De-identify DICOM data using DicomTagConfig

This page explains how to use the v1beta1 DicomTagConfig configuration in the Cloud Healthcare API to de-identify sensitive data in DICOM instances at the following levels:

This page also explains how to apply filters when de-identifying data at the DICOM store level.

You can configure DICOM de-identify operations using either the legacy v1 DicomConfig object or the v1beta1 DicomTagConfig object. We strongly recommend that you use DicomTagConfig.

If you already use DicomConfig for your de-identify operations, we encourage you to migrate to using DicomTagConfig. For a summary of new features, see New configuration options in DicomTagConfig. For instructions on how to migrate, see Migrate requests and responses to use DicomTagConfig.

New configuration options in DicomTagConfig

De-identify text with contextual de-identification

You can configure the DicomTagConfig.Options.CleanDescriptorsOption object to enable contextual de-identification of unstructured metadata text. This option is based on the Clean Descriptors Option. When you specify DicomTagConfig.Options.CleanDescriptorsOption, an extra infoType is used during inspection which can affect billing costs.

Using the DicomTagConfig.Options.CleanDescriptorsOption option transforms any unstructured metadata text that matches removed tags, and in doing so improves the quality of the de-identification. For example, suppose that you're de-identifying an X-ray, and the X-ray patient has a last name that's also a noun, such as Wall. If any metadata in the instance, such as the text in StudyDescription, contains the word Wall, the text will be transformed.

The CleanDescriptorsOption option redacts contextual phrases that match any tags marked for removal in the DICOM Base Profile as long as the tags match one of the following action codes:

  • D
  • Z
  • X
  • U

Matching contextual phrases are replaced with the token [CTX].

You can configure which tags are redacted by specifying the following:

However, the tags used in the DICOM Base Profile cannot be changed.

Redact burned-in text with contextual de-identification

You can specify the TextRedactionMode.REDACT_SENSITIVE_TEXT_CLEAN_DESCRIPTORS enum to enable contextual de-identification of burned-in text in an image. This option is based on the Clean Descriptors Option. When you specify the TextRedactionMode.REDACT_SENSITIVE_TEXT_CLEAN_DESCRIPTORS enum, an extra infoType is used during inspection which can affect billing costs.

You can specify the TextRedactionMode.REDACT_SENSITIVE_TEXT_CLEAN_DESCRIPTORS enum in the following ways:

The TextRedactionMode.REDACT_SENSITIVE_TEXT_CLEAN_DESCRIPTORS option redacts burned-in text that matches any tags marked for removal in the DICOM Base Profile as long as the tags match one of the following action codes:

  • D
  • Z
  • X
  • U

There is no additional configuration for contextual de-identification of burned-in text other than enabling or disabling it using an enum in the ProfileType object. Specifying an enum isn't required.

Additional infoTypes in image de-identification

You can use information types (infoTypes) specify which data to scan for when performing de-identification on tags. An infoType is a type of sensitive data, such as a patient name, email address, telephone number, identification number, or credit card number.

You can configure the following fields in the DicomTagConfig.Options.ImageConfig object to determine which infoTypes to use during DICOM image de-identification:

These fields only take effect if DicomTagConfig.Options.ImageConfig.TextRedactionMode is set to one of the following values:

Migrate requests and responses to use DicomTagConfig

You can configure DICOM de-identification using DicomTagConfig, which is available in Cloud Healthcare API v1beta1 and is an alternative to using the legacy DicomConfig. When sending a request, you cannot include both DicomConfig and DicomTagConfig.

The following sections describe configurations in DicomConfig and how to migrate them to DicomTagConfig.

TagFilterProfile to ProfileType

Replace the DicomConfig TagFilterProfile object with the DicomTagConfig ProfileType object. The same four profiles in TagFilterProfileType are available in ProfileType.

The following example shows how to migrate a request from using TagFilterProfile to using ProfileType:

DicomConfigDicomTagConfig
"config": {
  "dicom": {
    "filterProfile": enum(TagFilterProfile)
  }
}
"config": {
  "dicomTagConfig": {
    "profileType": enum(ProfileType)
  }
}

keepList and removeList

The DicomConfig keepList and removeList fields are no longer available in DicomTagConfig. If you used keepList and removeList to specify tags to keep or remove instead of using a profile, you must migrate to the new Action object where you specify tag behavior. The Action object provides additional options to transform tags.

The following example shows how to migrate a request from using keepList to using Action.keepTag. The request specifies that the value of the PatientID tag is kept during the de-identify operation.

DicomConfigDicomTagConfig
"config": {
  "dicom": {
    "keepList": {
      "tags": [
        "PatientID"
      ]
    }
  }
}
"config": {
  "dicomTagConfig": {
    "actions": [
      {
        "queries": [
          "PatientID"
        ],
        "keepTag": {}
      }
    ]
  }
}

Combine keeplists, removelists, and profiles

In the DicomConfig object, you can determine whether to keep or remove data based on keeplists, removelists, and profiles. These options are mutually exclusive.

When using the DicomTagConfig object, you can combine these options by specifying which tags to keep and remove in an Action object while also specifying a profile in ProfileType.

Options configured in the Action object override those configured in the ProfileType profile. The options in the Action object apply in the order in which they are provided in the request.

skipIdRedaction to Objects.primaryIds

Replace the skipIdRedaction field in the DicomConfig object with the primaryIds field in the DicomTagConfig object. The primaryIds field, which is in the Options object, contains a PrimaryIdsOption object where you specify one of the following enums:

  • PRIMARY_IDS_OPTION_UNSPECIFIED: Default behavior when no value is provided to PrimaryIdsOption. Defaults to the option specified in ProfileType.
  • KEEP: Leave the primary IDs unchanged.
  • REGEN: Regenerate the primary IDs.

The following example shows how to migrate a request from using skipIdRedaction to using Options.primaryIds. The request specifies that the values of the primary IDs are kept during the de-identify operation:

DicomConfigDicomTagConfig
"config": {
  "dicom": {
    "skipIdRedaction": true
  }
}
"config": {
  "dicomTagConfig": {
    "options": {
      "primaryIds": "KEEP"
    }
  }
}

DeidentifyConfig.ImageConfig to DicomTagConfig.Options.ImageConfig

Replace the DeidentifyConfig.ImageConfig object with the DicomTagConfig.Options.ImageConfig object. The options in the ImageConfig object are the same in both versions.

The following example shows how to migrate a request from using an ImageConfig in DeidentifyConfig.image to using an ImageConfig in DeidentifyConfig.DicomTagConfig.Options.cleanImage. The request specifies that all text in an image is to be redacted during the de-identify operation:

DeidentifyConfig.imageDeidentifyConfig.DicomTagConfig.Options.cleanImage
"config": {
  "image": {
    "textRedactionMode": "REDACT_ALL_TEXT"
  }
}
"config": {
  "dicomTagConfig": {
    "options": {
      "cleanImage": {
        "textRedactionMode": "REDACT_ALL_TEXT"
      }
    }
  }
}

De-identification overview

Dataset level de-identification

To de-identify DICOM data at the dataset level, call the datasets.deidentify method. The datasets.deidentify method has the following components:

  • The source dataset: A dataset containing DICOM stores with one or more instances that have sensitive data. When you call the datasets.deidentify method, all instances in all DICOM stores in the dataset are de-identified.
  • The destination dataset: De-identification doesn't affect the original dataset or its data. Instead, de-identified copies of the original data are written to a new dataset, called the destination dataset.
  • What to de-identify: Configuration parameters that specify how to process the DICOM data in the dataset. You can configure DICOM de-identification to de-identify DICOM instance metadata (using tag keywords) or burned-in text in DICOM images by specifying these parameters in a DeidentifyConfig object.

Most of the samples in this guide show how to de-identify DICOM data at the dataset level.

DICOM store level de-identification

De-identifying DICOM data at the DICOM store level lets you have more control over which data is de-identified. For example, if you have a dataset with multiple DICOM stores, you can de-identify each DICOM store according to what type of data exists in the store.

To de-identify DICOM data in a DICOM store, call the dicomStores.deidentify method. The dicomStores.deidentify method has the following components:

  • The source DICOM store: A DICOM store containing one or more instances that have sensitive data. When you call the dicomStores.deidentify operation, all instances in the DICOM store are de-identified.
  • The destination DICOM store: De-identification doesn't affect the original DICOM store or its data. Instead, de-identified copies of the original data are written to the destination DICOM store. The destination DICOM store must already exist.
  • What to de-identify: Configuration parameters that specify how to process the DICOM store. You can configure DICOM de-identification to de-identify DICOM instance metadata (using tag keywords) or burned-in text in DICOM images by specifying these parameters in a DeidentifyConfig object.

For an example of how to de-identify DICOM data at the DICOM store level, see De-identify data at the DICOM store level.

Filters

When de-identifying DICOM data at the DICOM store level, you can de-identify a subset of the data in the DICOM store by configuring a filter file and specifying the file in the dicomStores.deidentify request. For an example, see De-identify a subset of a DICOM store.

Samples overview

The samples in this guide use a single DICOM instance named dicom_deid_instance_sample.dcm, but you can also de-identify multiple instances. To use the sample DICOM instance in the examples in this page, download the file to your local machine and follow the instructions in Store DICOM data to store it in a DICOM store.

The following sections show what the image in the DICOM instance looks like and the metadata in the instance.

Sample image

Some samples in this page contain an output of the de-identified image. Each sample uses the following original image as its input. You can compare the output image from each de-identification operation to this original image to see the effects of the operation:

xray_original

Sample metadata

Most samples in this page contain an output of the changed metadata in the DICOM instance. Each sample uses the following original metadata as its input. You can compare the output metadata from each de-identification operation to this original metadata to see the effects of de-identification:

[
  {
    "00020002": {
      "vr": "UI",
      "Value": [
        "1.2.840.10008.5.1.4.1.1.7"
      ]
    },
    "00020003": {
      "vr": "UI",
      "Value": [
        "1.2.276.0.7230010.3.1.4.8323329.78.1539083058.523695"
      ]
    },
    "00020010": {
      "vr": "UI",
      "Value": [
        "1.2.840.10008.1.2.4.50"
      ]
    },
    "00020012": {
      "vr": "UI",
      "Value": [
        "1.2.276.0.7230010.3.0.3.6.1"
      ]
    },
    "00020013": {
      "vr": "SH",
      "Value": [
        "OFFIS_DCMTK_361"
      ]
    },
    "00080005": {
      "vr": "CS",
      "Value": [
        "ISO_IR 100"
      ]
    },
    "00080016": {
      "vr": "UI",
      "Value": [
        "1.2.840.10008.5.1.4.1.1.7"
      ]
    },
    "00080018": {
      "vr": "UI",
      "Value": [
        "1.2.276.0.7230010.3.1.4.8323329.78.1539083058.523695"
      ]
    },
    "00080020": {
      "vr": "DA",
      "Value": [
        "20110909"
      ]
    },
    "00080030": {
      "vr": "TM",
      "Value": [
        "110032"
      ]
    },
    "00080050": {
      "vr": "SH"
    },
    "00080064": {
      "vr": "CS",
      "Value": [
        "WSD"
      ]
    },
    "00080070": {
      "vr": "LO",
      "Value": [
        "Manufacturer"
      ]
    },
    "00080090": {
      "vr": "PN",
      "Value": [
        {
          "Alphabetic": "John Doe"
        }
      ]
    },
    "00081090": {
      "vr": "LO",
      "Value": [
        "ABC1"
      ]
    },
    "00100010": {
      "vr": "PN",
      "Value": [
        {
          "Alphabetic": "Ann Johnson"
        }
      ]
    },
    "00100020": {
      "vr": "LO",
      "Value": [
        "S1214223-1"
      ]
    },
    "00100030": {
      "vr": "DA",
      "Value": [
        "19880812"
      ]
    },
    "00100040": {
      "vr": "CS",
      "Value": [
        "F"
      ]
    },
    "0020000D": {
      "vr": "UI",
      "Value": [
        "2.25.70541616638819138568043293671559322355"
      ]
    },
    "0020000E": {
      "vr": "UI",
      "Value": [
        "1.2.276.0.7230010.3.1.3.8323329.78.1531234558.523694"
      ]
    },
    "00200010": {
      "vr": "SH"
    },
    "00200011": {
      "vr": "IS"
    },
    "00200013": {
      "vr": "IS"
    },
    "00200020": {
      "vr": "CS"
    },
    "00280002": {
      "vr": "US",
      "Value": [
        3
      ]
    },
    "00280004": {
      "vr": "CS",
      "Value": [
        "YBR_FULL_422"
      ]
    },
    "00280006": {
      "vr": "US",
      "Value": [
        0
      ]
    },
    "00280010": {
      "vr": "US",
      "Value": [
        1024
      ]
    },
    "00280011": {
      "vr": "US",
      "Value": [
        1024
      ]
    },
    "00280100": {
      "vr": "US",
      "Value": [
        8
      ]
    },
    "00280101": {
      "vr": "US",
      "Value": [
        8
      ]
    },
    "00280102": {
      "vr": "US",
      "Value": [
        7
      ]
    },
    "00280103": {
      "vr": "US",
      "Value": [
        0
      ]
    },
    "00282110": {
      "vr": "CS",
      "Value": [
        "01"
      ]
    },
    "00282114": {
      "vr": "CS",
      "Value": [
        "ISO_10918_1"
      ]
    }
  }
]

Redact burned-in text from images

You can de-identify burned-in text in DICOM images using the ImageConfig object inside an Action object. Inside ImageConfig, you can specify which infoTypes to include or exclude, and how to redact text using the TextRedactionMode object.

Redact all text

The following samples show how to de-identify a DICOM instance by setting TextRedactionMode to REDACT_ALL_TEXT. This configuration redacts all burned-in text in the image.

REST

  1. De-identify the dataset.

    Before using any of the request data, make the following replacements:

    • PROJECT_ID: the ID of your Google Cloud project
    • SOURCE_DATASET_LOCATION: the source dataset location
    • SOURCE_DATASET_ID: the ID of the dataset containing the data to de-identify
    • DESTINATION_DATASET_ID: the ID of the destination dataset where de-identified data is written

    Request JSON body:

    {
      "destinationDataset": "projects/PROJECT_ID/locations/SOURCE_DATASET_LOCATION/datasets/DESTINATION_DATASET_ID",
      "config": {
        "dicomTagConfig": {
          "options": {
            "cleanImage": {
              "textRedactionMode": "REDACT_ALL_TEXT"
            }
          }
        }
      }
    }
    

    To send your request, choose one of these options:

    curl

    Save the request body in a file named request.json. Run the following command in the terminal to create or overwrite this file in the current directory:

    cat > request.json << 'EOF'
    {
      "destinationDataset": "projects/PROJECT_ID/locations/SOURCE_DATASET_LOCATION/datasets/DESTINATION_DATASET_ID",
      "config": {
        "dicomTagConfig": {
          "options": {
            "cleanImage": {
              "textRedactionMode": "REDACT_ALL_TEXT"
            }
          }
        }
      }
    }
    EOF

    Then execute the following command to send your REST request:

    curl -X POST \
    -H "Authorization: Bearer $(gcloud auth print-access-token)" \
    -H "Content-Type: application/json; charset=utf-8" \
    -d @request.json \
    "https://healthcare.googleapis.com/v1beta1/projects/PROJECT_ID/locations/SOURCE_DATASET_LOCATION/datasets/SOURCE_DATASET_ID:deidentify"

    PowerShell

    Save the request body in a file named request.json. Run the following command in the terminal to create or overwrite this file in the current directory:

    @'
    {
      "destinationDataset": "projects/PROJECT_ID/locations/SOURCE_DATASET_LOCATION/datasets/DESTINATION_DATASET_ID",
      "config": {
        "dicomTagConfig": {
          "options": {
            "cleanImage": {
              "textRedactionMode": "REDACT_ALL_TEXT"
            }
          }
        }
      }
    }
    '@  | Out-File -FilePath request.json -Encoding utf8

    Then execute the following command to send your REST request:

    $cred = gcloud auth print-access-token
    $headers = @{ "Authorization" = "Bearer $cred" }

    Invoke-WebRequest `
    -Method POST `
    -Headers $headers `
    -ContentType: "application/json; charset=utf-8" `
    -InFile request.json `
    -Uri "https://healthcare.googleapis.com/v1beta1/projects/PROJECT_ID/locations/SOURCE_DATASET_LOCATION/datasets/SOURCE_DATASET_ID:deidentify" | Select-Object -Expand Content
    The output is the following. The response contains an identifier for a long-running operation (LRO). Long-running operations are returned when method calls might take additional time to complete. Note the value of OPERATION_ID. You need this value in the next step.

  2. Use the projects.locations.datasets.operations.get method to get the status of the long-running operation.

    Before using any of the request data, make the following replacements:

    • PROJECT_ID: the ID of your Google Cloud project
    • SOURCE_DATASET_LOCATION: the source dataset location
    • SOURCE_DATASET_ID: the ID of the dataset containing the data to de-identify
    • OPERATION_ID: the ID returned from the long-running operation

    To send your request, choose one of these options:

    curl

    Execute the following command:

    curl -X GET \
    -H "Authorization: Bearer $(gcloud auth print-access-token)" \
    "https://healthcare.googleapis.com/v1beta1/projects/PROJECT_ID/locations/SOURCE_DATASET_LOCATION/datasets/SOURCE_DATASET_ID/operations/OPERATION_ID"

    PowerShell

    Execute the following command:

    $cred = gcloud auth print-access-token
    $headers = @{ "Authorization" = "Bearer $cred" }

    Invoke-WebRequest `
    -Method GET `
    -Headers $headers `
    -Uri "https://healthcare.googleapis.com/v1beta1/projects/PROJECT_ID/locations/SOURCE_DATASET_LOCATION/datasets/SOURCE_DATASET_ID/operations/OPERATION_ID" | Select-Object -Expand Content

    APIs Explorer

    Open the method reference page. The APIs Explorer panel opens on the right side of the page. You can interact with this tool to send requests. Complete any required fields and click Execute.

    The output is the following. When the response contains "done": true, the long-running operation has finished.

  3. After the de-identification succeeds, you can retrieve the metadata for the de-identified instance to see how it changed. The de-identified instance has a new studies UID, series UID, and instances UID, so you first need to search the new dataset for the de-identified instance.

    Before using any of the request data, make the following replacements:

    • PROJECT_ID: the ID of your Google Cloud project
    • DESTINATION_DATASET_ID: the ID of the destination dataset where de-identified data is written
    • SOURCE_DATASET_LOCATION: the source dataset location
    • DESTINATION_DICOM_STORE_ID: the ID of the DICOM store in the destination dataset. This is the same as the ID of the DICOM store in the source dataset.

    To send your request, choose one of these options:

    curl

    Execute the following command:

    curl -X GET \
    -H "Authorization: Bearer $(gcloud auth print-access-token)" \
    "https://healthcare.googleapis.com/v1beta1/projects/PROJECT_ID/locations/SOURCE_DATASET_LOCATION/datasets/DESTINATION_DATASET_ID/dicomStores/DESTINATION_DICOM_STORE_ID/dicomWeb/instances"

    PowerShell

    Execute the following command:

    $cred = gcloud auth print-access-token
    $headers = @{ "Authorization" = "Bearer $cred" }

    Invoke-WebRequest `
    -Method GET `
    -Headers $headers `
    -Uri "https://healthcare.googleapis.com/v1beta1/projects/PROJECT_ID/locations/SOURCE_DATASET_LOCATION/datasets/DESTINATION_DATASET_ID/dicomStores/DESTINATION_DICOM_STORE_ID/dicomWeb/instances" | Select-Object -Expand Content

    You should receive a JSON response similar to the following:

    The following table shows how the studies UID, series UID, and instances UID changed:
      Original instance metadata De-identified instance metadata
    Studies UID (0020000D) 2.25.70541616638819138568043293671559322355 1.3.6.1.4.1.11129.5.1.201854290391432893460946240745559593763
    Series UID (0020000E) 1.2.276.0.7230010.3.1.3.8323329.78.1531234558.523694 1.3.6.1.4.1.11129.5.1.303327499491957026103380014864616068710
    Instances UID (00080018) 1.2.276.0.7230010.3.1.4.8323329.78.1539083058.523695 1.3.6.1.4.1.11129.5.1.97415866390999888717168863957686758029
  4. Using the new values, retrieve the metadata for the instance.

    Before using any of the request data, make the following replacements:

    • PROJECT_ID: the ID of your Google Cloud project
    • DESTINATION_DATASET_ID: the ID of the destination dataset where de-identified data is written
    • SOURCE_DATASET_LOCATION: the source dataset location
    • DESTINATION_DICOM_STORE_ID: the ID of the DICOM store in the destination dataset. This is the same as the ID of the DICOM store in the source dataset.

    To send your request, choose one of these options:

    curl

    Execute the following command:

    curl -X GET \
    -H "Authorization: Bearer $(gcloud auth print-access-token)" \
    "https://healthcare.googleapis.com/v1beta1/projects/PROJECT_ID/locations/SOURCE_DATASET_LOCATION/datasets/DESTINATION_DATASET_ID/dicomStores/DESTINATION_DICOM_STORE_ID/dicomWeb/studies/1.3.6.1.4.1.11129.5.1.201854290391432893460946240745559593763/series/1.3.6.1.4.1.11129.5.1.303327499491957026103380014864616068710/instances/1.3.6.1.4.1.11129.5.1.97415866390999888717168863957686758029/metadata"

    PowerShell

    Execute the following command:

    $cred = gcloud auth print-access-token
    $headers = @{ "Authorization" = "Bearer $cred" }

    Invoke-WebRequest `
    -Method GET `
    -Headers $headers `
    -Uri "https://healthcare.googleapis.com/v1beta1/projects/PROJECT_ID/locations/SOURCE_DATASET_LOCATION/datasets/DESTINATION_DATASET_ID/dicomStores/DESTINATION_DICOM_STORE_ID/dicomWeb/studies/1.3.6.1.4.1.11129.5.1.201854290391432893460946240745559593763/series/1.3.6.1.4.1.11129.5.1.303327499491957026103380014864616068710/instances/1.3.6.1.4.1.11129.5.1.97415866390999888717168863957686758029/metadata" | Select-Object -Expand Content

    APIs Explorer

    Open the method reference page. The APIs Explorer panel opens on the right side of the page. You can interact with this tool to send requests. Complete any required fields and click Execute.

    The output contains the new metadata. You can compare the new metadata with the original metadata to see the effect of the transformation.

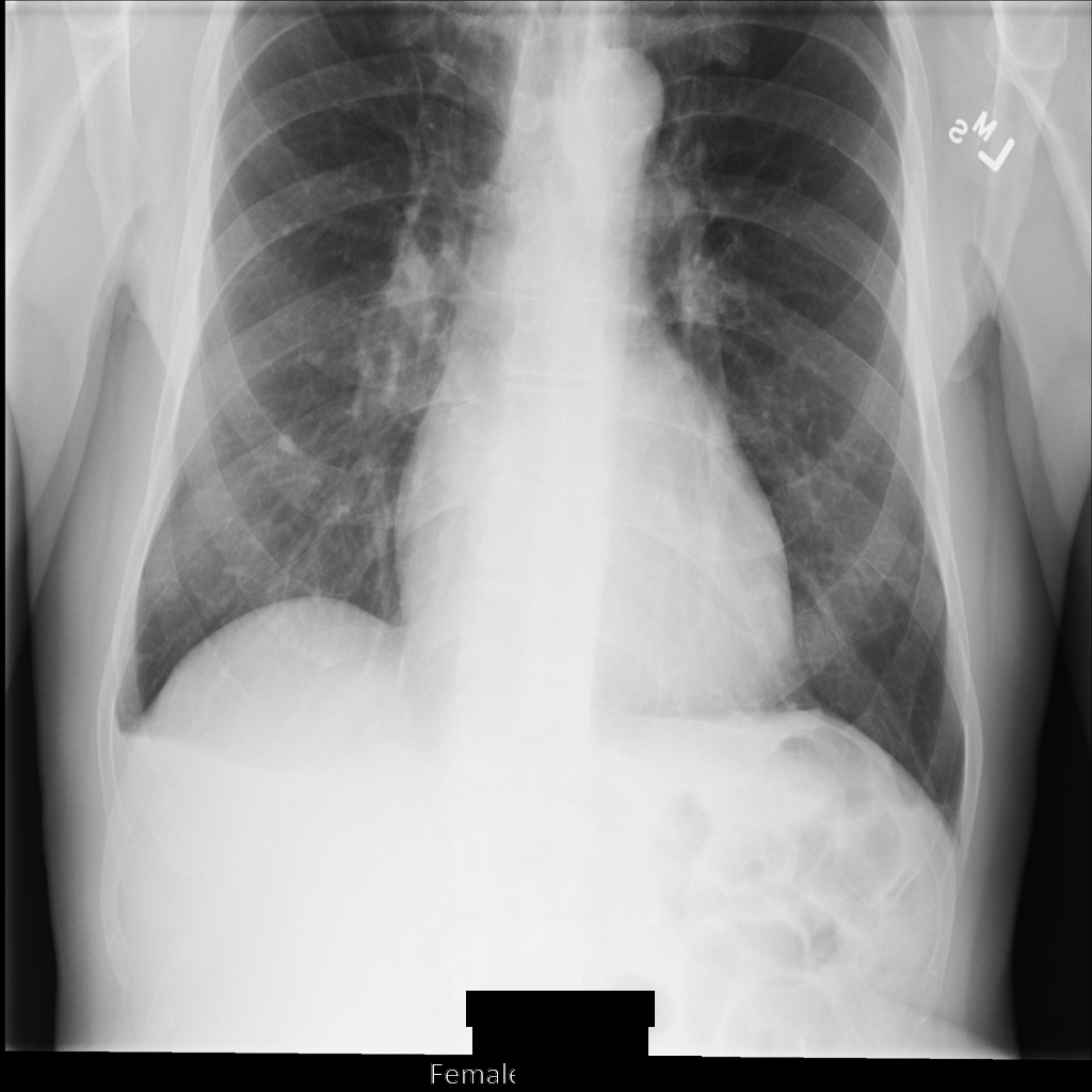
After de-identifying the image using REDACT_ALL_TEXT, the image looks like this. Notice that all the burned-in text at the bottom of the image has been redacted.

Figure 1. The DICOM instance after de-identification using REDACT_ALL_TEXT.

Redact sensitive text with the Clean Descriptors Option

The following samples show how to de-identify a DICOM instance by setting TextRedactionMode to REDACT_SENSITIVE_TEXT_CLEAN_DESCRIPTORS.

For more information on the CleanDescriptorsOption option, see De-identify text with contextual de-identification.

REST

  1. De-identify the dataset.

    Before using any of the request data, make the following replacements:

    • PROJECT_ID: the ID of your Google Cloud project
    • SOURCE_DATASET_LOCATION: the source dataset location
    • SOURCE_DATASET_ID: the ID of the dataset containing the data to de-identify
    • DESTINATION_DATASET_ID: the ID of the destination dataset where de-identified data is written

    Request JSON body:

    {
      "destinationDataset": "projects/PROJECT_ID/locations/SOURCE_DATASET_LOCATION/datasets/DESTINATION_DATASET_ID",
      "config": {
        "dicomTagConfig": {
          "options": {
            "cleanImage": {
              "textRedactionMode": "REDACT_SENSITIVE_TEXT_CLEAN_DESCRIPTORS"
            }
          }
        }
      }
    }
    

    To send your request, choose one of these options:

    curl

    Save the request body in a file named request.json. Run the following command in the terminal to create or overwrite this file in the current directory:

    cat > request.json << 'EOF'
    {
      "destinationDataset": "projects/PROJECT_ID/locations/SOURCE_DATASET_LOCATION/datasets/DESTINATION_DATASET_ID",
      "config": {
        "dicomTagConfig": {
          "options": {
            "cleanImage": {
              "textRedactionMode": "REDACT_SENSITIVE_TEXT_CLEAN_DESCRIPTORS"
            }
          }
        }
      }
    }
    EOF

    Then execute the following command to send your REST request:

    curl -X POST \
    -H "Authorization: Bearer $(gcloud auth print-access-token)" \
    -H "Content-Type: application/json; charset=utf-8" \
    -d @request.json \
    "https://healthcare.googleapis.com/v1beta1/projects/PROJECT_ID/locations/SOURCE_DATASET_LOCATION/datasets/SOURCE_DATASET_ID:deidentify"

    PowerShell

    Save the request body in a file named request.json. Run the following command in the terminal to create or overwrite this file in the current directory:

    @'
    {
      "destinationDataset": "projects/PROJECT_ID/locations/SOURCE_DATASET_LOCATION/datasets/DESTINATION_DATASET_ID",
      "config": {
        "dicomTagConfig": {
          "options": {
            "cleanImage": {
              "textRedactionMode": "REDACT_SENSITIVE_TEXT_CLEAN_DESCRIPTORS"
            }
          }
        }
      }
    }
    '@  | Out-File -FilePath request.json -Encoding utf8

    Then execute the following command to send your REST request:

    $cred = gcloud auth print-access-token
    $headers = @{ "Authorization" = "Bearer $cred" }

    Invoke-WebRequest `
    -Method POST `
    -Headers $headers `
    -ContentType: "application/json; charset=utf-8" `
    -InFile request.json `
    -Uri "https://healthcare.googleapis.com/v1beta1/projects/PROJECT_ID/locations/SOURCE_DATASET_LOCATION/datasets/SOURCE_DATASET_ID:deidentify" | Select-Object -Expand Content
    The output is the following. The response contains an identifier for a long-running operation (LRO). Long-running operations are returned when method calls might take additional time to complete. Note the value of OPERATION_ID. You need this value in the next step.

  2. Use the projects.locations.datasets.operations.get method to get the status of the long-running operation.

    Before using any of the request data, make the following replacements:

    • PROJECT_ID: the ID of your Google Cloud project
    • SOURCE_DATASET_LOCATION: the source dataset location
    • SOURCE_DATASET_ID: the ID of the dataset containing the data to de-identify
    • OPERATION_ID: the ID returned from the long-running operation

    To send your request, choose one of these options:

    curl

    Execute the following command:

    curl -X GET \
    -H "Authorization: Bearer $(gcloud auth print-access-token)" \
    "https://healthcare.googleapis.com/v1beta1/projects/PROJECT_ID/locations/SOURCE_DATASET_LOCATION/datasets/SOURCE_DATASET_ID/operations/OPERATION_ID"

    PowerShell

    Execute the following command:

    $cred = gcloud auth print-access-token
    $headers = @{ "Authorization" = "Bearer $cred" }

    Invoke-WebRequest `
    -Method GET `
    -Headers $headers `
    -Uri "https://healthcare.googleapis.com/v1beta1/projects/PROJECT_ID/locations/SOURCE_DATASET_LOCATION/datasets/SOURCE_DATASET_ID/operations/OPERATION_ID" | Select-Object -Expand Content

    APIs Explorer

    Open the method reference page. The APIs Explorer panel opens on the right side of the page. You can interact with this tool to send requests. Complete any required fields and click Execute.

    The output is the following. When the response contains "done": true, the long-running operation has finished.

  3. After the de-identification succeeds, you can retrieve the metadata for the de-identified instance to see how it changed. The de-identified instance has a new studies UID, series UID, and instances UID, so you first need to search the new dataset for the de-identified instance.

    Before using any of the request data, make the following replacements:

    • PROJECT_ID: the ID of your Google Cloud project
    • DESTINATION_DATASET_ID: the ID of the destination dataset where de-identified data is written
    • SOURCE_DATASET_LOCATION: the source dataset location
    • DESTINATION_DICOM_STORE_ID: the ID of the DICOM store in the destination dataset. This is the same as the ID of the DICOM store in the source dataset.

    To send your request, choose one of these options:

    curl

    Execute the following command:

    curl -X GET \
    -H "Authorization: Bearer $(gcloud auth print-access-token)" \
    "https://healthcare.googleapis.com/v1beta1/projects/PROJECT_ID/locations/SOURCE_DATASET_LOCATION/datasets/DESTINATION_DATASET_ID/dicomStores/DESTINATION_DICOM_STORE_ID/dicomWeb/instances"

    PowerShell

    Execute the following command:

    $cred = gcloud auth print-access-token
    $headers = @{ "Authorization" = "Bearer $cred" }

    Invoke-WebRequest `
    -Method GET `
    -Headers $headers `
    -Uri "https://healthcare.googleapis.com/v1beta1/projects/PROJECT_ID/locations/SOURCE_DATASET_LOCATION/datasets/DESTINATION_DATASET_ID/dicomStores/DESTINATION_DICOM_STORE_ID/dicomWeb/instances" | Select-Object -Expand Content

    You should receive a JSON response similar to the following:

    The following table shows how the studies UID, series UID, and instances UID changed:
      Original instance metadata De-identified instance metadata
    Studies UID (0020000D) 2.25.70541616638819138568043293671559322355 1.3.6.1.4.1.11129.5.1.201854290391432893460946240745559593763
    Series UID (0020000E) 1.2.276.0.7230010.3.1.3.8323329.78.1531234558.523694 1.3.6.1.4.1.11129.5.1.303327499491957026103380014864616068710
    Instances UID (00080018) 1.2.276.0.7230010.3.1.4.8323329.78.1539083058.523695 1.3.6.1.4.1.11129.5.1.97415866390999888717168863957686758029
  4. Using the new values, retrieve the metadata for the instance.

    Before using any of the request data, make the following replacements:

    • PROJECT_ID: the ID of your Google Cloud project
    • DESTINATION_DATASET_ID: the ID of the destination dataset where de-identified data is written
    • SOURCE_DATASET_LOCATION: the source dataset location
    • DESTINATION_DICOM_STORE_ID: the ID of the DICOM store in the destination dataset. This is the same as the ID of the DICOM store in the source dataset.

    To send your request, choose one of these options:

    curl

    Execute the following command:

    curl -X GET \
    -H "Authorization: Bearer $(gcloud auth print-access-token)" \
    "https://healthcare.googleapis.com/v1beta1/projects/PROJECT_ID/locations/SOURCE_DATASET_LOCATION/datasets/DESTINATION_DATASET_ID/dicomStores/DESTINATION_DICOM_STORE_ID/dicomWeb/studies/1.3.6.1.4.1.11129.5.1.201854290391432893460946240745559593763/series/1.3.6.1.4.1.11129.5.1.303327499491957026103380014864616068710/instances/1.3.6.1.4.1.11129.5.1.97415866390999888717168863957686758029/metadata"

    PowerShell

    Execute the following command:

    $cred = gcloud auth print-access-token
    $headers = @{ "Authorization" = "Bearer $cred" }

    Invoke-WebRequest `
    -Method GET `
    -Headers $headers `
    -Uri "https://healthcare.googleapis.com/v1beta1/projects/PROJECT_ID/locations/SOURCE_DATASET_LOCATION/datasets/DESTINATION_DATASET_ID/dicomStores/DESTINATION_DICOM_STORE_ID/dicomWeb/studies/1.3.6.1.4.1.11129.5.1.201854290391432893460946240745559593763/series/1.3.6.1.4.1.11129.5.1.303327499491957026103380014864616068710/instances/1.3.6.1.4.1.11129.5.1.97415866390999888717168863957686758029/metadata" | Select-Object -Expand Content

    APIs Explorer

    Open the method reference page. The APIs Explorer panel opens on the right side of the page. You can interact with this tool to send requests. Complete any required fields and click Execute.

    The output contains the new metadata. You can compare the new metadata with the original metadata to see the effect of the transformation.

After de-identifying the image using REDACT_SENSITIVE_TEXT_CLEAN_DESCRIPTORS, the image looks like this. Notice that not all the burned-in text at the bottom of the image has been redacted. The text Female is still shown, because PatientSex (0010,0040) isn't one of the default DICOM infoTypes.

Figure 2. The DICOM instance after de-identification using REDACT_SENSITIVE_TEXT_CLEAN_DESCRIPTORS.

De-identify DICOM tags

You can de-identify DICOM instances based on tag keywords in the DICOM metadata.

The following tag filtering methods are available in the DicomTagConfig Action object:

You specify each Action option as a list of DICOM tag IDs, names, or Value Representations (VRs), and then the option performs an action on the tags in the list. You cannot specify more than one Action option on a list of tags.

Each Action object provides a queries[] list where you specify a list of tags. The following tag formats are supported:

  • Tag IDs, such as "00100010"
  • Tag names, such as "PatientName"
  • Value Representations (VRs), such as "PN"

There is no limit to the number of tags that can be provided in the queries[] list. However, each tag can only have a single Action option performed on it. To specify different tags that have different Action options performed on them, you must specify multiple Action objects.

Keep tags

You can prevent the values of tags from being redacted by specifying the tags in a KeepTag object in the DicomTagConfig object.

To produce a valid DICOM object while using a KeepTag object, specify the MINIMAL_KEEP_LIST_PROFILE or DEIDENTIFY_TAG_CONTENTS values in the ProfileType object.

By specifying either of these profiles, the following tags are automatically kept, ensuring that the de-identified DICOM instance is valid DICOM:

  • StudyInstanceUID
  • SeriesInstanceUID
  • SOPInstanceUID
  • TransferSyntaxUID
  • MediaStorageSOPInstanceUID
  • MediaStorageSOPClassUID
  • PixelData
  • Rows
  • Columns
  • SamplesPerPixel
  • BitsAllocated
  • BitsStored
  • Highbit
  • PhotometricInterpretation
  • PixelRepresentation
  • NumberOfFrames
  • PlanarConfiguration
  • PixelAspectRatio
  • SmallestImagePixelValue
  • LargestImagePixelValue
  • RedPaletteColorLookupTableDescriptor
  • GreenPaletteColorLookupTableDescriptor
  • BluePaletteColorLookupTableDescriptor
  • RedPaletteColorLookupTableData
  • GreenPaletteColorLookupTableData
  • BluePaletteColorLookupTableData
  • ICCProfile
  • ColorSpace
  • WindowCenter
  • WindowWidth
  • VOILUTFunction

The values for some of the preceding tags are regenerated, meaning that the values are replaced with a different value through a deterministic transformation. For more information, see Retain UIDs Option in the DICOM standard.

The values of StudyInstanceUID, SeriesInstanceUID, SOPInstanceUID, and MediaStorageSOPInstanceUID are called "primary IDs." To determine how primary IDs are transformed, specify a value in PrimaryIdsOption.

The following samples show how to use the KeepTag object to keep the values of specific tags unchanged during de-identification. The PatientName tag is added in the queries[] list, so the PatientName value isn't redacted during de-identification.

Because PrimaryIdsOption isn't specified in the sample, the primaryIds field defaults to PRIMARY_IDS_OPTION_UNSPECIFIED, which defaults to the value in ProfileType. Because ProfileType is also not specified, the profileType field defaults to PROFILE_TYPE_UNSPECIFIED, which removes tags based on the Attribute Confidentiality Basic Profile (DICOM Standard Edition 2018e).

REST

  1. De-identify the dataset.

    Before using any of the request data, make the following replacements:

    • PROJECT_ID: the ID of your Google Cloud project
    • SOURCE_DATASET_LOCATION: the source dataset location
    • SOURCE_DATASET_ID: the ID of the dataset containing the data to de-identify
    • DESTINATION_DATASET_ID: the ID of the destination dataset where de-identified data is written

    Request JSON body:

    {
      "destinationDataset": "projects/PROJECT_ID/locations/SOURCE_DATASET_LOCATION/datasets/DESTINATION_DATASET_ID",
      "config": {
        "dicomTagConfig": {
          "actions": [
            {
              "queries": [
               "PatientName"
              ],
              "keepTag": {}
            }
          ]
        }
      }
    }
    

    To send your request, choose one of these options:

    curl

    Save the request body in a file named request.json. Run the following command in the terminal to create or overwrite this file in the current directory:

    cat > request.json << 'EOF'
    {
      "destinationDataset": "projects/PROJECT_ID/locations/SOURCE_DATASET_LOCATION/datasets/DESTINATION_DATASET_ID",
      "config": {
        "dicomTagConfig": {
          "actions": [
            {
              "queries": [
               "PatientName"
              ],
              "keepTag": {}
            }
          ]
        }
      }
    }
    EOF

    Then execute the following command to send your REST request:

    curl -X POST \
    -H "Authorization: Bearer $(gcloud auth print-access-token)" \
    -H "Content-Type: application/json; charset=utf-8" \
    -d @request.json \
    "https://healthcare.googleapis.com/v1beta1/projects/PROJECT_ID/locations/SOURCE_DATASET_LOCATION/datasets/SOURCE_DATASET_ID:deidentify"

    PowerShell

    Save the request body in a file named request.json. Run the following command in the terminal to create or overwrite this file in the current directory:

    @'
    {
      "destinationDataset": "projects/PROJECT_ID/locations/SOURCE_DATASET_LOCATION/datasets/DESTINATION_DATASET_ID",
      "config": {
        "dicomTagConfig": {
          "actions": [
            {
              "queries": [
               "PatientName"
              ],
              "keepTag": {}
            }
          ]
        }
      }
    }
    '@  | Out-File -FilePath request.json -Encoding utf8

    Then execute the following command to send your REST request:

    $cred = gcloud auth print-access-token
    $headers = @{ "Authorization" = "Bearer $cred" }

    Invoke-WebRequest `
    -Method POST `
    -Headers $headers `
    -ContentType: "application/json; charset=utf-8" `
    -InFile request.json `
    -Uri "https://healthcare.googleapis.com/v1beta1/projects/PROJECT_ID/locations/SOURCE_DATASET_LOCATION/datasets/SOURCE_DATASET_ID:deidentify" | Select-Object -Expand Content
    The output is the following. The response contains an identifier for a long-running operation (LRO). Long-running operations are returned when method calls might take additional time to complete. Note the value of OPERATION_ID. You need this value in the next step.

  2. Use the projects.locations.datasets.operations.get method to get the status of the long-running operation.

    Before using any of the request data, make the following replacements:

    • PROJECT_ID: the ID of your Google Cloud project
    • SOURCE_DATASET_LOCATION: the source dataset location
    • SOURCE_DATASET_ID: the ID of the dataset containing the data to de-identify
    • OPERATION_ID: the ID returned from the long-running operation

    To send your request, choose one of these options:

    curl

    Execute the following command:

    curl -X GET \
    -H "Authorization: Bearer $(gcloud auth print-access-token)" \
    "https://healthcare.googleapis.com/v1beta1/projects/PROJECT_ID/locations/SOURCE_DATASET_LOCATION/datasets/SOURCE_DATASET_ID/operations/OPERATION_ID"

    PowerShell

    Execute the following command:

    $cred = gcloud auth print-access-token
    $headers = @{ "Authorization" = "Bearer $cred" }

    Invoke-WebRequest `
    -Method GET `
    -Headers $headers `
    -Uri "https://healthcare.googleapis.com/v1beta1/projects/PROJECT_ID/locations/SOURCE_DATASET_LOCATION/datasets/SOURCE_DATASET_ID/operations/OPERATION_ID" | Select-Object -Expand Content

    APIs Explorer

    Open the method reference page. The APIs Explorer panel opens on the right side of the page. You can interact with this tool to send requests. Complete any required fields and click Execute.

    The output is the following. When the response contains "done": true, the long-running operation has finished.

  3. After the de-identification succeeds, you can retrieve the metadata for the de-identified instance to see how it changed. The de-identified instance has a new studies UID, series UID, and instances UID, so you first need to search the new dataset for the de-identified instance.

    Before using any of the request data, make the following replacements:

    • PROJECT_ID: the ID of your Google Cloud project
    • DESTINATION_DATASET_ID: the ID of the destination dataset where de-identified data is written
    • SOURCE_DATASET_LOCATION: the source dataset location
    • DESTINATION_DICOM_STORE_ID: the ID of the DICOM store in the destination dataset. This is the same as the ID of the DICOM store in the source dataset.

    To send your request, choose one of these options:

    curl

    Execute the following command:

    curl -X GET \
    -H "Authorization: Bearer $(gcloud auth print-access-token)" \
    "https://healthcare.googleapis.com/v1beta1/projects/PROJECT_ID/locations/SOURCE_DATASET_LOCATION/datasets/DESTINATION_DATASET_ID/dicomStores/DESTINATION_DICOM_STORE_ID/dicomWeb/instances"

    PowerShell

    Execute the following command:

    $cred = gcloud auth print-access-token
    $headers = @{ "Authorization" = "Bearer $cred" }

    Invoke-WebRequest `
    -Method GET `
    -Headers $headers `
    -Uri "https://healthcare.googleapis.com/v1beta1/projects/PROJECT_ID/locations/SOURCE_DATASET_LOCATION/datasets/DESTINATION_DATASET_ID/dicomStores/DESTINATION_DICOM_STORE_ID/dicomWeb/instances" | Select-Object -Expand Content

    You should receive a JSON response similar to the following:

    The following table shows how the studies UID, series UID, and instances UID changed:
      Original instance metadata De-identified instance metadata
    Studies UID (0020000D) 2.25.70541616638819138568043293671559322355 1.3.6.1.4.1.11129.5.1.201854290391432893460946240745559593763
    Series UID (0020000E) 1.2.276.0.7230010.3.1.3.8323329.78.1531234558.523694 1.3.6.1.4.1.11129.5.1.303327499491957026103380014864616068710
    Instances UID (00080018) 1.2.276.0.7230010.3.1.4.8323329.78.1539083058.523695 1.3.6.1.4.1.11129.5.1.97415866390999888717168863957686758029
  4. Using the new values, retrieve the metadata for the instance.

    Before using any of the request data, make the following replacements:

    • PROJECT_ID: the ID of your Google Cloud project
    • DESTINATION_DATASET_ID: the ID of the destination dataset where de-identified data is written
    • SOURCE_DATASET_LOCATION: the source dataset location
    • DESTINATION_DICOM_STORE_ID: the ID of the DICOM store in the destination dataset. This is the same as the ID of the DICOM store in the source dataset.

    To send your request, choose one of these options:

    curl

    Execute the following command:

    curl -X GET \
    -H "Authorization: Bearer $(gcloud auth print-access-token)" \
    "https://healthcare.googleapis.com/v1beta1/projects/PROJECT_ID/locations/SOURCE_DATASET_LOCATION/datasets/DESTINATION_DATASET_ID/dicomStores/DESTINATION_DICOM_STORE_ID/dicomWeb/studies/1.3.6.1.4.1.11129.5.1.201854290391432893460946240745559593763/series/1.3.6.1.4.1.11129.5.1.303327499491957026103380014864616068710/instances/1.3.6.1.4.1.11129.5.1.97415866390999888717168863957686758029/metadata"

    PowerShell

    Execute the following command:

    $cred = gcloud auth print-access-token
    $headers = @{ "Authorization" = "Bearer $cred" }

    Invoke-WebRequest `
    -Method GET `
    -Headers $headers `
    -Uri "https://healthcare.googleapis.com/v1beta1/projects/PROJECT_ID/locations/SOURCE_DATASET_LOCATION/datasets/DESTINATION_DATASET_ID/dicomStores/DESTINATION_DICOM_STORE_ID/dicomWeb/studies/1.3.6.1.4.1.11129.5.1.201854290391432893460946240745559593763/series/1.3.6.1.4.1.11129.5.1.303327499491957026103380014864616068710/instances/1.3.6.1.4.1.11129.5.1.97415866390999888717168863957686758029/metadata" | Select-Object -Expand Content

    APIs Explorer

    Open the method reference page. The APIs Explorer panel opens on the right side of the page. You can interact with this tool to send requests. Complete any required fields and click Execute.

    The output contains the new metadata. You can compare the new metadata with the original metadata to see the effect of the transformation.

Remove tags

The following samples show how to use the RemoveTag object to remove the values of specific tags during de-identification. A removed tag is replaced with an empty value.

In the following samples, the PatientName tag is added in the queries[] list, so its value is replaced with an empty value during de-identification.

REST

  1. De-identify the dataset.

    Before using any of the request data, make the following replacements:

    • PROJECT_ID: the ID of your Google Cloud project
    • SOURCE_DATASET_LOCATION: the source dataset location
    • SOURCE_DATASET_ID: the ID of the dataset containing the data to de-identify
    • DESTINATION_DATASET_ID: the ID of the destination dataset where de-identified data is written

    Request JSON body:

    {
      "destinationDataset": "projects/PROJECT_ID/locations/SOURCE_DATASET_LOCATION/datasets/DESTINATION_DATASET_ID",
      "config": {
        "dicomTagConfig": {
          "actions": [
            {
              "queries": [
                 "PatientName"
              ],
              "removeTag": {}
            }
          ]
        }
      }
    }
    

    To send your request, choose one of these options:

    curl

    Save the request body in a file named request.json. Run the following command in the terminal to create or overwrite this file in the current directory:

    cat > request.json << 'EOF'
    {
      "destinationDataset": "projects/PROJECT_ID/locations/SOURCE_DATASET_LOCATION/datasets/DESTINATION_DATASET_ID",
      "config": {
        "dicomTagConfig": {
          "actions": [
            {
              "queries": [
                 "PatientName"
              ],
              "removeTag": {}
            }
          ]
        }
      }
    }
    EOF

    Then execute the following command to send your REST request:

    curl -X POST \
    -H "Authorization: Bearer $(gcloud auth print-access-token)" \
    -H "Content-Type: application/json; charset=utf-8" \
    -d @request.json \
    "https://healthcare.googleapis.com/v1beta1/projects/PROJECT_ID/locations/SOURCE_DATASET_LOCATION/datasets/SOURCE_DATASET_ID:deidentify"

    PowerShell

    Save the request body in a file named request.json. Run the following command in the terminal to create or overwrite this file in the current directory:

    @'
    {
      "destinationDataset": "projects/PROJECT_ID/locations/SOURCE_DATASET_LOCATION/datasets/DESTINATION_DATASET_ID",
      "config": {
        "dicomTagConfig": {
          "actions": [
            {
              "queries": [
                 "PatientName"
              ],
              "removeTag": {}
            }
          ]
        }
      }
    }
    '@  | Out-File -FilePath request.json -Encoding utf8

    Then execute the following command to send your REST request:

    $cred = gcloud auth print-access-token
    $headers = @{ "Authorization" = "Bearer $cred" }

    Invoke-WebRequest `
    -Method POST `
    -Headers $headers `
    -ContentType: "application/json; charset=utf-8" `
    -InFile request.json `
    -Uri "https://healthcare.googleapis.com/v1beta1/projects/PROJECT_ID/locations/SOURCE_DATASET_LOCATION/datasets/SOURCE_DATASET_ID:deidentify" | Select-Object -Expand Content
    The output is the following. The response contains an identifier for a long-running operation (LRO). Long-running operations are returned when method calls might take additional time to complete. Note the value of OPERATION_ID. You need this value in the next step.

  2. Use the projects.locations.datasets.operations.get method to get the status of the long-running operation.

    Before using any of the request data, make the following replacements:

    • PROJECT_ID: the ID of your Google Cloud project
    • SOURCE_DATASET_LOCATION: the source dataset location
    • SOURCE_DATASET_ID: the ID of the dataset containing the data to de-identify
    • OPERATION_ID: the ID returned from the long-running operation

    To send your request, choose one of these options:

    curl

    Execute the following command:

    curl -X GET \
    -H "Authorization: Bearer $(gcloud auth print-access-token)" \
    "https://healthcare.googleapis.com/v1beta1/projects/PROJECT_ID/locations/SOURCE_DATASET_LOCATION/datasets/SOURCE_DATASET_ID/operations/OPERATION_ID"

    PowerShell

    Execute the following command:

    $cred = gcloud auth print-access-token
    $headers = @{ "Authorization" = "Bearer $cred" }

    Invoke-WebRequest `
    -Method GET `
    -Headers $headers `
    -Uri "https://healthcare.googleapis.com/v1beta1/projects/PROJECT_ID/locations/SOURCE_DATASET_LOCATION/datasets/SOURCE_DATASET_ID/operations/OPERATION_ID" | Select-Object -Expand Content

    APIs Explorer

    Open the method reference page. The APIs Explorer panel opens on the right side of the page. You can interact with this tool to send requests. Complete any required fields and click Execute.

    The output is the following. When the response contains "done": true, the long-running operation has finished.

  3. After the de-identification succeeds, you can retrieve the metadata for the de-identified instance to see how it changed. The de-identified instance has a new studies UID, series UID, and instances UID, so you first need to search the new dataset for the de-identified instance.

    Before using any of the request data, make the following replacements:

    • PROJECT_ID: the ID of your Google Cloud project
    • DESTINATION_DATASET_ID: the ID of the destination dataset where de-identified data is written
    • SOURCE_DATASET_LOCATION: the source dataset location
    • DESTINATION_DICOM_STORE_ID: the ID of the DICOM store in the destination dataset. This is the same as the ID of the DICOM store in the source dataset.

    To send your request, choose one of these options:

    curl

    Execute the following command:

    curl -X GET \
    -H "Authorization: Bearer $(gcloud auth print-access-token)" \
    "https://healthcare.googleapis.com/v1beta1/projects/PROJECT_ID/locations/SOURCE_DATASET_LOCATION/datasets/DESTINATION_DATASET_ID/dicomStores/DESTINATION_DICOM_STORE_ID/dicomWeb/instances"

    PowerShell

    Execute the following command:

    $cred = gcloud auth print-access-token
    $headers = @{ "Authorization" = "Bearer $cred" }

    Invoke-WebRequest `
    -Method GET `
    -Headers $headers `
    -Uri "https://healthcare.googleapis.com/v1beta1/projects/PROJECT_ID/locations/SOURCE_DATASET_LOCATION/datasets/DESTINATION_DATASET_ID/dicomStores/DESTINATION_DICOM_STORE_ID/dicomWeb/instances" | Select-Object -Expand Content

    You should receive a JSON response similar to the following:

    The following table shows how the studies UID, series UID, and instances UID changed:
      Original instance metadata De-identified instance metadata
    Studies UID (0020000D) 2.25.70541616638819138568043293671559322355 1.3.6.1.4.1.11129.5.1.201854290391432893460946240745559593763
    Series UID (0020000E) 1.2.276.0.7230010.3.1.3.8323329.78.1531234558.523694 1.3.6.1.4.1.11129.5.1.303327499491957026103380014864616068710
    Instances UID (00080018) 1.2.276.0.7230010.3.1.4.8323329.78.1539083058.523695 1.3.6.1.4.1.11129.5.1.97415866390999888717168863957686758029
  4. Using the new values, retrieve the metadata for the instance.

    Before using any of the request data, make the following replacements:

    • PROJECT_ID: the ID of your Google Cloud project
    • DESTINATION_DATASET_ID: the ID of the destination dataset where de-identified data is written
    • SOURCE_DATASET_LOCATION: the source dataset location
    • DESTINATION_DICOM_STORE_ID: the ID of the DICOM store in the destination dataset. This is the same as the ID of the DICOM store in the source dataset.

    To send your request, choose one of these options:

    curl

    Execute the following command:

    curl -X GET \
    -H "Authorization: Bearer $(gcloud auth print-access-token)" \
    "https://healthcare.googleapis.com/v1beta1/projects/PROJECT_ID/locations/SOURCE_DATASET_LOCATION/datasets/DESTINATION_DATASET_ID/dicomStores/DESTINATION_DICOM_STORE_ID/dicomWeb/studies/1.3.6.1.4.1.11129.5.1.201854290391432893460946240745559593763/series/1.3.6.1.4.1.11129.5.1.303327499491957026103380014864616068710/instances/1.3.6.1.4.1.11129.5.1.97415866390999888717168863957686758029/metadata"

    PowerShell

    Execute the following command:

    $cred = gcloud auth print-access-token
    $headers = @{ "Authorization" = "Bearer $cred" }

    Invoke-WebRequest `
    -Method GET `
    -Headers $headers `
    -Uri "https://healthcare.googleapis.com/v1beta1/projects/PROJECT_ID/locations/SOURCE_DATASET_LOCATION/datasets/DESTINATION_DATASET_ID/dicomStores/DESTINATION_DICOM_STORE_ID/dicomWeb/studies/1.3.6.1.4.1.11129.5.1.201854290391432893460946240745559593763/series/1.3.6.1.4.1.11129.5.1.303327499491957026103380014864616068710/instances/1.3.6.1.4.1.11129.5.1.97415866390999888717168863957686758029/metadata" | Select-Object -Expand Content

    APIs Explorer

    Open the method reference page. The APIs Explorer panel opens on the right side of the page. You can interact with this tool to send requests. Complete any required fields and click Execute.

    The output contains the new metadata. You can compare the new metadata with the original metadata to see the effect of the transformation.

Delete tags

The following samples show how to use the DeleteTag object to delete specific tags during de-identification.

REST

  1. De-identify the dataset.

    Before using any of the request data, make the following replacements:

    • PROJECT_ID: the ID of your Google Cloud project
    • SOURCE_DATASET_LOCATION: the source dataset location
    • SOURCE_DATASET_ID: the ID of the dataset containing the data to de-identify
    • DESTINATION_DATASET_ID: the ID of the destination dataset where de-identified data is written

    Request JSON body:

    {
      "destinationDataset": "projects/PROJECT_ID/locations/SOURCE_DATASET_LOCATION/datasets/DESTINATION_DATASET_ID",
      "config": {
        "dicomTagConfig": {
          "actions": [
            {
              "queries": [
               "PatientName"
              ],
              "deleteTag": {}
            }
          ]
        }
      }
    }
    

    To send your request, choose one of these options:

    curl

    Save the request body in a file named request.json. Run the following command in the terminal to create or overwrite this file in the current directory:

    cat > request.json << 'EOF'
    {
      "destinationDataset": "projects/PROJECT_ID/locations/SOURCE_DATASET_LOCATION/datasets/DESTINATION_DATASET_ID",
      "config": {
        "dicomTagConfig": {
          "actions": [
            {
              "queries": [
               "PatientName"
              ],
              "deleteTag": {}
            }
          ]
        }
      }
    }
    EOF

    Then execute the following command to send your REST request:

    curl -X POST \
    -H "Authorization: Bearer $(gcloud auth print-access-token)" \
    -H "Content-Type: application/json; charset=utf-8" \
    -d @request.json \
    "https://healthcare.googleapis.com/v1beta1/projects/PROJECT_ID/locations/SOURCE_DATASET_LOCATION/datasets/SOURCE_DATASET_ID:deidentify"

    PowerShell

    Save the request body in a file named request.json. Run the following command in the terminal to create or overwrite this file in the current directory:

    @'
    {
      "destinationDataset": "projects/PROJECT_ID/locations/SOURCE_DATASET_LOCATION/datasets/DESTINATION_DATASET_ID",
      "config": {
        "dicomTagConfig": {
          "actions": [
            {
              "queries": [
               "PatientName"
              ],
              "deleteTag": {}
            }
          ]
        }
      }
    }
    '@  | Out-File -FilePath request.json -Encoding utf8

    Then execute the following command to send your REST request:

    $cred = gcloud auth print-access-token
    $headers = @{ "Authorization" = "Bearer $cred" }

    Invoke-WebRequest `
    -Method POST `
    -Headers $headers `
    -ContentType: "application/json; charset=utf-8" `
    -InFile request.json `
    -Uri "https://healthcare.googleapis.com/v1beta1/projects/PROJECT_ID/locations/SOURCE_DATASET_LOCATION/datasets/SOURCE_DATASET_ID:deidentify" | Select-Object -Expand Content
    The output is the following. The response contains an identifier for a long-running operation (LRO). Long-running operations are returned when method calls might take additional time to complete. Note the value of OPERATION_ID. You need this value in the next step.

  2. Use the projects.locations.datasets.operations.get method to get the status of the long-running operation.

    Before using any of the request data, make the following replacements:

    • PROJECT_ID: the ID of your Google Cloud project
    • SOURCE_DATASET_LOCATION: the source dataset location
    • SOURCE_DATASET_ID: the ID of the dataset containing the data to de-identify
    • OPERATION_ID: the ID returned from the long-running operation

    To send your request, choose one of these options:

    curl

    Execute the following command:

    curl -X GET \
    -H "Authorization: Bearer $(gcloud auth print-access-token)" \
    "https://healthcare.googleapis.com/v1beta1/projects/PROJECT_ID/locations/SOURCE_DATASET_LOCATION/datasets/SOURCE_DATASET_ID/operations/OPERATION_ID"

    PowerShell

    Execute the following command:

    $cred = gcloud auth print-access-token
    $headers = @{ "Authorization" = "Bearer $cred" }

    Invoke-WebRequest `
    -Method GET `
    -Headers $headers `
    -Uri "https://healthcare.googleapis.com/v1beta1/projects/PROJECT_ID/locations/SOURCE_DATASET_LOCATION/datasets/SOURCE_DATASET_ID/operations/OPERATION_ID" | Select-Object -Expand Content

    APIs Explorer

    Open the method reference page. The APIs Explorer panel opens on the right side of the page. You can interact with this tool to send requests. Complete any required fields and click Execute.

    The output is the following. When the response contains "done": true, the long-running operation has finished.

  3. After the de-identification succeeds, you can retrieve the metadata for the de-identified instance to see how it changed. The de-identified instance has a new studies UID, series UID, and instances UID, so you first need to search the new dataset for the de-identified instance.

    Before using any of the request data, make the following replacements:

    • PROJECT_ID: the ID of your Google Cloud project
    • DESTINATION_DATASET_ID: the ID of the destination dataset where de-identified data is written
    • SOURCE_DATASET_LOCATION: the source dataset location
    • DESTINATION_DICOM_STORE_ID: the ID of the DICOM store in the destination dataset. This is the same as the ID of the DICOM store in the source dataset.

    To send your request, choose one of these options:

    curl

    Execute the following command:

    curl -X GET \
    -H "Authorization: Bearer $(gcloud auth print-access-token)" \
    "https://healthcare.googleapis.com/v1beta1/projects/PROJECT_ID/locations/SOURCE_DATASET_LOCATION/datasets/DESTINATION_DATASET_ID/dicomStores/DESTINATION_DICOM_STORE_ID/dicomWeb/instances"

    PowerShell

    Execute the following command:

    $cred = gcloud auth print-access-token
    $headers = @{ "Authorization" = "Bearer $cred" }

    Invoke-WebRequest `
    -Method GET `
    -Headers $headers `
    -Uri "https://healthcare.googleapis.com/v1beta1/projects/PROJECT_ID/locations/SOURCE_DATASET_LOCATION/datasets/DESTINATION_DATASET_ID/dicomStores/DESTINATION_DICOM_STORE_ID/dicomWeb/instances" | Select-Object -Expand Content

    You should receive a JSON response similar to the following:

    The following table shows how the studies UID, series UID, and instances UID changed:
      Original instance metadata De-identified instance metadata
    Studies UID (0020000D) 2.25.70541616638819138568043293671559322355 1.3.6.1.4.1.11129.5.1.201854290391432893460946240745559593763
    Series UID (0020000E) 1.2.276.0.7230010.3.1.3.8323329.78.1531234558.523694 1.3.6.1.4.1.11129.5.1.303327499491957026103380014864616068710
    Instances UID (00080018) 1.2.276.0.7230010.3.1.4.8323329.78.1539083058.523695 1.3.6.1.4.1.11129.5.1.97415866390999888717168863957686758029
  4. Using the new values, retrieve the metadata for the instance.

    Before using any of the request data, make the following replacements:

    • PROJECT_ID: the ID of your Google Cloud project
    • DESTINATION_DATASET_ID: the ID of the destination dataset where de-identified data is written
    • SOURCE_DATASET_LOCATION: the source dataset location
    • DESTINATION_DICOM_STORE_ID: the ID of the DICOM store in the destination dataset. This is the same as the ID of the DICOM store in the source dataset.

    To send your request, choose one of these options:

    curl

    Execute the following command:

    curl -X GET \
    -H "Authorization: Bearer $(gcloud auth print-access-token)" \
    "https://healthcare.googleapis.com/v1beta1/projects/PROJECT_ID/locations/SOURCE_DATASET_LOCATION/datasets/DESTINATION_DATASET_ID/dicomStores/DESTINATION_DICOM_STORE_ID/dicomWeb/studies/1.3.6.1.4.1.11129.5.1.201854290391432893460946240745559593763/series/1.3.6.1.4.1.11129.5.1.303327499491957026103380014864616068710/instances/1.3.6.1.4.1.11129.5.1.97415866390999888717168863957686758029/metadata"

    PowerShell

    Execute the following command:

    $cred = gcloud auth print-access-token
    $headers = @{ "Authorization" = "Bearer $cred" }

    Invoke-WebRequest `
    -Method GET `
    -Headers $headers `
    -Uri "https://healthcare.googleapis.com/v1beta1/projects/PROJECT_ID/locations/SOURCE_DATASET_LOCATION/datasets/DESTINATION_DATASET_ID/dicomStores/DESTINATION_DICOM_STORE_ID/dicomWeb/studies/1.3.6.1.4.1.11129.5.1.201854290391432893460946240745559593763/series/1.3.6.1.4.1.11129.5.1.303327499491957026103380014864616068710/instances/1.3.6.1.4.1.11129.5.1.97415866390999888717168863957686758029/metadata" | Select-Object -Expand Content

    APIs Explorer

    Open the method reference page. The APIs Explorer panel opens on the right side of the page. You can interact with this tool to send requests. Complete any required fields and click Execute.

    The output contains the new metadata. You can compare the new metadata with the original metadata to see the effect of the transformation.

Reset tags to a placeholder value

The following samples show how to use the ResetTag object to set the value of tags to the string PLACEHOLDER during de-identification.

REST

  1. De-identify the dataset.

    Before using any of the request data, make the following replacements:

    • PROJECT_ID: the ID of your Google Cloud project
    • SOURCE_DATASET_LOCATION: the source dataset location
    • SOURCE_DATASET_ID: the ID of the dataset containing the data to de-identify
    • DESTINATION_DATASET_ID: the ID of the destination dataset where de-identified data is written

    Request JSON body:

    {
      "destinationDataset": "projects/PROJECT_ID/locations/SOURCE_DATASET_LOCATION/datasets/DESTINATION_DATASET_ID",
      "config": {
        "dicomTagConfig": {
          "actions": [
            {
              "queries": [
               "PatientName"
              ],
              "resetTag": {}
            }
          ]
        }
      }
    }
    

    To send your request, choose one of these options:

    curl

    Save the request body in a file named request.json. Run the following command in the terminal to create or overwrite this file in the current directory:

    cat > request.json << 'EOF'
    {
      "destinationDataset": "projects/PROJECT_ID/locations/SOURCE_DATASET_LOCATION/datasets/DESTINATION_DATASET_ID",
      "config": {
        "dicomTagConfig": {
          "actions": [
            {
              "queries": [
               "PatientName"
              ],
              "resetTag": {}
            }
          ]
        }
      }
    }
    EOF

    Then execute the following command to send your REST request:

    curl -X POST \
    -H "Authorization: Bearer $(gcloud auth print-access-token)" \
    -H "Content-Type: application/json; charset=utf-8" \
    -d @request.json \
    "https://healthcare.googleapis.com/v1beta1/projects/PROJECT_ID/locations/SOURCE_DATASET_LOCATION/datasets/SOURCE_DATASET_ID:deidentify"

    PowerShell

    Save the request body in a file named request.json. Run the following command in the terminal to create or overwrite this file in the current directory:

    @'
    {
      "destinationDataset": "projects/PROJECT_ID/locations/SOURCE_DATASET_LOCATION/datasets/DESTINATION_DATASET_ID",
      "config": {
        "dicomTagConfig": {
          "actions": [
            {
              "queries": [
               "PatientName"
              ],
              "resetTag": {}
            }
          ]
        }
      }
    }
    '@  | Out-File -FilePath request.json -Encoding utf8

    Then execute the following command to send your REST request:

    $cred = gcloud auth print-access-token
    $headers = @{ "Authorization" = "Bearer $cred" }

    Invoke-WebRequest `
    -Method POST `
    -Headers $headers `
    -ContentType: "application/json; charset=utf-8" `
    -InFile request.json `
    -Uri "https://healthcare.googleapis.com/v1beta1/projects/PROJECT_ID/locations/SOURCE_DATASET_LOCATION/datasets/SOURCE_DATASET_ID:deidentify" | Select-Object -Expand Content
    The output is the following. The response contains an identifier for a long-running operation (LRO). Long-running operations are returned when method calls might take additional time to complete. Note the value of OPERATION_ID. You need this value in the next step.

  2. Use the projects.locations.datasets.operations.get method to get the status of the long-running operation.

    Before using any of the request data, make the following replacements:

    • PROJECT_ID: the ID of your Google Cloud project
    • SOURCE_DATASET_LOCATION: the source dataset location
    • SOURCE_DATASET_ID: the ID of the dataset containing the data to de-identify
    • OPERATION_ID: the ID returned from the long-running operation

    To send your request, choose one of these options:

    curl

    Execute the following command:

    curl -X GET \
    -H "Authorization: Bearer $(gcloud auth print-access-token)" \
    "https://healthcare.googleapis.com/v1beta1/projects/PROJECT_ID/locations/SOURCE_DATASET_LOCATION/datasets/SOURCE_DATASET_ID/operations/OPERATION_ID"

    PowerShell

    Execute the following command:

    $cred = gcloud auth print-access-token
    $headers = @{ "Authorization" = "Bearer $cred" }

    Invoke-WebRequest `
    -Method GET `
    -Headers $headers `
    -Uri "https://healthcare.googleapis.com/v1beta1/projects/PROJECT_ID/locations/SOURCE_DATASET_LOCATION/datasets/SOURCE_DATASET_ID/operations/OPERATION_ID" | Select-Object -Expand Content

    APIs Explorer

    Open the method reference page. The APIs Explorer panel opens on the right side of the page. You can interact with this tool to send requests. Complete any required fields and click Execute.

    The output is the following. When the response contains "done": true, the long-running operation has finished.

  3. After the de-identification succeeds, you can retrieve the metadata for the de-identified instance to see how it changed. The de-identified instance has a new studies UID, series UID, and instances UID, so you first need to search the new dataset for the de-identified instance.

    Before using any of the request data, make the following replacements:

    • PROJECT_ID: the ID of your Google Cloud project
    • DESTINATION_DATASET_ID: the ID of the destination dataset where de-identified data is written
    • SOURCE_DATASET_LOCATION: the source dataset location
    • DESTINATION_DICOM_STORE_ID: the ID of the DICOM store in the destination dataset. This is the same as the ID of the DICOM store in the source dataset.

    To send your request, choose one of these options:

    curl

    Execute the following command:

    curl -X GET \
    -H "Authorization: Bearer $(gcloud auth print-access-token)" \
    "https://healthcare.googleapis.com/v1beta1/projects/PROJECT_ID/locations/SOURCE_DATASET_LOCATION/datasets/DESTINATION_DATASET_ID/dicomStores/DESTINATION_DICOM_STORE_ID/dicomWeb/instances"

    PowerShell

    Execute the following command:

    $cred = gcloud auth print-access-token
    $headers = @{ "Authorization" = "Bearer $cred" }

    Invoke-WebRequest `
    -Method GET `
    -Headers $headers `
    -Uri "https://healthcare.googleapis.com/v1beta1/projects/PROJECT_ID/locations/SOURCE_DATASET_LOCATION/datasets/DESTINATION_DATASET_ID/dicomStores/DESTINATION_DICOM_STORE_ID/dicomWeb/instances" | Select-Object -Expand Content

    You should receive a JSON response similar to the following:

    The following table shows how the studies UID, series UID, and instances UID changed:
      Original instance metadata De-identified instance metadata
    Studies UID (0020000D) 2.25.70541616638819138568043293671559322355 1.3.6.1.4.1.11129.5.1.201854290391432893460946240745559593763
    Series UID (0020000E) 1.2.276.0.7230010.3.1.3.8323329.78.1531234558.523694 1.3.6.1.4.1.11129.5.1.303327499491957026103380014864616068710
    Instances UID (00080018) 1.2.276.0.7230010.3.1.4.8323329.78.1539083058.523695 1.3.6.1.4.1.11129.5.1.97415866390999888717168863957686758029
  4. Using the new values, retrieve the metadata for the instance.

    Before using any of the request data, make the following replacements:

    • PROJECT_ID: the ID of your Google Cloud project
    • DESTINATION_DATASET_ID: the ID of the destination dataset where de-identified data is written
    • SOURCE_DATASET_LOCATION: the source dataset location
    • DESTINATION_DICOM_STORE_ID: the ID of the DICOM store in the destination dataset. This is the same as the ID of the DICOM store in the source dataset.

    To send your request, choose one of these options:

    curl

    Execute the following command:

    curl -X GET \
    -H "Authorization: Bearer $(gcloud auth print-access-token)" \
    "https://healthcare.googleapis.com/v1beta1/projects/PROJECT_ID/locations/SOURCE_DATASET_LOCATION/datasets/DESTINATION_DATASET_ID/dicomStores/DESTINATION_DICOM_STORE_ID/dicomWeb/studies/1.3.6.1.4.1.11129.5.1.201854290391432893460946240745559593763/series/1.3.6.1.4.1.11129.5.1.303327499491957026103380014864616068710/instances/1.3.6.1.4.1.11129.5.1.97415866390999888717168863957686758029/metadata"

    PowerShell

    Execute the following command:

    $cred = gcloud auth print-access-token
    $headers = @{ "Authorization" = "Bearer $cred" }

    Invoke-WebRequest `
    -Method GET `
    -Headers $headers `
    -Uri "https://healthcare.googleapis.com/v1beta1/projects/PROJECT_ID/locations/SOURCE_DATASET_LOCATION/datasets/DESTINATION_DATASET_ID/dicomStores/DESTINATION_DICOM_STORE_ID/dicomWeb/studies/1.3.6.1.4.1.11129.5.1.201854290391432893460946240745559593763/series/1.3.6.1.4.1.11129.5.1.303327499491957026103380014864616068710/instances/1.3.6.1.4.1.11129.5.1.97415866390999888717168863957686758029/metadata" | Select-Object -Expand Content

    APIs Explorer

    Open the method reference page. The APIs Explorer panel opens on the right side of the page. You can interact with this tool to send requests. Complete any required fields and click Execute.

    The output contains the new metadata. You can compare the new metadata with the original metadata to see the effect of the transformation.

    In particular, notice that the value of the PatientName tag is set to PLACEHOLDER:

    Original metadataMetadata after running ResetTag
    "00100010": {
      "vr": "PN",
      "Value": [
        {
          "Alphabetic": "Ann Johnson"
        }
      ]
    }
    "00100010": {
      "vr": "PN",
      "Value": [
        {
          "Alphabetic": "PLACEHOLDER"
        }
      ]
    }

Inspect and transform sensitive text in tags

The following samples show how to use the CleanTextTag object to inspect tags and transform the values of the tags according to the configuration in TextConfig object.

In these samples, the following options are set in the Actions object:

  • A CleanTextTag object.
  • Aqueries[] list containing the PatientName DICOM tag.

The following options are set in the TextConfig object:

  • An InfoTypeTransformation object which transforms text that matches a particular infoType.
  • A ReplaceWithInfoTypeConfig object which replaces any matching text with the name of the infoType.
  • An infoTypes[] list containing the PERSON_NAME infoType.

With these configurations set, the de-identification operation inspects the PatientName tag, matches the tag to the PERSON_NAME infoType, and replaces the tag's value with the PERSON_NAME infoType. The PatientName tag has a Value Representation (VR) of PN, which is one of the supported VRs in the CleanTextTag object.

REST

  1. De-identify the dataset.

    Before using any of the request data, make the following replacements:

    • PROJECT_ID: the ID of your Google Cloud project
    • SOURCE_DATASET_LOCATION: the source dataset location
    • SOURCE_DATASET_ID: the ID of the dataset containing the data to de-identify
    • DESTINATION_DATASET_ID: the ID of the destination dataset where de-identified data is written

    Request JSON body:

    {
      "destinationDataset": "projects/PROJECT_ID/locations/SOURCE_DATASET_LOCATION/datasets/DESTINATION_DATASET_ID",
      "config": {
        "dicomTagConfig": {
          "actions": [
            {
              "queries": [
                "PatientName"
              ],
              "cleanTextTag": {}
            }
          ]
        },
        "text": {
          "additionalTransformations": [
            {
              "infoTypes": [
                "PERSON_NAME"
              ],
              "replaceWithInfoTypeConfig": {}
            }
          ]
        }
      }
    }
    

    To send your request, choose one of these options:

    curl

    Save the request body in a file named request.json. Run the following command in the terminal to create or overwrite this file in the current directory:

    cat > request.json << 'EOF'
    {
      "destinationDataset": "projects/PROJECT_ID/locations/SOURCE_DATASET_LOCATION/datasets/DESTINATION_DATASET_ID",
      "config": {
        "dicomTagConfig": {
          "actions": [
            {
              "queries": [
                "PatientName"
              ],
              "cleanTextTag": {}
            }
          ]
        },
        "text": {
          "additionalTransformations": [
            {
              "infoTypes": [
                "PERSON_NAME"
              ],
              "replaceWithInfoTypeConfig": {}
            }
          ]
        }
      }
    }
    EOF

    Then execute the following command to send your REST request:

    curl -X POST \
    -H "Authorization: Bearer $(gcloud auth print-access-token)" \
    -H "Content-Type: application/json; charset=utf-8" \
    -d @request.json \
    "https://healthcare.googleapis.com/v1beta1/projects/PROJECT_ID/locations/SOURCE_DATASET_LOCATION/datasets/SOURCE_DATASET_ID:deidentify"

    PowerShell

    Save the request body in a file named request.json. Run the following command in the terminal to create or overwrite this file in the current directory:

    @'
    {
      "destinationDataset": "projects/PROJECT_ID/locations/SOURCE_DATASET_LOCATION/datasets/DESTINATION_DATASET_ID",
      "config": {
        "dicomTagConfig": {
          "actions": [
            {
              "queries": [
                "PatientName"
              ],
              "cleanTextTag": {}
            }
          ]
        },
        "text": {
          "additionalTransformations": [
            {
              "infoTypes": [
                "PERSON_NAME"
              ],
              "replaceWithInfoTypeConfig": {}
            }
          ]
        }
      }
    }
    '@  | Out-File -FilePath request.json -Encoding utf8

    Then execute the following command to send your REST request:

    $cred = gcloud auth print-access-token
    $headers = @{ "Authorization" = "Bearer $cred" }

    Invoke-WebRequest `
    -Method POST `
    -Headers $headers `
    -ContentType: "application/json; charset=utf-8" `
    -InFile request.json `
    -Uri "https://healthcare.googleapis.com/v1beta1/projects/PROJECT_ID/locations/SOURCE_DATASET_LOCATION/datasets/SOURCE_DATASET_ID:deidentify" | Select-Object -Expand Content
    The output is the following. The response contains an identifier for a long-running operation (LRO). Long-running operations are returned when method calls might take additional time to complete. Note the value of OPERATION_ID. You need this value in the next step.

  2. Use the projects.locations.datasets.operations.get method to get the status of the long-running operation.

    Before using any of the request data, make the following replacements:

    • PROJECT_ID: the ID of your Google Cloud project
    • SOURCE_DATASET_LOCATION: the source dataset location
    • SOURCE_DATASET_ID: the ID of the dataset containing the data to de-identify
    • OPERATION_ID: the ID returned from the long-running operation

    To send your request, choose one of these options:

    curl

    Execute the following command:

    curl -X GET \
    -H "Authorization: Bearer $(gcloud auth print-access-token)" \
    "https://healthcare.googleapis.com/v1beta1/projects/PROJECT_ID/locations/SOURCE_DATASET_LOCATION/datasets/SOURCE_DATASET_ID/operations/OPERATION_ID"

    PowerShell

    Execute the following command:

    $cred = gcloud auth print-access-token
    $headers = @{ "Authorization" = "Bearer $cred" }

    Invoke-WebRequest `
    -Method GET `
    -Headers $headers `
    -Uri "https://healthcare.googleapis.com/v1beta1/projects/PROJECT_ID/locations/SOURCE_DATASET_LOCATION/datasets/SOURCE_DATASET_ID/operations/OPERATION_ID" | Select-Object -Expand Content

    APIs Explorer

    Open the method reference page. The APIs Explorer panel opens on the right side of the page. You can interact with this tool to send requests. Complete any required fields and click Execute.

    The output is the following. When the response contains "done": true, the long-running operation has finished.

  3. After the de-identification succeeds, you can retrieve the metadata for the de-identified instance to see how it changed. The de-identified instance has a new studies UID, series UID, and instances UID, so you first need to search the new dataset for the de-identified instance.

    Before using any of the request data, make the following replacements:

    • PROJECT_ID: the ID of your Google Cloud project
    • DESTINATION_DATASET_ID: the ID of the destination dataset where de-identified data is written
    • SOURCE_DATASET_LOCATION: the source dataset location
    • DESTINATION_DICOM_STORE_ID: the ID of the DICOM store in the destination dataset. This is the same as the ID of the DICOM store in the source dataset.

    To send your request, choose one of these options:

    curl

    Execute the following command:

    curl -X GET \
    -H "Authorization: Bearer $(gcloud auth print-access-token)" \
    "https://healthcare.googleapis.com/v1beta1/projects/PROJECT_ID/locations/SOURCE_DATASET_LOCATION/datasets/DESTINATION_DATASET_ID/dicomStores/DESTINATION_DICOM_STORE_ID/dicomWeb/instances"

    PowerShell

    Execute the following command:

    $cred = gcloud auth print-access-token
    $headers = @{ "Authorization" = "Bearer $cred" }

    Invoke-WebRequest `
    -Method GET `
    -Headers $headers `
    -Uri "https://healthcare.googleapis.com/v1beta1/projects/PROJECT_ID/locations/SOURCE_DATASET_LOCATION/datasets/DESTINATION_DATASET_ID/dicomStores/DESTINATION_DICOM_STORE_ID/dicomWeb/instances" | Select-Object -Expand Content

    You should receive a JSON response similar to the following:

    The following table shows how the studies UID, series UID, and instances UID changed:
      Original instance metadata De-identified instance metadata
    Studies UID (0020000D) 2.25.70541616638819138568043293671559322355 1.3.6.1.4.1.11129.5.1.201854290391432893460946240745559593763
    Series UID (0020000E) 1.2.276.0.7230010.3.1.3.8323329.78.1531234558.523694 1.3.6.1.4.1.11129.5.1.303327499491957026103380014864616068710
    Instances UID (00080018) 1.2.276.0.7230010.3.1.4.8323329.78.1539083058.523695 1.3.6.1.4.1.11129.5.1.97415866390999888717168863957686758029
  4. Using the new values, retrieve the metadata for the instance.

    Before using any of the request data, make the following replacements:

    • PROJECT_ID: the ID of your Google Cloud project
    • DESTINATION_DATASET_ID: the ID of the destination dataset where de-identified data is written
    • SOURCE_DATASET_LOCATION: the source dataset location
    • DESTINATION_DICOM_STORE_ID: the ID of the DICOM store in the destination dataset. This is the same as the ID of the DICOM store in the source dataset.

    To send your request, choose one of these options:

    curl

    Execute the following command:

    curl -X GET \
    -H "Authorization: Bearer $(gcloud auth print-access-token)" \
    "https://healthcare.googleapis.com/v1beta1/projects/PROJECT_ID/locations/SOURCE_DATASET_LOCATION/datasets/DESTINATION_DATASET_ID/dicomStores/DESTINATION_DICOM_STORE_ID/dicomWeb/studies/1.3.6.1.4.1.11129.5.1.201854290391432893460946240745559593763/series/1.3.6.1.4.1.11129.5.1.303327499491957026103380014864616068710/instances/1.3.6.1.4.1.11129.5.1.97415866390999888717168863957686758029/metadata"

    PowerShell

    Execute the following command:

    $cred = gcloud auth print-access-token
    $headers = @{ "Authorization" = "Bearer $cred" }

    Invoke-WebRequest `
    -Method GET `
    -Headers $headers `
    -Uri "https://healthcare.googleapis.com/v1beta1/projects/PROJECT_ID/locations/SOURCE_DATASET_LOCATION/datasets/DESTINATION_DATASET_ID/dicomStores/DESTINATION_DICOM_STORE_ID/dicomWeb/studies/1.3.6.1.4.1.11129.5.1.201854290391432893460946240745559593763/series/1.3.6.1.4.1.11129.5.1.303327499491957026103380014864616068710/instances/1.3.6.1.4.1.11129.5.1.97415866390999888717168863957686758029/metadata" | Select-Object -Expand Content

    APIs Explorer

    Open the method reference page. The APIs Explorer panel opens on the right side of the page. You can interact with this tool to send requests. Complete any required fields and click Execute.

    The output contains the new metadata. You can compare the new metadata with the original metadata to see the effect of the transformation.

    In particular, notice that the value of the PatientName tag is set to [PERSON_NAME]:

    Original metadataMetadata after running CleanTextTag
    "00100010": {
      "vr": "PN",
      "Value": [
        {
          "Alphabetic": "Ann Johnson"
        }
      ]
    }
    "00100010": {
      "vr": "PN",
      "Value": [
        {
          "Alphabetic": "[PERSON_NAME]"
        }
      ]
    }

Replace a UID with a generated UID

The following samples show how to use the RegenUidTag object to replace a UID with a newly generated UID. The only VR that the RegenUidTag object supports is UI.

By default, every tag in the sample metadata with a VR of UI has its UID generated during de-identification. To show how to generate a UID for a specific tag, the following options are set in the sample:

  • ProfileType is set to the KEEP_ALL enum, which prevents any DICOM metadata from being de-identified.

  • PrimaryIdsOption is set to the KEEP enum, which leaves the primary IDs (StudyInstanceUID, SeriesInstanceUID, SOPInstanceUID, and MediaStorageSOPInstanceUID) unchanged.

When these options are set, none of the primary ID UIDs in the sample data are replaced with newly generated values. However, by adding SOPInstanceUID to the Action.queries[] array, you can generate a new UID specifically for the SOPInstanceUID tag.

REST

  1. De-identify the dataset.

    Before using any of the request data, make the following replacements:

    • PROJECT_ID: the ID of your Google Cloud project
    • SOURCE_DATASET_LOCATION: the source dataset location
    • SOURCE_DATASET_ID: the ID of the dataset containing the data to de-identify
    • DESTINATION_DATASET_ID: the ID of the destination dataset where de-identified data is written

    Request JSON body:

    {
      "destinationDataset": "projects/PROJECT_ID/locations/SOURCE_DATASET_LOCATION/datasets/DESTINATION_DATASET_ID",
      "config": {
        "dicomTagConfig": {
          "options": {
            "primaryIds": "KEEP"
          },
          "actions": [
            {
              "queries": [
                "00080018"
              ],
              "regenUidTag": {}
            }
          ],
          "profileType": "KEEP_ALL_PROFILE"
        }
      }
    }
    

    To send your request, choose one of these options:

    curl

    Save the request body in a file named request.json. Run the following command in the terminal to create or overwrite this file in the current directory:

    cat > request.json << 'EOF'
    {
      "destinationDataset": "projects/PROJECT_ID/locations/SOURCE_DATASET_LOCATION/datasets/DESTINATION_DATASET_ID",
      "config": {
        "dicomTagConfig": {
          "options": {
            "primaryIds": "KEEP"
          },
          "actions": [
            {
              "queries": [
                "00080018"
              ],
              "regenUidTag": {}
            }
          ],
          "profileType": "KEEP_ALL_PROFILE"
        }
      }
    }
    EOF

    Then execute the following command to send your REST request:

    curl -X POST \
    -H "Authorization: Bearer $(gcloud auth print-access-token)" \
    -H "Content-Type: application/json; charset=utf-8" \
    -d @request.json \
    "https://healthcare.googleapis.com/v1beta1/projects/PROJECT_ID/locations/SOURCE_DATASET_LOCATION/datasets/SOURCE_DATASET_ID:deidentify"

    PowerShell

    Save the request body in a file named request.json. Run the following command in the terminal to create or overwrite this file in the current directory:

    @'
    {
      "destinationDataset": "projects/PROJECT_ID/locations/SOURCE_DATASET_LOCATION/datasets/DESTINATION_DATASET_ID",
      "config": {
        "dicomTagConfig": {
          "options": {
            "primaryIds": "KEEP"
          },
          "actions": [
            {
              "queries": [
                "00080018"
              ],
              "regenUidTag": {}
            }
          ],
          "profileType": "KEEP_ALL_PROFILE"
        }
      }
    }
    '@  | Out-File -FilePath request.json -Encoding utf8

    Then execute the following command to send your REST request:

    $cred = gcloud auth print-access-token
    $headers = @{ "Authorization" = "Bearer $cred" }

    Invoke-WebRequest `
    -Method POST `
    -Headers $headers `
    -ContentType: "application/json; charset=utf-8" `
    -InFile request.json `
    -Uri "https://healthcare.googleapis.com/v1beta1/projects/PROJECT_ID/locations/SOURCE_DATASET_LOCATION/datasets/SOURCE_DATASET_ID:deidentify" | Select-Object -Expand Content
    The output is the following. The response contains an identifier for a long-running operation (LRO). Long-running operations are returned when method calls might take additional time to complete. Note the value of OPERATION_ID. You need this value in the next step.

  2. Use the projects.locations.datasets.operations.get method to get the status of the long-running operation.

    Before using any of the request data, make the following replacements:

    • PROJECT_ID: the ID of your Google Cloud project
    • SOURCE_DATASET_LOCATION: the source dataset location
    • SOURCE_DATASET_ID: the ID of the dataset containing the data to de-identify
    • OPERATION_ID: the ID returned from the long-running operation

    To send your request, choose one of these options:

    curl

    Execute the following command:

    curl -X GET \
    -H "Authorization: Bearer $(gcloud auth print-access-token)" \
    "https://healthcare.googleapis.com/v1beta1/projects/PROJECT_ID/locations/SOURCE_DATASET_LOCATION/datasets/SOURCE_DATASET_ID/operations/OPERATION_ID"

    PowerShell

    Execute the following command:

    $cred = gcloud auth print-access-token
    $headers = @{ "Authorization" = "Bearer $cred" }

    Invoke-WebRequest `
    -Method GET `
    -Headers $headers `
    -Uri "https://healthcare.googleapis.com/v1beta1/projects/PROJECT_ID/locations/SOURCE_DATASET_LOCATION/datasets/SOURCE_DATASET_ID/operations/OPERATION_ID" | Select-Object -Expand Content

    APIs Explorer

    Open the method reference page. The APIs Explorer panel opens on the right side of the page. You can interact with this tool to send requests. Complete any required fields and click Execute.

    The output is the following. When the response contains "done": true, the long-running operation has finished.

  3. After the de-identification succeeds, you can retrieve the metadata for the de-identified instance to see how it changed. The de-identified instance has a new instances UID because you specified the SOPInstanceUID tag in the Action.queries[] array, so you first need to search the new dataset for the de-identified instance.

    Before using any of the request data, make the following replacements:

    • PROJECT_ID: the ID of your Google Cloud project
    • DESTINATION_DATASET_ID: the ID of the destination dataset where de-identified data is written
    • SOURCE_DATASET_LOCATION: the source dataset location
    • DESTINATION_DICOM_STORE_ID: the ID of the DICOM store in the destination dataset. This is the same as the ID of the DICOM store in the source dataset.

    To send your request, choose one of these options:

    curl

    Execute the following command:

    curl -X GET \
    -H "Authorization: Bearer $(gcloud auth print-access-token)" \
    "https://healthcare.googleapis.com/v1beta1/projects/PROJECT_ID/locations/SOURCE_DATASET_LOCATION/datasets/DESTINATION_DATASET_ID/dicomStores/DESTINATION_DICOM_STORE_ID/dicomWeb/instances"

    PowerShell

    Execute the following command:

    $cred = gcloud auth print-access-token
    $headers = @{ "Authorization" = "Bearer $cred" }

    Invoke-WebRequest `
    -Method GET `
    -Headers $headers `
    -Uri "https://healthcare.googleapis.com/v1beta1/projects/PROJECT_ID/locations/SOURCE_DATASET_LOCATION/datasets/DESTINATION_DATASET_ID/dicomStores/DESTINATION_DICOM_STORE_ID/dicomWeb/instances" | Select-Object -Expand Content

    You should receive a JSON response similar to the following:

    The following table shows how the instances UID changed:

      Original instance metadata De-identified instance metadata
    Instances UID (00080018) 1.2.276.0.7230010.3.1.4.8323329.78.1539083058.523695 1.3.6.1.4.1.11129.5.1.97415866390999888717168863957686758029
  4. Using the new value, retrieve the metadata for the instance.

    Before using any of the request data, make the following replacements:

    • PROJECT_ID: the ID of your Google Cloud project
    • DESTINATION_DATASET_ID: the ID of the destination dataset where de-identified data is written
    • SOURCE_DATASET_LOCATION: the source dataset location
    • DESTINATION_DICOM_STORE_ID: the ID of the DICOM store in the destination dataset. This is the same as the ID of the DICOM store in the source dataset.

    To send your request, choose one of these options:

    curl

    Execute the following command:

    curl -X GET \
    -H "Authorization: Bearer $(gcloud auth print-access-token)" \
    "https://healthcare.googleapis.com/v1beta1/projects/PROJECT_ID/locations/SOURCE_DATASET_LOCATION/datasets/DESTINATION_DATASET_ID/dicomStores/DESTINATION_DICOM_STORE_ID/dicomWeb/studies/2.25.70541616638819138568043293671559322355/series/1.2.276.0.7230010.3.1.3.8323329.78.1531234558.523694/instances/1.3.6.1.4.1.11129.5.1.97415866390999888717168863957686758029/metadata"

    PowerShell

    Execute the following command:

    $cred = gcloud auth print-access-token
    $headers = @{ "Authorization" = "Bearer $cred" }

    Invoke-WebRequest `
    -Method GET `
    -Headers $headers `
    -Uri "https://healthcare.googleapis.com/v1beta1/projects/PROJECT_ID/locations/SOURCE_DATASET_LOCATION/datasets/DESTINATION_DATASET_ID/dicomStores/DESTINATION_DICOM_STORE_ID/dicomWeb/studies/2.25.70541616638819138568043293671559322355/series/1.2.276.0.7230010.3.1.3.8323329.78.1531234558.523694/instances/1.3.6.1.4.1.11129.5.1.97415866390999888717168863957686758029/metadata" | Select-Object -Expand Content

    APIs Explorer

    Open the method reference page. The APIs Explorer panel opens on the right side of the page. You can interact with this tool to send requests. Complete any required fields and click Execute.

    The output contains the new metadata. You can compare the new metadata with the original metadata to see the effect of the transformation.

    Notice that, out of the primary IDs, only the SOPInstanceUID has a newly generated UID.

Recursively de-identify tags in a nested Sequence

The following samples show how to use the RecurseTag object to recursively de-identify nested DICOM tags in a Sequence. The RecurseTag object only supports the SQ VR, which is the VR for a Sequence.

For information on the SQ VR, see 7.5 Nesting of Data Sets.

The DICOM sample instance provided for this page doesn't contain any DICOM tags that have an SQ VR. You can create and store a DICOM instance with fake data that contains the SQ VR by completing the following steps, which are based on the instructions in Create DICOM instances from JSON metadata and JPEG files. The DICOM instance that you create in the following steps uses fake data, and is only intended to illustrate the behavior ofRecurseTag.

  1. Save the following DICOM metadata to a JSON file named instance.json. The metadata contains a PhysiciansReadingStudyIdentificationSequence (00081062) tag. The tag has an SQ VR, and contains two nested PersonIdentificationCodeSequence (00401101) tags. The nested tags also have an SQ VR, and each contains the following nested tags:

    • CodeValue (00080100)
    • CodingSchemeDesignator (00080102)
    [{
      "00020010": {
        "vr": "UI",
        "Value": [
          "1.2.840.10008.1.2.4.50"
        ]
      },
      "00080005": {
        "vr": "CS",
        "Value": [
          "ISO_IR 192"
        ]
      },
      "00080016": {
        "vr": "UI",
        "Value": [
          "1111111"
        ]
      },
      "00080018": {
        "vr": "UI",
        "Value": [
          "2222222"
        ]
      },
      "0020000D": {
        "vr": "UI",
        "Value": [
          "3333333"
        ]
      },
      "0020000E": {
        "vr": "UI",
        "Value": [
          "4444444"
        ]
      },
      "00280002": {
        "vr": "US",
        "Value": [
          3
        ]
      },
      "00280004": {
        "vr": "CS",
        "Value": [
          "YBR_FULL_422"
        ]
      },
      "00280006": {
        "vr": "US",
        "Value": [
          0
        ]
      },
      "00280008": {
        "vr": "IS",
        "Value": [
          1
        ]
      },
      "00280010": {
        "vr": "US",
        "Value": [
          1024
        ]
      },
      "00280011": {
        "vr": "US",
        "Value": [
          1024
        ]
      },
      "00280100": {
        "vr": "US",
        "Value": [
          8
        ]
      },
      "00280101": {
        "vr": "US",
        "Value": [
          8
        ]
      },
      "00280102": {
        "vr": "US",
        "Value": [
          7
        ]
      },
      "00280103": {
        "vr": "US",
        "Value": [
          0
        ]
      },
      "7FE00010": {
        "vr": "OB",
        "BulkDataURI": "jpeg-image"
      },
      "00081062": {
        "vr": "SQ",
        "Value": [
          {
            "00401101": {
              "vr": "SQ",
              "Value": [
                {
                  "00080100": {
                    "vr": "SH",
                    "Value": [
                      "CodeValue1"
                    ]
                  },
                  "00080102": {
                    "vr": "SH",
                    "Value": [
                      "CodingSchemeDesignator1"
                    ]
                  }
                }
              ]
            }
          },
          {
            "00401101": {
              "vr": "SQ",
              "Value": [
                {
                  "00080100": {
                    "vr": "SH",
                    "Value": [
                      "CodeValue2"
                    ]
                  },
                  "00080102": {
                    "vr": "SH",
                    "Value": [
                      "CodingSchemeDesignator2"
                    ]
                  }
                }
              ]
            }
          }
        ]
      }
    }]
    
  2. Download the google.jpg file to your local machine. The Cloud Healthcare API DICOMweb API accepts any JPEG image paired with JSON metadata as long as the metadata is valid.

  3. Run the following commands to create an opening (for the JSON metadata), middle (for the JPEG) image, and closing boundaries in the image:

    echo -ne "--DICOMwebBoundary\r\nContent-Type: application/dicom+json\r\n\r\n" > opening.file
    echo -ne "\r\n--DICOMwebBoundary\r\nContent-Location: jpeg-image\r\nContent-Type: image/jpeg; transfer-syntax=1.2.840.10008.1.2.4.50\r\n\r\n" > middle.file
    echo -ne "\r\n--DICOMwebBoundary--" > closing.file
    
  4. Wrap the google.jpg image within the middle and closing boundaries. The output file, which you send to the Cloud Healthcare API, is called multipart-request.file:

    cat opening.file instance.json middle.file google.jpg closing.file > multipart-request.file
    
  5. Store the multipart-request.file file:

    REST

    Before using any of the request data, make the following replacements:

    • PROJECT_ID: the ID of your Google Cloud project
    • SOURCE_DATASET_ID: the ID of the dataset containing the data to de-identify
    • SOURCE_DATASET_LOCATION: the source dataset location
    • SOURCE_DICOM_STORE_ID: the ID of the DICOM store inside the source dataset

    To send your request, choose one of these options:

    curl

    Execute the following command:

    curl -X POST \
    -H "Authorization: Bearer $(gcloud auth print-access-token)" \
    -H "Content-Type: multipart/related; type=\"application/dicom+json\"; boundary=DICOMwebBoundary" \
    --data-binary @multipart-request.file \
    "https://healthcare.googleapis.com/v1beta1/projects/PROJECT_ID/locations/SOURCE_DATASET_LOCATION/datasets/SOURCE_DATASET_ID/dicomStores/SOURCE_DICOM_STORE_ID/dicomWeb/studies"

    PowerShell

    Execute the following command:

    $cred = gcloud auth print-access-token
    $headers = @{ "Authorization" = "Bearer $cred" }

    Invoke-WebRequest `
    -Method POST `
    -Headers $headers `
    -InFile multipart-request.file `
    -Uri "https://healthcare.googleapis.com/v1beta1/projects/PROJECT_ID/locations/SOURCE_DATASET_LOCATION/datasets/SOURCE_DATASET_ID/dicomStores/SOURCE_DICOM_STORE_ID/dicomWeb/studies" | Select-Object -Expand Content

    You should receive a JSON response similar to the following:

Complete the following steps to de-identify the DICOM instance you stored.

REST

  1. De-identify the dataset.

    Before using any of the request data, make the following replacements:

    • PROJECT_ID: the ID of your Google Cloud project
    • SOURCE_DATASET_LOCATION: the source dataset location
    • SOURCE_DATASET_ID: the ID of the dataset containing the data to de-identify
    • DESTINATION_DATASET_ID: the ID of the destination dataset where de-identified data is written

    Request JSON body:

    {
      "destinationDataset": "projects/PROJECT_ID/locations/SOURCE_DATASET_LOCATION/datasets/DESTINATION_DATASET_ID",
      "config": {
        "dicomTagConfig": {
          "actions": [
            {
              "queries": [
               "PhysiciansReadingStudyIdentificationSequence"
              ],
              "recurseTag": {}
            }
          ]
        }
      }
    }
    

    To send your request, choose one of these options:

    curl

    Save the request body in a file named request.json. Run the following command in the terminal to create or overwrite this file in the current directory:

    cat > request.json << 'EOF'
    {
      "destinationDataset": "projects/PROJECT_ID/locations/SOURCE_DATASET_LOCATION/datasets/DESTINATION_DATASET_ID",
      "config": {
        "dicomTagConfig": {
          "actions": [
            {
              "queries": [
               "PhysiciansReadingStudyIdentificationSequence"
              ],
              "recurseTag": {}
            }
          ]
        }
      }
    }
    EOF

    Then execute the following command to send your REST request:

    curl -X POST \
    -H "Authorization: Bearer $(gcloud auth print-access-token)" \
    -H "Content-Type: application/json; charset=utf-8" \
    -d @request.json \
    "https://healthcare.googleapis.com/v1beta1/projects/PROJECT_ID/locations/SOURCE_DATASET_LOCATION/datasets/SOURCE_DATASET_ID:deidentify"

    PowerShell

    Save the request body in a file named request.json. Run the following command in the terminal to create or overwrite this file in the current directory:

    @'
    {
      "destinationDataset": "projects/PROJECT_ID/locations/SOURCE_DATASET_LOCATION/datasets/DESTINATION_DATASET_ID",
      "config": {
        "dicomTagConfig": {
          "actions": [
            {
              "queries": [
               "PhysiciansReadingStudyIdentificationSequence"
              ],
              "recurseTag": {}
            }
          ]
        }
      }
    }
    '@  | Out-File -FilePath request.json -Encoding utf8

    Then execute the following command to send your REST request:

    $cred = gcloud auth print-access-token
    $headers = @{ "Authorization" = "Bearer $cred" }

    Invoke-WebRequest `
    -Method POST `
    -Headers $headers `
    -ContentType: "application/json; charset=utf-8" `
    -InFile request.json `
    -Uri "https://healthcare.googleapis.com/v1beta1/projects/PROJECT_ID/locations/SOURCE_DATASET_LOCATION/datasets/SOURCE_DATASET_ID:deidentify" | Select-Object -Expand Content
    The output is the following. The response contains an identifier for a long-running operation (LRO). Long-running operations are returned when method calls might take additional time to complete. Note the value of OPERATION_ID. You need this value in the next step.

  2. Use the projects.locations.datasets.operations.get method to get the status of the long-running operation.

    Before using any of the request data, make the following replacements:

    • PROJECT_ID: the ID of your Google Cloud project
    • SOURCE_DATASET_LOCATION: the source dataset location
    • SOURCE_DATASET_ID: the ID of the dataset containing the data to de-identify
    • OPERATION_ID: the ID returned from the long-running operation

    To send your request, choose one of these options:

    curl

    Execute the following command:

    curl -X GET \
    -H "Authorization: Bearer $(gcloud auth print-access-token)" \
    "https://healthcare.googleapis.com/v1beta1/projects/PROJECT_ID/locations/SOURCE_DATASET_LOCATION/datasets/SOURCE_DATASET_ID/operations/OPERATION_ID"

    PowerShell

    Execute the following command:

    $cred = gcloud auth print-access-token
    $headers = @{ "Authorization" = "Bearer $cred" }

    Invoke-WebRequest `
    -Method GET `
    -Headers $headers `
    -Uri "https://healthcare.googleapis.com/v1beta1/projects/PROJECT_ID/locations/SOURCE_DATASET_LOCATION/datasets/SOURCE_DATASET_ID/operations/OPERATION_ID" | Select-Object -Expand Content

    APIs Explorer

    Open the method reference page. The APIs Explorer panel opens on the right side of the page. You can interact with this tool to send requests. Complete any required fields and click Execute.

    The output is the following. When the response contains "done": true, the long-running operation has finished.

  3. After the de-identification succeeds, you can retrieve the metadata for the de-identified instance to see how it changed. The de-identified instance has a new studies UID, series UID, and instances UID, so you first need to search the new dataset for the de-identified instance.

    Before using any of the request data, make the following replacements:

    • PROJECT_ID: the ID of your Google Cloud project
    • DESTINATION_DATASET_ID: the ID of the destination dataset where de-identified data is written
    • SOURCE_DATASET_LOCATION: the source dataset location
    • DESTINATION_DICOM_STORE_ID: the ID of the DICOM store in the destination dataset. This is the same as the ID of the DICOM store in the source dataset.

    To send your request, choose one of these options:

    curl

    Execute the following command:

    curl -X GET \
    -H "Authorization: Bearer $(gcloud auth print-access-token)" \
    "https://healthcare.googleapis.com/v1beta1/projects/PROJECT_ID/locations/SOURCE_DATASET_LOCATION/datasets/DESTINATION_DATASET_ID/dicomStores/DESTINATION_DICOM_STORE_ID/dicomWeb/instances"

    PowerShell

    Execute the following command:

    $cred = gcloud auth print-access-token
    $headers = @{ "Authorization" = "Bearer $cred" }

    Invoke-WebRequest `
    -Method GET `
    -Headers $headers `
    -Uri "https://healthcare.googleapis.com/v1beta1/projects/PROJECT_ID/locations/SOURCE_DATASET_LOCATION/datasets/DESTINATION_DATASET_ID/dicomStores/DESTINATION_DICOM_STORE_ID/dicomWeb/instances" | Select-Object -Expand Content

    You should receive a JSON response similar to the following:

    The following table shows how the studies UID, series UID, and instances UID changed:

    Original instance metadata De-identified instance metadata
    Studies UID (0020000D) 3333333 1.3.6.1.4.1.11129.5.1.222168347996079463826250565085126257314
    Series UID (0020000E) 4444444 1.3.6.1.4.1.11129.5.1.25205702030237830896398173746777399347
    Instances UID (00080018) 2222222 1.3.6.1.4.1.11129.5.1.286710307126045768765142714621897494633
  4. Using the new values, retrieve the metadata for the instance.

    Before using any of the request data, make the following replacements:

    • PROJECT_ID: the ID of your Google Cloud project
    • DESTINATION_DATASET_ID: the ID of the destination dataset where de-identified data is written
    • SOURCE_DATASET_LOCATION: the source dataset location
    • DESTINATION_DICOM_STORE_ID: the ID of the DICOM store in the destination dataset. This is the same as the ID of the DICOM store in the source dataset.

    To send your request, choose one of these options:

    curl

    Execute the following command:

    curl -X GET \
    -H "Authorization: Bearer $(gcloud auth print-access-token)" \
    "https://healthcare.googleapis.com/v1beta1/projects/PROJECT_ID/locations/SOURCE_DATASET_LOCATION/datasets/DESTINATION_DATASET_ID/dicomStores/DESTINATION_DICOM_STORE_ID/dicomWeb/studies/1.3.6.1.4.1.11129.5.1.222168347996079463826250565085126257314/series/1.3.6.1.4.1.11129.5.1.25205702030237830896398173746777399347/instances/1.3.6.1.4.1.11129.5.1.286710307126045768765142714621897494633/metadata"

    PowerShell

    Execute the following command:

    $cred = gcloud auth print-access-token
    $headers = @{ "Authorization" = "Bearer $cred" }

    Invoke-WebRequest `
    -Method GET `
    -Headers $headers `
    -Uri "https://healthcare.googleapis.com/v1beta1/projects/PROJECT_ID/locations/SOURCE_DATASET_LOCATION/datasets/DESTINATION_DATASET_ID/dicomStores/DESTINATION_DICOM_STORE_ID/dicomWeb/studies/1.3.6.1.4.1.11129.5.1.222168347996079463826250565085126257314/series/1.3.6.1.4.1.11129.5.1.25205702030237830896398173746777399347/instances/1.3.6.1.4.1.11129.5.1.286710307126045768765142714621897494633/metadata" | Select-Object -Expand Content

    APIs Explorer

    Open the method reference page. The APIs Explorer panel opens on the right side of the page. You can interact with this tool to send requests. Complete any required fields and click Execute.

    The output contains the new metadata. You can compare the new metadata with the original metadata in Step 1 to see the effect of the transformation.

    In particular, notice that the values of the nested CodeValue and CodingSchemaDesignator tags are set to PLACEHOLDER:

    Original metadataMetadata after running RecurseTag
    {
      "00081062": {
        "vr": "SQ",
        "Value": [
          {
            "00401101": {
              "vr": "SQ",
              "Value": [
                {
                  "00080100": {
                    "vr": "SH",
                    "Value": [
                      "CodeValue1"
                    ]
                  },
                  "00080102": {
                    "vr": "SH",
                    "Value": [
                      "CodingSchemeDesignator1"
                    ]
                  }
                }
              ]
            }
          },
          {
            "00401101": {
              "vr": "SQ",
              "Value": [
                {
                  "00080100": {
                    "vr": "SH",
                    "Value": [
                      "CodeValue2"
                    ]
                  },
                  "00080102": {
                    "vr": "SH",
                    "Value": [
                      "CodingSchemeDesignator2"
                    ]
                  }
                }
              ]
            }
          }
        ]
      }
    }
    {
      "00081062": {
        "vr": "SQ",
        "Value": [
          {
            "00401101": {
              "vr": "SQ",
              "Value": [
                {
                  "00080100": {
                    "vr": "SH",
                    "Value": [
                      "PLACEHOLDER"
                    ]
                  },
                  "00080102": {
                    "vr": "SH",
                    "Value": [
                      "PLACEHOLDER"
                    ]
                  }
                }
              ]
            }
          },
          {
            "00401101": {
              "vr": "SQ",
              "Value": [
                {
                  "00080100": {
                    "vr": "SH",
                    "Value": [
                      "PLACEHOLDER"
                    ]
                  },
                  "00080102": {
                    "vr": "SH",
                    "Value": [
                      "PLACEHOLDER"
                    ]
                  }
                }
              ]
            }
          }
        ]
      }
    }

De-identify data at the DICOM store level

The preceding samples show how to de-identify DICOM data at the dataset level. This section describes how to de-identify data at the DICOM store level.

To change a dataset de-identification request to a DICOM store de-identification request, make the following changes:

  • Replace the destinationDataset in the request body with destinationStore
  • Add dicomStores/DESTINATION_DICOM_STORE_ID at the end of the value in destinationStore when specifying the destination
  • Add dicomStores/SOURCE_DICOM_STORE_ID when specifying the location of the source data

The following examples show a dataset level de-identification request and how to modify the request for a DICOM store level de-identification:

Dataset level de-identification:

"destinationDataset": "projects/PROJECT_ID/locations/LOCATION/datasets/DESTINATION_DATASET_ID"
...
"https://healthcare.googleapis.com/v1beta1/projects/PROJECT_ID/locations/LOCATION/datasets/SOURCE_DATASET_ID:deidentify"

DICOM store level de-identification:

"destinationStore": "projects/PROJECT_ID/locations/LOCATION/datasets/DESTINATION_DATASET_ID/dicomStores/DESTINATION_DICOM_STORE_ID"
...
"https://healthcare.googleapis.com/v1beta1/projects/PROJECT_ID/locations/LOCATION/datasets/SOURCE_DATASET_ID/dicomStores/SOURCE_DICOM_STORE_ID:deidentify"

The following samples show how to de-identify a DICOM instance in a DICOM store and write the de-identified data to a new DICOM store. Before running the samples, the destination DICOM store ID must already exist.

REST

  1. De-identify the dataset.

    Before using any of the request data, make the following replacements:

    • PROJECT_ID: the ID of your Google Cloud project
    • SOURCE_DATASET_LOCATION: the source dataset location
    • SOURCE_DATASET_ID: the ID of the dataset containing the data to de-identify
    • DESTINATION_DATASET_ID: the ID of the destination dataset where de-identified data is written. Must already exist before running the de-identify operation.
    • DESTINATION_DICOM_STORE_ID: the DICOM store in the destination dataset. Must already exist before running the de-identify operation.

    Request JSON body:

    {
      "destinationStore": "projects/PROJECT_ID/locations/SOURCE_DATASET_LOCATION/datasets/DESTINATION_DATASET_ID/dicomStores/DESTINATION_DICOM_STORE_ID",
      "config": {
        "dicomTagConfig": {
          "actions": [
            {
              "queries": [
               "PatientName"
              ],
              "keepTag": {}
            }
          ]
        }
      }
    }
    

    To send your request, choose one of these options:

    curl

    Save the request body in a file named request.json. Run the following command in the terminal to create or overwrite this file in the current directory:

    cat > request.json << 'EOF'
    {
      "destinationStore": "projects/PROJECT_ID/locations/SOURCE_DATASET_LOCATION/datasets/DESTINATION_DATASET_ID/dicomStores/DESTINATION_DICOM_STORE_ID",
      "config": {
        "dicomTagConfig": {
          "actions": [
            {
              "queries": [
               "PatientName"
              ],
              "keepTag": {}
            }
          ]
        }
      }
    }
    EOF

    Then execute the following command to send your REST request:

    curl -X POST \
    -H "Authorization: Bearer $(gcloud auth print-access-token)" \
    -H "Content-Type: application/json; charset=utf-8" \
    -d @request.json \
    "https://healthcare.googleapis.com/v1beta1/projects/PROJECT_ID/locations/SOURCE_DATASET_LOCATION/datasets/SOURCE_DATASET_ID/dicomStores/DESTINATION_DICOM_STORE_ID:deidentify"

    PowerShell

    Save the request body in a file named request.json. Run the following command in the terminal to create or overwrite this file in the current directory:

    @'
    {
      "destinationStore": "projects/PROJECT_ID/locations/SOURCE_DATASET_LOCATION/datasets/DESTINATION_DATASET_ID/dicomStores/DESTINATION_DICOM_STORE_ID",
      "config": {
        "dicomTagConfig": {
          "actions": [
            {
              "queries": [
               "PatientName"
              ],
              "keepTag": {}
            }
          ]
        }
      }
    }
    '@  | Out-File -FilePath request.json -Encoding utf8

    Then execute the following command to send your REST request:

    $cred = gcloud auth print-access-token
    $headers = @{ "Authorization" = "Bearer $cred" }

    Invoke-WebRequest `
    -Method POST `
    -Headers $headers `
    -ContentType: "application/json; charset=utf-8" `
    -InFile request.json `
    -Uri "https://healthcare.googleapis.com/v1beta1/projects/PROJECT_ID/locations/SOURCE_DATASET_LOCATION/datasets/SOURCE_DATASET_ID/dicomStores/DESTINATION_DICOM_STORE_ID:deidentify" | Select-Object -Expand Content
    The output is the following. The response contains an identifier for a long-running operation (LRO). Long-running operations are returned when method calls might take additional time to complete. Note the value of OPERATION_ID. You need this value in the next step.

  2. Use the projects.locations.datasets.operations.get method to get the status of the long-running operation.

    Before using any of the request data, make the following replacements:

    • PROJECT_ID: the ID of your Google Cloud project
    • SOURCE_DATASET_LOCATION: the source dataset location
    • SOURCE_DATASET_ID: the ID of the dataset containing the data to de-identify
    • OPERATION_ID: the ID returned from the long-running operation

    To send your request, choose one of these options:

    curl

    Execute the following command:

    curl -X GET \
    -H "Authorization: Bearer $(gcloud auth print-access-token)" \
    "https://healthcare.googleapis.com/v1beta1/projects/PROJECT_ID/locations/SOURCE_DATASET_LOCATION/datasets/SOURCE_DATASET_ID/operations/OPERATION_ID"

    PowerShell

    Execute the following command:

    $cred = gcloud auth print-access-token
    $headers = @{ "Authorization" = "Bearer $cred" }

    Invoke-WebRequest `
    -Method GET `
    -Headers $headers `
    -Uri "https://healthcare.googleapis.com/v1beta1/projects/PROJECT_ID/locations/SOURCE_DATASET_LOCATION/datasets/SOURCE_DATASET_ID/operations/OPERATION_ID" | Select-Object -Expand Content

    APIs Explorer

    Open the method reference page. The APIs Explorer panel opens on the right side of the page. You can interact with this tool to send requests. Complete any required fields and click Execute.

    The output is the following. When the response contains "done": true, the long-running operation has finished.

  3. After the de-identification succeeds, you can retrieve the metadata for the de-identified instance to see how it changed. The de-identified instance has a new studies UID, series UID, and instances UID, so you first need to search the new dataset for the de-identified instance.

    Before using any of the request data, make the following replacements:

    • PROJECT_ID: the ID of your Google Cloud project
    • DESTINATION_DATASET_ID: the ID of the destination dataset where de-identified data is written
    • SOURCE_DATASET_LOCATION: the source dataset location
    • DESTINATION_DICOM_STORE_ID: the ID of the DICOM store in the destination dataset. This is the same as the ID of the DICOM store in the source dataset.

    To send your request, choose one of these options:

    curl

    Execute the following command:

    curl -X GET \
    -H "Authorization: Bearer $(gcloud auth print-access-token)" \
    "https://healthcare.googleapis.com/v1beta1/projects/PROJECT_ID/locations/SOURCE_DATASET_LOCATION/datasets/DESTINATION_DATASET_ID/dicomStores/DESTINATION_DICOM_STORE_ID/dicomWeb/instances"

    PowerShell

    Execute the following command:

    $cred = gcloud auth print-access-token
    $headers = @{ "Authorization" = "Bearer $cred" }

    Invoke-WebRequest `
    -Method GET `
    -Headers $headers `
    -Uri "https://healthcare.googleapis.com/v1beta1/projects/PROJECT_ID/locations/SOURCE_DATASET_LOCATION/datasets/DESTINATION_DATASET_ID/dicomStores/DESTINATION_DICOM_STORE_ID/dicomWeb/instances" | Select-Object -Expand Content

    You should receive a JSON response similar to the following:

    The following table shows how the studies UID, series UID, and instances UID changed:
      Original instance metadata De-identified instance metadata
    Studies UID (0020000D) 2.25.70541616638819138568043293671559322355 1.3.6.1.4.1.11129.5.1.201854290391432893460946240745559593763
    Series UID (0020000E) 1.2.276.0.7230010.3.1.3.8323329.78.1531234558.523694 1.3.6.1.4.1.11129.5.1.303327499491957026103380014864616068710
    Instances UID (00080018) 1.2.276.0.7230010.3.1.4.8323329.78.1539083058.523695 1.3.6.1.4.1.11129.5.1.97415866390999888717168863957686758029
  4. Using the new values, retrieve the metadata for the instance.

    Before using any of the request data, make the following replacements:

    • PROJECT_ID: the ID of your Google Cloud project
    • DESTINATION_DATASET_ID: the ID of the destination dataset where de-identified data is written
    • SOURCE_DATASET_LOCATION: the source dataset location
    • DESTINATION_DICOM_STORE_ID: the ID of the DICOM store in the destination dataset. This is the same as the ID of the DICOM store in the source dataset.

    To send your request, choose one of these options:

    curl

    Execute the following command:

    curl -X GET \
    -H "Authorization: Bearer $(gcloud auth print-access-token)" \
    "https://healthcare.googleapis.com/v1beta1/projects/PROJECT_ID/locations/SOURCE_DATASET_LOCATION/datasets/DESTINATION_DATASET_ID/dicomStores/DESTINATION_DICOM_STORE_ID/dicomWeb/studies/1.3.6.1.4.1.11129.5.1.201854290391432893460946240745559593763/series/1.3.6.1.4.1.11129.5.1.303327499491957026103380014864616068710/instances/1.3.6.1.4.1.11129.5.1.97415866390999888717168863957686758029/metadata"

    PowerShell

    Execute the following command:

    $cred = gcloud auth print-access-token
    $headers = @{ "Authorization" = "Bearer $cred" }

    Invoke-WebRequest `
    -Method GET `
    -Headers $headers `
    -Uri "https://healthcare.googleapis.com/v1beta1/projects/PROJECT_ID/locations/SOURCE_DATASET_LOCATION/datasets/DESTINATION_DATASET_ID/dicomStores/DESTINATION_DICOM_STORE_ID/dicomWeb/studies/1.3.6.1.4.1.11129.5.1.201854290391432893460946240745559593763/series/1.3.6.1.4.1.11129.5.1.303327499491957026103380014864616068710/instances/1.3.6.1.4.1.11129.5.1.97415866390999888717168863957686758029/metadata" | Select-Object -Expand Content

    APIs Explorer

    Open the method reference page. The APIs Explorer panel opens on the right side of the page. You can interact with this tool to send requests. Complete any required fields and click Execute.

    The output contains the new metadata. You can compare the new metadata with the original metadata to see the effect of the transformation.

De-identify a subset of a DICOM store

You can de-identify a subset of the data in a DICOM store by specifying a filter.

The filter takes the form of a filter file that you specify as a value for the resourcePathsGcsUri field in the DicomFilterConfig object. The filter file must exist in a Cloud Storage bucket; you cannot specify a filter file that exists on your local machine or any other source. The location of the file must be in the format gs://BUCKET/PATH/TO/FILE.

Create a filter file

A filter file defines which DICOM files to de-identify. You can filter files at the following levels:

  • At the study level
  • At the series level
  • At the instance level

The filter file is made up of one line per study, series, or instance you want to de-identify. Each line uses the format /studies/STUDY_UID[/series/SERIES_UID[/instances/INSTANCE_UID]]. At the end of each line is a newline character: either \n or \r\n.

If a study, series, or instance isn't specified in the filter file you passed in when calling the de-identify operation, that study, series, or instance will not be de-identified and will not be present in the destination DICOM store.

Only the /studies/STUDY_UID portion of the path is required. This means that you can de-identify a study by specifying /studies/STUDY_UID, or you can de-identify a series by specifying /studies/STUDY_UID/series/SERIES_UID.

Consider the following filter file. The filter file causes one study, two series, and three individual instances to be de-identified:

/studies/1.123.456.789
/studies/1.666.333.111/series/123.456\n
/studies/1.666.333.111/series/567.890\n
/studies/1.888.999.222/series/123.456/instances/111\n
/studies/1.888.999.222/series/123.456/instances/222\n
/studies/1.888.999.222/series/123.456/instances/333\n

Create a filter file using BigQuery

You typically create a filter file by first exporting the metadata from a DICOM store to BigQuery. This lets you use BigQuery to view the study, series, and instance UIDs of the DICOM data in your DICOM store. You can then do the following:

  1. Query for the study, series, and instance UIDs you're interested in. For example, after exporting the metadata to BigQuery, you could run the following query to concatenate the study, series, and instance UIDs to a format that's compatible with the filter file requirements:

    SELECT CONCAT
      ('/studies/', StudyInstanceUID, '/series/', SeriesInstanceUID, '/instances/', SOPInstanceUID)
    FROM
      [PROJECT_ID:BIGQUERY_DATASET.BIGQUERY_TABLE]
  2. If the query returns a large result set, you can materialize a new table by saving the query results to a destination table in BigQuery.

  3. After saving the query results to the destination table, you can save the contents of the destination table to a file and export it to Cloud Storage. For steps on how to do so, see Exporting table data. The exported file is your filter file. You will use the location of the filter file in Cloud Storage when specifying the filter in the export operation.

Create a filter file manually

You can create a filter file with custom content and upload it to a Cloud Storage bucket. You will use the location of the filter file in Cloud Storage when specifying the filter in the de-identify operation. The following sample shows how to upload a filter file to a Cloud Storage bucket using the gcloud storage cp command:

gcloud storage cp PATH/TO/FILTER_FILE gs://BUCKET/DIRECTORY

For example:

gcloud storage cp /home/user/Desktop/filters.txt gs://my-bucket/my-directory

Use a filter

After you have your filter file configured, you can pass it in as a value to the resourcePathsGcsUri field in the filterConfig object.

The following sample expands on De-identifying data at the DICOM store level, but a filter file in Cloud Storage is provided to determine which DICOM resources are de-identified.

REST

  1. De-identify the dataset.

    Before using any of the request data, make the following replacements:

    • PROJECT_ID: the ID of your Google Cloud project
    • LOCATION: the dataset location
    • SOURCE_DATASET_ID: the ID of the dataset containing the data to de-identify
    • DESTINATION_DATASET_ID: the ID of the destination dataset where de-identified data is written
    • SOURCE_DICOM_STORE_ID: the ID of the DICOM store containing the data to de-identify
    • DESTINATION_DICOM_STORE_ID: the ID of the DICOM store in the destination dataset
    • BUCKET/PATH/TO/FILE: the location of the filter file in a Cloud Storage bucket

    Request JSON body:

    {
      "destinationStore": "projects/PROJECT_ID/locations/LOCATION/datasets/DESTINATION_DATASET_ID/dicomStores/DESTINATION_DICOM_STORE_ID",
      "config": {
        "dicom": {
          "filterProfile": "DEIDENTIFY_TAG_CONTENTS"
        },
        "image": {
          "textRedactionMode": "REDACT_ALL_TEXT"
        }
      },
      "filterConfig": {
        "resourcePathGcsUri": "gs://BUCKET/PATH/TO/FILE"
      }
    }
    

    To send your request, choose one of these options:

    curl

    Save the request body in a file named request.json. Run the following command in the terminal to create or overwrite this file in the current directory:

    cat > request.json << 'EOF'
    {
      "destinationStore": "projects/PROJECT_ID/locations/LOCATION/datasets/DESTINATION_DATASET_ID/dicomStores/DESTINATION_DICOM_STORE_ID",
      "config": {
        "dicom": {
          "filterProfile": "DEIDENTIFY_TAG_CONTENTS"
        },
        "image": {
          "textRedactionMode": "REDACT_ALL_TEXT"
        }
      },
      "filterConfig": {
        "resourcePathGcsUri": "gs://BUCKET/PATH/TO/FILE"
      }
    }
    EOF

    Then execute the following command to send your REST request:

    curl -X POST \
    -H "Authorization: Bearer $(gcloud auth print-access-token)" \
    -H "Content-Type: application/json; charset=utf-8" \
    -d @request.json \
    "https://healthcare.googleapis.com/v1/projects/PROJECT_ID/locations/LOCATION/datasets/SOURCE_DATASET_ID/dicomStores/SOURCE_DICOM_STORE_ID:deidentify"

    PowerShell

    Save the request body in a file named request.json. Run the following command in the terminal to create or overwrite this file in the current directory:

    @'
    {
      "destinationStore": "projects/PROJECT_ID/locations/LOCATION/datasets/DESTINATION_DATASET_ID/dicomStores/DESTINATION_DICOM_STORE_ID",
      "config": {
        "dicom": {
          "filterProfile": "DEIDENTIFY_TAG_CONTENTS"
        },
        "image": {
          "textRedactionMode": "REDACT_ALL_TEXT"
        }
      },
      "filterConfig": {
        "resourcePathGcsUri": "gs://BUCKET/PATH/TO/FILE"
      }
    }
    '@  | Out-File -FilePath request.json -Encoding utf8

    Then execute the following command to send your REST request:

    $cred = gcloud auth print-access-token
    $headers = @{ "Authorization" = "Bearer $cred" }

    Invoke-WebRequest `
    -Method POST `
    -Headers $headers `
    -ContentType: "application/json; charset=utf-8" `
    -InFile request.json `
    -Uri "https://healthcare.googleapis.com/v1/projects/PROJECT_ID/locations/LOCATION/datasets/SOURCE_DATASET_ID/dicomStores/SOURCE_DICOM_STORE_ID:deidentify" | Select-Object -Expand Content
    The output is the following. The response contains an identifier for a long-running operation. Long-running operations are returned when method calls might take a substantial amount of time to complete. Note the value of OPERATION_ID. You need this value in the next step.

  2. Use the projects.locations.datasets.operations.get method to get the status of the long-running operation.

    Before using any of the request data, make the following replacements:

    • PROJECT_ID: the ID of your Google Cloud project
    • SOURCE_DATASET_LOCATION: the source dataset location
    • SOURCE_DATASET_ID: the ID of the dataset containing the data to de-identify
    • OPERATION_ID: the ID returned from the long-running operation

    To send your request, choose one of these options:

    curl

    Execute the following command:

    curl -X GET \
    -H "Authorization: Bearer $(gcloud auth print-access-token)" \
    "https://healthcare.googleapis.com/v1beta1/projects/PROJECT_ID/locations/SOURCE_DATASET_LOCATION/datasets/SOURCE_DATASET_ID/operations/OPERATION_ID"

    PowerShell

    Execute the following command:

    $cred = gcloud auth print-access-token
    $headers = @{ "Authorization" = "Bearer $cred" }

    Invoke-WebRequest `
    -Method GET `
    -Headers $headers `
    -Uri "https://healthcare.googleapis.com/v1beta1/projects/PROJECT_ID/locations/SOURCE_DATASET_LOCATION/datasets/SOURCE_DATASET_ID/operations/OPERATION_ID" | Select-Object -Expand Content

    APIs Explorer

    Open the method reference page. The APIs Explorer panel opens on the right side of the page. You can interact with this tool to send requests. Complete any required fields and click Execute.

    The output is the following. When the response contains "done": true, the long-running operation has finished.

  3. After the de-identification succeeds, you can retrieve the metadata for the de-identified instance to see how it changed. The de-identified instance has a new studies UID, series UID, and instances UID, so you first need to search the new dataset for the de-identified instance.

    Before using any of the request data, make the following replacements:

    • PROJECT_ID: the ID of your Google Cloud project
    • DESTINATION_DATASET_ID: the ID of the destination dataset where de-identified data is written
    • SOURCE_DATASET_LOCATION: the source dataset location
    • DESTINATION_DICOM_STORE_ID: the ID of the DICOM store in the destination dataset. This is the same as the ID of the DICOM store in the source dataset.

    To send your request, choose one of these options:

    curl

    Execute the following command:

    curl -X GET \
    -H "Authorization: Bearer $(gcloud auth print-access-token)" \
    "https://healthcare.googleapis.com/v1beta1/projects/PROJECT_ID/locations/SOURCE_DATASET_LOCATION/datasets/DESTINATION_DATASET_ID/dicomStores/DESTINATION_DICOM_STORE_ID/dicomWeb/instances"

    PowerShell

    Execute the following command:

    $cred = gcloud auth print-access-token
    $headers = @{ "Authorization" = "Bearer $cred" }

    Invoke-WebRequest `
    -Method GET `
    -Headers $headers `
    -Uri "https://healthcare.googleapis.com/v1beta1/projects/PROJECT_ID/locations/SOURCE_DATASET_LOCATION/datasets/DESTINATION_DATASET_ID/dicomStores/DESTINATION_DICOM_STORE_ID/dicomWeb/instances" | Select-Object -Expand Content

    You should receive a JSON response similar to the following:

    The following table shows how the studies UID, series UID, and instances UID changed:
      Original instance metadata De-identified instance metadata
    Studies UID (0020000D) 2.25.70541616638819138568043293671559322355 1.3.6.1.4.1.11129.5.1.201854290391432893460946240745559593763
    Series UID (0020000E) 1.2.276.0.7230010.3.1.3.8323329.78.1531234558.523694 1.3.6.1.4.1.11129.5.1.303327499491957026103380014864616068710
    Instances UID (00080018) 1.2.276.0.7230010.3.1.4.8323329.78.1539083058.523695 1.3.6.1.4.1.11129.5.1.97415866390999888717168863957686758029
  4. Using the new values, retrieve the metadata for the instance.

    Before using any of the request data, make the following replacements:

    • PROJECT_ID: the ID of your Google Cloud project
    • DESTINATION_DATASET_ID: the ID of the destination dataset where de-identified data is written
    • SOURCE_DATASET_LOCATION: the source dataset location
    • DESTINATION_DICOM_STORE_ID: the ID of the DICOM store in the destination dataset. This is the same as the ID of the DICOM store in the source dataset.

    To send your request, choose one of these options:

    curl

    Execute the following command:

    curl -X GET \
    -H "Authorization: Bearer $(gcloud auth print-access-token)" \
    "https://healthcare.googleapis.com/v1beta1/projects/PROJECT_ID/locations/SOURCE_DATASET_LOCATION/datasets/DESTINATION_DATASET_ID/dicomStores/DESTINATION_DICOM_STORE_ID/dicomWeb/studies/1.3.6.1.4.1.11129.5.1.201854290391432893460946240745559593763/series/1.3.6.1.4.1.11129.5.1.303327499491957026103380014864616068710/instances/1.3.6.1.4.1.11129.5.1.97415866390999888717168863957686758029/metadata"

    PowerShell

    Execute the following command:

    $cred = gcloud auth print-access-token
    $headers = @{ "Authorization" = "Bearer $cred" }

    Invoke-WebRequest `
    -Method GET `
    -Headers $headers `
    -Uri "https://healthcare.googleapis.com/v1beta1/projects/PROJECT_ID/locations/SOURCE_DATASET_LOCATION/datasets/DESTINATION_DATASET_ID/dicomStores/DESTINATION_DICOM_STORE_ID/dicomWeb/studies/1.3.6.1.4.1.11129.5.1.201854290391432893460946240745559593763/series/1.3.6.1.4.1.11129.5.1.303327499491957026103380014864616068710/instances/1.3.6.1.4.1.11129.5.1.97415866390999888717168863957686758029/metadata" | Select-Object -Expand Content

    APIs Explorer

    Open the method reference page. The APIs Explorer panel opens on the right side of the page. You can interact with this tool to send requests. Complete any required fields and click Execute.

    The output contains the new metadata. You can compare the new metadata with the original metadata to see the effect of the transformation.

Troubleshoot DICOM de-identification operations

If errors occur during a DICOM de-identification operation, the errors are logged to Cloud Logging. For more information, see Viewing error logs in Cloud Logging.

If the entire operation returns an error, see Troubleshooting long-running operations.