou menos 100 dias dos valores originais.
A criptografia fornecida, U2FsdGVkX19bS2oZsdbK9X5zi2utBn22uY+I2Vo0zOU=, é uma chave bruta codificada em base64 de 256 bits criptografada em AES gerada usando o comando a seguir. Quando solicitado, uma senha vazia é fornecida ao comando:
echo -n "test" | openssl enc -e -aes-256-ofb -a -salt
Depois de enviar a imagem para a API Cloud Healthcare usando a transformação dateShiftConfig, a imagem aparece da seguinte maneira:

REST
Desidentifique o conjunto de dados.
Antes de usar os dados da solicitação abaixo, faça as substituições a seguir:
- PROJECT_ID: ID do seu projeto Google Cloud
- LOCATION: o local do conjunto de dados;
- SOURCE_DATASET_ID: o ID do conjunto de dados que contém os dados a serem desidentificados.
- DESTINATION_DATASET_ID: o ID do conjunto de dados de destino em que os dados pseudonimizados são gravados.
Corpo JSON da solicitação:
{ "destinationDataset": "projects/PROJECT_ID/locations/LOCATION/datasets/DESTINATION_DATASET_ID", "config": { "dicom": { "filterProfile": "DEIDENTIFY_TAG_CONTENTS" }, "text": { "transformations": [ { "infoTypes": [ "DATE", "DATE_OF_BIRTH" ], "dateShiftConfig": { "cryptoKey": "U2FsdGVkX19bS2oZsdbK9X5zi2utBn22uY+I2Vo0zOU=" } } ] } } }Para enviar a solicitação, escolha uma destas opções:
A saída é esta: A resposta contém um identificador para uma operação de longa duração. Operações de longa duração são retornadas quando as chamadas de método podem demorar um tempo significativo para serem concluídas. Anote o valor de OPERATION_ID. Você vai precisar desse valor na próxima etapa.curl
Salve o corpo da solicitação em um arquivo chamado
request.json. Execute o comando a seguir no terminal para criar ou substituir esse arquivo no diretório atual:cat > request.json << 'EOF' { "destinationDataset": "projects/PROJECT_ID/locations/LOCATION/datasets/DESTINATION_DATASET_ID", "config": { "dicom": { "filterProfile": "DEIDENTIFY_TAG_CONTENTS" }, "text": { "transformations": [ { "infoTypes": [ "DATE", "DATE_OF_BIRTH" ], "dateShiftConfig": { "cryptoKey": "U2FsdGVkX19bS2oZsdbK9X5zi2utBn22uY+I2Vo0zOU=" } } ] } } } EOFDepois execute o comando a seguir para enviar a solicitação REST:
curl -X POST \
-H "Authorization: Bearer $(gcloud auth print-access-token)" \
-H "Content-Type: application/json; charset=utf-8" \
-d @request.json \
"https://healthcare.googleapis.com/v1/projects/PROJECT_ID/locations/LOCATION/datasets/SOURCE_DATASET_ID:deidentify"PowerShell
Salve o corpo da solicitação em um arquivo chamado
request.json. Execute o comando a seguir no terminal para criar ou substituir esse arquivo no diretório atual:@' { "destinationDataset": "projects/PROJECT_ID/locations/LOCATION/datasets/DESTINATION_DATASET_ID", "config": { "dicom": { "filterProfile": "DEIDENTIFY_TAG_CONTENTS" }, "text": { "transformations": [ { "infoTypes": [ "DATE", "DATE_OF_BIRTH" ], "dateShiftConfig": { "cryptoKey": "U2FsdGVkX19bS2oZsdbK9X5zi2utBn22uY+I2Vo0zOU=" } } ] } } } '@ | Out-File -FilePath request.json -Encoding utf8Depois execute o comando a seguir para enviar a solicitação REST:
$cred = gcloud auth print-access-token
$headers = @{ "Authorization" = "Bearer $cred" }
Invoke-WebRequest `
-Method POST `
-Headers $headers `
-ContentType: "application/json; charset=utf-8" `
-InFile request.json `
-Uri "https://healthcare.googleapis.com/v1/projects/PROJECT_ID/locations/LOCATION/datasets/SOURCE_DATASET_ID:deidentify" | Select-Object -Expand Content- Use o método
projects.locations.datasets.operations.getpara receber o status da operação de longa duração.
Antes de usar os dados da solicitação abaixo, faça as substituições a seguir:
- PROJECT_ID: ID do seu projeto Google Cloud
- DATASET_ID: o ID do conjunto de dados;
- LOCATION: o local do conjunto de dados;
- OPERATION_ID: o ID retornado da operação de longa duração.
Para enviar a solicitação, escolha uma destas opções:
A saída é esta: Quando a resposta contémcurl
Execute o seguinte comando:
curl -X GET \
-H "Authorization: Bearer $(gcloud auth print-access-token)" \
"https://healthcare.googleapis.com/v1/projects/PROJECT_ID/locations/LOCATION/datasets/DATASET_ID/operations/OPERATION_ID"PowerShell
Execute o seguinte comando:
$cred = gcloud auth print-access-token
$headers = @{ "Authorization" = "Bearer $cred" }
Invoke-WebRequest `
-Method GET `
-Headers $headers `
-Uri "https://healthcare.googleapis.com/v1/projects/PROJECT_ID/locations/LOCATION/datasets/DATASET_ID/operations/OPERATION_ID" | Select-Object -Expand ContentAPIs Explorer
Abra a página de referência do método. O painel "APIs Explorer" é aberto no lado direito da página. Interaja com essa ferramenta para enviar solicitações. Preencha todos os campos obrigatórios e clique em Executar.
"done": true, a operação de longa duração é concluída. - Depois que a desidentificação for bem-sucedida, você poderá recuperar os metadados da instância desidentificada para ver como ela mudou. A instância desidentificada tem um novo UID de estudos, de série e de instâncias. Portanto, primeiro você precisa procurar no novo conjunto de dados a instância desidentificada.
Antes de usar os dados da solicitação abaixo, faça as substituições a seguir:
- PROJECT_ID: ID do seu projeto Google Cloud
- SOURCE_DATASET_LOCATION: o local do conjunto de dados de origem
- DESTINATION_DATASET_ID: o ID do conjunto de dados de destino em que os dados pseudonimizados são gravados.
- DESTINATION_DICOM_STORE_ID: o ID do armazenamento DICOM no conjunto de dados de destino. É o mesmo ID do armazenamento DICOM no conjunto de dados de origem.
Para enviar a solicitação, escolha uma destas opções:
curl
Execute o seguinte comando:
curl -X GET \
-H "Authorization: Bearer $(gcloud auth print-access-token)" \
"https://healthcare.googleapis.com/v1/projects/PROJECT_ID/locations/SOURCE_DATASET_LOCATION/datasets/DESTINATION_DATASET_ID/dicomStores/DESTINATION_DICOM_STORE_ID/dicomWeb/instances"PowerShell
Execute o seguinte comando:
$cred = gcloud auth print-access-token
$headers = @{ "Authorization" = "Bearer $cred" }
Invoke-WebRequest `
-Method GET `
-Headers $headers `
-Uri "https://healthcare.googleapis.com/v1/projects/PROJECT_ID/locations/SOURCE_DATASET_LOCATION/datasets/DESTINATION_DATASET_ID/dicomStores/DESTINATION_DICOM_STORE_ID/dicomWeb/instances" | Select-Object -Expand ContentAPIs Explorer
Abra a página de referência do método. O painel "APIs Explorer" é aberto no lado direito da página. Interaja com essa ferramenta para enviar solicitações. Preencha todos os campos obrigatórios e clique em Executar.
Você receberá uma resposta JSON semelhante a esta:
Usando os novos valores, recupere os metadados da instância.
Antes de usar os dados da solicitação abaixo, faça as substituições a seguir:
- PROJECT_ID: ID do seu projeto Google Cloud
- LOCATION: o local do conjunto de dados;
- DESTINATION_DATASET_ID: o ID do conjunto de dados de destino em que os dados pseudonimizados são gravados.
- DESTINATION_DICOM_STORE_ID: o ID do armazenamento DICOM no conjunto de dados de destino. É o mesmo ID do armazenamento DICOM no conjunto de dados de origem.
Para enviar a solicitação, escolha uma destas opções:
A saída contém os novos metadados. É possível comparar os novos metadados com os metadados originais para ver o efeito da transformação.curl
Execute o seguinte comando:
curl -X GET \
-H "Authorization: Bearer $(gcloud auth print-access-token)" \
"https://healthcare.googleapis.com/v1/projects/PROJECT_ID/locations/LOCATION/datasets/DESTINATION_DATASET_ID/dicomStores/DESTINATION_DICOM_STORE_ID/dicomWeb/studies/1.3.6.1.4.1.11129.5.1.201854290391432893460946240745559593763/series/1.3.6.1.4.1.11129.5.1.303327499491957026103380014864616068710/instances/1.3.6.1.4.1.11129.5.1.97415866390999888717168863957686758029/metadata"PowerShell
Execute o seguinte comando:
$cred = gcloud auth print-access-token
$headers = @{ "Authorization" = "Bearer $cred" }
Invoke-WebRequest `
-Method GET `
-Headers $headers `
-Uri "https://healthcare.googleapis.com/v1/projects/PROJECT_ID/locations/LOCATION/datasets/DESTINATION_DATASET_ID/dicomStores/DESTINATION_DICOM_STORE_ID/dicomWeb/studies/1.3.6.1.4.1.11129.5.1.201854290391432893460946240745559593763/series/1.3.6.1.4.1.11129.5.1.303327499491957026103380014864616068710/instances/1.3.6.1.4.1.11129.5.1.97415866390999888717168863957686758029/metadata" | Select-Object -Expand ContentAPIs Explorer
Abra a página de referência do método. O painel "APIs Explorer" é aberto no lado direito da página. Interaja com essa ferramenta para enviar solicitações. Preencha todos os campos obrigatórios e clique em Executar.
A saída mostra que StudyDate (00080020) e PatientBirthDate (00100030) têm novos valores. Essas transformações ocorreram como resultado da combinação de 100 dias de diferença com o valor cryptoKey fornecido. Os novos valores de data são consistentes para essa instância entre as execuções de desidentificação, desde que o mesmo cryptoKey seja fornecido.
CryptoHashConfig
Deixe o cryptoHashConfig vazio ou forneça uma das seguintes opções:
- (Descontinuado) Uma chave bruta de 128/192/256 bits do AES codificada em base 64.
- (Recomendado): uma chave encapsulada do Cloud Key Management Service (Cloud KMS). Consulte Desidentificar e reidentificar texto sensível para ver um exemplo de como usar chaves encapsuladas do Cloud KMS.
Você precisa conceder um papel com a permissão cloudkms.cryptoKeyVersions.useToDecrypt à conta de serviço do Agente de serviço do Cloud Healthcare para descriptografar a chave encapsulada do Cloud KMS. Recomendamos usar o papel de descriptografador de CryptoKey do Cloud KMS (roles/cloudkms.cryptoKeyDecrypter). Quando você usa o Cloud KMS para operações criptográficas, são aplicadas cobranças. Consulte
Preços do Cloud Key Management Service para mais informações.
A API Cloud Healthcare pode transformar dados substituindo valores por hashes criptográficos (também chamados de valores alternativos). Para fazer isso, especifique uma mensagem cryptoHashConfig.
Se você não fornecer uma chave, a API Cloud Healthcare vai gerar uma. A API Cloud Healthcare usa essa chave para gerar valores substitutos. Se você fornecer a mesma chave para cada execução, a API Cloud Healthcare vai gerar valores alternativos consistentes. Se você não fornecer uma chave, a API Cloud Healthcare vai gerar uma nova chave sempre que a operação for executada. O uso de uma chave diferente gera valores alternativos diferentes.
Nas amostras a seguir, você verá como aplicar uma transformação cryptoHashConfig a todos os infoTypes DICOM padrão compatíveis com a API Cloud Healthcare. Depois de enviar a solicitação de desidentificação, os valores com um infoType DICOM correspondente na API Cloud Healthcare são substituídos por valores alternativos.
Na amostra você também verá como fornecer uma criptografia para gerar valores alternativos consistentes entre execuções de desidentificação.
A criptografia fornecida, U2FsdGVkX19bS2oZsdbK9X5zi2utBn22uY+I2Vo0zOU=, é uma chave bruta codificada em base64 de 256 bits criptografada em AES gerada usando o comando a seguir. Quando solicitado, uma senha vazia é fornecida ao comando:
echo -n "test" | openssl enc -e -aes-256-ofb -a -salt
Depois de enviar a imagem para a API Cloud Healthcare usando a transformação cryptoHashConfig, a imagem aparece da seguinte maneira:

REST
Desidentifique o conjunto de dados.
Antes de usar os dados da solicitação abaixo, faça as substituições a seguir:
- PROJECT_ID: ID do seu projeto Google Cloud
- LOCATION: o local do conjunto de dados;
- SOURCE_DATASET_ID: o ID do conjunto de dados que contém os dados a serem desidentificados.
- DESTINATION_DATASET_ID: o ID do conjunto de dados de destino em que os dados pseudonimizados são gravados.
Corpo JSON da solicitação:
{ "destinationDataset": "projects/PROJECT_ID/locations/LOCATION/datasets/DESTINATION_DATASET_ID", "config": { "dicom": { "filterProfile": "DEIDENTIFY_TAG_CONTENTS" }, "text": { "transformations": [ { "infoTypes": [], "cryptoHashConfig": { "cryptoKey": "U2FsdGVkX19bS2oZsdbK9X5zi2utBn22uY+I2Vo0zOU=" } } ] } } }Para enviar a solicitação, escolha uma destas opções:
A saída é esta: A resposta contém um identificador para uma operação de longa duração. Operações de longa duração são retornadas quando as chamadas de método podem demorar um tempo significativo para serem concluídas. Anote o valor de OPERATION_ID. Você vai precisar desse valor na próxima etapa.curl
Salve o corpo da solicitação em um arquivo chamado
request.json. Execute o comando a seguir no terminal para criar ou substituir esse arquivo no diretório atual:cat > request.json << 'EOF' { "destinationDataset": "projects/PROJECT_ID/locations/LOCATION/datasets/DESTINATION_DATASET_ID", "config": { "dicom": { "filterProfile": "DEIDENTIFY_TAG_CONTENTS" }, "text": { "transformations": [ { "infoTypes": [], "cryptoHashConfig": { "cryptoKey": "U2FsdGVkX19bS2oZsdbK9X5zi2utBn22uY+I2Vo0zOU=" } } ] } } } EOFDepois execute o comando a seguir para enviar a solicitação REST:
curl -X POST \
-H "Authorization: Bearer $(gcloud auth print-access-token)" \
-H "Content-Type: application/json; charset=utf-8" \
-d @request.json \
"https://healthcare.googleapis.com/v1/projects/PROJECT_ID/locations/LOCATION/datasets/SOURCE_DATASET_ID:deidentify"PowerShell
Salve o corpo da solicitação em um arquivo chamado
request.json. Execute o comando a seguir no terminal para criar ou substituir esse arquivo no diretório atual:@' { "destinationDataset": "projects/PROJECT_ID/locations/LOCATION/datasets/DESTINATION_DATASET_ID", "config": { "dicom": { "filterProfile": "DEIDENTIFY_TAG_CONTENTS" }, "text": { "transformations": [ { "infoTypes": [], "cryptoHashConfig": { "cryptoKey": "U2FsdGVkX19bS2oZsdbK9X5zi2utBn22uY+I2Vo0zOU=" } } ] } } } '@ | Out-File -FilePath request.json -Encoding utf8Depois execute o comando a seguir para enviar a solicitação REST:
$cred = gcloud auth print-access-token
$headers = @{ "Authorization" = "Bearer $cred" }
Invoke-WebRequest `
-Method POST `
-Headers $headers `
-ContentType: "application/json; charset=utf-8" `
-InFile request.json `
-Uri "https://healthcare.googleapis.com/v1/projects/PROJECT_ID/locations/LOCATION/datasets/SOURCE_DATASET_ID:deidentify" | Select-Object -Expand Content- Use o método
projects.locations.datasets.operations.getpara receber o status da operação de longa duração.
Antes de usar os dados da solicitação abaixo, faça as substituições a seguir:
- PROJECT_ID: ID do seu projeto Google Cloud
- DATASET_ID: o ID do conjunto de dados;
- LOCATION: o local do conjunto de dados;
- OPERATION_ID: o ID retornado da operação de longa duração.
Para enviar a solicitação, escolha uma destas opções:
A saída é esta: Quando a resposta contémcurl
Execute o seguinte comando:
curl -X GET \
-H "Authorization: Bearer $(gcloud auth print-access-token)" \
"https://healthcare.googleapis.com/v1/projects/PROJECT_ID/locations/LOCATION/datasets/DATASET_ID/operations/OPERATION_ID"PowerShell
Execute o seguinte comando:
$cred = gcloud auth print-access-token
$headers = @{ "Authorization" = "Bearer $cred" }
Invoke-WebRequest `
-Method GET `
-Headers $headers `
-Uri "https://healthcare.googleapis.com/v1/projects/PROJECT_ID/locations/LOCATION/datasets/DATASET_ID/operations/OPERATION_ID" | Select-Object -Expand ContentAPIs Explorer
Abra a página de referência do método. O painel "APIs Explorer" é aberto no lado direito da página. Interaja com essa ferramenta para enviar solicitações. Preencha todos os campos obrigatórios e clique em Executar.
"done": true, a operação de longa duração é concluída. - Depois que a desidentificação for bem-sucedida, você poderá recuperar os metadados da instância desidentificada para ver como ela mudou. A instância desidentificada tem um novo UID de estudos, de série e de instâncias. Portanto, primeiro você precisa procurar no novo conjunto de dados a instância desidentificada.
Antes de usar os dados da solicitação abaixo, faça as substituições a seguir:
- PROJECT_ID: ID do seu projeto Google Cloud
- SOURCE_DATASET_LOCATION: o local do conjunto de dados de origem
- DESTINATION_DATASET_ID: o ID do conjunto de dados de destino em que os dados pseudonimizados são gravados.
- DESTINATION_DICOM_STORE_ID: o ID do armazenamento DICOM no conjunto de dados de destino. É o mesmo ID do armazenamento DICOM no conjunto de dados de origem.
Para enviar a solicitação, escolha uma destas opções:
curl
Execute o seguinte comando:
curl -X GET \
-H "Authorization: Bearer $(gcloud auth print-access-token)" \
"https://healthcare.googleapis.com/v1/projects/PROJECT_ID/locations/SOURCE_DATASET_LOCATION/datasets/DESTINATION_DATASET_ID/dicomStores/DESTINATION_DICOM_STORE_ID/dicomWeb/instances"PowerShell
Execute o seguinte comando:
$cred = gcloud auth print-access-token
$headers = @{ "Authorization" = "Bearer $cred" }
Invoke-WebRequest `
-Method GET `
-Headers $headers `
-Uri "https://healthcare.googleapis.com/v1/projects/PROJECT_ID/locations/SOURCE_DATASET_LOCATION/datasets/DESTINATION_DATASET_ID/dicomStores/DESTINATION_DICOM_STORE_ID/dicomWeb/instances" | Select-Object -Expand ContentAPIs Explorer
Abra a página de referência do método. O painel "APIs Explorer" é aberto no lado direito da página. Interaja com essa ferramenta para enviar solicitações. Preencha todos os campos obrigatórios e clique em Executar.
Você receberá uma resposta JSON semelhante a esta:
Usando os novos valores, recupere os metadados da instância.
Antes de usar os dados da solicitação abaixo, faça as substituições a seguir:
- PROJECT_ID: ID do seu projeto Google Cloud
- LOCATION: o local do conjunto de dados;
- DESTINATION_DATASET_ID: o ID do conjunto de dados de destino em que os dados pseudonimizados são gravados.
- DESTINATION_DICOM_STORE_ID: o ID do armazenamento DICOM no conjunto de dados de destino. É o mesmo ID do armazenamento DICOM no conjunto de dados de origem.
Para enviar a solicitação, escolha uma destas opções:
A saída contém os novos metadados. É possível comparar os novos metadados com os metadados originais para ver o efeito da transformação.curl
Execute o seguinte comando:
curl -X GET \
-H "Authorization: Bearer $(gcloud auth print-access-token)" \
"https://healthcare.googleapis.com/v1/projects/PROJECT_ID/locations/LOCATION/datasets/DESTINATION_DATASET_ID/dicomStores/DESTINATION_DICOM_STORE_ID/dicomWeb/studies/1.3.6.1.4.1.11129.5.1.201854290391432893460946240745559593763/series/1.3.6.1.4.1.11129.5.1.303327499491957026103380014864616068710/instances/1.3.6.1.4.1.11129.5.1.97415866390999888717168863957686758029/metadata"PowerShell
Execute o seguinte comando:
$cred = gcloud auth print-access-token
$headers = @{ "Authorization" = "Bearer $cred" }
Invoke-WebRequest `
-Method GET `
-Headers $headers `
-Uri "https://healthcare.googleapis.com/v1/projects/PROJECT_ID/locations/LOCATION/datasets/DESTINATION_DATASET_ID/dicomStores/DESTINATION_DICOM_STORE_ID/dicomWeb/studies/1.3.6.1.4.1.11129.5.1.201854290391432893460946240745559593763/series/1.3.6.1.4.1.11129.5.1.303327499491957026103380014864616068710/instances/1.3.6.1.4.1.11129.5.1.97415866390999888717168863957686758029/metadata" | Select-Object -Expand ContentAPIs Explorer
Abra a página de referência do método. O painel "APIs Explorer" é aberto no lado direito da página. Interaja com essa ferramenta para enviar solicitações. Preencha todos os campos obrigatórios e clique em Executar.
As transformações na saída são consistentes para essa instância entre as execuções de desidentificação, desde que o mesmo cryptoKey seja fornecido.
ReplaceWithInfoTypeConfig
Especificar replaceWithInfoTypeConfig substitui os valores de entrada pelo nome do infoType do valor.
Nas amostras a seguir, você verá como aplicar uma transformação replaceWithInfoTypeConfig a todos os infoTypes DICOM padrão compatíveis com a API Cloud Healthcare.
A mensagem replaceWithInfoTypeConfig não tem argumentos. Especificá-la permite a transformação.
Depois de enviar a imagem para a API Cloud Healthcare usando a transformação replaceWithInfoTypeConfig, a imagem aparece da seguinte maneira:

REST
Desidentifique o conjunto de dados.
Antes de usar os dados da solicitação abaixo, faça as substituições a seguir:
- PROJECT_ID: ID do seu projeto Google Cloud
- LOCATION: o local do conjunto de dados;
- SOURCE_DATASET_ID: o ID do conjunto de dados que contém os dados a serem desidentificados.
- DESTINATION_DATASET_ID: o ID do conjunto de dados de destino em que os dados pseudonimizados são gravados.
Corpo JSON da solicitação:
{ "destinationDataset": "projects/PROJECT_ID/locations/LOCATION/datasets/DESTINATION_DATASET_ID", "config": { "dicom": { "filterProfile": "DEIDENTIFY_TAG_CONTENTS" }, "text": { "transformations": [ { "infoTypes": [], "replaceWithInfoTypeConfig": {} } ] } } }Para enviar a solicitação, escolha uma destas opções:
A saída é esta: A resposta contém um identificador para uma operação de longa duração. Operações de longa duração são retornadas quando as chamadas de método podem demorar um tempo significativo para serem concluídas. Anote o valor de OPERATION_ID. Você vai precisar desse valor na próxima etapa.curl
Salve o corpo da solicitação em um arquivo chamado
request.json. Execute o comando a seguir no terminal para criar ou substituir esse arquivo no diretório atual:cat > request.json << 'EOF' { "destinationDataset": "projects/PROJECT_ID/locations/LOCATION/datasets/DESTINATION_DATASET_ID", "config": { "dicom": { "filterProfile": "DEIDENTIFY_TAG_CONTENTS" }, "text": { "transformations": [ { "infoTypes": [], "replaceWithInfoTypeConfig": {} } ] } } } EOFDepois execute o comando a seguir para enviar a solicitação REST:
curl -X POST \
-H "Authorization: Bearer $(gcloud auth print-access-token)" \
-H "Content-Type: application/json; charset=utf-8" \
-d @request.json \
"https://healthcare.googleapis.com/v1/projects/PROJECT_ID/locations/LOCATION/datasets/SOURCE_DATASET_ID:deidentify"PowerShell
Salve o corpo da solicitação em um arquivo chamado
request.json. Execute o comando a seguir no terminal para criar ou substituir esse arquivo no diretório atual:@' { "destinationDataset": "projects/PROJECT_ID/locations/LOCATION/datasets/DESTINATION_DATASET_ID", "config": { "dicom": { "filterProfile": "DEIDENTIFY_TAG_CONTENTS" }, "text": { "transformations": [ { "infoTypes": [], "replaceWithInfoTypeConfig": {} } ] } } } '@ | Out-File -FilePath request.json -Encoding utf8Depois execute o comando a seguir para enviar a solicitação REST:
$cred = gcloud auth print-access-token
$headers = @{ "Authorization" = "Bearer $cred" }
Invoke-WebRequest `
-Method POST `
-Headers $headers `
-ContentType: "application/json; charset=utf-8" `
-InFile request.json `
-Uri "https://healthcare.googleapis.com/v1/projects/PROJECT_ID/locations/LOCATION/datasets/SOURCE_DATASET_ID:deidentify" | Select-Object -Expand Content- Use o método
projects.locations.datasets.operations.getpara receber o status da operação de longa duração.
Antes de usar os dados da solicitação abaixo, faça as substituições a seguir:
- PROJECT_ID: ID do seu projeto Google Cloud
- DATASET_ID: o ID do conjunto de dados;
- LOCATION: o local do conjunto de dados;
- OPERATION_ID: o ID retornado da operação de longa duração.
Para enviar a solicitação, escolha uma destas opções:
A saída é esta: Quando a resposta contémcurl
Execute o seguinte comando:
curl -X GET \
-H "Authorization: Bearer $(gcloud auth print-access-token)" \
"https://healthcare.googleapis.com/v1/projects/PROJECT_ID/locations/LOCATION/datasets/DATASET_ID/operations/OPERATION_ID"PowerShell
Execute o seguinte comando:
$cred = gcloud auth print-access-token
$headers = @{ "Authorization" = "Bearer $cred" }
Invoke-WebRequest `
-Method GET `
-Headers $headers `
-Uri "https://healthcare.googleapis.com/v1/projects/PROJECT_ID/locations/LOCATION/datasets/DATASET_ID/operations/OPERATION_ID" | Select-Object -Expand ContentAPIs Explorer
Abra a página de referência do método. O painel "APIs Explorer" é aberto no lado direito da página. Interaja com essa ferramenta para enviar solicitações. Preencha todos os campos obrigatórios e clique em Executar.
"done": true, a operação de longa duração é concluída. - Depois que a desidentificação for bem-sucedida, você poderá recuperar os metadados da instância desidentificada para ver como ela mudou. A instância desidentificada tem um novo UID de estudos, de série e de instâncias. Portanto, primeiro você precisa procurar no novo conjunto de dados a instância desidentificada.
Antes de usar os dados da solicitação abaixo, faça as substituições a seguir:
- PROJECT_ID: ID do seu projeto Google Cloud
- SOURCE_DATASET_LOCATION: o local do conjunto de dados de origem
- DESTINATION_DATASET_ID: o ID do conjunto de dados de destino em que os dados pseudonimizados são gravados.
- DESTINATION_DICOM_STORE_ID: o ID do armazenamento DICOM no conjunto de dados de destino. É o mesmo ID do armazenamento DICOM no conjunto de dados de origem.
Para enviar a solicitação, escolha uma destas opções:
curl
Execute o seguinte comando:
curl -X GET \
-H "Authorization: Bearer $(gcloud auth print-access-token)" \
"https://healthcare.googleapis.com/v1/projects/PROJECT_ID/locations/SOURCE_DATASET_LOCATION/datasets/DESTINATION_DATASET_ID/dicomStores/DESTINATION_DICOM_STORE_ID/dicomWeb/instances"PowerShell
Execute o seguinte comando:
$cred = gcloud auth print-access-token
$headers = @{ "Authorization" = "Bearer $cred" }
Invoke-WebRequest `
-Method GET `
-Headers $headers `
-Uri "https://healthcare.googleapis.com/v1/projects/PROJECT_ID/locations/SOURCE_DATASET_LOCATION/datasets/DESTINATION_DATASET_ID/dicomStores/DESTINATION_DICOM_STORE_ID/dicomWeb/instances" | Select-Object -Expand ContentAPIs Explorer
Abra a página de referência do método. O painel "APIs Explorer" é aberto no lado direito da página. Interaja com essa ferramenta para enviar solicitações. Preencha todos os campos obrigatórios e clique em Executar.
Você receberá uma resposta JSON semelhante a esta:
Usando os novos valores, recupere os metadados da instância.
Antes de usar os dados da solicitação abaixo, faça as substituições a seguir:
- PROJECT_ID: ID do seu projeto Google Cloud
- LOCATION: o local do conjunto de dados;
- DESTINATION_DATASET_ID: o ID do conjunto de dados de destino em que os dados pseudonimizados são gravados.
- DESTINATION_DICOM_STORE_ID: o ID do armazenamento DICOM no conjunto de dados de destino. É o mesmo ID do armazenamento DICOM no conjunto de dados de origem.
Para enviar a solicitação, escolha uma destas opções:
A saída contém os novos metadados. É possível comparar os novos metadados com os metadados originais para ver o efeito da transformação.curl
Execute o seguinte comando:
curl -X GET \
-H "Authorization: Bearer $(gcloud auth print-access-token)" \
"https://healthcare.googleapis.com/v1/projects/PROJECT_ID/locations/LOCATION/datasets/DESTINATION_DATASET_ID/dicomStores/DESTINATION_DICOM_STORE_ID/dicomWeb/studies/1.3.6.1.4.1.11129.5.1.201854290391432893460946240745559593763/series/1.3.6.1.4.1.11129.5.1.303327499491957026103380014864616068710/instances/1.3.6.1.4.1.11129.5.1.97415866390999888717168863957686758029/metadata"PowerShell
Execute o seguinte comando:
$cred = gcloud auth print-access-token
$headers = @{ "Authorization" = "Bearer $cred" }
Invoke-WebRequest `
-Method GET `
-Headers $headers `
-Uri "https://healthcare.googleapis.com/v1/projects/PROJECT_ID/locations/LOCATION/datasets/DESTINATION_DATASET_ID/dicomStores/DESTINATION_DICOM_STORE_ID/dicomWeb/studies/1.3.6.1.4.1.11129.5.1.201854290391432893460946240745559593763/series/1.3.6.1.4.1.11129.5.1.303327499491957026103380014864616068710/instances/1.3.6.1.4.1.11129.5.1.97415866390999888717168863957686758029/metadata" | Select-Object -Expand ContentAPIs Explorer
Abra a página de referência do método. O painel "APIs Explorer" é aberto no lado direito da página. Interaja com essa ferramenta para enviar solicitações. Preencha todos os campos obrigatórios e clique em Executar.
Como desidentificar dados no nível de armazenamento DICOM
Nas amostras anteriores você viu como desidentificar dados DICOM no nível do conjunto de dados. Nesta seção, descrevemos como desidentificar dados no nível do armazenamento de DICOM.
Para alterar uma solicitação de desidentificação do conjunto de dados para uma solicitação de desidentificação do armazenamento DICOM, faça as seguintes alterações:
- Modifique o
destinationDatasetno corpo da solicitação paradestinationStore. - Adicione
dicomStores/DESTINATION_DICOM_STORE_IDao final do valor emdestinationStoreao especificar o destino. - Adicione
dicomStores/SOURCE_DICOM_STORE_IDao especificar o local dos dados de origem.
Exemplo:
Desidentificação no nível do conjunto de dados:
"destinationDataset": "projects/PROJECT_ID/locations/LOCATION/datasets/DESTINATION_DATASET_ID" ... "https://healthcare.googleapis.com/v1/projects/PROJECT_ID/locations/LOCATION/datasets/SOURCE_DATASET_ID:deidentify"
Desidentificação no nível de armazenamento DICOM:
"destinationStore": "projects/PROJECT_ID/locations/LOCATION/datasets/DESTINATION_DATASET_ID/dicomStores/DESTINATION_DICOM_STORE_ID" ... "https://healthcare.googleapis.com/v1/projects/PROJECT_ID/locations/LOCATION/datasets/SOURCE_DATASET_ID/dicomStores/SOURCE_DICOM_STORE_ID:deidentify"
Os exemplos a seguir expandem a Combinação de desidentificação de tag e edição de texto gravado, mas a desidentificação ocorre em apenas um armazenamento DICOM e os dados desidentificados são copiados para um novo armazenamento DICOM. Antes de executar os exemplos, o armazenamento DICOM referenciado por DESTINATION_DICOM_STORE_ID já precisa existir.
Console
Para desidentificar dados em um armazenamento DICOM usando o console Google Cloud , siga estas etapas:
No Google Cloud console, acesse a página "Conjuntos de dados".
Clique no conjunto de dados que contém as informações que você quer desidentificar.
Na lista de armazenamentos DICOM, escolha Desidentificar na lista Ações do armazenamento DICOM que você está desidentificando.
A página Desidentificar armazenamento DICOM é exibida.
Selecione Definir armazenamento de dados de destino e escolha o conjunto de dados e o armazenamento DICOM em que os dados desidentificados serão salvos.
Selecione desidentificação da tag DICOM para configurar como os dados são desidentificados. Os dados podem ser desidentificados da seguinte maneira:
KEEP_ALL_PROFILE: manter todas as metatags DICOMDEIDENTIFY_TAG_CONTENTS: desidentificar dados nas metatagsATTRIBUTE_CONFIDENTIALITY_BASIC_PROFILE: remover metatags de acordo com o perfil básico no padrão DICOMMINIMAL_KEEP_LIST_PROFILE: manter apenas as metatags necessárias para um objeto DICOM válido.- Ignorar edição de ID: gerar novamente os campos UID, conforme determinado pelo padrão DICOM
Selecione Edição de texto gravado no DICOM para configurar como a edição de imagens é executada durante a desidentificação. Você pode configurar a edição da imagem da seguinte maneira:
REDACT_NO_TEXT: não editar texto em imagens.REDACT_SENSITIVE_TEXT: editar somente texto sensível em imagensREDACT_ALL_TEXT: editar todo o texto nas imagens
Clique em Desidentificar para desidentificar os dados no armazenamento DICOM.
REST
Desidentifique o conjunto de dados.
Antes de usar os dados da solicitação abaixo, faça as substituições a seguir:
- PROJECT_ID: ID do seu projeto Google Cloud
- LOCATION: o local do conjunto de dados;
- SOURCE_DATASET_ID: o ID do conjunto de dados que contém os dados a serem desidentificados.
- DESTINATION_DATASET_ID: o ID do conjunto de dados de destino em que os dados pseudonimizados são gravados.
- SOURCE_DICOM_STORE_ID: o ID do armazenamento DICOM que contém os dados a serem desidentificados
- DESTINATION_DICOM_STORE_ID: o ID do armazenamento DICOM no conjunto de dados de destino
Corpo JSON da solicitação:
{ "destinationStore": "projects/PROJECT_ID/locations/LOCATION/datasets/DESTINATION_DATASET_ID/dicomStores/DESTINATION_DICOM_STORE_ID", "config": { "dicom": { "filterProfile": "DEIDENTIFY_TAG_CONTENTS" }, "image": { "textRedactionMode": "REDACT_ALL_TEXT" } } }Para enviar a solicitação, escolha uma destas opções:
A saída é esta: A resposta contém um identificador para uma operação de longa duração. Operações de longa duração são retornadas quando as chamadas de método podem demorar um tempo significativo para serem concluídas. Anote o valor de OPERATION_ID. Você vai precisar desse valor na próxima etapa.curl
Salve o corpo da solicitação em um arquivo chamado
request.json. Execute o comando a seguir no terminal para criar ou substituir esse arquivo no diretório atual:cat > request.json << 'EOF' { "destinationStore": "projects/PROJECT_ID/locations/LOCATION/datasets/DESTINATION_DATASET_ID/dicomStores/DESTINATION_DICOM_STORE_ID", "config": { "dicom": { "filterProfile": "DEIDENTIFY_TAG_CONTENTS" }, "image": { "textRedactionMode": "REDACT_ALL_TEXT" } } } EOFDepois execute o comando a seguir para enviar a solicitação REST:
curl -X POST \
-H "Authorization: Bearer $(gcloud auth print-access-token)" \
-H "Content-Type: application/json; charset=utf-8" \
-d @request.json \
"https://healthcare.googleapis.com/v1/projects/PROJECT_ID/locations/LOCATION/datasets/SOURCE_DATASET_ID/dicomStores/SOURCE_DICOM_STORE_ID:deidentify"PowerShell
Salve o corpo da solicitação em um arquivo chamado
request.json. Execute o comando a seguir no terminal para criar ou substituir esse arquivo no diretório atual:@' { "destinationStore": "projects/PROJECT_ID/locations/LOCATION/datasets/DESTINATION_DATASET_ID/dicomStores/DESTINATION_DICOM_STORE_ID", "config": { "dicom": { "filterProfile": "DEIDENTIFY_TAG_CONTENTS" }, "image": { "textRedactionMode": "REDACT_ALL_TEXT" } } } '@ | Out-File -FilePath request.json -Encoding utf8Depois execute o comando a seguir para enviar a solicitação REST:
$cred = gcloud auth print-access-token
$headers = @{ "Authorization" = "Bearer $cred" }
Invoke-WebRequest `
-Method POST `
-Headers $headers `
-ContentType: "application/json; charset=utf-8" `
-InFile request.json `
-Uri "https://healthcare.googleapis.com/v1/projects/PROJECT_ID/locations/LOCATION/datasets/SOURCE_DATASET_ID/dicomStores/SOURCE_DICOM_STORE_ID:deidentify" | Select-Object -Expand Content- Use o método
projects.locations.datasets.operations.getpara receber o status da operação de longa duração.
Antes de usar os dados da solicitação abaixo, faça as substituições a seguir:
- PROJECT_ID: ID do seu projeto Google Cloud
- DATASET_ID: o ID do conjunto de dados;
- LOCATION: o local do conjunto de dados;
- OPERATION_ID: o ID retornado da operação de longa duração.
Para enviar a solicitação, escolha uma destas opções:
A saída é esta: Quando a resposta contémcurl
Execute o seguinte comando:
curl -X GET \
-H "Authorization: Bearer $(gcloud auth print-access-token)" \
"https://healthcare.googleapis.com/v1/projects/PROJECT_ID/locations/LOCATION/datasets/DATASET_ID/operations/OPERATION_ID"PowerShell
Execute o seguinte comando:
$cred = gcloud auth print-access-token
$headers = @{ "Authorization" = "Bearer $cred" }
Invoke-WebRequest `
-Method GET `
-Headers $headers `
-Uri "https://healthcare.googleapis.com/v1/projects/PROJECT_ID/locations/LOCATION/datasets/DATASET_ID/operations/OPERATION_ID" | Select-Object -Expand ContentAPIs Explorer
Abra a página de referência do método. O painel "APIs Explorer" é aberto no lado direito da página. Interaja com essa ferramenta para enviar solicitações. Preencha todos os campos obrigatórios e clique em Executar.
"done": true, a operação de longa duração é concluída.
Como desidentificar um subconjunto de um armazenamento DICOM
É possível desidentificar um subconjunto de dados em um armazenamento DICOM especificando um filtro.
O filtro assume a forma de um arquivo de filtro especificado como um valor para o campo resourcePathsGcsUri no objeto DicomFilterConfig. O arquivo de filtro precisa existir em um bucket do Cloud Storage. não é possível especificar um arquivo de filtro existente na sua máquina local ou em qualquer outra fonte. O local do arquivo precisa estar no formato gs://BUCKET/PATH/TO/FILE.
Como criar um arquivo de filtro
Um arquivo de filtro define quais arquivos DICOM devem ser desidentificados. É possível filtrar arquivos nos seguintes níveis:
- No nível do estudo
- No nível da série
- No nível da instância
O arquivo de filtro é composto de uma linha por estudo, série ou instância que você quer desidentificar. Cada linha usa o formato /studies/STUDY_UID[/series/SERIES_UID[/instances/INSTANCE_UID]].
No final de cada linha há um caractere de nova linha: \n ou \r\n.
Se um estudo, série ou instância não for especificado no arquivo de filtro que você transmitiu ao chamar a operação de desidentificação, esse estudo, série ou instância não será desidentificado e não estará presente no armazenamento DICOM de destino.
Apenas a parte /studies/STUDY_UID do caminho é obrigatória. Isso significa que é possível desidentificar um estudo especificando /studies/STUDY_UID ou desidentificar uma série especificando /studies/STUDY_UID/series/SERIES_UID.
Considere o arquivo de filtro a seguir. O arquivo de filtro faz com que um estudo, duas séries e três instâncias individuais sejam desidentificadas:
/studies/1.123.456.789
/studies/1.666.333.111/series/123.456\n
/studies/1.666.333.111/series/567.890\n
/studies/1.888.999.222/series/123.456/instances/111\n
/studies/1.888.999.222/series/123.456/instances/222\n
/studies/1.888.999.222/series/123.456/instances/333\n
Como criar um arquivo de filtro usando o BigQuery
Normalmente, você cria um arquivo de filtro exportando os metadados de um armazenamento DICOM para o BigQuery. Isso permite que você use o BigQuery para ver os UIDs de estudo, série e instância dos dados DICOM no seu armazenamento DICOM. Em seguida, veja o que você poderá fazer:
Consultar os UIDs de estudo, série e instância que você tem interesse. Por exemplo, depois de exportar os metadados para o BigQuery, execute a consulta a seguir para concatenar os UIDs de estudo, série e instância para um formato compatível com os requisitos do arquivo de filtro:
SELECT CONCAT ('/studies/', StudyInstanceUID, '/series/', SeriesInstanceUID, '/instances/', SOPInstanceUID) FROM [PROJECT_ID:BIGQUERY_DATASET.BIGQUERY_TABLE]
Se a consulta retornar um grande conjunto de resultados, é possível materializar uma nova tabela salvando os resultados da consulta em uma tabela de destino no BigQuery.
Depois de salvar os resultados da consulta na tabela de destino, salve o conteúdo da tabela de destino em um arquivo e exporte-o para o Cloud Storage. Para ver as etapas de como fazer isso, consulte Como exportar dados da tabela. O arquivo exportado é seu arquivo de filtro. Você usará o local do arquivo de filtro no Cloud Storage ao especificar o filtro na operação de exportação.
Como criar um arquivo de filtro manualmente
É possível criar um arquivo de filtro com conteúdo personalizado e fazer o upload dele para um bucket do Cloud Storage.
Você usará o local do arquivo de filtro no Cloud Storage ao especificar o filtro na operação de desidentificação. Na amostra a seguir, você verá como fazer upload de um arquivo de filtro para um bucket do Cloud Storage usando o comando gcloud storage cp:
gcloud storage cp PATH/TO/FILTER_FILE gs://BUCKET/DIRECTORY
Exemplo:
gcloud storage cp /home/user/Desktop/filters.txt gs://my-bucket/my-directory
Como usar um filtro
Depois de configurar o arquivo de filtro, e possível transmiti-lo como um valor para o campo resourcePathsGcsUri no objeto filterConfig.
A amostra a seguir se expande em Como desidentificar dados no nível de armazenamento DICOM, mas um arquivo de filtro no Cloud Storage é fornecido para determinar quais recursos DICOM são desidentificados.
REST
Desidentifique o conjunto de dados.
Antes de usar os dados da solicitação abaixo, faça as substituições a seguir:
- PROJECT_ID: ID do seu projeto Google Cloud
- LOCATION: o local do conjunto de dados;
- SOURCE_DATASET_ID: o ID do conjunto de dados que contém os dados a serem desidentificados.
- DESTINATION_DATASET_ID: o ID do conjunto de dados de destino em que os dados pseudonimizados são gravados.
- SOURCE_DICOM_STORE_ID: o ID do armazenamento DICOM que contém os dados a serem desidentificados
- DESTINATION_DICOM_STORE_ID: o ID do armazenamento DICOM no conjunto de dados de destino
- BUCKET/PATH/TO/FILE: o local do arquivo de filtro em um bucket do Cloud Storage
Corpo JSON da solicitação:
{ "destinationStore": "projects/PROJECT_ID/locations/LOCATION/datasets/DESTINATION_DATASET_ID/dicomStores/DESTINATION_DICOM_STORE_ID", "config": { "dicom": { "filterProfile": "DEIDENTIFY_TAG_CONTENTS" }, "image": { "textRedactionMode": "REDACT_ALL_TEXT" } }, "filterConfig": { "resourcePathGcsUri": "gs://BUCKET/PATH/TO/FILE" } }Para enviar a solicitação, escolha uma destas opções:
A saída é esta: A resposta contém um identificador para uma operação de longa duração. Operações de longa duração são retornadas quando as chamadas de método podem demorar um tempo significativo para serem concluídas. Anote o valor de OPERATION_ID. Você vai precisar desse valor na próxima etapa.curl
Salve o corpo da solicitação em um arquivo chamado
request.json. Execute o comando a seguir no terminal para criar ou substituir esse arquivo no diretório atual:cat > request.json << 'EOF' { "destinationStore": "projects/PROJECT_ID/locations/LOCATION/datasets/DESTINATION_DATASET_ID/dicomStores/DESTINATION_DICOM_STORE_ID", "config": { "dicom": { "filterProfile": "DEIDENTIFY_TAG_CONTENTS" }, "image": { "textRedactionMode": "REDACT_ALL_TEXT" } }, "filterConfig": { "resourcePathGcsUri": "gs://BUCKET/PATH/TO/FILE" } } EOFDepois execute o comando a seguir para enviar a solicitação REST:
curl -X POST \
-H "Authorization: Bearer $(gcloud auth print-access-token)" \
-H "Content-Type: application/json; charset=utf-8" \
-d @request.json \
"https://healthcare.googleapis.com/v1/projects/PROJECT_ID/locations/LOCATION/datasets/SOURCE_DATASET_ID/dicomStores/SOURCE_DICOM_STORE_ID:deidentify"PowerShell
Salve o corpo da solicitação em um arquivo chamado
request.json. Execute o comando a seguir no terminal para criar ou substituir esse arquivo no diretório atual:@' { "destinationStore": "projects/PROJECT_ID/locations/LOCATION/datasets/DESTINATION_DATASET_ID/dicomStores/DESTINATION_DICOM_STORE_ID", "config": { "dicom": { "filterProfile": "DEIDENTIFY_TAG_CONTENTS" }, "image": { "textRedactionMode": "REDACT_ALL_TEXT" } }, "filterConfig": { "resourcePathGcsUri": "gs://BUCKET/PATH/TO/FILE" } } '@ | Out-File -FilePath request.json -Encoding utf8Depois execute o comando a seguir para enviar a solicitação REST:
$cred = gcloud auth print-access-token
$headers = @{ "Authorization" = "Bearer $cred" }
Invoke-WebRequest `
-Method POST `
-Headers $headers `
-ContentType: "application/json; charset=utf-8" `
-InFile request.json `
-Uri "https://healthcare.googleapis.com/v1/projects/PROJECT_ID/locations/LOCATION/datasets/SOURCE_DATASET_ID/dicomStores/SOURCE_DICOM_STORE_ID:deidentify" | Select-Object -Expand Content- Use o método
projects.locations.datasets.operations.getpara receber o status da operação de longa duração.
Antes de usar os dados da solicitação abaixo, faça as substituições a seguir:
- PROJECT_ID: ID do seu projeto Google Cloud
- DATASET_ID: o ID do conjunto de dados;
- LOCATION: o local do conjunto de dados;
- OPERATION_ID: o ID retornado da operação de longa duração.
Para enviar a solicitação, escolha uma destas opções:
A saída é esta: Quando a resposta contémcurl
Execute o seguinte comando:
curl -X GET \
-H "Authorization: Bearer $(gcloud auth print-access-token)" \
"https://healthcare.googleapis.com/v1/projects/PROJECT_ID/locations/LOCATION/datasets/DATASET_ID/operations/OPERATION_ID"PowerShell
Execute o seguinte comando:
$cred = gcloud auth print-access-token
$headers = @{ "Authorization" = "Bearer $cred" }
Invoke-WebRequest `
-Method GET `
-Headers $headers `
-Uri "https://healthcare.googleapis.com/v1/projects/PROJECT_ID/locations/LOCATION/datasets/DATASET_ID/operations/OPERATION_ID" | Select-Object -Expand ContentAPIs Explorer
Abra a página de referência do método. O painel "APIs Explorer" é aberto no lado direito da página. Interaja com essa ferramenta para enviar solicitações. Preencha todos os campos obrigatórios e clique em Executar.
"done": true, a operação de longa duração é concluída.
Solução de problemas de operações de desidentificação para DICOM
Se ocorrerem erros durante uma operação de desidentificação DICOM, eles serão registrados no Cloud Logging. Para mais informações, consulte Como visualizar registros de erros no Cloud Logging.
Se toda a operação retornar um erro, consulte Solução de problemas de operações de longa duração.